JavaScript is disabled in your browser. Please enable JavaScript to view this website.
AB247732

Anti-PAP antibody [EPR4066] - BSA and Azide free

Be the first to review this product! Submit a review

|

(0 Publication)

Rabbit Recombinant Monoclonal PAP antibody. Carrier free. Suitable for IHC-P, IP, WB and reacts with Human samples.

View Alternative Names

ACPP, ACP3, Prostatic acid phosphatase, PAP, 5'-nucleotidase, Acid phosphatase 3, Ecto-5'-nucleotidase, Protein tyrosine phosphatase ACP3, Thiamine monophosphatase, 5'-NT, TMPase

13 Images
Immunohistochemistry (Formalin/PFA-fixed paraffin-embedded sections) - Anti-PAP antibody [EPR4066] - BSA and Azide free (AB247732)
  • IHC-P

Unknown

Immunohistochemistry (Formalin/PFA-fixed paraffin-embedded sections) - Anti-PAP antibody [EPR4066] - BSA and Azide free (AB247732)

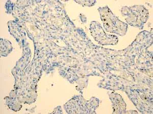
This data was developed using ab108984, the same antibody clone in a different buffer formulation.

ab108984 showing negative staining in Normal breast tissue.

Perform heat mediated antigen retrieval with citrate buffer pH 6 before commencing with IHC staining protocol.

Immunohistochemistry (Formalin/PFA-fixed paraffin-embedded sections) - Anti-PAP antibody [EPR4066] - BSA and Azide free (AB247732)
  • IHC-P

Unknown

Immunohistochemistry (Formalin/PFA-fixed paraffin-embedded sections) - Anti-PAP antibody [EPR4066] - BSA and Azide free (AB247732)

This data was developed using ab108984, the same antibody clone in a different buffer formulation.

Immunohistochemical staining of paraffin-embedded human prostatic adenocarcinoma tissue using anti-PAP (ab108984).

Perform heat mediated antigen retrieval with citrate buffer pH 6 before commencing with IHC staining protocol.

Immunohistochemistry (Formalin/PFA-fixed paraffin-embedded sections) - Anti-PAP antibody [EPR4066] - BSA and Azide free (AB247732)
  • IHC-P

Unknown

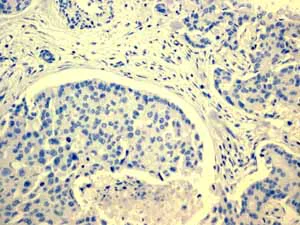
Immunohistochemistry (Formalin/PFA-fixed paraffin-embedded sections) - Anti-PAP antibody [EPR4066] - BSA and Azide free (AB247732)

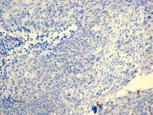
This data was developed using ab108984, the same antibody clone in a different buffer formulation.

ab108984 showing negative staining in Breast carcinoma tissue.

Perform heat mediated antigen retrieval with citrate buffer pH 6 before commencing with IHC staining protocol.

Immunohistochemistry (Formalin/PFA-fixed paraffin-embedded sections) - Anti-PAP antibody [EPR4066] - BSA and Azide free (AB247732)
  • IHC-P

Unknown

Immunohistochemistry (Formalin/PFA-fixed paraffin-embedded sections) - Anti-PAP antibody [EPR4066] - BSA and Azide free (AB247732)

This data was developed using ab108984, the same antibody clone in a different buffer formulation.

Immunohistochemical staining of paraffin-embedded human prostatic tissue using anti-PAP (ab108984).

Perform heat mediated antigen retrieval with citrate buffer pH 6 before commencing with IHC staining protocol.

Immunohistochemistry (Formalin/PFA-fixed paraffin-embedded sections) - Anti-PAP antibody [EPR4066] - BSA and Azide free (AB247732)
  • IHC-P

Unknown

Immunohistochemistry (Formalin/PFA-fixed paraffin-embedded sections) - Anti-PAP antibody [EPR4066] - BSA and Azide free (AB247732)

This data was developed using ab108984, the same antibody clone in a different buffer formulation.

ab108984 showing negative staining in Colonic adenocarcinoma tissue.

Perform heat mediated antigen retrieval with citrate buffer pH 6 before commencing with IHC staining protocol.

Immunohistochemistry (Formalin/PFA-fixed paraffin-embedded sections) - Anti-PAP antibody [EPR4066] - BSA and Azide free (AB247732)
  • IHC-P

Unknown

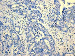
Immunohistochemistry (Formalin/PFA-fixed paraffin-embedded sections) - Anti-PAP antibody [EPR4066] - BSA and Azide free (AB247732)

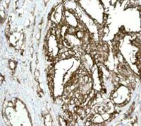
This data was developed using ab108984, the same antibody clone in a different buffer formulation.

ab108984 showing positive staining in Prostatic carcinoma tissue.

Perform heat mediated antigen retrieval with citrate buffer pH 6 before commencing with IHC staining protocol.

Immunohistochemistry (Formalin/PFA-fixed paraffin-embedded sections) - Anti-PAP antibody [EPR4066] - BSA and Azide free (AB247732)
  • IHC-P

Unknown

Immunohistochemistry (Formalin/PFA-fixed paraffin-embedded sections) - Anti-PAP antibody [EPR4066] - BSA and Azide free (AB247732)

This data was developed using ab108984, the same antibody clone in a different buffer formulation.

ab108984 showing negative staining in Normal placenta tissue.

Perform heat mediated antigen retrieval with citrate buffer pH 6 before commencing with IHC staining protocol.

Immunohistochemistry (Formalin/PFA-fixed paraffin-embedded sections) - Anti-PAP antibody [EPR4066] - BSA and Azide free (AB247732)
  • IHC-P

Unknown

Immunohistochemistry (Formalin/PFA-fixed paraffin-embedded sections) - Anti-PAP antibody [EPR4066] - BSA and Azide free (AB247732)

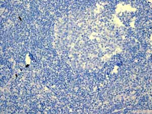
This data was developed using ab108984, the same antibody clone in a different buffer formulation.

ab108984 showing negative staining in Normal tonsil tissue.

Perform heat mediated antigen retrieval with citrate buffer pH 6 before commencing with IHC staining protocol.

Immunohistochemistry (Formalin/PFA-fixed paraffin-embedded sections) - Anti-PAP antibody [EPR4066] - BSA and Azide free (AB247732)
  • IHC-P

Unknown

Immunohistochemistry (Formalin/PFA-fixed paraffin-embedded sections) - Anti-PAP antibody [EPR4066] - BSA and Azide free (AB247732)

This data was developed using ab108984, the same antibody clone in a different buffer formulation.

ab108984 showing negative staining in Cervical carcinoma tissue.

Perform heat mediated antigen retrieval with citrate buffer pH 6 before commencing with IHC staining protocol.

Immunohistochemistry (Formalin/PFA-fixed paraffin-embedded sections) - Anti-PAP antibody [EPR4066] - BSA and Azide free (AB247732)
  • IHC-P

Unknown

Immunohistochemistry (Formalin/PFA-fixed paraffin-embedded sections) - Anti-PAP antibody [EPR4066] - BSA and Azide free (AB247732)

This data was developed using ab108984, the same antibody clone in a different buffer formulation.

ab108984 showing negative staining in Skeletal muscle tissue.

Perform heat mediated antigen retrieval with citrate buffer pH 6 before commencing with IHC staining protocol.

Immunoprecipitation - Anti-PAP antibody [EPR4066] - BSA and Azide free (AB247732)
  • IP

Lab

Immunoprecipitation - Anti-PAP antibody [EPR4066] - BSA and Azide free (AB247732)

This data was developed using ab108984, the same antibody clone in a different buffer formulation.PAP was immunoprecipitated from 0.35 mg Human prostate whole cell lysate 10 µg with ab108984 at 1/50 dilution (2µg). VeriBlot for IP Detection Reagent (HRP)(ab131366) was used at 1/5000 dilution.

Lane 1 : Human prostate whole cell lysate 10 µg

Lane 2 : abab108984 IP in Human prostate whole cell lysate

Lane 3 : Rabbit monoclonal IgG (ab172730) instead of ab108984 in Human prostate whole cell lysate

Blocking and dilution buffer and concentration : 5% NFDM/TBST.

All lanes:

Immunoprecipitation - Anti-PAP antibody [EPR4066] (<a href='/en-us/products/primary-antibodies/pap-antibody-epr4066-ab108984'>ab108984</a>)

Predicted band size: 45 kDa

Observed band size: 52 kDa

false

Western blot - Anti-PAP antibody [EPR4066] - BSA and Azide free (AB247732)
  • WB

Unknown

Western blot - Anti-PAP antibody [EPR4066] - BSA and Azide free (AB247732)

This data was developed using ab108984, the same antibody clone in a different buffer formulation.

All lanes:

Western blot - Anti-PAP antibody [EPR4066] (<a href='/en-us/products/primary-antibodies/pap-antibody-epr4066-ab108984'>ab108984</a>) at 1/1000 dilution

All lanes:

Prostate cancer cell lysate at 10 µg

Predicted band size: 45 kDa

false

OI-RD Scanning - Anti-PAP antibody [EPR4066] - BSA and Azide free (AB247732)
  • OI-RD Scanning

Unknown

OI-RD Scanning - Anti-PAP antibody [EPR4066] - BSA and Azide free (AB247732)

We have systematically measured KD (the equilibrium dissociation constant between the antibody and its antigen), of more than 840 recombinant antibodies to assess not only their individual KD values but also to see the average affinity of antibody. Based on the comparison with published literature values for mouse monoclonal antibodies, Recombinant antibodies appear to be on average 1-2 order of magnitude higher affinity.

Key facts

Host species

Rabbit

Clonality

Monoclonal

Clone number

EPR4066

Isotype

IgG

Carrier free

Yes

Reacts with

Human

Applications

WB, IHC-P, IP

applications

Immunogen

The exact immunogen used to generate this antibody is proprietary information.

Reactivity data

{ "title": "Reactivity Data", "filters": { "stats": ["", "Species", "Dilution Info", "Notes"], "tabs": { "all-applications": {"fullname" : "All Applications", "shortname": "All Applications"}, "IHCP" : {"fullname" : "Immunohistochemistry (Formalin/PFA-fixed paraffin-embedded sections)", "shortname":"IHC-P"}, "IP" : {"fullname" : "Immunoprecipitation", "shortname":"IP"}, "FlowCyt" : {"fullname" : "Flow Cytometry", "shortname":"Flow Cyt"}, "WB" : {"fullname" : "Western blot", "shortname":"WB"} }, "product-promise": { "all": "all", "testedAndGuaranteed": "tested", "guaranteed": "expected", "predicted": "predicted", "notRecommended": "not-recommended" } }, "values": { "Human": { "IHCP-species-checked": "testedAndGuaranteed", "IHCP-species-dilution-info": "", "IHCP-species-notes": "<p>Antigen retrieval is recommended.</p> Perform heat-mediated antigen retrieval with citrate buffer pH 6 before commencing with IHC staining protocol.", "IP-species-checked": "testedAndGuaranteed", "IP-species-dilution-info": "", "IP-species-notes": "<p></p>", "FlowCyt-species-checked": "notRecommended", "FlowCyt-species-dilution-info": "", "FlowCyt-species-notes": "<p></p>", "WB-species-checked": "testedAndGuaranteed", "WB-species-dilution-info": "", "WB-species-notes": "<p></p>" } } }

Product details

ab247732 is the carrier-free version of ab108984.

Species reactivity
Mouse, Rat: We have preliminary internal testing data to indicate this antibody may not react with these species.
Please contact us for more information.

Patented technology
Our RabMAb® technology is a patented hybridoma-based technology for making rabbit monoclonal antibodies. For details on our patents, please refer to RabMAb® patents.

What are the advantages of a recombinant monoclonal antibody?
This product is a recombinant monoclonal antibody, which offers several advantages including:

  • - High batch-to-batch consistency and reproducibility
  • - Improved sensitivity and specificity
  • - Long-term security of supply
  • - Animal-free batch production

For more information, read more on recombinant antibodies.

Conjugation ready
Our carrier-free antibodies are typically supplied in a PBS-only formulation, purified and free of BSA, sodium azide and glycerol. This conjugation-ready format is designed for use with fluorochromes, metal isotopes, oligonucleotides, and enzymes, which makes them ideal for antibody labelling, functional and cell-based assays, flow-based assays (e.g. mass cytometry) and Multiplex Imaging applications.

Use our conjugation kits for antibody conjugates that are ready-to-use in as little as 20 minutes with 1 minute hands-on-time and 100% antibody recovery: available for fluorescent dyes, HRP, biotin and gold.

Compatibility
This product is compatible with the Maxpar® Antibody Labeling Kit from Fluidigm, without the need for antibody preparation. Maxpar® is a trademark of Fluidigm Canada Inc.

Properties and storage information

Form
Liquid
Purification technique
Affinity purification Protein A
Storage buffer
pH: 7.2 - 7.4 Constituents: PBS
Shipped at conditions
Blue Ice
Appropriate short-term storage conditions
+4°C
Appropriate long-term storage conditions
+4°C
Storage information
Do Not Freeze

Product protocols

For this product, it's our understanding that no specific protocols are required. You can visit:

Target data

A non-specific tyrosine phosphatase that dephosphorylates a diverse number of substrates under acidic conditions (pH 4-6) including alkyl, aryl, and acyl orthophosphate monoesters and phosphorylated proteins (PubMed : 10506173, PubMed : 15280042, PubMed : 20498373, PubMed : 9584846). Has lipid phosphatase activity and inactivates lysophosphatidic acid in seminal plasma (PubMed : 10506173, PubMed : 15280042).. Isoform 2. Tyrosine phosphatase that acts as a tumor suppressor of prostate cancer through dephosphorylation of ERBB2 and deactivation of MAPK-mediated signaling (PubMed : 20498373). In addition to its tyrosine phosphatase activity has ecto-5'-nucleotidase activity in dorsal root ganglion (DRG) neurons. Generates adenosine from AMP which acts as a pain suppressor (By similarity).. PAPf39. (Microbial infection) Forms amyloid beta-sheet fibrils in semen. These fibrils, termed SEVI (semen-derived enhancer of viral infection) capture HIV virions, attach them to target cells and enhance infection (PubMed : 18083097, PubMed : 19451623, PubMed : 19897482). SEVI amyloid fibrils are degraded by polyphenol epigallocatechin-3-gallate (EGCG), a constituent of green tea (PubMed : 19451623). Target cell attachment and enhancement of HIV infection is inhibited by surfen (PubMed : 19897482). Also similarly boosts XMRV (xenotropic murine leukemia virus-related virus) infection (PubMed : 19403677).
See full target information ACP3

Product promise

We are committed to supporting your work with high-quality reagents, and we're here for you every step of the way. In the unlikely event that one of our products does not perform as expected, you're protected by our Product Promise.
For full details, please see our Terms & Conditions

Please note: All products are 'FOR RESEARCH USE ONLY. NOT FOR USE IN DIAGNOSTIC OR THERAPEUTIC PROCEDURES'.

For licensing inquiries, please contact partnerships@abcam.com