JavaScript is disabled in your browser. Please enable JavaScript to view this website.
AB115631

Anti-PARC antibody

Be the first to review this product! Submit a review

|

(1 Publication)

Rabbit Polyclonal PARC antibody. Suitable for IHC-P and reacts with Human samples. Cited in 1 publication. Immunogen corresponding to Synthetic Peptide within Human CUL9 conjugated to Keyhole Limpet Haemocyanin.

View Alternative Names

H7AP1, KIAA0708, PARC, CUL9, Cullin-9, CUL-9, UbcH7-associated protein 1, p53-associated parkin-like cytoplasmic protein

1 Images
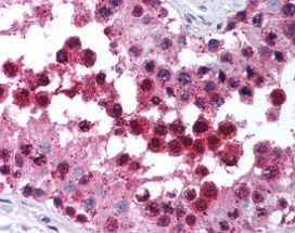
Immunohistochemistry (Formalin/PFA-fixed paraffin-embedded sections) - Anti-PARC antibody (AB115631)
  • IHC-P

Unknown

Immunohistochemistry (Formalin/PFA-fixed paraffin-embedded sections) - Anti-PARC antibody (AB115631)

ab115631 at 5ug/ml staining PARC in Human testis tissue by immunohistochemistry (FFPE). Following primary incubation slides were incubated with biotinylated goat anti-rabbit IgG secondary antibody, alkaline phosphatase-streptavidin and chromogen.

Key facts

Host species

Rabbit

Clonality

Polyclonal

Isotype

IgG

Carrier free

No

Reacts with

Human

Applications

IHC-P

applications

Immunogen

Synthetic Peptide within Human CUL9 conjugated to Keyhole Limpet Haemocyanin. The exact immunogen used to generate this antibody is proprietary information.

Q8IWT3

Reactivity data

{ "title": "Reactivity Data", "filters": { "stats": ["", "Species", "Dilution Info", "Notes"], "tabs": { "all-applications": {"fullname" : "All Applications", "shortname": "All Applications"}, "IHCP" : {"fullname" : "Immunohistochemistry (Formalin/PFA-fixed paraffin-embedded sections)", "shortname":"IHC-P"} }, "product-promise": { "all": "all", "testedAndGuaranteed": "tested", "guaranteed": "expected", "predicted": "predicted", "notRecommended": "not-recommended" } }, "values": { "Human": { "IHCP-species-checked": "testedAndGuaranteed", "IHCP-species-dilution-info": "5 µg/mL", "IHCP-species-notes": "<p></p> Perform heat-mediated antigen retrieval with citrate buffer pH 6 before commencing with IHC staining protocol." }, "Mouse": { "IHCP-species-checked": "predicted", "IHCP-species-dilution-info": "", "IHCP-species-notes": "" } } }

Properties and storage information

Form
Liquid
Purification technique
Affinity purification Immunogen
Storage buffer
pH: 7.4 Preservative: 0.02% Sodium azide Constituents: 99% PBS
Shipped at conditions
Blue Ice
Appropriate short-term storage duration
1-2 weeks
Appropriate short-term storage conditions
+4°C
Appropriate long-term storage conditions
-20°C
Storage information
Avoid freeze / thaw cycle

Product protocols

For this product, it's our understanding that no specific protocols are required. You can visit:

Target data

Core component of a Cul9-RING ubiquitin-protein ligase complex composed of CUL9 and RBX1 (PubMed : 38605244). The CUL9-RBX1 complex mediates ubiquitination and subsequent degradation of BIRC5 and is required to maintain microtubule dynamics and genome integrity. Acts downstream of the 3M complex, which inhibits the ubiquitination of BIRC5 (PubMed : 24793696). The CUL9-RBX1 complex also mediates mono-ubiquitination of p53/TP53 (PubMed : 38605244). Acts as a cytoplasmic anchor protein in p53/TP53-associated protein complex. Regulates the subcellular localization of p53/TP53 and its subsequent function (PubMed : 12526791, PubMed : 17332328). Ubiquitinates apurinic/apyrimidinic endodeoxyribonuclease APEX2 (PubMed : 38605244). Ubiquitination by the CUL9-RBX1 complex is predominantly mediated by E2 ubiquitin-conjugating enzymes UBE2L3 and UBE2D2 (PubMed : 38605244).
See full target information CUL9

Publications (1)

Recent publications for all applications. Explore the full list and refine your search

The EMBO journal 37: PubMed29496741

2018

Attenuation of cGAS-STING signaling is mediated by a p62/SQSTM1-dependent autophagy pathway activated by TBK1.

Applications

Unspecified application

Species

Unspecified reactive species

Thaneas Prabakaran,Chiranjeevi Bodda,Christian Krapp,Bao-Cun Zhang,Maria H Christensen,Chenglong Sun,Line Reinert,Yujia Cai,Søren B Jensen,Morten K Skouboe,Jens R Nyengaard,Craig B Thompson,Robert Jan Lebbink,Ganes C Sen,Geert van Loo,Rikke Nielsen,Masaaki Komatsu,Lene N Nejsum,Martin R Jakobsen,Mads Gyrd-Hansen,Søren R Paludan
View all publications

Product promise

We are committed to supporting your work with high-quality reagents, and we're here for you every step of the way. In the unlikely event that one of our products does not perform as expected, you're protected by our Product Promise.
For full details, please see our Terms & Conditions

Please note: All products are 'FOR RESEARCH USE ONLY. NOT FOR USE IN DIAGNOSTIC OR THERAPEUTIC PROCEDURES'.

For licensing inquiries, please contact partnerships@abcam.com