JavaScript is disabled in your browser. Please enable JavaScript to view this website.
AB322457

Anti-PAR1/Thrombin Receptor antibody [EPR28398-8]

  • 20ul selling size
  • BOND RX™ Validated
  • Advanced Validation
  • RabMAb
  • Recombinant
  • What is this?

Be the first to review this product! Submit a review

|

(0 Publication)

Rabbit Recombinant Monoclonal PAR1/Thrombin Receptor antibody. Suitable for mIHC, IHC-P, WB and reacts with Mouse samples.

View Alternative Names

Cf2r, Par1, Proteinase-activated receptor 1, PAR-1, Thrombin receptor

8 Images
Multiplex immunohistochemistry - Anti-PAR1/Thrombin Receptor antibody [EPR28398-8] (AB322457)
  • mIHC

Lab

Multiplex immunohistochemistry - Anti-PAR1/Thrombin Receptor antibody [EPR28398-8] (AB322457)

Multiplex immunohistochemistry analysis of formalin/PFA-fixed paraffin-embedded mouse liver tissue staining ALDH1L1 with ab307696 at a 1/5000 dilution, ab322457 anti-PAR1 used at 1/500 dilution and ab315474 anti-ABCB11 used at a 1/2000 dilution.

Panel A : merged staining of anti-ALDH1L1 (green; Opal520), anti-PAR1 (magenta; Opal690) and anti-ABCB11 (gray; Opal570) on mouse liver.
Panel B : anti-ALDH1L1 staining hepatocytes in mouse liver.
Panel C : anti-PAR1 staining endothelium in mouse liver.
Panel D : anti-ABCB11 staining bile canaliculi in mouse liver.
Nuclear DNA was labeled with DAPI (shown in blue).
The section was incubated in three rounds of staining : in the order of ab307696, ab322457 and ab315474 for 30 mins at room temperature. Each round was followed by a separate fluorescent tyramide signal amplification system.

Heat mediated antigen retrieval with Tris-EDTA buffer (pH 9.0, epitope retrieval solution2) for 20 mins.

Immunohistochemistry (Formalin/PFA-fixed paraffin-embedded sections) - Anti-PAR1/Thrombin Receptor antibody [EPR28398-8] (AB322457)
  • IHC-P

Supplier Data

Immunohistochemistry (Formalin/PFA-fixed paraffin-embedded sections) - Anti-PAR1/Thrombin Receptor antibody [EPR28398-8] (AB322457)

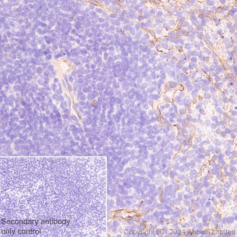
Immunohistochemical analysis of paraffin-embedded Mouse spleen tissue labeling PAR1/Thrombin Receptor with ab322457 at 1/500 (1.054 ug/ml) dilution, followed by a ready to use LeicaDS9800 (Bond™ Polymer Refine Detection).

Positive staining on mouse spleen.
The section was incubated with ab322457 for 30 mins at room temperature.
The immunostaining was performed on a Leica Biosystems BOND® RX instrument

Counterstained with Hematoxylin.

Secondary antibody only control : Secondary antibody is a ready to use LeicaDS9800 (Bond™ Polymer Refine Detection).

Heat mediated antigen retrieval was performed with Tris-EDTA buffer (pH 9.0, Epitope Retrieval Solution2) for 20 mins

Immunohistochemistry - Anti-PAR1/Thrombin Receptor antibody [EPR28398-8] (AB322457)
  • IHC

Lab

Immunohistochemistry - Anti-PAR1/Thrombin Receptor antibody [EPR28398-8] (AB322457)

Multiplex immunohistochemistry analysis of formalin/PFA-fixed paraffin-embedded mouse kidney tissue staining PAR1/Thrombin Receptor with ab322457 at a 1/500 dilution, ab306558 anti-SGLT2 used at 1/5000 dilution and ab212197 anti-Renin used at a 1/4000 dilution.

Panel A : merged staining of anti-PAR1/Thrombin Receptor (green; Opal™520), anti-SGLT2 (magenta; Opal™690) and anti-Renin (gray; Opal™570) on mouse kidney.

Panel B : anti-PAR1/Thrombin Receptor staining endothelium in mouse kidney.

Panel C : anti-SGLT2 staining the brush border of proximal tubules in mouse kidney.

Panel D : anti-Renin staining juxtaglomerular cells in mouse kidney.

Nuclear DNA was labeled with DAPI (shown in blue).

The section was incubated in three rounds of staining : in the order of ab322457, ab306558 and ab212197 for 30 mins at room temperature. Each round was followed by a separate fluorescent tyramide signal amplification system.

The immunostaining was performed on a Leica Biosystems BOND® RX instrument with an Opal™ 4-color kit. Image acquisition was performed with Leica SP8 confocal microscope.

Heat mediated antigen retrieval with Tris-EDTA buffer (pH 9.0, epitope retrieval solution2) for 20 mins.

Immunohistochemistry (Formalin/PFA-fixed paraffin-embedded sections) - Anti-PAR1/Thrombin Receptor antibody [EPR28398-8] (AB322457)
  • IHC-P

Supplier Data

Immunohistochemistry (Formalin/PFA-fixed paraffin-embedded sections) - Anti-PAR1/Thrombin Receptor antibody [EPR28398-8] (AB322457)

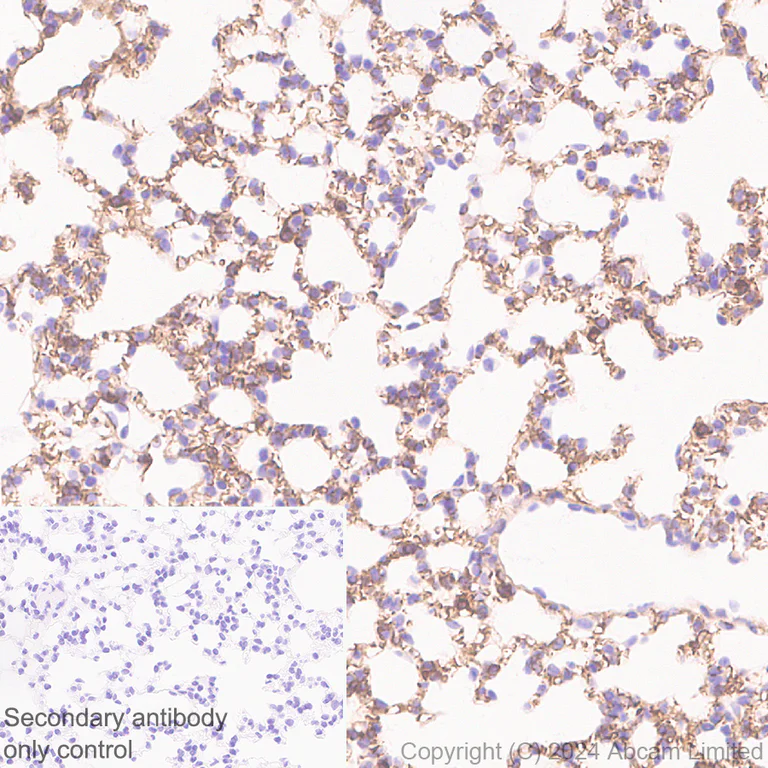
Immunohistochemical analysis of paraffin-embedded Mouse lung tissue labeling PAR1/Thrombin Receptor with ab322457 at 1/500 (1.054 ug/ml) dilution, followed by a ready to use LeicaDS9800 (Bond™ Polymer Refine Detection).

Positive staining on mouse lung (PMID : 12548614).
The section was incubated with ab322457 for 30 mins at room temperature.
The immunostaining was performed on a Leica Biosystems BOND® RX instrument

Counterstained with Hematoxylin.

Secondary antibody only control : Secondary antibody is a ready to use LeicaDS9800 (Bond™ Polymer Refine Detection).

Heat mediated antigen retrieval was performed with Tris-EDTA buffer (pH 9.0, Epitope Retrieval Solution2) for 20 mins

Immunohistochemistry (Formalin/PFA-fixed paraffin-embedded sections) - Anti-PAR1/Thrombin Receptor antibody [EPR28398-8] (AB322457)
  • IHC-P

Supplier Data

Immunohistochemistry (Formalin/PFA-fixed paraffin-embedded sections) - Anti-PAR1/Thrombin Receptor antibody [EPR28398-8] (AB322457)

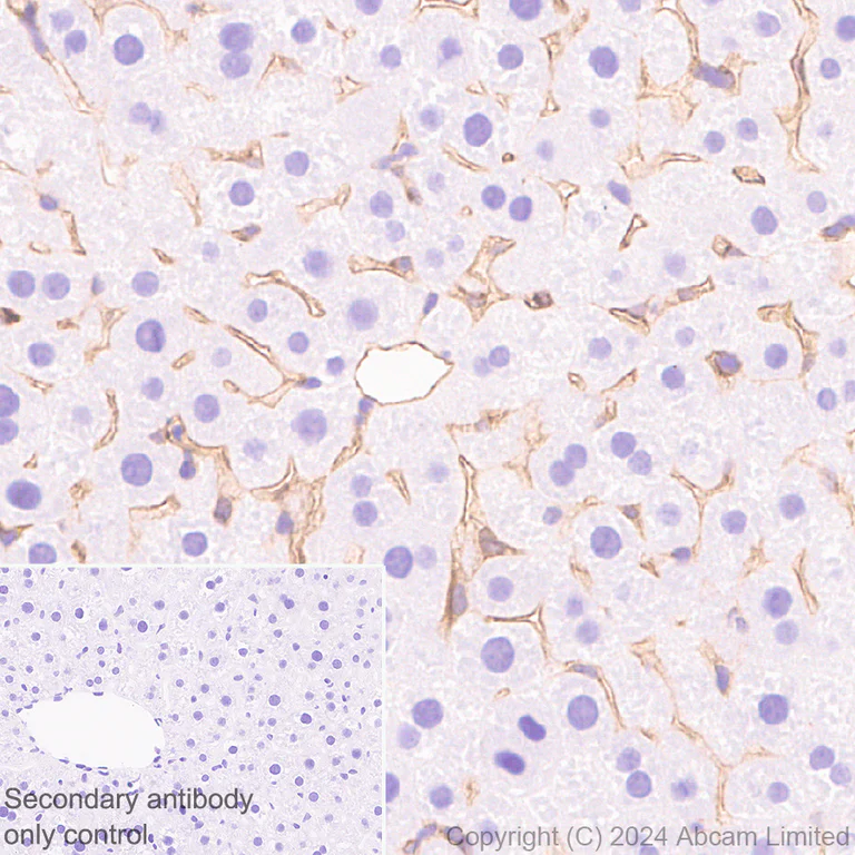
Immunohistochemical analysis of paraffin-embedded Mouse liver tissue labeling PAR1/Thrombin Receptor with ab322457 at 1/500 (1.054 ug/ml) dilution, followed by a ready to use LeicaDS9800 (Bond™ Polymer Refine Detection).

Positive staining on mouse liver.
The section was incubated with ab322457 for 30 mins at room temperature.
The immunostaining was performed on a Leica Biosystems BOND® RX instrument

Counterstained with Hematoxylin.

Secondary antibody only control : Secondary antibody is a ready to use LeicaDS9800 (Bond™ Polymer Refine Detection).

Heat mediated antigen retrieval was performed with Tris-EDTA buffer (pH 9.0, Epitope Retrieval Solution2) for 20 mins

Immunohistochemistry (Formalin/PFA-fixed paraffin-embedded sections) - Anti-PAR1/Thrombin Receptor antibody [EPR28398-8] (AB322457)
  • IHC-P

Supplier Data

Immunohistochemistry (Formalin/PFA-fixed paraffin-embedded sections) - Anti-PAR1/Thrombin Receptor antibody [EPR28398-8] (AB322457)

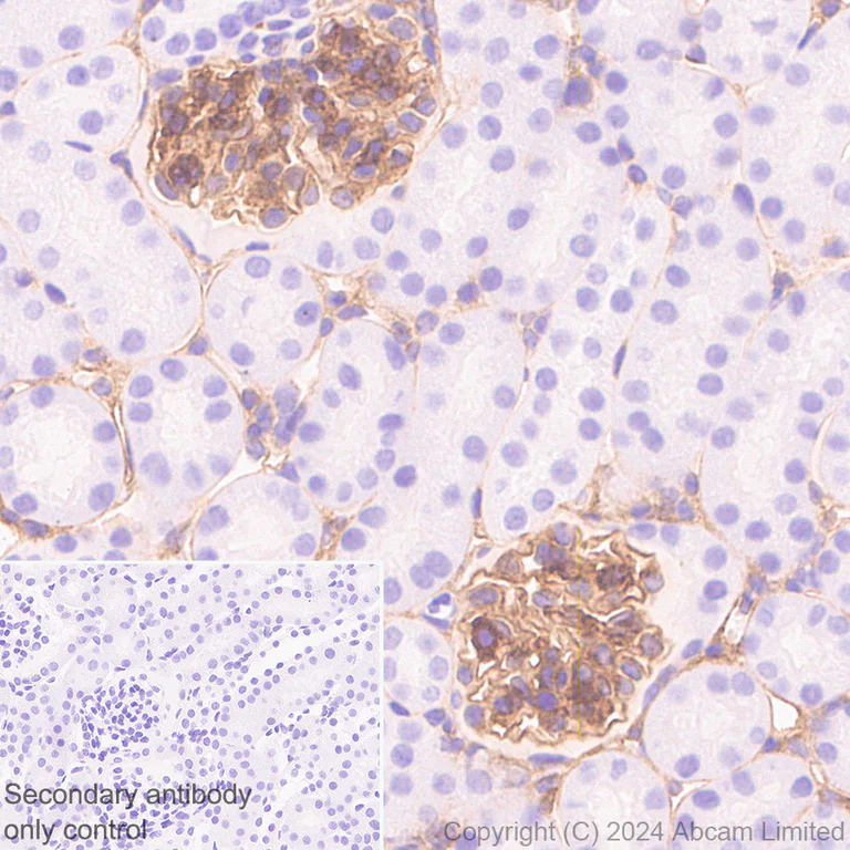
Immunohistochemical analysis of paraffin-embedded Mouse kidney tissue labeling PAR1/Thrombin Receptor with ab322457 at 1/500 (1.054 ug/ml) dilution, followed by a ready to use LeicaDS9800 (Bond™ Polymer Refine Detection).

Positive staining on mouse kidney.
The section was incubated with ab322457 for 30 mins at room temperature.
The immunostaining was performed on a Leica Biosystems BOND® RX instrument

Counterstained with Hematoxylin.

Secondary antibody only control : Secondary antibody is a ready to use LeicaDS9800 (Bond™ Polymer Refine Detection).

Heat mediated antigen retrieval was performed with Tris-EDTA buffer (pH 9.0, Epitope Retrieval Solution2) for 20 mins

Western blot - Anti-PAR1/Thrombin Receptor antibody [EPR28398-8] (AB322457)
  • WB

Supplier Data

Western blot - Anti-PAR1/Thrombin Receptor antibody [EPR28398-8] (AB322457)

Blocking and diluting buffer and concentration : 5% NFDM/TBST.

PAR1 contains different glycosylation sites, the multiple bands may be due to glycosylation (PMID : 20368337).

This blot was developed using a high-sensitivity ECL substrate, allowing for the detection of proteins in the mid-femtogram range.

In Western blot, Anti-GAPDH antibody [EPR16891] - Loading Control (ab181602) staining at 1/200000 dilution.

All lanes:

Western blot - Anti-PAR1/Thrombin Receptor antibody [EPR28398-8] (ab322457) at 1/1000 dilution

Lane 1:

Neuro-2a (mouse neuroblastoma neuroblast) transfected with scrambled siRNA control whole cell lysate at 20 µg

Lane 2:

Neuro-2a transfected with siRNA specifically targeting PAR1 whole cell lysate at 20 µg

Secondary

All lanes:

Western blot - Goat Anti-Rabbit IgG H&L (HRP) (<a href='/en-us/products/secondary-antibodies/goat-rabbit-igg-h-l-hrp-ab97051'>ab97051</a>) at 1/20000 dilution

Observed band size: 47-75 kDa,36 kDa

true

Exposure time: 81s

Western blot - Anti-PAR1/Thrombin Receptor antibody [EPR28398-8] (AB322457)
  • WB

Supplier Data

Western blot - Anti-PAR1/Thrombin Receptor antibody [EPR28398-8] (AB322457)

Blocking and diluting buffer and concentration : 5% NFDM/TBST.

Low expression : RAW 264.7, HL-1.

PAR1 contains different glycosylation sites, the multiple bands may be due to glycosylation (PMID : 20368337).

In Western blot, Anti-GAPDH antibody [EPR16891] - Loading Control (ab181602) staining at 1/200000 dilution.

All lanes:

Western blot - Anti-PAR1/Thrombin Receptor antibody [EPR28398-8] (ab322457) at 1/1000 dilution

Lane 1:

Mouse dorsal galion tissue lysate at 20 µg

Lane 2:

Neuro-2a (mouse neuroblastoma neuroblast) whole cell lysate at 20 µg

Lane 3:

RAW 264.7 (mouse abelson murine leukemia virus-induced tumor macrophage) whole cell lysate at 20 µg

Lane 4:

HL-1 (mouse atrial muscle cell) whole cell lysate at 20 µg

Lane 5:

C8-D1A (mouse cerebellum astrocyte) whole cell lysate at 20 µg

Lane 6:

SW10 (mouse neuronal schwann cell) whole cell lysate at 20 µg

Lane 7:

NIH/3T3 (mouse embryonic fibroblast) whole cell lysate at 20 µg

Secondary

All lanes:

Western blot - Goat Anti-Rabbit IgG H&L (HRP) (<a href='/en-us/products/secondary-antibodies/goat-rabbit-igg-h-l-hrp-ab97051'>ab97051</a>) at 1/20000 dilution

Observed band size: 48-75 kDa,36 kDa

false

Exposure time: 136s

  • Carrier free

    Anti-PAR1/Thrombin Receptor antibody [EPR28398-8] - BSA and Azide free

Key facts

Host species

Rabbit

Clonality

Monoclonal

Clone number

EPR28398-8

Isotype

IgG

Carrier free

No

Reacts with

Mouse

Applications

mIHC, WB, IHC-P

applications

Immunogen

The exact immunogen used to generate this antibody is proprietary information.

Reactivity data

{ "title": "Reactivity Data", "filters": { "stats": ["", "Species", "Dilution Info", "Notes"], "tabs": { "all-applications": {"fullname" : "All Applications", "shortname": "All Applications"}, "mIHC" : {"fullname" : "Multiplex immunohistochemistry", "shortname":"mIHC"}, "IHCP" : {"fullname" : "Immunohistochemistry (Formalin/PFA-fixed paraffin-embedded sections)", "shortname":"IHC-P"}, "WB" : {"fullname" : "Western blot", "shortname":"WB"}, "ICCIF" : {"fullname" : "Immunocytochemistry/ Immunofluorescence", "shortname":"ICC/IF"} }, "product-promise": { "all": "all", "testedAndGuaranteed": "tested", "guaranteed": "expected", "predicted": "predicted", "notRecommended": "not-recommended" } }, "values": { "Mouse": { "mIHC-species-checked": "testedAndGuaranteed", "mIHC-species-dilution-info": "1/500", "mIHC-species-notes": "<p></p>", "IHCP-species-checked": "testedAndGuaranteed", "IHCP-species-dilution-info": "1/500", "IHCP-species-notes": "<p></p> Perform heat-mediated antigen retrieval with Tris/EDTA buffer pH 9.0 before commencing with IHC staining protocol.", "WB-species-checked": "testedAndGuaranteed", "WB-species-dilution-info": "1/1000", "WB-species-notes": "<p></p>", "ICCIF-species-checked": "notRecommended", "ICCIF-species-dilution-info": "", "ICCIF-species-notes": "<p></p>" } } }

Product details

Patented technology
Our RabMAb® technology is a patented hybridoma-based technology for making rabbit monoclonal antibodies. For details on our patents, please refer to RabMAb® patents.

What are the advantages of a recombinant monoclonal antibody?
This product is a recombinant monoclonal antibody, which offers several advantages including:

  • - High batch-to-batch consistency and reproducibility
  • - Improved sensitivity and specificity
  • - Long-term security of supply
  • - Animal-free batch production

For more information, read more on recombinant antibodies.

Properties and storage information

Form
Liquid
Purification technique
Affinity purification Protein A
Storage buffer
pH: 7.2 - 7.4 Preservative: 0.01% Sodium azide Constituents: PBS, 40% Glycerol (glycerin, glycerine), 0.05% BSA
Shipped at conditions
Blue Ice
Appropriate short-term storage duration
1-2 weeks
Appropriate short-term storage conditions
+4°C
Appropriate long-term storage conditions
-20°C
Aliquoting information
Upon delivery aliquot
Storage information
Avoid freeze / thaw cycle

Product protocols

For this product, it's our understanding that no specific protocols are required. You can visit:

Target data

High affinity receptor that binds the activated thrombin, leading to calcium release from intracellular stores. The thrombin-activated receptor signaling pathway is mediated through PTX-insensitive G proteins, activation of phospholipase C resulting in the production of 1D-myo-inositol 1,4,5-trisphosphate (InsP3) which binds to InsP3 receptors causing calcium release from the stores (By similarity). In astrocytes, the calcium released into the cytosol allows the Ca(2+)-dependent release of L-glutamate into the synaptic cleft through BEST1, that targets the neuronal postsynaptic GRIN2A/NMDAR receptor resulting in the synaptic plasticity regulation (PubMed : 25645137). May play a role in platelets activation and in vascular development (By similarity). Mediates up-regulation of pro-inflammatory cytokines, such as MCP-1/CCL2 and IL6, triggered by coagulation factor Xa (F10) in cardiac fibroblasts and umbilical vein endothelial cells (By similarity).
See full target information F2r

Product promise

We are committed to supporting your work with high-quality reagents, and we're here for you every step of the way. In the unlikely event that one of our products does not perform as expected, you're protected by our Product Promise.
For full details, please see our Terms & Conditions

Please note: All products are 'FOR RESEARCH USE ONLY. NOT FOR USE IN DIAGNOSTIC OR THERAPEUTIC PROCEDURES'.

For licensing inquiries, please contact partnerships@abcam.com