JavaScript is disabled in your browser. Please enable JavaScript to view this website.
AB251544

Anti-Parathyroid Hormone antibody [EPR20598] - BSA and Azide free

Be the first to review this product! Submit a review

|

(0 Publication)

Rabbit Recombinant Monoclonal pth antibody. Carrier free. Suitable for IHC-Fr, IHC-P and reacts with Mouse, Rat samples.
4 Images
Immunohistochemistry (Frozen sections) - Anti-Parathyroid Hormone antibody [EPR20598] - BSA and Azide free (AB251544)
  • IHC-Fr

Supplier Data

Immunohistochemistry (Frozen sections) - Anti-Parathyroid Hormone antibody [EPR20598] - BSA and Azide free (AB251544)

This data was developed using ab213557, the same antibody clone in a different buffer formulation.

Immunohistochemical analysis of 4% paraformaldehyde-fixed, 0.2% Triton X-100 permeabilized rat parathyroid tissue labeling Parathyroid Hormone with ab213557 at 1/100 dilution, followed by Goat Anti-Rabbit IgG H&L (Alexa Fluor® 488) (ab150077) secondary antibody at 1/1000 dilution. Granular cytoplasmic staining on chief cells of rat parathyroid is observed, no staining on adjacent thyroid cells (PMID : 7615802). The nuclear counter stain is DAPI (blue).

Secondary antibody only control : Used PBS instead of primary antibody, secondary antibody is Goat Anti-Rabbit IgG H&L (Alexa Fluor® 488) ab150077 at 1/1000 dilution.

Immunohistochemistry (Frozen sections) - Anti-Parathyroid Hormone antibody [EPR20598] - BSA and Azide free (AB251544)
  • IHC-Fr

Supplier Data

Immunohistochemistry (Frozen sections) - Anti-Parathyroid Hormone antibody [EPR20598] - BSA and Azide free (AB251544)

This data was developed using ab213557, the same antibody clone in a different buffer formulation.

Immunohistochemical analysis of 4% paraformaldehyde-fixed, 0.2% Triton X-100 permeabilized mouse parathyroid tissue labeling Parathyroid Hormone with ab213557 at 1/100 dilution, followed by Goat Anti-Rabbit IgG H&L (Alexa Fluor® 488) (ab150077) secondary antibody at 1/1000 dilution. Granular cytoplasmic staining on chief cells of mouse parathyroid is observed, no staining on adjacent thyroid cells (PMID : 7615802). The nuclear counter stain is DAPI (blue).

Secondary antibody only control : Used PBS instead of primary antibody, secondary antibody is Goat Anti-Rabbit IgG H&L (Alexa Fluor® 488) ab150077 at 1/1000 dilution.

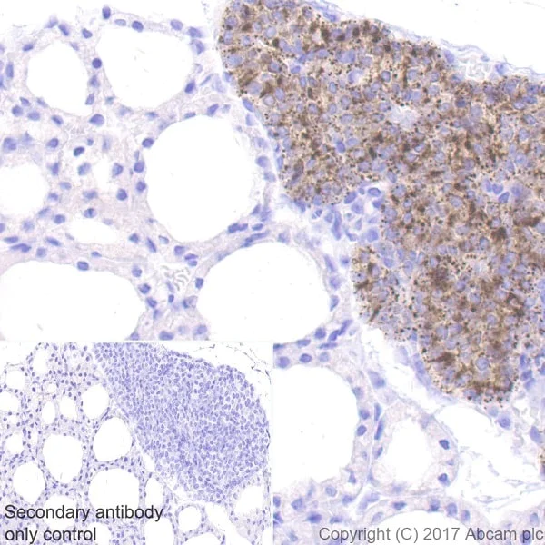
Immunohistochemistry (Formalin/PFA-fixed paraffin-embedded sections) - Anti-Parathyroid Hormone antibody [EPR20598] - BSA and Azide free (AB251544)
  • IHC-P

Supplier Data

Immunohistochemistry (Formalin/PFA-fixed paraffin-embedded sections) - Anti-Parathyroid Hormone antibody [EPR20598] - BSA and Azide free (AB251544)

This data was developed using ab213557, the same antibody clone in a different buffer formulation.

Immunohistochemical analysis of paraffin-embedded rat parathyroid tissue labeling Parathyroid Hormone with ab213557 at 1/1000 dilution, followed by Goat Anti-Rabbit IgG H&L (HRP) (ab97051 ready to use). Granular cytoplasmic staining on chief cells of rat parathyroid is observed, no staining on adjacent thyroid cells (PMID : 7615802). Counter stained with Hematoxylin.

Secondary antibody only control : Used PBS instead of primary antibody, secondary antibody is Goat Anti-Rabbit IgG H&L (HRP) ab97051 ready to use.

Perform heat mediated antigen retrieval with Tris/EDTA buffer pH 9.0 before commencing with IHC staining protocol.

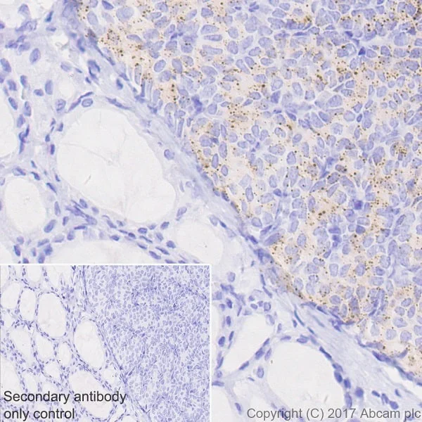
Immunohistochemistry (Formalin/PFA-fixed paraffin-embedded sections) - Anti-Parathyroid Hormone antibody [EPR20598] - BSA and Azide free (AB251544)
  • IHC-P

Supplier Data

Immunohistochemistry (Formalin/PFA-fixed paraffin-embedded sections) - Anti-Parathyroid Hormone antibody [EPR20598] - BSA and Azide free (AB251544)

This data was developed using ab213557, the same antibody clone in a different buffer formulation.

Immunohistochemical analysis of paraffin-embedded mouse parathyroid tissue labeling Parathyroid Hormone with ab213557 at 1/1000 dilution, followed by Goat Anti-Rabbit IgG H&L (HRP) (ab97051 ready to use). Granular cytoplasmic staining on chief cells of mouse parathyroid is observed, no staining on adjacent thyroid cells (PMID : 7615802). Counter stained with Hematoxylin.

Secondary antibody only control : Used PBS instead of primary antibody, secondary antibody is Goat Anti-Rabbit IgG H&L (HRP) ab97051 ready to use.

Perform heat mediated antigen retrieval with Tris/EDTA buffer pH 9.0 before commencing with IHC staining protocol.

Key facts

Host species

Rabbit

Clonality

Monoclonal

Clone number

EPR20598

Isotype

IgG

Carrier free

Yes

Reacts with

Mouse, Rat

Applications

IHC-Fr, IHC-P

applications

Immunogen

The exact immunogen used to generate this antibody is proprietary information.

Specificity

ab213557 (the same antibody clone in a different buffer formulation) has non-specific staining on mouse and rat kidney

Reactivity data

{ "title": "Reactivity Data", "filters": { "stats": ["", "Species", "Dilution Info", "Notes"], "tabs": { "all-applications": {"fullname" : "All Applications", "shortname": "All Applications"}, "IHCFr" : {"fullname" : "Immunohistochemistry (Frozen sections)", "shortname":"IHC-Fr"}, "IHCP" : {"fullname" : "Immunohistochemistry (Formalin/PFA-fixed paraffin-embedded sections)", "shortname":"IHC-P"} }, "product-promise": { "all": "all", "testedAndGuaranteed": "tested", "guaranteed": "expected", "predicted": "predicted", "notRecommended": "not-recommended" } }, "values": { "Mouse": { "IHCFr-species-checked": "testedAndGuaranteed", "IHCFr-species-dilution-info": "", "IHCFr-species-notes": "<p></p>", "IHCP-species-checked": "testedAndGuaranteed", "IHCP-species-dilution-info": "", "IHCP-species-notes": "<p></p> Perform heat-mediated antigen retrieval with Tris/EDTA buffer pH 9.0 before commencing with IHC staining protocol." }, "Rat": { "IHCFr-species-checked": "testedAndGuaranteed", "IHCFr-species-dilution-info": "", "IHCFr-species-notes": "<p></p>", "IHCP-species-checked": "testedAndGuaranteed", "IHCP-species-dilution-info": "", "IHCP-species-notes": "<p></p> Perform heat-mediated antigen retrieval with Tris/EDTA buffer pH 9.0 before commencing with IHC staining protocol." }, "Hamster": { "IHCFr-species-checked": "predicted", "IHCFr-species-dilution-info": "", "IHCFr-species-notes": "", "IHCP-species-checked": "predicted", "IHCP-species-dilution-info": "", "IHCP-species-notes": "" } } }

Product details

ab251544 is the carrier-free version of ab213557.

Patented technology
Our RabMAb® technology is a patented hybridoma-based technology for making rabbit monoclonal antibodies. For details on our patents, please refer to RabMAb® patents.

What are the advantages of a recombinant monoclonal antibody?
This product is a recombinant monoclonal antibody, which offers several advantages including:

  • - High batch-to-batch consistency and reproducibility
  • - Improved sensitivity and specificity
  • - Long-term security of supply
  • - Animal-free batch production

For more information, read more on recombinant antibodies.

Conjugation ready
Our carrier-free antibodies are typically supplied in a PBS-only formulation, purified and free of BSA, sodium azide and glycerol. This conjugation-ready format is designed for use with fluorochromes, metal isotopes, oligonucleotides, and enzymes, which makes them ideal for antibody labelling, functional and cell-based assays, flow-based assays (e.g. mass cytometry) and Multiplex Imaging applications.

Use our conjugation kits for antibody conjugates that are ready-to-use in as little as 20 minutes with 1 minute hands-on-time and 100% antibody recovery: available for fluorescent dyes, HRP, biotin and gold.

Compatibility
This product is compatible with the Maxpar® Antibody Labeling Kit from Fluidigm, without the need for antibody preparation. Maxpar® is a trademark of Fluidigm Canada Inc.

Properties and storage information

Form
Liquid
Storage buffer
pH: 7.2 - 7.4 Constituents: PBS
Shipped at conditions
Blue Ice
Appropriate short-term storage conditions
+4°C
Appropriate long-term storage conditions
+4°C
Storage information
Do Not Freeze

Supplementary information

This supplementary information is collated from multiple sources and compiled automatically.

Parathyroid hormone (PTH) also known as the parathyrin is a hormone protein with a molecular mass of about 9.4 kDa. It is synthesized and secreted by the chief cells of the parathyroid glands. PTH plays an important role in regulating calcium levels in the blood. Its molecular action involves binding to PTH receptors which are mainly located in bones and kidneys to increase calcium concentration by promoting its release from bones and reabsorption in the kidneys. This hormone is also present in the bloodstream as a parathyroid hormone peptide.
Biological function summary

PTH regulates calcium and phosphate metabolism in the body. It does not function as part of a larger complex but acts independently to control these important minerals. The hormone affects osteoclast activity in bones enhancing calcium and phosphate release. Additionally in the kidneys it reduces phosphate reabsorption while increasing calcium reabsorption. This balance maintained by PTH is essential for bone health and metabolic functions often associated with parathyroid hormone-related proteins in its activity.

Pathways

PTH is integral to the calcium signaling pathway and the renal phosphate reabsorption pathway. PTH works in concert with vitamin D to enhance intestinal calcium absorption. Calcitriol the active form of vitamin D depends on PTH for its synthesis in the kidneys linking the two in calcium homeostasis. Through these pathways PTH also interacts with the calcitonin hormone to moderate calcium levels creating a balance between mineral deposition and resorption in bones.

PTH is closely associated with hyperparathyroidism and hypoparathyroidism known as pan hypoparathyroidism when complete underactivity of the parathyroid glands occurs. In hyperparathyroidism an overproduction of PTH leads to high blood calcium levels and associated symptoms. Conversely hypoparathyroidism results in low calcium levels due to insufficient PTH secretion. Both conditions affect calcium metabolism and relate to proteins like calcium-sensing receptor and PTH-related peptide highlighting how critical PTH's function is in endocrine and metabolic health.

Product protocols

For this product, it's our understanding that no specific protocols are required. You can visit:

Product promise

We are committed to supporting your work with high-quality reagents, and we're here for you every step of the way. In the unlikely event that one of our products does not perform as expected, you're protected by our Product Promise.
For full details, please see our Terms & Conditions

Please note: All products are 'FOR RESEARCH USE ONLY. NOT FOR USE IN DIAGNOSTIC OR THERAPEUTIC PROCEDURES'.

For licensing inquiries, please contact partnerships@abcam.com