JavaScript is disabled in your browser. Please enable JavaScript to view this website.
AB307087

Anti-PAPP A2 antibody [EPR25642-91]

  • BOND RX™ Validated
  • 20ul selling size
  • RabMAb
  • Recombinant
  • Advanced Validation
  • What is this?

Be the first to review this product! Submit a review

|

(0 Publication)

Rabbit Recombinant Monoclonal PAPP A2 antibody. Suitable for IHC-P, mIHC, WB and reacts with Human samples.

View Alternative Names

PLAC3, PAPPA2, Pappalysin-2, Pregnancy-associated plasma protein A2, Pregnancy-associated plasma protein E1, PAPP-A2, PAPP-E

5 Images
Immunohistochemistry - Anti-PAPP A2 antibody [EPR25642-91] (AB307087)
  • IHC

Supplier Data

Immunohistochemistry - Anti-PAPP A2 antibody [EPR25642-91] (AB307087)

Immunohistochemical analysis of paraffin-embedded human placenta tissue labeling PAPP A2 with ab307087 at 1/5000 dilution (0.097 ug/ml) followed by ready to use LeicaDS9800 (Bond® Polymer Refine Detection). Positive staining on human placenta. The section was incubated with ab307087 for 30 mins at room temperature. The immunostaining was performed on a Leica Biosystems BOND® RX instrument. Counterstained with Hematoxylin. Secondary antibody only control : Secondary antibody is ready to use LeicaDS9800 (Bond® Polymer Refine Detection). Heat mediated antigen retrieval was performed with Tris-EDTA buffer (pH 9.0, Epitope Retrieval Solution2) for 20 mins.

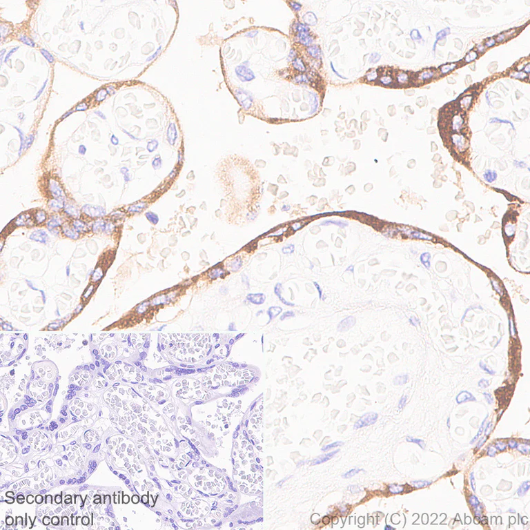
Multiplex immunohistochemistry - Anti-PAPP A2 antibody [EPR25642-91] (AB307087)
  • mIHC

Lab

Multiplex immunohistochemistry - Anti-PAPP A2 antibody [EPR25642-91] (AB307087)

Multiplex immunohistochemistry analysis of formalin/PFA-fixed paraffin-embedded human placenta tissue staining PAPP A2 with ab307087 at a 1/5000 dilution, ab218107 anti-TFAP2C used at 1/200 dilution and ab315802 anti-CD34 used at a 1/2000 dilution.

Panel A : anti-PAPP A2 (green; Opal™520), anti-TFAP2C (magenta; Opal™690) and anti-CD34 (gray; Opal™570) on human placenta.

Panel B : anti-PAPP A2 staining cytoplasm of trophoblast in human placenta.

Panel C : anti-TFAP2C staining nucleus of trophoblast in human placenta.

Panel D : anti-CD34 staining endothelium in human placenta.

Nuclear DNA was labeled with DAPI (shown in blue).

The section was incubated in three rounds of staining : in the order of ab307087, ab218107 and ab315802 for 30 mins at room temperature. Each round was followed by a separate fluorescent tyramide signal amplification system.

The immunostaining was performed on a Leica Biosystems BOND® RX instrument with an Opal™ 4-color kit. Image acquisition was performed with Leica SP8 confocal microscope.

Heat mediated antigen retrieval was performed with Tris-EDTA buffer (pH 9.0, Epitope Retrieval Solution2) for 20 mins.

Western blot - Anti-PAPP A2 antibody [EPR25642-91] (AB307087)
  • WB

Supplier Data

Western blot - Anti-PAPP A2 antibody [EPR25642-91] (AB307087)

Buffer/dilution : 5% NFDM/TBST Exposure : 3.25 seconds The molecular weight observed is consistent with what has been described in the literature (PMID : 18805800)

All lanes:

Western blot - Anti-PAPP A2 antibody [EPR25642-91] (ab307087) at 1/1000 dilution

Lane 1:

Untreated human placenta tissue lysate at 15 µg

Lane 2:

Human placenta tissue lysate treated with Protein Deglycosylation Mix II at 15 µg

Secondary

All lanes:

Goat Anti-Rabbit IgG (HRP) with minimal cross-reactivity with human IgG at 1/2000 dilution

Observed band size: 220 kDa,270 kDa,250 kDa

false

Exposure time: 3.25s

Western blot - Anti-PAPP A2 antibody [EPR25642-91] (AB307087)
  • WB

Supplier Data

Western blot - Anti-PAPP A2 antibody [EPR25642-91] (AB307087)

Buffer/dilution concentration : 5% NFDM/TBST Exposure time : 3.25 seconds Negative control : human liver (PMID : 11597188) Low expression : human kidney (PMID : 11597188)

All lanes:

Western blot - Anti-PAPP A2 antibody [EPR25642-91] (ab307087) at 1/1000 dilution

Lane 1:

Human placenta tissue lysate at 20 µg

Lane 2:

Human kidney tissue lysate at 20 µg

Lane 3:

Human liver tissue lysate at 20 µg

Secondary

All lanes:

Goat Anti-Rabbit IgG (HRP) with minimal cross-reactivity with human IgG at 1/2000 dilution

Observed band size: 250 kDa,270 kDa

false

Exposure time: 3.25s

Immunohistochemistry - Anti-PAPP A2 antibody [EPR25642-91] (AB307087)
  • IHC

Supplier Data

Immunohistochemistry - Anti-PAPP A2 antibody [EPR25642-91] (AB307087)

Immunohistochemical analysis of paraffin-embedded human liver tissue labeling PAPP A2 with ab307087 at 1/5000 dilution (0.097 ug/ml) followed by ready to use LeicaDS9800 (Bond® Polymer Refine Detection). Negative control : No staining on human liver. The section was incubated with ab307087 for 30 mins at room temperature. The immunostaining was performed on a Leica Biosystems BOND® RX instrument. Counterstained with Hematoxylin. Secondary antibody only control : Secondary antibody is ready to use LeicaDS9800 (Bond® Polymer Refine Detection). Heat mediated antigen retrieval was performed with Tris-EDTA buffer (pH 9.0, Epitope Retrieval Solution2) for 20 mins.

  • Carrier free

    Anti-PAPP A2 antibody [EPR25642-91] - BSA and Azide free

Key facts

Host species

Rabbit

Clonality

Monoclonal

Clone number

EPR25642-91

Isotype

IgG

Carrier free

No

Reacts with

Human

Applications

IHC-P, WB, mIHC

applications

Immunogen

The exact immunogen used to generate this antibody is proprietary information.

Reactivity data

{ "title": "Reactivity Data", "filters": { "stats": ["", "Species", "Dilution Info", "Notes"], "tabs": { "all-applications": {"fullname" : "All Applications", "shortname": "All Applications"}, "IP" : {"fullname" : "Immunoprecipitation", "shortname":"IP"}, "IHCP" : {"fullname" : "Immunohistochemistry (Formalin/PFA-fixed paraffin-embedded sections)", "shortname":"IHC-P"}, "mIHC" : {"fullname" : "Multiplex immunohistochemistry", "shortname":"mIHC"}, "WB" : {"fullname" : "Western blot", "shortname":"WB"} }, "product-promise": { "all": "all", "testedAndGuaranteed": "tested", "guaranteed": "expected", "predicted": "predicted", "notRecommended": "not-recommended" } }, "values": { "Human": { "IP-species-checked": "notRecommended", "IP-species-dilution-info": "", "IP-species-notes": "<p></p>", "IHCP-species-checked": "testedAndGuaranteed", "IHCP-species-dilution-info": "1/5000", "IHCP-species-notes": "<p></p>", "mIHC-species-checked": "testedAndGuaranteed", "mIHC-species-dilution-info": "1/5000", "mIHC-species-notes": "<p></p> Perform heat-mediated antigen retrieval with Tris/EDTA buffer pH 9.0 before commencing with IHC staining protocol.", "WB-species-checked": "testedAndGuaranteed", "WB-species-dilution-info": "1/1000", "WB-species-notes": "<p></p>" }, "Mouse": { "IP-species-checked": "notRecommended", "IP-species-dilution-info": "", "IP-species-notes": "", "IHCP-species-checked": "notRecommended", "IHCP-species-dilution-info": "1/5000", "IHCP-species-notes": "<p></p>", "mIHC-species-checked": "notRecommended", "mIHC-species-dilution-info": "", "mIHC-species-notes": "", "WB-species-checked": "notRecommended", "WB-species-dilution-info": "1/1000", "WB-species-notes": "<p></p>" }, "Rat": { "IP-species-checked": "notRecommended", "IP-species-dilution-info": "", "IP-species-notes": "", "IHCP-species-checked": "notRecommended", "IHCP-species-dilution-info": "1/5000", "IHCP-species-notes": "<p></p>", "mIHC-species-checked": "notRecommended", "mIHC-species-dilution-info": "", "mIHC-species-notes": "", "WB-species-checked": "notRecommended", "WB-species-dilution-info": "1/1000", "WB-species-notes": "<p></p>" } } }

Product details

Patented technology
Our RabMAb® technology is a patented hybridoma-based technology for making rabbit monoclonal antibodies. For details on our patents, please refer to RabMAb® patents.

What are the advantages of a recombinant monoclonal antibody?
This product is a recombinant monoclonal antibody, which offers several advantages including:

  • - High batch-to-batch consistency and reproducibility
  • - Improved sensitivity and specificity
  • - Long-term security of supply
  • - Animal-free batch production

For more information, read more on recombinant antibodies.

Properties and storage information

Form
Liquid
Purification technique
Affinity purification Protein A
Storage buffer
pH: 7.2 - 7.4 Preservative: 0.01% Sodium azide Constituents: PBS, 40% Glycerol (glycerin, glycerine), 0.05% BSA
Shipped at conditions
Blue Ice
Appropriate short-term storage duration
1-2 weeks
Appropriate short-term storage conditions
+4°C
Appropriate long-term storage conditions
-20°C
Aliquoting information
Upon delivery aliquot
Storage information
Avoid freeze / thaw cycle

Product protocols

For this product, it's our understanding that no specific protocols are required. You can visit:

Target data

Metalloproteinase which specifically cleaves insulin-like growth factor binding protein (IGFBP)-5 at the '163-Ser-|-Lys-164' bond. Shows limited proteolysis toward IGFBP-3.
See full target information PAPPA2

Product promise

We are committed to supporting your work with high-quality reagents, and we're here for you every step of the way. In the unlikely event that one of our products does not perform as expected, you're protected by our Product Promise.
For full details, please see our Terms & Conditions

Please note: All products are 'FOR RESEARCH USE ONLY. NOT FOR USE IN DIAGNOSTIC OR THERAPEUTIC PROCEDURES'.

For licensing inquiries, please contact partnerships@abcam.com