JavaScript is disabled in your browser. Please enable JavaScript to view this website.
AB203683

Anti-PAPP A antibody

5

(1 Review)

|

(2 Publications)

Rabbit Polyclonal PAPP A antibody. Suitable for IHC-P and reacts with Mouse samples. Cited in 2 publications. Immunogen corresponding to Synthetic Peptide within Human Pappalysin-1 aa 1350-1450 conjugated to Keyhole Limpet Haemocyanin.

View Alternative Names

Pappalysin-1, Insulin-like growth factor-dependent IGF-binding protein 4 protease, Pregnancy-associated plasma protein A, IGF-dependent IGFBP-4 protease, IGFBP-4ase, PAPP-A, PAPPA

1 Images
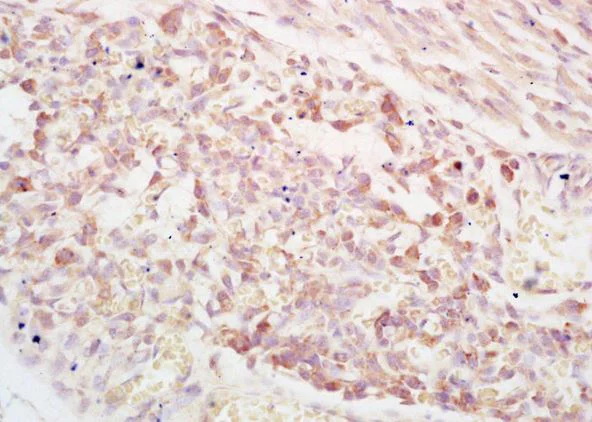
Immunohistochemistry (Formalin/PFA-fixed paraffin-embedded sections) - Anti-PAPP A antibody (AB203683)
  • IHC-P

Supplier Data

Immunohistochemistry (Formalin/PFA-fixed paraffin-embedded sections) - Anti-PAPP A antibody (AB203683)

Immunohistochemical analysis of formalin-fixed, paraffin-embedded mouse embryo tissue labeling PAPP A with ab203683 at 1/200 dilution, followed by conjugation to the secondary antibody and DAB staining.

Key facts

Host species

Rabbit

Clonality

Polyclonal

Isotype

IgG

Carrier free

No

Reacts with

Mouse

Applications

IHC-P

applications

Immunogen

Synthetic Peptide within Human Pappalysin-1 aa 1350-1450 conjugated to Keyhole Limpet Haemocyanin. The exact immunogen used to generate this antibody is proprietary information.

Q13219

Reactivity data

{ "title": "Reactivity Data", "filters": { "stats": ["", "Species", "Dilution Info", "Notes"], "tabs": { "all-applications": {"fullname" : "All Applications", "shortname": "All Applications"}, "IHCP" : {"fullname" : "Immunohistochemistry (Formalin/PFA-fixed paraffin-embedded sections)", "shortname":"IHC-P"} }, "product-promise": { "all": "all", "testedAndGuaranteed": "tested", "guaranteed": "expected", "predicted": "predicted", "notRecommended": "not-recommended" } }, "values": { "Mouse": { "IHCP-species-checked": "testedAndGuaranteed", "IHCP-species-dilution-info": "1/100 - 1/500", "IHCP-species-notes": "<p>When using a fluorescent probe the recommended dilution is 1/50 – 1/200</p>" } } }

Properties and storage information

Form
Liquid
Purification technique
Affinity purification Protein A
Storage buffer
pH: 7.4 Preservative: 0.02% Proclin 300 Constituents: 50% Glycerol (glycerin, glycerine), 48.98% TBS, 1X, 1% BSA
Shipped at conditions
Blue Ice
Appropriate short-term storage duration
1-2 weeks
Appropriate short-term storage conditions
+4°C
Appropriate long-term storage conditions
-20°C
Aliquoting information
Upon delivery aliquot
Storage information
Avoid freeze / thaw cycle

Product protocols

For this product, it's our understanding that no specific protocols are required. You can visit:

Target data

Metalloproteinase which specifically cleaves IGFBP-4 and IGFBP-5, resulting in release of bound IGF. Cleavage of IGFBP-4 is dramatically enhanced by the presence of IGF, whereas cleavage of IGFBP-5 is slightly inhibited by the presence of IGF.
See full target information Pappalysin-1

Publications (2)

Recent publications for all applications. Explore the full list and refine your search

Environmental health perspectives 131:67010 PubMed37342990

2023

Effects of Cyanobacterial Harmful Algal Bloom Toxin Microcystin-LR on Gonadotropin-Dependent Ovarian Follicle Maturation and Ovulation in Mice.

Applications

Unspecified application

Species

Unspecified reactive species

Yingzheng Wang,Pawat Pattarawat,Jiyang Zhang,Eunchong Kim,Delong Zhang,Mingzhu Fang,Elizabeth A Jannaman,Ye Yuan,Saurabh Chatterjee,Ji-Yong Julie Kim,Geoffrey I Scott,Qiang Zhang,Shuo Xiao

Neurogastroenterology and motility 34:e14299 PubMed34821442

2021

Changes in intestinal barrier protein expression and intestinal flora in a rat model of visceral hypersensitivity.

Applications

Unspecified application

Species

Unspecified reactive species

Li Zhao,Peipei Ren,Miaolei Wang,Jingjing Wang,Xueyun He,Jingyan Gu,Yanyu Lu,Yana Wu,Junhong Liu,Longde Wang,Hongfang Li
View all publications

Product promise

We are committed to supporting your work with high-quality reagents, and we're here for you every step of the way. In the unlikely event that one of our products does not perform as expected, you're protected by our Product Promise.
For full details, please see our Terms & Conditions

Please note: All products are 'FOR RESEARCH USE ONLY. NOT FOR USE IN DIAGNOSTIC OR THERAPEUTIC PROCEDURES'.

For licensing inquiries, please contact partnerships@abcam.com