JavaScript is disabled in your browser. Please enable JavaScript to view this website.
AB119070

Anti-PANK2 antibody [OTI3H9]

Be the first to review this product! Submit a review

|

(3 Publications)

Mouse Monoclonal PANK2 antibody. Suitable for IHC-P, WB, ICC/IF, Flow Cyt (Intra) and reacts with Human, Rat, African green monkey, Dog, Transfected cell line - Human, Recombinant full length protein samples. Cited in 3 publications. Immunogen corresponding to Recombinant Full Length Protein corresponding to Human PANK2.

View Alternative Names

C20orf48, PANK2, hPanK2, Pantothenic acid kinase 2

8 Images
Immunohistochemistry (Formalin/PFA-fixed paraffin-embedded sections) - Anti-PANK2 antibody [OTI3H9] (AB119070)
  • IHC-P

Unknown

Immunohistochemistry (Formalin/PFA-fixed paraffin-embedded sections) - Anti-PANK2 antibody [OTI3H9] (AB119070)

Paraffin-embedded human prostate carcinoma tissue stained for PANK2 with ab119070 at a 1/50 dilution in immunohistochemical analysis. Heat-induced epitope retrieval by 10 mM citric buffer, pH 6.0, 100°C for 10 minutes.

Flow Cytometry (Intracellular) - Anti-PANK2 antibody [OTI3H9] (AB119070)
  • Flow Cyt (Intra)

Unknown

Flow Cytometry (Intracellular) - Anti-PANK2 antibody [OTI3H9] (AB119070)

ab119070 at 1/100 dilution staining PANK2 in Jurkat (Human T cell leukemia cell line from peripheral blood) cells by Flow cytometry (Intracellular) (Red) compared to a nonspecific negative control antibody (Blue).

Flow Cytometry (Intracellular) - Anti-PANK2 antibody [OTI3H9] (AB119070)
  • Flow Cyt (Intra)

Unknown

Flow Cytometry (Intracellular) - Anti-PANK2 antibody [OTI3H9] (AB119070)

ab119070 at 1/100 dilution staining PANK2 in HEK-293T (Human epithelial cell line from embryonic kidney transformed with large T antigen) cells transfected with either pCMV6-ENTRY PANK2 overexpress plasmid (Red) or empty vector control plasmid (Blue) by Flow Cytometry (Intracellular).

Immunohistochemistry (Formalin/PFA-fixed paraffin-embedded sections) - Anti-PANK2 antibody [OTI3H9] (AB119070)
  • IHC-P

Unknown

Immunohistochemistry (Formalin/PFA-fixed paraffin-embedded sections) - Anti-PANK2 antibody [OTI3H9] (AB119070)

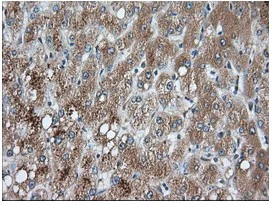
Paraffin-embedded human liver tissue stained for PANK2 with ab119070 at a 1/50 dilution in immunohistochemical analysis. Heat-induced epitope retrieval by 10 mM citric buffer, pH 6.0, 100°C for 10 minutes.

Immunohistochemistry (Formalin/PFA-fixed paraffin-embedded sections) - Anti-PANK2 antibody [OTI3H9] (AB119070)
  • IHC-P

Unknown

Immunohistochemistry (Formalin/PFA-fixed paraffin-embedded sections) - Anti-PANK2 antibody [OTI3H9] (AB119070)

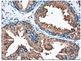
Paraffin-embedded human prostate tissue stained for PANK2 with ab119070 at a 1/50 dilution in immunohistochemical analysis. Heat-induced epitope retrieval by 10 mM citric buffer, pH 6.0, 100°C for 10 minutes.

Immunocytochemistry/ Immunofluorescence - Anti-PANK2 antibody [OTI3H9] (AB119070)
  • ICC/IF

Unknown

Immunocytochemistry/ Immunofluorescence - Anti-PANK2 antibody [OTI3H9] (AB119070)

pCMV6-ENTRY PANK2 cDNA transfected COS-7 (African green monkey kidney fibroblast-like cell line) cells stained for PANK2 using ab119070 at a 1/100 dilution in ICC/IF.

Western blot - Anti-PANK2 antibody [OTI3H9] (AB119070)
  • WB

Unknown

Western blot - Anti-PANK2 antibody [OTI3H9] (AB119070)

All lanes:

Western blot - Anti-PANK2 antibody [OTI3H9] (ab119070) at 1/1000 dilution

Lane 1:

HEK-293T (Human epithelial cell line from embryonic kidney transformed with large T antigen) cell lysate transfected with pCMV6-ENTRY control cDNA at 5 µg

Lane 2:

HEK-293T cell lysate transfected with pCMV6-ENTRY PANK2 cDNA at 5 µg

Predicted band size: 63 kDa

false

Western blot - Anti-PANK2 antibody [OTI3H9] (AB119070)
  • WB

Unknown

Western blot - Anti-PANK2 antibody [OTI3H9] (AB119070)

All lanes:

Western blot - Anti-PANK2 antibody [OTI3H9] (ab119070) at 1/1000 dilution

Lane 1:

HepG2 (Human liver hepatocellular carcinoma cell line) cell extract at 35 µg

Lane 2:

HeLa (Human epithelial cell line from cervix adenocarcinoma) cell extract at 35 µg

Lane 3:

HT-29 (Human colorectal adenocarcinoma cell line) cell extract at 35 µg

Lane 4:

A549 (Human lung carcinoma cell line) cell extract at 35 µg

Lane 5:

COS-7 (African green monkey kidney fibroblast-like cell line) cell extract at 35 µg

Lane 6:

Jurkat (Human T cell leukemia cell line from peripheral blood) cell extract at 35 µg

Lane 7:

MDCK (Canine kidney cell line) cell extract at 35 µg

Lane 8:

PC-12 (Rat adrenal gland pheochromocytoma cell line) cell extract at 35 µg

Lane 9:

MCF7 (Human breast adenocarcinoma cell line) cell extract at 35 µg

Predicted band size: 39 kDa,63 kDa

false

Key facts

Host species

Mouse

Clonality

Monoclonal

Clone number

OTI3H9

Isotype

IgG2a

Carrier free

No

Reacts with

Rat, Dog, Human, African green monkey

Applications

Flow Cyt (Intra), ICC/IF, IHC-P, WB

applications

Immunogen

Recombinant Full Length Protein corresponding to Human PANK2.

Q9BZ23

Reactivity data

{ "title": "Reactivity Data", "filters": { "stats": ["", "Species", "Dilution Info", "Notes"], "tabs": { "all-applications": {"fullname" : "All Applications", "shortname": "All Applications"}, "IHCP" : {"fullname" : "Immunohistochemistry (Formalin/PFA-fixed paraffin-embedded sections)", "shortname":"IHC-P"}, "WB" : {"fullname" : "Western blot", "shortname":"WB"}, "ICCIF" : {"fullname" : "Immunocytochemistry/ Immunofluorescence", "shortname":"ICC/IF"}, "FlowCytIntra" : {"fullname" : "Flow Cytometry (Intracellular)", "shortname":"Flow Cyt (Intra)"} }, "product-promise": { "all": "all", "testedAndGuaranteed": "tested", "guaranteed": "expected", "predicted": "predicted", "notRecommended": "not-recommended" } }, "values": { "Human": { "IHCP-species-checked": "testedAndGuaranteed", "IHCP-species-dilution-info": "1/50", "IHCP-species-notes": "<p></p> Perform heat-mediated antigen retrieval before commencing with IHC staining protocol.", "WB-species-checked": "testedAndGuaranteed", "WB-species-dilution-info": "1/1000 - 1/2000", "WB-species-notes": "<p></p>", "ICCIF-species-checked": "guaranteed", "ICCIF-species-dilution-info": "", "ICCIF-species-notes": "", "FlowCytIntra-species-checked": "testedAndGuaranteed", "FlowCytIntra-species-dilution-info": "1/100", "FlowCytIntra-species-notes": "<p><a href='/en-us/products/primary-antibodies/mouse-igg2c-kappa-monoclonal-18c8bc7ad10-isotype-control-ab170191'>ab170191</a> - Mouse monoclonal IgG2a, is suitable for use as an isotype control with this antibody.</p>" }, "Rat": { "IHCP-species-checked": "guaranteed", "IHCP-species-dilution-info": "", "IHCP-species-notes": "", "WB-species-checked": "testedAndGuaranteed", "WB-species-dilution-info": "1/1000 - 1/2000", "WB-species-notes": "<p></p>", "ICCIF-species-checked": "guaranteed", "ICCIF-species-dilution-info": "", "ICCIF-species-notes": "", "FlowCytIntra-species-checked": "guaranteed", "FlowCytIntra-species-dilution-info": "", "FlowCytIntra-species-notes": "" }, "African green monkey": { "IHCP-species-checked": "guaranteed", "IHCP-species-dilution-info": "", "IHCP-species-notes": "", "WB-species-checked": "testedAndGuaranteed", "WB-species-dilution-info": "1/1000 - 1/2000", "WB-species-notes": "<p></p>", "ICCIF-species-checked": "guaranteed", "ICCIF-species-dilution-info": "", "ICCIF-species-notes": "", "FlowCytIntra-species-checked": "guaranteed", "FlowCytIntra-species-dilution-info": "", "FlowCytIntra-species-notes": "" }, "Dog": { "IHCP-species-checked": "guaranteed", "IHCP-species-dilution-info": "", "IHCP-species-notes": "", "WB-species-checked": "testedAndGuaranteed", "WB-species-dilution-info": "1/1000 - 1/2000", "WB-species-notes": "<p></p>", "ICCIF-species-checked": "guaranteed", "ICCIF-species-dilution-info": "", "ICCIF-species-notes": "", "FlowCytIntra-species-checked": "guaranteed", "FlowCytIntra-species-dilution-info": "", "FlowCytIntra-species-notes": "" }, "Recombinant full length protein": { "IHCP-species-checked": "notRecommended", "IHCP-species-dilution-info": "", "IHCP-species-notes": "", "WB-species-checked": "notRecommended", "WB-species-dilution-info": "", "WB-species-notes": "", "ICCIF-species-checked": "notRecommended", "ICCIF-species-dilution-info": "", "ICCIF-species-notes": "", "FlowCytIntra-species-checked": "testedAndGuaranteed", "FlowCytIntra-species-dilution-info": "1/100", "FlowCytIntra-species-notes": "<p><a href='/en-us/products/primary-antibodies/mouse-igg2c-kappa-monoclonal-18c8bc7ad10-isotype-control-ab170191'>ab170191</a> - Mouse monoclonal IgG2a, is suitable for use as an isotype control with this antibody.</p>" }, "Transfected cell line - Human": { "IHCP-species-checked": "notRecommended", "IHCP-species-dilution-info": "", "IHCP-species-notes": "", "WB-species-checked": "notRecommended", "WB-species-dilution-info": "", "WB-species-notes": "", "ICCIF-species-checked": "testedAndGuaranteed", "ICCIF-species-dilution-info": "1/100", "ICCIF-species-notes": "<p></p>", "FlowCytIntra-species-checked": "notRecommended", "FlowCytIntra-species-dilution-info": "", "FlowCytIntra-species-notes": "" } } }

Product details

Clone OTI3H9 (formerly 3H9).

Properties and storage information

Form
Liquid
Purification technique
Affinity purification
Purification notes
Purified from cell culture supernatant by affinity chromatography.
Storage buffer
pH: 7 Preservative: 0.02% Sodium azide Constituents: PBS, 50% Glycerol (glycerin, glycerine), 1% BSA
Shipped at conditions
Blue Ice
Appropriate short-term storage duration
1-2 weeks
Appropriate short-term storage conditions
+4°C
Appropriate long-term storage conditions
-20°C
Aliquoting information
Upon delivery aliquot
Storage information
Avoid freeze / thaw cycle

Product protocols

For this product, it's our understanding that no specific protocols are required. You can visit:

Target data

Isoform 1. Mitochondrial isoform that catalyzes the phosphorylation of pantothenate to generate 4'-phosphopantothenate in the first and rate-determining step of coenzyme A (CoA) synthesis (PubMed : 15659606, PubMed : 16272150, PubMed : 17242360, PubMed : 17825826). Required for angiogenic activity of umbilical vein of endothelial cells (HUVEC) (PubMed : 30221726).. Isoform 4. Cytoplasmic isoform that catalyzes the phosphorylation of pantothenate to generate 4'-phosphopantothenate in the first and rate-determining step of coenzyme A (CoA) synthesis.
See full target information PANK2

Publications (3)

Recent publications for all applications. Explore the full list and refine your search

Antioxidants (Basel, Switzerland) 14: PubMed40002401

2025

Polydatin and Nicotinamide Prevent Iron Accumulation and Lipid Peroxidation in Cellular Models of Mitochondrial Diseases.

Applications

Unspecified application

Species

Unspecified reactive species

Paula Cilleros-Holgado,David Gómez-Fernández,Rocío Piñero-Pérez,José Manuel Romero-Domínguez,Diana Reche-López,Mónica Álvarez-Córdoba,Ana Romero-González,Alejandra López-Cabrera,Marta Castro De Oliveira,Andrés Rodríguez-Sacristán,Susana González-Granero,José Manuel García-Verdugo,José Antonio Sánchez-Alcázar

PLoS genetics 16:e1009020 PubMed32976492

2020

Deficiency of the Tbc1d21 gene causes male infertility with morphological abnormalities of the sperm mitochondria and flagellum in mice.

Applications

Unspecified application

Species

Unspecified reactive species

Ya-Yun Wang,Chih-Chun Ke,Yen-Lin Chen,Yu-Hua Lin,I-Shing Yu,Wei-Chi Ku,Moira K O'Bryan,Ying-Hung Lin

PloS one 12:e0184104 PubMed28863176

2017

iPSC-derived neuronal models of PANK2-associated neurodegeneration reveal mitochondrial dysfunction contributing to early disease.

Applications

Unspecified application

Species

Unspecified reactive species

Charles Arber,Plamena R Angelova,Sarah Wiethoff,Yugo Tsuchiya,Francesca Mazzacuva,Elisavet Preza,Kailash P Bhatia,Kevin Mills,Ivan Gout,Andrey Y Abramov,John Hardy,James A Duce,Henry Houlden,Selina Wray
View all publications

Product promise

We are committed to supporting your work with high-quality reagents, and we're here for you every step of the way. In the unlikely event that one of our products does not perform as expected, you're protected by our Product Promise.
For full details, please see our Terms & Conditions

Please note: All products are 'FOR RESEARCH USE ONLY. NOT FOR USE IN DIAGNOSTIC OR THERAPEUTIC PROCEDURES'.

For licensing inquiries, please contact partnerships@abcam.com