JavaScript is disabled in your browser. Please enable JavaScript to view this website.
AB325529

Anti-Pannexin 1 antibody [EPR28631-135]

  • RabMAb
  • Recombinant
  • 20ul selling size
  • KO Validated
  • What is this?

Be the first to review this product! Submit a review

|

(0 Publication)

Rabbit Recombinant Monoclonal Pannexin 1 antibody. Suitable for IHC-Fr, IHC-P, WB, ICC/IF and reacts with Mouse, Human samples.

View Alternative Names

Pannexin-1

10 Images
Immunohistochemistry (Formalin/PFA-fixed paraffin-embedded sections) - Anti-Pannexin 1 antibody [EPR28631-135] (AB325529)
  • IHC-P

Supplier Data

Immunohistochemistry (Formalin/PFA-fixed paraffin-embedded sections) - Anti-Pannexin 1 antibody [EPR28631-135] (AB325529)

Immunohistochemical analysis of paraffin-embedded (A) SH-SY5Y (human neuroblastoma epithelial cell) cell pellet, (B) PANC-1 (human pancreatic epithelioid carcinoma epithelial cell) cell pellet and (C) U-937 (human histiocytic lymphoma monocyte) cell pellet labeling Pannexin 1 with ab325529 at 1/5000 (0.098 ug/ml) dilution, followed by a ready to use LeicaDS9800 (Bond™ Polymer Refine Detection).

Positive on (A) SH-SY5Y and (B) PANC-1 cell pellet, weak staining on (C) U-937 cell pellet.
The primary antibody was incubated for 30 mins at room temperature.
The immunostaining was performed on a Leica Biosystems BOND® RX instrument

Counterstained with Hematoxylin.

Secondary antibody only control : Secondary antibody is a ready to use LeicaDS9800 (Bond™ Polymer Refine Detection).

Heat mediated antigen retrieval was performed with Tris-EDTA buffer (pH 9.0, Epitope Retrieval Solution2) for 20 mins.

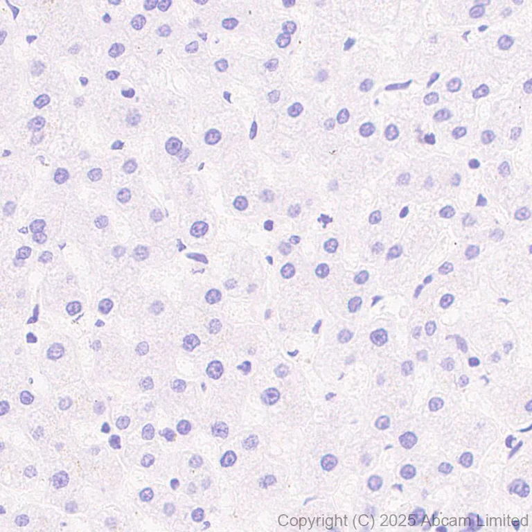
Immunohistochemistry (Formalin/PFA-fixed paraffin-embedded sections) - Anti-Pannexin 1 antibody [EPR28631-135] (AB325529)
  • IHC-P

Supplier Data

Immunohistochemistry (Formalin/PFA-fixed paraffin-embedded sections) - Anti-Pannexin 1 antibody [EPR28631-135] (AB325529)

Immunohistochemical analysis of paraffin-embedded Human liver tissue labeling Pannexin 1 with ab325529 at 1/2000 (0.245 ug/ml) dilution, followed by a ready to use LeicaDS9800 (Bond™ Polymer Refine Detection).

Low expression : no staining on human liver.
The primary antibody was incubated for 30 mins at room temperature.
The immunostaining was performed on a Leica Biosystems BOND® RX instrument

Counterstained with Hematoxylin.

Heat mediated antigen retrieval was performed with Tris-EDTA buffer (pH 9.0, Epitope Retrieval Solution2) for 20 mins.

Immunocytochemistry/ Immunofluorescence - Anti-Pannexin 1 antibody [EPR28631-135] (AB325529)
  • ICC/IF

Supplier Data

Immunocytochemistry/ Immunofluorescence - Anti-Pannexin 1 antibody [EPR28631-135] (AB325529)

Immunofluorescent analysis of 4% Paraformaldehyde-fixed, 0.1% TritonX-100 permeabilized PANC-1 (human pancreatic epithelioid carcinoma epithelial cell) and U-937 (human histiocytic lymphoma monocyte) cells labelling Pannexin 1 with ab325529 at 1/200 (2.45 ug/ml) dilution, followed by ab150081 Goat Anti-Rabbit IgG H&L (Alexa Fluor® 488) preadsorbed antibody at 1/1000 (2 ug/ml) dilution (Green).

Confocal image showing membranous staining in PANC-1 cell line (shown in green). The counterstain was observed in magenta. Nuclear DNA was labelled with DAPI (shown in blue). Image was taken with a confocal microscope (Leica-Microsystems, TCS SP8).
Low expression : U-937

ab7291 Anti-alpha Tubulin mouse monoclonal antibody was used to counterstain tubulin at 1/1000 (1 ug/ml) dilution, followed by ab150120 Goat Anti-Mouse IgG H&L (Alexa Fluor® 594) at 1/1000 (2 ug/ml) dilution (Magenta).

-ve control 1 : ab325529 at a 1/200 dilution followed by ab150120 at a 1/1000 dilution.

-ve control 2 : ab7291 at a 1/1000 dilution followed by ab150081 at a 1/1000 dilution.

Immunohistochemistry (Frozen sections) - Anti-Pannexin 1 antibody [EPR28631-135] (AB325529)
  • IHC-Fr

Supplier Data

Immunohistochemistry (Frozen sections) - Anti-Pannexin 1 antibody [EPR28631-135] (AB325529)

Immunohistochemical analysis of 4% PFA-fixed, 0.2% Triton X-100 permeabilized frozen Mouse E18 brain (perfused fixed) tissue labeling Pannexin 1 with ab325529 at 1/50 (9.8 ug/ml) dilution followed by ab150081 Goat Anti-Rabbit IgG H&L (Alexa Fluor® 488) preadsorbed at 1/1000 dilution (Green).

Confocal image showing positive staining on mouse E18 brain. The nuclear counterstain was DAPI (Blue). The section was incubated with the primary antibody for 60 mins at room temperature. The section was then mounted using Fluoromount®.The immunostaining was performed on a Leica Biosystems BOND® RX instrument. Image was taken with a confocal microscope (Leica-Microsystems, TCS SP8).

Secondary antibody control : Secondary antibody is ab150081 Goat Anti-Rabbit IgG H&L (Alexa Fluor® 488) preadsorbed at 1/1000 dilution.

Heat mediated antigen retrieval using sodium citrate buffer (10mM citrate pH 6.0 + 0.05% Tween-20)

Immunohistochemistry (Frozen sections) - Anti-Pannexin 1 antibody [EPR28631-135] (AB325529)
  • IHC-Fr

Supplier Data

Immunohistochemistry (Frozen sections) - Anti-Pannexin 1 antibody [EPR28631-135] (AB325529)

Immunohistochemical analysis of 4% PFA-fixed, 0.2% Triton X-100 permeabilized frozen Mouse liver (perfused fixed) tissue labeling Pannexin 1 with ab325529 at 1/50 (9.8 ug/ml) dilution followed by ab150081 Goat Anti-Rabbit IgG H&L (Alexa Fluor® 488) preadsorbed at 1/1000 dilution (Green).

Low expression : confocal image showing no staining on mouse liver. The nuclear counterstain was DAPI (Blue). The section was incubated with the primary antibody for 60 mins at room temperature. The section was then mounted using Fluoromount®.The immunostaining was performed on a Leica Biosystems BOND® RX instrument. Image was taken with a confocal microscope (Leica-Microsystems, TCS SP8).

Secondary antibody control : Secondary antibody is ab150081 Goat Anti-Rabbit IgG H&L (Alexa Fluor® 488) preadsorbed at 1/1000 dilution.

Heat mediated antigen retrieval using sodium citrate buffer (10mM citrate pH 6.0 + 0.05% Tween-20)

Immunohistochemistry (Formalin/PFA-fixed paraffin-embedded sections) - Anti-Pannexin 1 antibody [EPR28631-135] (AB325529)
  • IHC-P

Supplier Data

Immunohistochemistry (Formalin/PFA-fixed paraffin-embedded sections) - Anti-Pannexin 1 antibody [EPR28631-135] (AB325529)

Immunohistochemical analysis of paraffin-embedded C57BL/6JGpt mouse skeletal muscle tissue labeling Pannexin 1 with ab325529 at 1/2000 (0.245 ug/ml) dilution, followed by a ready to use LeicaDS9800 (Bond™ Polymer Refine Detection).

Low expression : no staining on C57BL/6JGpt mouse skeletal muscle.
The primary antibody was incubated for 30 mins at room temperature.
The immunostaining was performed on a Leica Biosystems BOND® RX instrument

Counterstained with Hematoxylin.

Secondary antibody only control : Secondary antibody is a ready to use LeicaDS9800 (Bond™ Polymer Refine Detection).

Heat mediated antigen retrieval was performed with Tris-EDTA buffer (pH 9.0, Epitope Retrieval Solution2) for 20 mins.

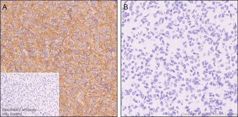
Immunohistochemistry (Formalin/PFA-fixed paraffin-embedded sections) - Anti-Pannexin 1 antibody [EPR28631-135] (AB325529)
  • IHC-P

Supplier Data

Immunohistochemistry (Formalin/PFA-fixed paraffin-embedded sections) - Anti-Pannexin 1 antibody [EPR28631-135] (AB325529)

Immunohistochemical analysis of paraffin-embedded (A) C57BL/6JGpt mouse E18 brain and (B) C57BL/6JGpt mouse Panx1 KO E18 brain tissue labeling Pannexin 1 with ab325529 at 1/2000 (0.245 ug/ml) dilution, followed by a ready to use LeicaDS9800 (Bond™ Polymer Refine Detection).

Positive on (A) C57BL/6JGpt mouse E18 brain and negative on (B) C57BL/6JGpt Panx1 KO mouse E18 brain.
The primary antibody was incubated for 30 mins at room temperature.
The immunostaining was performed on a Leica Biosystems BOND® RX instrument

The tissue samples were kindly provided by GemPharmatech. C57BL/6JGpt wildtype mice and Panx1-KO homozygous mice (Strain ID : T006607).

Counterstained with Hematoxylin.

Secondary antibody only control : Secondary antibody is a ready to use LeicaDS9800 (Bond™ Polymer Refine Detection).

Heat mediated antigen retrieval was performed with Tris-EDTA buffer (pH 9.0, Epitope Retrieval Solution2) for 20 mins.

Western blot - Anti-Pannexin 1 antibody [EPR28631-135] (AB325529)
  • WB

Supplier Data

Western blot - Anti-Pannexin 1 antibody [EPR28631-135] (AB325529)

Blocking and diluting buffer and concentration : 5% NFDM/TBST.

Low expression : CT26.WT, U-937.

The expression profile/ molecular weight observed is consistent with what has been described in the literature (PMID : 20944749, 17925379, 19692571, 25239622).

Samples are non-boiled as boiling may cause protein aggregation.

In Western blot, Anti-Vinculin antibody [EPR8185] (ab129002) (124 kDa) staining at 1/10000 dilution.

Exposure time : Lanes 1-2 : 59 seconds, lanes 3-4 : 26 seconds

All lanes:

Western blot - Anti-Pannexin 1 antibody [EPR28631-135] (ab325529) at 1/1000 dilution

Lane 1:

Neuro-2a (mouse neuroblastoma neuroblast) whole cell lysate at 20 µg

Lane 2:

CT26.WT (mouse colon fibroblast) whole cell lysate at 20 µg

Lane 3:

PANC-1 (human pancreatic epithelioid carcinoma epithelial cell) whole cell lysate at 20 µg

Lane 4:

U-937 (human histiocytic lymphoma monocyte) whole cell lysate at 20 µg

Secondary

All lanes:

Western blot - Goat Anti-Rabbit IgG H&L (HRP) (<a href='/en-us/products/secondary-antibodies/goat-rabbit-igg-h-l-hrp-ab97051'>ab97051</a>) at 1/20000 dilution

Observed band size: 37-50 kDa,124 kDa

false

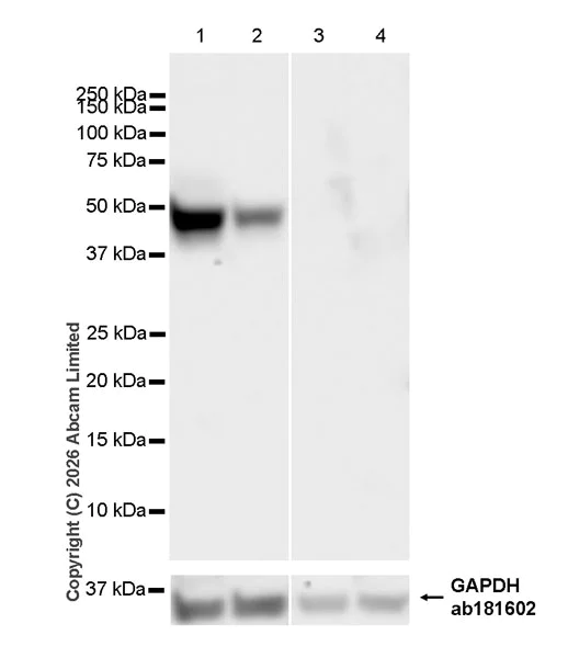
Western blot - Anti-Pannexin 1 antibody [EPR28631-135] (AB325529)
  • WB

Supplier Data

Western blot - Anti-Pannexin 1 antibody [EPR28631-135] (AB325529)

Blocking and diluting buffer and concentration : 5% NFDM/TBST.

The expression profile/ molecular weight observed is consistent with what has been described in the literature (PMID : 20944749, 17925379, 19692571, 25239622).

Samples are non-boiled as boiling may cause protein aggregation.

The tissue samples were kindly provided by GemPharmatech. C57BL/6JGpt wildtype mice and Panx1-KO homozygous mice (Strain ID : T006607).

In Western blot, Anti-GAPDH antibody [EPR16891] - Loading Control (ab181602) staining at 1/200000 dilution.

All lanes:

Western blot - Anti-Pannexin 1 antibody [EPR28631-135] (ab325529) at 1/1000 dilution

Lane 1:

Wide-type mouse E18 brain tissue lysate at 50 µg

Lane 2:

Panx1 knockout mouse E18 brain tissue lysate at 50 µg

Secondary

All lanes:

Western blot - Goat Anti-Rabbit IgG H&L (HRP) (<a href='/en-us/products/secondary-antibodies/goat-rabbit-igg-h-l-hrp-ab97051'>ab97051</a>) at 1/20000 dilution

Observed band size: 37-50 kDa,36 kDa

false

Exposure time: 10s

Western blot - Anti-Pannexin 1 antibody [EPR28631-135] (AB325529)
  • WB

Supplier Data

Western blot - Anti-Pannexin 1 antibody [EPR28631-135] (AB325529)

Blocking and diluting buffer and concentration : 5% NFDM/TBST.

Low expression : kidney, liver (PMID : 16026466).

The expression profile/ molecular weight observed is consistent with what has been described in the literature (PMID : 20944749, 17925379, 19692571, 25239622).

Samples are non-boiled as boiling may cause protein aggregation.

In Western blot, Anti-GAPDH antibody [EPR16891] - Loading Control (ab181602) staining at 1/200000 dilution.

All lanes:

Western blot - Anti-Pannexin 1 antibody [EPR28631-135] (ab325529) at 1/1000 dilution

Lane 1:

Mouse olfactory bulb tissue lysate at 50 µg

Lane 2:

Mouse cerebellum tissue lysate at 50 µg

Lane 3:

Mouse kidney tissue lysate at 50 µg

Lane 4:

Mouse liver tissue lysate at 50 µg

Secondary

All lanes:

Goat Anti-Rabbit IgG (HRP) with minimal cross-reactivity with human IgG at 1/2000 dilution

Observed band size: 37-50 kDa,36 kDa

false

Exposure time: 8s

Key facts

Host species

Rabbit

Clonality

Monoclonal

Clone number

EPR28631-135

Isotype

IgG

Carrier free

No

Reacts with

Mouse, Human

Applications

IHC-P, ICC/IF, IHC-Fr, WB

applications

Immunogen

The exact immunogen used to generate this antibody is proprietary information.

Specificity

For human IHC-P, only cell pellets were validated, as human embryonic tissues were not available.
Unsuitable for mouse ICC.
For IHC-Fr, unsuitable for fresh frozen tissue.

Reactivity data

{ "title": "Reactivity Data", "filters": { "stats": ["", "Species", "Dilution Info", "Notes"], "tabs": { "all-applications": {"fullname" : "All Applications", "shortname": "All Applications"}, "IHCFr" : {"fullname" : "Immunohistochemistry (Frozen sections)", "shortname":"IHC-Fr"}, "IHCP" : {"fullname" : "Immunohistochemistry (Formalin/PFA-fixed paraffin-embedded sections)", "shortname":"IHC-P"}, "WB" : {"fullname" : "Western blot", "shortname":"WB"}, "ICCIF" : {"fullname" : "Immunocytochemistry/ Immunofluorescence", "shortname":"ICC/IF"} }, "product-promise": { "all": "all", "testedAndGuaranteed": "tested", "guaranteed": "expected", "predicted": "predicted", "notRecommended": "not-recommended" } }, "values": { "Human": { "IHCFr-species-checked": "guaranteed", "IHCFr-species-dilution-info": "", "IHCFr-species-notes": "", "IHCP-species-checked": "testedAndGuaranteed", "IHCP-species-dilution-info": "1/2000", "IHCP-species-notes": "<p></p> Perform heat-mediated antigen retrieval with Tris/EDTA buffer pH 9.0 before commencing with IHC staining protocol.", "WB-species-checked": "testedAndGuaranteed", "WB-species-dilution-info": "1/1000", "WB-species-notes": "<p></p>", "ICCIF-species-checked": "testedAndGuaranteed", "ICCIF-species-dilution-info": "1/200", "ICCIF-species-notes": "<p></p>" }, "Mouse": { "IHCFr-species-checked": "testedAndGuaranteed", "IHCFr-species-dilution-info": "1/50", "IHCFr-species-notes": "<p></p> Perform heat-mediated antigen retrieval with citrate buffer pH 6 before commencing with IHC staining protocol.", "IHCP-species-checked": "testedAndGuaranteed", "IHCP-species-dilution-info": "1/2000", "IHCP-species-notes": "<p></p> Perform heat-mediated antigen retrieval with Tris/EDTA buffer pH 9.0 before commencing with IHC staining protocol.", "WB-species-checked": "testedAndGuaranteed", "WB-species-dilution-info": "1/1000", "WB-species-notes": "<p></p>", "ICCIF-species-checked": "notRecommended", "ICCIF-species-dilution-info": "", "ICCIF-species-notes": "<p></p>" } } }

Product details

Patented technology
Our RabMAb® technology is a patented hybridoma-based technology for making rabbit monoclonal antibodies. For details on our patents, please refer to RabMAb® patents.

What are the advantages of a recombinant monoclonal antibody?
This product is a recombinant monoclonal antibody, which offers several advantages including:

  • - High batch-to-batch consistency and reproducibility
  • - Improved sensitivity and specificity
  • - Long-term security of supply
  • - Animal-free batch production

For more information, read more on recombinant antibodies.

Properties and storage information

Form
Liquid
Purification technique
Affinity purification Protein A
Storage buffer
pH: 7.2 - 7.4 Preservative: 0.01% Sodium azide Constituents: PBS, 40% Glycerol (glycerin, glycerine), 0.05% BSA
Shipped at conditions
Blue Ice
Appropriate short-term storage duration
1-2 weeks
Appropriate short-term storage conditions
+4°C
Appropriate long-term storage conditions
-20°C
Aliquoting information
Upon delivery aliquot
Storage information
Avoid freeze / thaw cycle

Product protocols

For this product, it's our understanding that no specific protocols are required. You can visit:

Target data

Ion channel involved in a variety of physiological functions such as blood pressure regulation, apoptotic cell clearance and oogenesis (PubMed : 30814251). Forms anion-selective channels with relatively low conductance and an order of permeabilities : nitrate>iodide>chlroride>>aspartate=glutamate=gluconate (PubMed : 22311122). Can release ATP upon activation through phosphorylation or cleavage at C-terminus (PubMed : 32238926). May play a role as a Ca(2+)-leak channel to regulate ER Ca(2+) homeostasis (By similarity).. Caspase-activated pannexin-1. During apoptosis and after cleavage by caspases of the C-terminal tail, acts as a plasma membrane channel which mediates the regulated release of find-me signals, such as nucleotides ATP and UTP, and selective plasme membrane permeability.
See full target information Panx1

Product promise

We are committed to supporting your work with high-quality reagents, and we're here for you every step of the way. In the unlikely event that one of our products does not perform as expected, you're protected by our Product Promise.
For full details, please see our Terms & Conditions

Please note: All products are 'FOR RESEARCH USE ONLY. NOT FOR USE IN DIAGNOSTIC OR THERAPEUTIC PROCEDURES'.

For licensing inquiries, please contact partnerships@abcam.com