JavaScript is disabled in your browser. Please enable JavaScript to view this website.
AB218373

Anti-PARK7/DJ1 antibody [EP2815Y] - BSA and Azide free

Be the first to review this product! Submit a review

|

(6 Publications)

Rabbit Recombinant Monoclonal PARK7/DJ1 antibody. Carrier free. Suitable for IHC-P, IP, WB, ICC/IF, Flow Cyt (Intra) and reacts with Human, Mouse, Rat samples. Cited in 6 publications.

View Alternative Names

Parkinson disease protein 7, Maillard deglycase, Oncogene DJ1, Parkinsonism-associated deglycase, Protein DJ-1, Protein/nucleic acid deglycase DJ-1, DJ-1, PARK7

11 Images
Immunocytochemistry/ Immunofluorescence - Anti-PARK7/DJ1 antibody [EP2815Y] - BSA and Azide free (AB218373)
  • ICC/IF

Collaborator

Immunocytochemistry/ Immunofluorescence - Anti-PARK7/DJ1 antibody [EP2815Y] - BSA and Azide free (AB218373)

This data was developed using ab76008, the same antibody clone in a different buffer formulation.

ab76008 was shown to react with PARK7 in wild-type HEK-293T cells in immunocytochemistry with loss of signal observed in a PARK7 knockout cell line. Wild-type and knockout cells were mixed and pelleted at a 1 : 1 ratio on coverslips. The cells were fixed with 4% paraformaldehyde (15 min) then permeabilized with 0.1% Triton X-100 (10min) and then blocked with 1x PBS, 0.01% Triton X-100, 5% BSA, 5% NGS. The cells were then incubated with ab76008 at 1/100 dilution overnight at 4°C followed by a further incubation at room temperature for 1h with a goat anti-rabbit secondary antibody to (Alexa Fluor® 555) at 0.5 µg/ml. Acquisition of the green (wild-type), red (antibody staining) and far-red (knockout) channels was performed. Representative grayscale images of the red channel are shown. Wild-type and knockout cells are outlined with yellow and magenta dashed line, respectively. Schematic representation of the mosaic strategy used is shown on the bottom-right panel. Image was acquired with a Zeiss(LSM-880).

This data was provided by YCharOS Inc., an open science company with the mission of characterizing commercially available antibody reagents for all human proteins. Abcam and YCharOS are working together to help address the reproducibility crisis by enabling the life science community to better evaluate commercially available antibodies.

Flow Cytometry (Intracellular) - Anti-PARK7/DJ1 antibody [EP2815Y] - BSA and Azide free (AB218373)
  • Flow Cyt (Intra)

Unknown

Flow Cytometry (Intracellular) - Anti-PARK7/DJ1 antibody [EP2815Y] - BSA and Azide free (AB218373)

This IHC data was generated using the same anti-PARK7 antibody clone, EP2815Y, in a different buffer formulation (cat

ab76008).

Intracellular Flow Cytometry analysis of HepG2 (Human hepatocellular carcinoma epithelial cell) cells labeling PARK7/DJ1 with Purified ab76008 at 1/20 dilution (10μg/ml) (red). Cells were fixed with 4% Paraformaldehyde. A Goat anti rabbit IgG (Alexa Fluor® 488, ab150077) secondary antibody was used at 1/2000. Isotype control - Rabbit monoclonal IgG (Black). Unlabeled control - Cell without incubation with primary antibody and secondary antibody (Blue).

Immunocytochemistry/ Immunofluorescence - Anti-PARK7/DJ1 antibody [EP2815Y] - BSA and Azide free (AB218373)
  • ICC/IF

Unknown

Immunocytochemistry/ Immunofluorescence - Anti-PARK7/DJ1 antibody [EP2815Y] - BSA and Azide free (AB218373)

This IHC data was generated using the same anti-PARK7 antibody clone, EP2815Y, in a different buffer formulation (cat# ab76008).

Immunocytochemistry/ Immunofluorescence analysis of Jurkat (Human T cell leukemia T lymphocyte) cells labeling PARK7/DJ1 with Purified ab76008 at 1 : 500 dilution (0.2 μg/ml). Cells were fixed in 4% Paraformaldehyde and permeabilized with 0.1% tritonX-100. Cells were counterstained with ab195889 Anti-alpha Tubulin antibody [DM1A] - Microtubule Marker (Alexa Fluor® 594) 1 : 200 (2.5 μg/ml). Goat anti rabbit IgG (Alexa Fluor® 488, ab150077) was used as the secondary antibody at 1 : 1000 (2 μg/ml) dilution. DAPI nuclear counterstain. PBS instead of the primary antibody was used as the secondary antibody only control.

Immunocytochemistry/ Immunofluorescence - Anti-PARK7/DJ1 antibody [EP2815Y] - BSA and Azide free (AB218373)
  • ICC/IF

Unknown

Immunocytochemistry/ Immunofluorescence - Anti-PARK7/DJ1 antibody [EP2815Y] - BSA and Azide free (AB218373)

Immunocytochemistry/Immunofluorescence analysis of MCF-7 (human breast carcinoma) labelling PARK7/DJ1 with purified ab76008 at 1/500. Cells were fixed with 4% PFA and permeabilized with 0.1% Triton X-100. An Alexa Fluor® 488-conjugated goat anti-rabbit IgG (1/1000) was used as the secondary antibody (ab150077). Nuclei counterstained with DAPI (blue).

Control : PBS only

This data was developed using the same antibody clone in a different buffer formulation containing PBS, BSA, glycerol, and sodium azide (ab76008).

This image was generated using the unpurified version of the product.

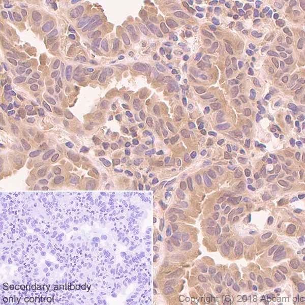
Immunohistochemistry (Formalin/PFA-fixed paraffin-embedded sections) - Anti-PARK7/DJ1 antibody [EP2815Y] - BSA and Azide free (AB218373)
  • IHC-P

Unknown

Immunohistochemistry (Formalin/PFA-fixed paraffin-embedded sections) - Anti-PARK7/DJ1 antibody [EP2815Y] - BSA and Azide free (AB218373)

This IHC data was generated using the same anti-PARK7 antibody clone, EP2815Y, in a different buffer formulation (cat# ab76008).

Immunohistochemistry (Formalin/PFA-fixed paraffin-embedded sections) analysis of Human lung cancer tissue sections labeling PARK7/DJ1 with Purified ab76008 at 1 : 1000 dilution (0.11 μg/ml). Heat mediated antigen retrieval was performed using ab93684 (Tris/EDTA buffer, pH 9.0). ImmunoHistoProbe one step HRP Polymer (ready to use)was used as the secondary antibody. Negative control : PBS instead of the primary antibody. Hematoxylin was used as a counterstain.

Flow Cytometry (Intracellular) - Anti-PARK7/DJ1 antibody [EP2815Y] - BSA and Azide free (AB218373)
  • Flow Cyt (Intra)

Unknown

Flow Cytometry (Intracellular) - Anti-PARK7/DJ1 antibody [EP2815Y] - BSA and Azide free (AB218373)

Overlay histogram showing HepG2 cells stained with ab76008 (red line). The cells were fixed with 4% paraformaldehyde (10 min) and then permeabilized with 0.1% PBS-Tween for 20 min. The cells were then incubated in 1x PBS / 10% normal goat serum / 0.3M glycine to block non-specific protein-protein interactions followed by the antibody (ab76008, 1/100 dilution) for 30 min at 22°C. The secondary antibody used was Alexa Fluor® 488 goat anti-rabbit IgG (H+L) (ab150077) at 1/2000 dilution for 30 min at 22°C. Isotype control antibody (black line) was rabbit IgG (monoclonal) (1μg/1x106 cells) used under the same conditions. Unlabelled sample (blue line) was also used as a control. Acquisition of >5,000 events were collected using a 20mW Argon ion laser (488nm) and 525/30 bandpass filter. This antibody gave a positive signal in HepG2 cells fixed with 80% methanol (5 min)/permeabilized with 0.1% PBS-Tween for 20 min used under the same conditions.

This data was developed using the same antibody clone in a different buffer formulation containing PBS, BSA, glycerol, and sodium azide (ab76008).

This image was generated using the unpurified version of the product.

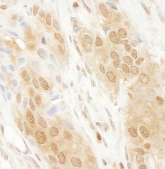
Immunohistochemistry (Formalin/PFA-fixed paraffin-embedded sections) - Anti-PARK7/DJ1 antibody [EP2815Y] - BSA and Azide free (AB218373)
  • IHC-P

Unknown

Immunohistochemistry (Formalin/PFA-fixed paraffin-embedded sections) - Anti-PARK7/DJ1 antibody [EP2815Y] - BSA and Azide free (AB218373)

This IHC data was generated using the same anti-PARK7 antibody clone, EP2815Y, in a different buffer formulation (cat# ab76008).

ab76008, at 1/250 dilution, staining PARK7/DJ1 in human brain by immunohistochemistry using paraffin-embedded tissue.

This image was generated using the unpurified version of the product.

Heat mediated antigen retrieval was performed with citrate buffer pH 6 before commencing with IHC staining protocol.

Immunoprecipitation - Anti-PARK7/DJ1 antibody [EP2815Y] - BSA and Azide free (AB218373)
  • IP

Unknown

Immunoprecipitation - Anti-PARK7/DJ1 antibody [EP2815Y] - BSA and Azide free (AB218373)

This IHC data was generated using the same anti-PARK7 antibody clone, EP2815Y, in a different buffer formulation (cat# ab76008).

ab76008 (purified) at 1 : 20 dilution (0.5μg) immunoprecipitating PARK7/DJ1 in Mouse brain lysate.
Lane 1 (input) : Mouse brain lysate 10μg
Lane 2 (+) : ab76008 & Mouse brain lysate
Lane 3 (-) : Rabbit monoclonal IgG (ab172730) instead of ab76008 in Mouse brain lysate
For western blotting, VeriBlot for IP Detection Reagent (HRP) (ab131366) was used for detection at 1 : 1000 dilution.
Blocking and diluting buffer : 5% NFDM/TBST.

All lanes:

Immunoprecipitation - Anti-PARK7/DJ1 antibody [EP2815Y] (<a href='/en-us/products/primary-antibodies/park7-dj1-antibody-ep2815y-ab76008'>ab76008</a>)

Predicted band size: 20 kDa

false

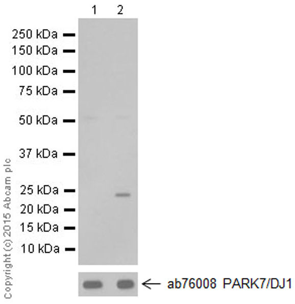
Western blot - Anti-PARK7/DJ1 antibody [EP2815Y] - BSA and Azide free (AB218373)
  • WB

Unknown

Western blot - Anti-PARK7/DJ1 antibody [EP2815Y] - BSA and Azide free (AB218373)

This WB data was generated using the same anti-PARK7 antibody clone, EP2815Y, in a different buffer formulation (cat# ab76008).

Lane 1 : Wild-type HAP1 cell lysate (20 μg)
Lane 2 : PARK7/DJ1 knockout HAP1 cell lysate (20 μg)
Lane 3 : HeLa cell lysate (20 μg)
Lane 4 : Human brain tissue lysate (20 μg)
Lanes 1 - 4 : Merged signal (red and green). Green - ab76008 observed at 24 kDa. Red - loading control, ab8245, observed at 37 kDa.

ab76008 was shown to specifically react with PARK/DJ1 when PARK/DJ1 knockout samples were used. Wild-type and PARK/DJ1 knockout samples were subjected to SDS-PAGE. ab76008 and ab8245 (loading control to GAPDH) were both diluted 1/10 000 and incubated overnight at 4°C. Blots were developed with Goat anti-Rabbit IgG H&L (IRDye® 800CW) preadsorbed (ab216773) and Goat anti-Mouse IgG H&L (IRDye® 680RD) preadsorbed (ab216776) secondary antibodies at 1/10 000 dilution for 1 h at room temperature before imaging.

All lanes:

Western blot - Anti-PARK7/DJ1 antibody [EP2815Y] (<a href='/en-us/products/primary-antibodies/park7-dj1-antibody-ep2815y-ab76008'>ab76008</a>)

Predicted band size: 20 kDa

false

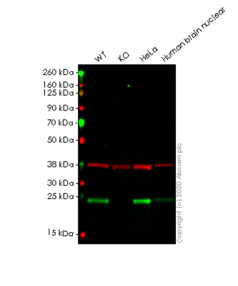
Western blot - Anti-PARK7/DJ1 antibody [EP2815Y] - BSA and Azide free (AB218373)
  • WB

Collaborator

Western blot - Anti-PARK7/DJ1 antibody [EP2815Y] - BSA and Azide free (AB218373)

This data was developed using ab76008, the same antibody clone in a different buffer formulation.

ab76008 was shown to react with PARK7 in wild-type HEK-293T cells in Western blot with loss of signal observed in PARK7 knockout cell line ab266338. Wild-type HEK-293T and PARK7 knockout cell lysates were subjected to SDS-PAGE. Membranes were blocked in 5% milk in TBST for 1 hr before incubation with ab76008 overnight at 4 °C at a 1/5000 dilution. Blots were incubated with secondary antibodies at 0.2 µg/mL before imaging.

This data was provided by YCharOS Inc., an open science company with the mission of characterizing commercially available antibody reagents for all human proteins. Abcam and YCharOS are working together to help address the reproducibility crisis by enabling the life science community to better evaluate commercially available antibodies.

All lanes:

Western blot - Anti-PARK7/DJ1 antibody [EP2815Y] (<a href='/en-us/products/primary-antibodies/park7-dj1-antibody-ep2815y-ab76008'>ab76008</a>) at 1/5000 dilution

Lane 1:

Wild-type HEK-293T lysate at 30 µg

Lane 2:

PARK7 knock-out HEK-293T lysate at 30 µg

Lane 2:

Western blot - Human PARK7 (DJ1) knockout HEK-293T cell line (<a href='/en-us/products/cell-lines/human-park7-dj1-knockout-hek-293t-cell-line-ab266338'>ab266338</a>) at 30 µg

false

Western blot - Anti-PARK7/DJ1 antibody [EP2815Y] - BSA and Azide free (AB218373)
  • WB

Lab

Western blot - Anti-PARK7/DJ1 antibody [EP2815Y] - BSA and Azide free (AB218373)

This data was developed using ab76008, the same antibody clone in a different buffer formulation.

Lanes 1-4 : Merged signal (red and green). Green - ab76008 observed at 24 kDa. Red - loading control ab8245 observed at 36 kDa.

ab76008 Anti-PARK7/DJ1 antibody [EP2815Y] was shown to specifically react with PARK7/DJ1 in wild-type HEK-293T cells. Loss of signal was observed when knockout cell line ab266338 (knockout cell lysate ab257016) was used. Wild-type and PARK7/DJ1 knockout samples were subjected to SDS-PAGE. ab76008 and Anti-GAPDH antibody [6C5] - Loading Control (ab8245) were incubated overnight at 4°C at 1 in 1000 dilution and 1 in 20000 dilution respectively. Blots were developed with Goat anti-Rabbit IgG H&L (IRDye® 800CW) preadsorbed (ab216773) and Goat anti-Mouse IgG H&L (IRDye® 680RD) preadsorbed (ab216776) secondary antibodies at 1 in 20000 dilution for 1 hour at room temperature before imaging.

All lanes:

Western blot - Anti-PARK7/DJ1 antibody [EP2815Y] (<a href='/en-us/products/primary-antibodies/park7-dj1-antibody-ep2815y-ab76008'>ab76008</a>) at 1/1000 dilution

Lane 1:

Wild-type HEK-293T (Human epithelial cell line from embryonic kidney transformed with large T antigen) whole cell lysate at 20 µg

Lane 2:

PARK7 knockout HEK-293T (Human epithelial cell line from embryonic kidney transformed with large T antigen) whole cell lysate at 20 µg

Lane 2:

Western blot - Human PARK7 (DJ1) knockout HEK-293T cell line (<a href='/en-us/products/cell-lines/human-park7-dj1-knockout-hek-293t-cell-line-ab266338'>ab266338</a>)

Lane 3:

HeLa (Human epithelial cell line from cervix adenocarcinoma) whole cell lysate at 20 µg

Lane 4:

Human brain nuclear fraction tissue lysate at 20 µg

Secondary

All lanes:

Western blot - Goat anti-Rabbit IgG H&L (IRDye® 800CW) preadsorbed (<a href='/en-us/products/secondary-antibodies/goat-rabbit-igg-h-l-irdye-800cw-preadsorbed-ab216773'>ab216773</a>) at 1/10000 dilution

Predicted band size: 20 kDa

Observed band size: 24 kDa

false

Key facts

Host species

Rabbit

Clonality

Monoclonal

Clone number

EP2815Y

Isotype

IgG

Carrier free

Yes

Reacts with

Mouse, Rat, Human

Applications

IHC-P, ICC/IF, IP, Flow Cyt (Intra), WB

applications

Immunogen

The exact immunogen used to generate this antibody is proprietary information.

Specificity

The mouse and rat recommendation is based on the WB results. We do not guarantee IHC-P for mouse and rat.

Reactivity data

{ "title": "Reactivity Data", "filters": { "stats": ["", "Species", "Dilution Info", "Notes"], "tabs": { "all-applications": {"fullname" : "All Applications", "shortname": "All Applications"}, "IHCP" : {"fullname" : "Immunohistochemistry (Formalin/PFA-fixed paraffin-embedded sections)", "shortname":"IHC-P"}, "IP" : {"fullname" : "Immunoprecipitation", "shortname":"IP"}, "WB" : {"fullname" : "Western blot", "shortname":"WB"}, "ICCIF" : {"fullname" : "Immunocytochemistry/ Immunofluorescence", "shortname":"ICC/IF"}, "FlowCytIntra" : {"fullname" : "Flow Cytometry (Intracellular)", "shortname":"Flow Cyt (Intra)"} }, "product-promise": { "all": "all", "testedAndGuaranteed": "tested", "guaranteed": "expected", "predicted": "predicted", "notRecommended": "not-recommended" } }, "values": { "Human": { "IHCP-species-checked": "testedAndGuaranteed", "IHCP-species-dilution-info": "", "IHCP-species-notes": "<p>Perform heat mediated antigen retrieval using 0.01M Sodium Citrate Buffer, pH 6.0 before commencing with IHC staining protocol.</p><p>The mouse and rat recommendation is based on the WB results. We do not guarantee IHC-P for mouse and rat.</p>", "IP-species-checked": "guaranteed", "IP-species-dilution-info": "", "IP-species-notes": "", "WB-species-checked": "testedAndGuaranteed", "WB-species-dilution-info": "", "WB-species-notes": "<p></p>", "ICCIF-species-checked": "testedAndGuaranteed", "ICCIF-species-dilution-info": "", "ICCIF-species-notes": "<p></p>", "FlowCytIntra-species-checked": "testedAndGuaranteed", "FlowCytIntra-species-dilution-info": "", "FlowCytIntra-species-notes": "<p><a href='/en-us/products/primary-antibodies/rabbit-igg-monoclonal-epr25a-isotype-control-low-endotoxin-azide-free-ab199376'>ab199376</a>- Rabbit monoclonal IgG (Low endotoxin, Azide free), is suitable for use as an isotype control with this antibody.</p>" }, "Mouse": { "IHCP-species-checked": "guaranteed", "IHCP-species-dilution-info": "", "IHCP-species-notes": "", "IP-species-checked": "testedAndGuaranteed", "IP-species-dilution-info": "", "IP-species-notes": "<p></p>", "WB-species-checked": "testedAndGuaranteed", "WB-species-dilution-info": "", "WB-species-notes": "<p></p>", "ICCIF-species-checked": "guaranteed", "ICCIF-species-dilution-info": "", "ICCIF-species-notes": "", "FlowCytIntra-species-checked": "guaranteed", "FlowCytIntra-species-dilution-info": "", "FlowCytIntra-species-notes": "" }, "Rat": { "IHCP-species-checked": "guaranteed", "IHCP-species-dilution-info": "", "IHCP-species-notes": "", "IP-species-checked": "guaranteed", "IP-species-dilution-info": "", "IP-species-notes": "", "WB-species-checked": "testedAndGuaranteed", "WB-species-dilution-info": "", "WB-species-notes": "<p></p>", "ICCIF-species-checked": "guaranteed", "ICCIF-species-dilution-info": "", "ICCIF-species-notes": "", "FlowCytIntra-species-checked": "guaranteed", "FlowCytIntra-species-dilution-info": "", "FlowCytIntra-species-notes": "" } } }

Product details

ab218373 is the carrier-free version of ab76008.

Patented technology
Our RabMAb® technology is a patented hybridoma-based technology for making rabbit monoclonal antibodies. For details on our patents, please refer to RabMAb® patents.

Conjugation ready
Our carrier-free antibodies are typically supplied in a PBS-only formulation, purified and free of BSA, sodium azide and glycerol. This conjugation-ready format is designed for use with fluorochromes, metal isotopes, oligonucleotides, and enzymes, which makes them ideal for antibody labelling, functional and cell-based assays, flow-based assays (e.g. mass cytometry) and Multiplex Imaging applications.

Use our conjugation kits for antibody conjugates that are ready-to-use in as little as 20 minutes with 1 minute hands-on-time and 100% antibody recovery: available for fluorescent dyes, HRP, biotin and gold.

Compatibility
This product is compatible with the Maxpar® Antibody Labeling Kit from Fluidigm, without the need for antibody preparation. Maxpar® is a trademark of Fluidigm Canada Inc.

Properties and storage information

Form
Liquid
Purification technique
Affinity purification Protein A
Storage buffer
pH: 7.2 - 7.4 Constituents: PBS
Shipped at conditions
Blue Ice
Appropriate short-term storage conditions
+4°C
Appropriate long-term storage conditions
+4°C
Storage information
Do Not Freeze

Product protocols

For this product, it's our understanding that no specific protocols are required. You can visit:

Target data

Multifunctional protein with controversial molecular function which plays an important role in cell protection against oxidative stress and cell death acting as oxidative stress sensor and redox-sensitive chaperone and protease (PubMed : 12796482, PubMed : 17015834, PubMed : 18711745, PubMed : 19229105, PubMed : 20304780, PubMed : 25416785, PubMed : 26995087, PubMed : 28993701). It is involved in neuroprotective mechanisms like the stabilization of NFE2L2 and PINK1 proteins, male fertility as a positive regulator of androgen signaling pathway as well as cell growth and transformation through, for instance, the modulation of NF-kappa-B signaling pathway (PubMed : 12612053, PubMed : 14749723, PubMed : 15502874, PubMed : 17015834, PubMed : 18711745, PubMed : 21097510). Has been described as a protein and nucleotide deglycase that catalyzes the deglycation of the Maillard adducts formed between amino groups of proteins or nucleotides and reactive carbonyl groups of glyoxals (PubMed : 25416785, PubMed : 28596309). But this function is rebuted by other works (PubMed : 27903648, PubMed : 31653696). As a protein deglycase, repairs methylglyoxal- and glyoxal-glycated proteins, and releases repaired proteins and lactate or glycolate, respectively. Deglycates cysteine, arginine and lysine residues in proteins, and thus reactivates these proteins by reversing glycation by glyoxals. Acts on early glycation intermediates (hemithioacetals and aminocarbinols), preventing the formation of advanced glycation endproducts (AGE) that cause irreversible damage (PubMed : 25416785, PubMed : 26995087, PubMed : 28013050). Also functions as a nucleotide deglycase able to repair glycated guanine in the free nucleotide pool (GTP, GDP, GMP, dGTP) and in DNA and RNA. Is thus involved in a major nucleotide repair system named guanine glycation repair (GG repair), dedicated to reversing methylglyoxal and glyoxal damage via nucleotide sanitization and direct nucleic acid repair (PubMed : 28596309). Protects histones from adduction by methylglyoxal, controls the levels of methylglyoxal-derived argininine modifications on chromatin (PubMed : 30150385). Able to remove the glycations and restore histone 3, histone glycation disrupts both local and global chromatin architecture by altering histone-DNA interactions as well as histone acetylation and ubiquitination levels (PubMed : 30150385, PubMed : 30894531). Displays a very low glyoxalase activity that may reflect its deglycase activity (PubMed : 22523093, PubMed : 28993701, PubMed : 31653696). Eliminates hydrogen peroxide and protects cells against hydrogen peroxide-induced cell death (PubMed : 16390825). Required for correct mitochondrial morphology and function as well as for autophagy of dysfunctional mitochondria (PubMed : 16632486, PubMed : 19229105). Plays a role in regulating expression or stability of the mitochondrial uncoupling proteins SLC25A14 and SLC25A27 in dopaminergic neurons of the substantia nigra pars compacta and attenuates the oxidative stress induced by calcium entry into the neurons via L-type channels during pacemaking (PubMed : 18711745). Regulates astrocyte inflammatory responses, may modulate lipid rafts-dependent endocytosis in astrocytes and neuronal cells (PubMed : 23847046). In pancreatic islets, involved in the maintenance of mitochondrial reactive oxygen species (ROS) levels and glucose homeostasis in an age- and diet dependent manner. Protects pancreatic beta cells from cell death induced by inflammatory and cytotoxic setting (By similarity). Binds to a number of mRNAs containing multiple copies of GG or CC motifs and partially inhibits their translation but dissociates following oxidative stress (PubMed : 18626009). Metal-binding protein able to bind copper as well as toxic mercury ions, enhances the cell protection mechanism against induced metal toxicity (PubMed : 23792957). In macrophages, interacts with the NADPH oxidase subunit NCF1 to direct NADPH oxidase-dependent ROS production, and protects against sepsis (By similarity).
See full target information PARK7

Publications (6)

Recent publications for all applications. Explore the full list and refine your search

International journal of molecular sciences 17: PubMed27556455

2016

Novel Redox-Dependent Esterase Activity (EC 3.1.1.2) for DJ-1: Implications for Parkinson's Disease.

Applications

Unspecified application

Species

Unspecified reactive species

Emmanuel Vázquez-Mayorga,Ángel G Díaz-Sánchez,Ruben K Dagda,Carlos A Domínguez-Solís,Raul Y Dagda,Cynthia K Coronado-Ramírez,Alejandro Martínez-Martínez

Proceedings of the National Academy of Sciences of 113:6955-60 PubMed27274057

2016

Musashi-2 (MSI2) supports TGF-β signaling and inhibits claudins to promote non-small cell lung cancer (NSCLC) metastasis.

Applications

Unspecified application

Species

Unspecified reactive species

Alexander E Kudinov,Alexander Deneka,Anna S Nikonova,Tim N Beck,Young-Ho Ahn,Xin Liu,Cathleen F Martinez,Fred A Schultz,Samuel Reynolds,Dong-Hua Yang,Kathy Q Cai,Khaled M Yaghmour,Karmel A Baker,Brian L Egleston,Emmanuelle Nicolas,Adaeze Chikwem,Gregory Andrianov,Shelly Singh,Hossein Borghaei,Ilya G Serebriiskii,Don L Gibbons,Jonathan M Kurie,Erica A Golemis,Yanis Boumber

Autophagy 12:1215-28 PubMed27171370

2016

Essential control of mitochondrial morphology and function by chaperone-mediated autophagy through degradation of PARK7.

Applications

Unspecified application

Species

Unspecified reactive species

Bao Wang,Zhibiao Cai,Kai Tao,Weijun Zeng,Fangfang Lu,Ruixin Yang,Dayun Feng,Guodong Gao,Qian Yang

Nature communications 6:6609 PubMed25833141

2015

The Parkinson's-associated protein DJ-1 regulates the 20S proteasome.

Applications

WB

Species

Unspecified reactive species

Oren Moscovitz,Gili Ben-Nissan,Irit Fainer,Dan Pollack,Limor Mizrachi,Michal Sharon

Human molecular genetics 24:1127-41 PubMed25305081

2014

PINK1 positively regulates HDAC3 to suppress dopaminergic neuronal cell death.

Applications

Unspecified application

Species

Unspecified reactive species

Hyo-Kyoung Choi,Youngsok Choi,HeeBum Kang,Eun-Jin Lim,Soo-Yeon Park,Hyun-Seob Lee,Ji-Min Park,Jisook Moon,Yoon-Jung Kim,Insup Choi,Eun-Hye Joe,Kyung-Chul Choi,Ho-Geun Yoon

Neurobiology of disease 62:56-61 PubMed24060818

2013

DJ-1 ameliorates ischemic cell death in vitro possibly via mitochondrial pathway.

Applications

ICC

Species

Human

Yuji Kaneko,Hideki Shojo,Jack Burns,Meaghan Staples,Naoki Tajiri,Cesar V Borlongan
View all publications

Product promise

We are committed to supporting your work with high-quality reagents, and we're here for you every step of the way. In the unlikely event that one of our products does not perform as expected, you're protected by our Product Promise.
For full details, please see our Terms & Conditions

Please note: All products are 'FOR RESEARCH USE ONLY. NOT FOR USE IN DIAGNOSTIC OR THERAPEUTIC PROCEDURES'.

For licensing inquiries, please contact partnerships@abcam.com