JavaScript is disabled in your browser. Please enable JavaScript to view this website.
AB180762

Anti-Parathyroid Hormone Receptor 1/PTH1R antibody

Be the first to review this product! Submit a review

|

(2 Publications)

Rabbit Polyclonal Parathyroid Hormone Receptor 1/PTH1R antibody. Suitable for WB and reacts with Human, Mouse samples. Cited in 2 publications. Immunogen corresponding to Recombinant Fragment Protein within Human PTH1R.

View Alternative Names

PTHR, PTHR1, PTH1R, Parathyroid hormone/parathyroid hormone-related peptide receptor, PTH/PTHrP type I receptor, Parathyroid hormone 1 receptor, PTH/PTHr receptor, PTH1 receptor

1 Images
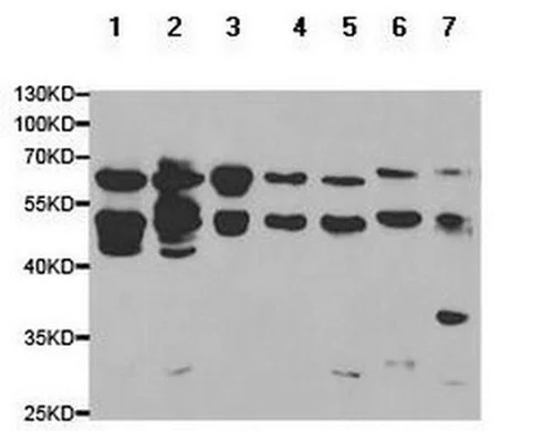
Western blot - Anti-Parathyroid Hormone Receptor 1/PTH1R antibody (AB180762)
  • WB

Supplier Data

Western blot - Anti-Parathyroid Hormone Receptor 1/PTH1R antibody (AB180762)

All lanes:

Western blot - Anti-Parathyroid Hormone Receptor 1/PTH1R antibody (ab180762) at 1/500 dilution

Lane 1:

Extracts from Jurkat cell line

Lane 2:

Extracts from MCF7 cell line

Lane 3:

Extracts from U251 cell line

Lane 4:

Extracts from DU145 cell line

Lane 5:

Extracts from THP1 cell line

Lane 6:

Extracts from mouse kidney tissue

Lane 7:

Extracts from mouse liver tissue

Predicted band size: 66 kDa

false

Key facts

Host species

Rabbit

Clonality

Polyclonal

Isotype

IgG

Carrier free

No

Reacts with

Mouse, Human

Applications

WB

applications

Immunogen

Recombinant Fragment Protein within Human PTH1R. The exact immunogen used to generate this antibody is proprietary information.

Q03431

Reactivity data

{ "title": "Reactivity Data", "filters": { "stats": ["", "Species", "Dilution Info", "Notes"], "tabs": { "all-applications": {"fullname" : "All Applications", "shortname": "All Applications"}, "WB" : {"fullname" : "Western blot", "shortname":"WB"} }, "product-promise": { "all": "all", "testedAndGuaranteed": "tested", "guaranteed": "expected", "predicted": "predicted", "notRecommended": "not-recommended" } }, "values": { "Human": { "WB-species-checked": "testedAndGuaranteed", "WB-species-dilution-info": "1/500 - 1/2000", "WB-species-notes": "<p></p>" }, "Mouse": { "WB-species-checked": "testedAndGuaranteed", "WB-species-dilution-info": "1/500 - 1/2000", "WB-species-notes": "<p></p>" }, "Rat": { "WB-species-checked": "predicted", "WB-species-dilution-info": "", "WB-species-notes": "" }, "Cow": { "WB-species-checked": "predicted", "WB-species-dilution-info": "", "WB-species-notes": "" }, "Dog": { "WB-species-checked": "predicted", "WB-species-dilution-info": "", "WB-species-notes": "" }, "Orangutan": { "WB-species-checked": "predicted", "WB-species-dilution-info": "", "WB-species-notes": "" }, "Pig": { "WB-species-checked": "predicted", "WB-species-dilution-info": "", "WB-species-notes": "" } } }

Properties and storage information

Form
Liquid
Purification technique
Affinity purification Immunogen
Storage buffer
pH: 7.3 Preservative: 0.02% Sodium azide Constituents: PBS, 50% Glycerol (glycerin, glycerine)
Shipped at conditions
Blue Ice
Appropriate short-term storage duration
1-2 weeks
Appropriate short-term storage conditions
+4°C
Appropriate long-term storage conditions
-20°C
Aliquoting information
Upon delivery aliquot
Storage information
Avoid freeze / thaw cycle

Supplementary information

This supplementary information is collated from multiple sources and compiled automatically.

Parathyroid Hormone Receptor 1 (PTH1R) also known as the parathyroid receptor or hormone receptor is a G-protein-coupled receptor with an approximate molecular mass of 66 kDa. This receptor is found in various tissues mainly in bone and kidney. PTH1R interacts with parathyroid hormone (PTH) and parathyroid hormone-related peptide (PTHrP) both of which play significant roles in maintaining calcium homeostasis. The receptor is an important regulator in these processes facilitating the signal transduction that governs important physiological responses.
Biological function summary

PTH1R facilitates the regulation of calcium and phosphate balance in the body. It does not act alone but participates as a part of a signaling complex engaging with intracellular G-proteins to initiate signaling cascades. The receptor's activity helps modulate bone remodeling by affecting osteoblast and osteoclast activity which are essential for bone development and mineralization. Moreover in the kidney PTH1R adjusts calcium reabsorption and phosphate excretion supporting the maintenance of serum calcium levels.

Pathways

PTH1R plays a significant role in the cyclic AMP (cAMP) and phosphatidylinositol signaling pathways. When PTH or PTHrP binds to PTH1R it activates the adenylate cyclase increasing cAMP levels and subsequently activating protein kinase A (PKA). This pathway affects various physiological processes like gene expression and metabolic regulation. In addition PTH1R interacts with the phospholipase C pathway facilitating calcium mobilization inside cells. Proteins like Gs and Gq are involved in these pathways aiding in the receptor's ability to exert its biological effects.

PTH1R is associated with conditions such as osteoporosis and hypoparathyroidism. Osteoporosis involves abnormal bone loss and malfunctioning of the receptor can exacerbate this condition by impairing normal bone remodeling. In hypoparathyroidism insufficient signaling through PTH1R leads to low levels of calcium affecting bone and other bodily functions. The receptor's interaction with proteins such as parathyroid hormone-related peptide further extends its relevance to these conditions as alterations in these proteins can influence disease progression.

Product protocols

For this product, it's our understanding that no specific protocols are required. You can visit:

Target data

Receptor for parathyroid hormone and for parathyroid hormone-related peptide. The activity of this receptor is mediated by G proteins which activate adenylyl cyclase and also a phosphatidylinositol-calcium second messenger system.
See full target information PTH1R

Publications (2)

Recent publications for all applications. Explore the full list and refine your search

Journal of orthopaedic translation 40:58-71 PubMed37457310

2023

Osteocyte β3 integrin promotes bone mass accrual and force-induced bone formation in mice.

Applications

Unspecified application

Species

Unspecified reactive species

Lei Qin,Zecai Chen,Dazhi Yang,Tailin He,Zhen Xu,Peijun Zhang,Di Chen,Weihong Yi,Guozhi Xiao

Cancers 11: PubMed31100952

2019

Targeting Palbociclib-Resistant Estrogen Receptor-Positive Breast Cancer Cells via Oncolytic Virotherapy.

Applications

Unspecified application

Species

Unspecified reactive species

Nadiia Lypova,Lilibeth Lanceta,Alana Gibson,Stephanie Vega,Rodolfo Garza-Morales,Kelly M McMasters,Jason Chesney,Jorge G Gomez-Gutierrez,Yoannis Imbert-Fernandez
View all publications

Product promise

We are committed to supporting your work with high-quality reagents, and we're here for you every step of the way. In the unlikely event that one of our products does not perform as expected, you're protected by our Product Promise.
For full details, please see our Terms & Conditions

Please note: All products are 'FOR RESEARCH USE ONLY. NOT FOR USE IN DIAGNOSTIC OR THERAPEUTIC PROCEDURES'.

For licensing inquiries, please contact partnerships@abcam.com