JavaScript is disabled in your browser. Please enable JavaScript to view this website.
AB251660

Anti-PAPOLA antibody

Be the first to review this product! Submit a review

|

(1 Publication)

Rabbit Polyclonal PAPOLA antibody. Suitable for IHC-P, ICC/IF and reacts with Human samples. Cited in 1 publication. Immunogen corresponding to Recombinant Fragment Protein within Human PAPOLA aa 500-650.

View Alternative Names

PAP, PAPOLA, Poly(A) polymerase alpha, PAP-alpha, Polynucleotide adenylyltransferase alpha

2 Images
Immunocytochemistry/ Immunofluorescence - Anti-PAPOLA antibody (AB251660)
  • ICC/IF

Unknown

Immunocytochemistry/ Immunofluorescence - Anti-PAPOLA antibody (AB251660)

PFA-fixed, Triton X-100 permeabilized U-251 MG (human brain glioma cell line) cells stained for PAPOLA (green) using ab251660 at 4 μg/ml in ICC/IF.

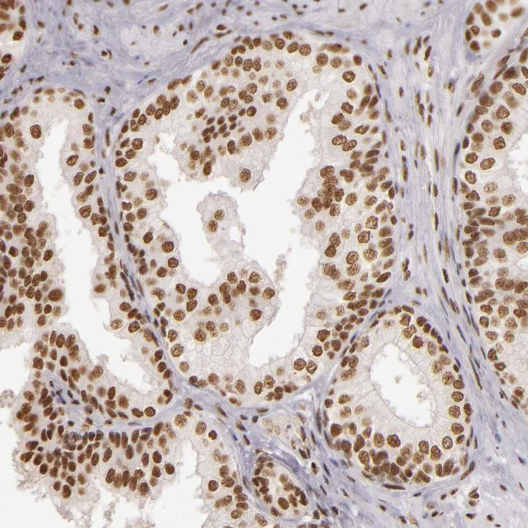
Immunohistochemistry (Formalin/PFA-fixed paraffin-embedded sections) - Anti-PAPOLA antibody (AB251660)
  • IHC-P

Unknown

Immunohistochemistry (Formalin/PFA-fixed paraffin-embedded sections) - Anti-PAPOLA antibody (AB251660)

Paraffin-embedded human prostate tissue stained for PAPOLA using ab251660 at 1/50 dilution in immunohistochemical analysis.

Key facts

Host species

Rabbit

Clonality

Polyclonal

Isotype

IgG

Carrier free

No

Reacts with

Human

Applications

ICC/IF, IHC-P

applications

Immunogen

Recombinant Fragment Protein within Human PAPOLA aa 500-650. The exact immunogen used to generate this antibody is proprietary information.

P51003

Reactivity data

{ "title": "Reactivity Data", "filters": { "stats": ["", "Species", "Dilution Info", "Notes"], "tabs": { "all-applications": {"fullname" : "All Applications", "shortname": "All Applications"}, "IHCP" : {"fullname" : "Immunohistochemistry (Formalin/PFA-fixed paraffin-embedded sections)", "shortname":"IHC-P"}, "ICCIF" : {"fullname" : "Immunocytochemistry/ Immunofluorescence", "shortname":"ICC/IF"} }, "product-promise": { "all": "all", "testedAndGuaranteed": "tested", "guaranteed": "expected", "predicted": "predicted", "notRecommended": "not-recommended" } }, "values": { "Human": { "IHCP-species-checked": "testedAndGuaranteed", "IHCP-species-dilution-info": "1/50 - 1/200", "IHCP-species-notes": "<p></p> Perform heat-mediated antigen retrieval with citrate buffer pH 6 before commencing with IHC staining protocol.", "ICCIF-species-checked": "testedAndGuaranteed", "ICCIF-species-dilution-info": "0.25-2 µg/mL", "ICCIF-species-notes": "<p>Fixation/Permeabilization: PFA/Triton X-100.</p>" }, "Cow": { "IHCP-species-checked": "predicted", "IHCP-species-dilution-info": "", "IHCP-species-notes": "", "ICCIF-species-checked": "predicted", "ICCIF-species-dilution-info": "", "ICCIF-species-notes": "" } } }

Properties and storage information

Form
Liquid
Purification technique
Affinity purification Immunogen
Storage buffer
pH: 7.2 Preservative: 0.02% Sodium azide Constituents: PBS, 40% Glycerol (glycerin, glycerine)
Shipped at conditions
Blue Ice
Appropriate short-term storage duration
1-2 weeks
Appropriate short-term storage conditions
+4°C
Appropriate long-term storage conditions
-20°C
Aliquoting information
Upon delivery aliquot
Storage information
Avoid freeze / thaw cycle

Product protocols

For this product, it's our understanding that no specific protocols are required. You can visit:

Target data

Polymerase that creates the 3'-poly(A) tail of mRNA's. Also required for the endoribonucleolytic cleavage reaction at some polyadenylation sites. May acquire specificity through interaction with a cleavage and polyadenylation specificity factor (CPSF) at its C-terminus.
See full target information PAPOLA

Publications (1)

Recent publications for all applications. Explore the full list and refine your search

Nature communications 14:5913 PubMed37737247

2023

Hypoxanthine phosphoribosyl transferase 1 metabolizes temozolomide to activate AMPK for driving chemoresistance of glioblastomas.

Applications

Unspecified application

Species

Unspecified reactive species

Jianxing Yin,Xiefeng Wang,Xin Ge,Fangshu Ding,Zhumei Shi,Zehe Ge,Guang Huang,Ningwei Zhao,Dongyin Chen,Junxia Zhang,Sameer Agnihotri,Yuandong Cao,Jing Ji,Fan Lin,Qianghu Wang,Qigang Zhou,Xiuxing Wang,Yongping You,Zhimin Lu,Xu Qian
View all publications

Product promise

We are committed to supporting your work with high-quality reagents, and we're here for you every step of the way. In the unlikely event that one of our products does not perform as expected, you're protected by our Product Promise.
For full details, please see our Terms & Conditions

Please note: All products are 'FOR RESEARCH USE ONLY. NOT FOR USE IN DIAGNOSTIC OR THERAPEUTIC PROCEDURES'.

For licensing inquiries, please contact partnerships@abcam.com