JavaScript is disabled in your browser. Please enable JavaScript to view this website.
AB166632

Anti-Parathyroid Hormone antibody [EPR8481]

Be the first to review this product! Submit a review

|

(1 Publication)

Rabbit Recombinant Monoclonal Parathyroid Hormone antibody. Suitable for IHC-P, ELISA, WB and reacts with Human, Recombinant full length protein - Human samples. Cited in 1 publication.

View Alternative Names

Parathyroid hormone, PTH, Parathormone, Parathyrin

3 Images
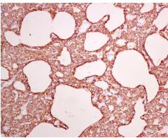
Immunohistochemistry (Formalin/PFA-fixed paraffin-embedded sections) - Anti-Parathyroid Hormone antibody [EPR8481] (AB166632)
  • IHC-P

Unknown

Immunohistochemistry (Formalin/PFA-fixed paraffin-embedded sections) - Anti-Parathyroid Hormone antibody [EPR8481] (AB166632)

Immunohistochemical analysis of paraffin embedded Human parathyroid gland tissue labeling Parathyroid Hormone with ab166632 at a 1/250 dilution.

Perform heat mediated antigen retrieval with citrate buffer pH 6 before commencing with IHC staining protocol.

ELISA - Anti-Parathyroid Hormone antibody [EPR8481] (AB166632)
  • ELISA

Unknown

ELISA - Anti-Parathyroid Hormone antibody [EPR8481] (AB166632)

Direct ELISA antibody dose-response curve using recombinant anti-Human Parathyroid Hormone antibody (ab166632) against full length human parathyroid hormone protein followed Alkaline Phosphatase conjugated Goat Anti-Rabbit IgG secondary antibody.

Antigen concentration : 100 ng/ml

Primary ab concentration : 0-1000 ng/ml

Secondary ab concentration : 1 : 200 dilution

Western blot - Anti-Parathyroid Hormone antibody [EPR8481] (AB166632)
  • WB

Unknown

Western blot - Anti-Parathyroid Hormone antibody [EPR8481] (AB166632)

All lanes:

Western blot - Anti-Parathyroid Hormone antibody [EPR8481] (ab166632) at 1/1000 dilution

All lanes:

10ng of tagged recombinant Human Parathyroid Hormone

Predicted band size: 13 kDa

false

Key facts

Host species

Rabbit

Clonality

Monoclonal

Clone number

EPR8481

Isotype

IgG

Carrier free

No

Reacts with

Human

Applications

WB, IHC-P, ELISA

applications

Immunogen

The exact immunogen used to generate this antibody is proprietary information.

Reactivity data

{ "title": "Reactivity Data", "filters": { "stats": ["", "Species", "Dilution Info", "Notes"], "tabs": { "all-applications": {"fullname" : "All Applications", "shortname": "All Applications"}, "IHCP" : {"fullname" : "Immunohistochemistry (Formalin/PFA-fixed paraffin-embedded sections)", "shortname":"IHC-P"}, "ELISA" : {"fullname" : "ELISA", "shortname":"ELISA"}, "WB" : {"fullname" : "Western blot", "shortname":"WB"}, "IP" : {"fullname" : "Immunoprecipitation", "shortname":"IP"}, "ICCIF" : {"fullname" : "Immunocytochemistry/ Immunofluorescence", "shortname":"ICC/IF"} }, "product-promise": { "all": "all", "testedAndGuaranteed": "tested", "guaranteed": "expected", "predicted": "predicted", "notRecommended": "not-recommended" } }, "values": { "Human": { "IHCP-species-checked": "testedAndGuaranteed", "IHCP-species-dilution-info": "1/250 - 1/500", "IHCP-species-notes": "<p></p>", "ELISA-species-checked": "guaranteed", "ELISA-species-dilution-info": "", "ELISA-species-notes": "", "WB-species-checked": "testedAndGuaranteed", "WB-species-dilution-info": "1/1000 - 1/10000", "WB-species-notes": "<p></p>", "IP-species-checked": "notRecommended", "IP-species-dilution-info": "", "IP-species-notes": "<p></p>", "ICCIF-species-checked": "notRecommended", "ICCIF-species-dilution-info": "", "ICCIF-species-notes": "<p></p>" }, "Recombinant full length protein - Human": { "IHCP-species-checked": "notRecommended", "IHCP-species-dilution-info": "", "IHCP-species-notes": "", "ELISA-species-checked": "testedAndGuaranteed", "ELISA-species-dilution-info": "", "ELISA-species-notes": "<p></p>", "WB-species-checked": "notRecommended", "WB-species-dilution-info": "", "WB-species-notes": "", "IP-species-checked": "notRecommended", "IP-species-dilution-info": "", "IP-species-notes": "", "ICCIF-species-checked": "notRecommended", "ICCIF-species-dilution-info": "", "ICCIF-species-notes": "" } } }

Product details

Species reactivity
Mouse, Rat: We have preliminary internal testing data to indicate this antibody may not react with these species.
Please contact us for more information.

Patented technology
Our RabMAb® technology is a patented hybridoma-based technology for making rabbit monoclonal antibodies. For details on our patents, please refer to RabMAb® patents.

What are the advantages of a recombinant monoclonal antibody?
This product is a recombinant monoclonal antibody, which offers several advantages including:

  • - High batch-to-batch consistency and reproducibility
  • - Improved sensitivity and specificity
  • - Long-term security of supply
  • - Animal-free batch production

For more information, read more on recombinant antibodies.

Properties and storage information

Form
Liquid
Purification technique
Affinity purification Protein A
Storage buffer
pH: 7.2 - 7.4 Preservative: 0.01% Sodium azide Constituents: PBS, 50% Tissue culture supernatant, 40% Glycerol (glycerin, glycerine), 0.05% BSA
Shipped at conditions
Blue Ice
Appropriate short-term storage conditions
+4°C
Appropriate long-term storage conditions
-20°C
Aliquoting information
Upon delivery aliquot
Storage information
Avoid freeze / thaw cycle

Supplementary information

This supplementary information is collated from multiple sources and compiled automatically.

Parathyroid hormone (PTH) also known as the parathyrin is a hormone protein with a molecular mass of about 9.4 kDa. It is synthesized and secreted by the chief cells of the parathyroid glands. PTH plays an important role in regulating calcium levels in the blood. Its molecular action involves binding to PTH receptors which are mainly located in bones and kidneys to increase calcium concentration by promoting its release from bones and reabsorption in the kidneys. This hormone is also present in the bloodstream as a parathyroid hormone peptide.
Biological function summary

PTH regulates calcium and phosphate metabolism in the body. It does not function as part of a larger complex but acts independently to control these important minerals. The hormone affects osteoclast activity in bones enhancing calcium and phosphate release. Additionally in the kidneys it reduces phosphate reabsorption while increasing calcium reabsorption. This balance maintained by PTH is essential for bone health and metabolic functions often associated with parathyroid hormone-related proteins in its activity.

Pathways

PTH is integral to the calcium signaling pathway and the renal phosphate reabsorption pathway. PTH works in concert with vitamin D to enhance intestinal calcium absorption. Calcitriol the active form of vitamin D depends on PTH for its synthesis in the kidneys linking the two in calcium homeostasis. Through these pathways PTH also interacts with the calcitonin hormone to moderate calcium levels creating a balance between mineral deposition and resorption in bones.

PTH is closely associated with hyperparathyroidism and hypoparathyroidism known as pan hypoparathyroidism when complete underactivity of the parathyroid glands occurs. In hyperparathyroidism an overproduction of PTH leads to high blood calcium levels and associated symptoms. Conversely hypoparathyroidism results in low calcium levels due to insufficient PTH secretion. Both conditions affect calcium metabolism and relate to proteins like calcium-sensing receptor and PTH-related peptide highlighting how critical PTH's function is in endocrine and metabolic health.

Product protocols

For this product, it's our understanding that no specific protocols are required. You can visit:

Target data

PTH elevates calcium level by dissolving the salts in bone and preventing their renal excretion. Stimulates [1-14C]-2-deoxy-D-glucose (2DG) transport and glycogen synthesis in osteoblastic cells.
See full target information Parathyroid hormone

Publications (1)

Recent publications for all applications. Explore the full list and refine your search

Frontiers in toxicology 5:1277047 PubMed38259729

2024

Astrocyte DNA damage and response upon acute exposure to ethanol and corticosterone.

Applications

Unspecified application

Species

Unspecified reactive species

Ana Laura Reyes-Ábalos,Magdalena Álvarez-Zabaleta,Silvia Olivera-Bravo,María Vittoria Di Tomaso
View all publications

Product promise

We are committed to supporting your work with high-quality reagents, and we're here for you every step of the way. In the unlikely event that one of our products does not perform as expected, you're protected by our Product Promise.
For full details, please see our Terms & Conditions

Please note: All products are 'FOR RESEARCH USE ONLY. NOT FOR USE IN DIAGNOSTIC OR THERAPEUTIC PROCEDURES'.

For licensing inquiries, please contact partnerships@abcam.com