JavaScript is disabled in your browser. Please enable JavaScript to view this website.
AB238037

Anti-PAP antibody [rACPP/1338]

Be the first to review this product! Submit a review

|

(1 Publication)

Mouse Recombinant Monoclonal PAP antibody. Suitable for IHC-P and reacts with Human samples. Cited in 1 publication. Immunogen corresponding to Recombinant Full Length Protein corresponding to Human ACP3.

View Alternative Names

ACPP, ACP3, Prostatic acid phosphatase, PAP, 5'-nucleotidase, Acid phosphatase 3, Ecto-5'-nucleotidase, Protein tyrosine phosphatase ACP3, Thiamine monophosphatase, 5'-NT, TMPase

1 Images
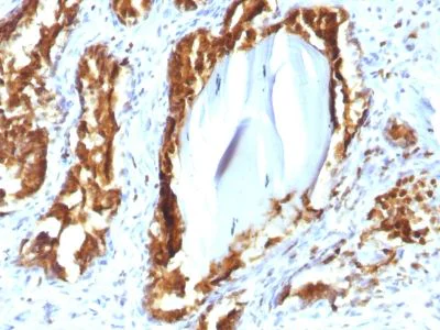
Immunohistochemistry (Formalin/PFA-fixed paraffin-embedded sections) - Anti-PAP antibody [rACPP/1338] (AB238037)
  • IHC-P

Supplier Data

Immunohistochemistry (Formalin/PFA-fixed paraffin-embedded sections) - Anti-PAP antibody [rACPP/1338] (AB238037)

Immunohistochemical analysis Formalin-fixed, paraffin-embedded human Prostate Carcinoma tissue stained for Prostatic Acid Phosphatase using ab238037 at 2 μg/mL (for 30 minutes at RT) (Staining of formalin-fixed tissues requires heating tissue sections in 10mM Tris with 1mM EDTA, pH 9.0, for 45 min at 95°C followed by cooling at RT for 20 minutes).

Key facts

Host species

Mouse

Clonality

Monoclonal

Clone number

rACPP/1338

Isotype

IgG1

Light chain type

kappa

Carrier free

No

Reacts with

Human

Applications

IHC-P

applications

Immunogen

Recombinant Full Length Protein corresponding to Human ACP3.

P15309

Reactivity data

{ "title": "Reactivity Data", "filters": { "stats": ["", "Species", "Dilution Info", "Notes"], "tabs": { "all-applications": {"fullname" : "All Applications", "shortname": "All Applications"}, "IHCP" : {"fullname" : "Immunohistochemistry (Formalin/PFA-fixed paraffin-embedded sections)", "shortname":"IHC-P"} }, "product-promise": { "all": "all", "testedAndGuaranteed": "tested", "guaranteed": "expected", "predicted": "predicted", "notRecommended": "not-recommended" } }, "values": { "Human": { "IHCP-species-checked": "testedAndGuaranteed", "IHCP-species-dilution-info": "1-2 µg/mL", "IHCP-species-notes": "<p></p> Perform heat-mediated antigen retrieval with Tris/EDTA buffer pH 9.0 before commencing with IHC staining protocol." } } }

Properties and storage information

Form
Liquid
Purification technique
Affinity purification Protein A/G
Purification notes
Purified from Bioreactor Concentrate by Protein A/G.
Storage buffer
pH: 7.2 - 7.4 Preservative: 0.05% Sodium azide Constituents: PBS, 0.05% BSA
Shipped at conditions
Blue Ice
Appropriate short-term storage duration
1-2 weeks
Appropriate short-term storage conditions
+4°C
Appropriate long-term storage conditions
-20°C
Aliquoting information
Upon delivery aliquot
Storage information
Avoid freeze / thaw cycle

Product protocols

For this product, it's our understanding that no specific protocols are required. You can visit:

Target data

A non-specific tyrosine phosphatase that dephosphorylates a diverse number of substrates under acidic conditions (pH 4-6) including alkyl, aryl, and acyl orthophosphate monoesters and phosphorylated proteins (PubMed : 10506173, PubMed : 15280042, PubMed : 20498373, PubMed : 9584846). Has lipid phosphatase activity and inactivates lysophosphatidic acid in seminal plasma (PubMed : 10506173, PubMed : 15280042).. Isoform 2. Tyrosine phosphatase that acts as a tumor suppressor of prostate cancer through dephosphorylation of ERBB2 and deactivation of MAPK-mediated signaling (PubMed : 20498373). In addition to its tyrosine phosphatase activity has ecto-5'-nucleotidase activity in dorsal root ganglion (DRG) neurons. Generates adenosine from AMP which acts as a pain suppressor (By similarity).. PAPf39. (Microbial infection) Forms amyloid beta-sheet fibrils in semen. These fibrils, termed SEVI (semen-derived enhancer of viral infection) capture HIV virions, attach them to target cells and enhance infection (PubMed : 18083097, PubMed : 19451623, PubMed : 19897482). SEVI amyloid fibrils are degraded by polyphenol epigallocatechin-3-gallate (EGCG), a constituent of green tea (PubMed : 19451623). Target cell attachment and enhancement of HIV infection is inhibited by surfen (PubMed : 19897482). Also similarly boosts XMRV (xenotropic murine leukemia virus-related virus) infection (PubMed : 19403677).
See full target information ACP3

Publications (1)

Recent publications for all applications. Explore the full list and refine your search

JCI insight 4: PubMed31600171

2019

Transcriptional regulatory model of fibrosis progression in the human lung.

Applications

Unspecified application

Species

Unspecified reactive species

John E McDonough,Farida Ahangari,Qin Li,Siddhartha Jain,Stijn E Verleden,Jose Herazo-Maya,Milica Vukmirovic,Giuseppe DeIuliis,Argyrios Tzouvelekis,Naoya Tanabe,Fanny Chu,Xiting Yan,Johny Verschakelen,Robert J Homer,Dimitris V Manatakis,Junke Zhang,Jun Ding,Karen Maes,Laurens De Sadeleer,Robin Vos,Arne Neyrinck,Panayiotis V Benos,Ziv Bar-Joseph,Dean Tantin,James C Hogg,Bart M Vanaudenaerde,Wim A Wuyts,Naftali Kaminski
View all publications

Product promise

We are committed to supporting your work with high-quality reagents, and we're here for you every step of the way. In the unlikely event that one of our products does not perform as expected, you're protected by our Product Promise.
For full details, please see our Terms & Conditions

Please note: All products are 'FOR RESEARCH USE ONLY. NOT FOR USE IN DIAGNOSTIC OR THERAPEUTIC PROCEDURES'.

For licensing inquiries, please contact partnerships@abcam.com