JavaScript is disabled in your browser. Please enable JavaScript to view this website.
AB188333

Anti-PARN antibody [EPR11670(2)]

Be the first to review this product! Submit a review

|

(9 Publications)

Rabbit Recombinant Monoclonal PARN antibody. Suitable for IP, WB, ICC/IF, Flow Cyt (Intra), IHC-P and reacts with Human, Rat, Mouse samples. Cited in 9 publications.

View Alternative Names

DAN, PARN, Poly(A)-specific ribonuclease PARN, Deadenylating nuclease, Deadenylation nuclease, Polyadenylate-specific ribonuclease

8 Images
Immunocytochemistry/ Immunofluorescence - Anti-PARN antibody [EPR11670(2)] (AB188333)
  • ICC/IF

Lab

Immunocytochemistry/ Immunofluorescence - Anti-PARN antibody [EPR11670(2)] (AB188333)

Immunofluorescent analysis of HeLa cells labelling PARN with ab188333 at 1/500. Cells were fixed with 4% paraformaldehyde and permeabilized with 0.1% Triton X-100. ab150077, an Alexa Fluor® 488-conjugated goat anti-rabbit IgG (1/1000) was used as the secondary antibody. The cells were co-stained with ab7291, a mouse anti-tubulin (1/1000) using ab150120, an Alexa Fluor® 594-conjugated goat anti-mouse IgG (1/1000) as the secondary antibody. Nuclei counterstained with DAPI (blue).

Control 1 : primary antibody (1/100) and secondary antibody, ab150120, an Alexa Fluor® 594-conjugated goat anti-mouse IgG (1/500).

Control 2 : ab7291 (1/1000) and secondary antibody, ab150077, an Alexa Fluor® 488-conjugated goat anti-rabbit IgG (1/500).

Flow Cytometry (Intracellular) - Anti-PARN antibody [EPR11670(2)] (AB188333)
  • Flow Cyt (Intra)

Supplier Data

Flow Cytometry (Intracellular) - Anti-PARN antibody [EPR11670(2)] (AB188333)

Intracellular flow cytometric analysis of HeLa cells fixed in 2% paraformaldehyde labeling PARN with ab188333 at 1/70 dilution andGoat anti rabbit IgG (FITC) at 1/150 dilution. Rabbit monoclonal IgG was used as an isotype control.

Immunocytochemistry/ Immunofluorescence - Anti-PARN antibody [EPR11670(2)] (AB188333)
  • ICC/IF

Supplier Data

Immunocytochemistry/ Immunofluorescence - Anti-PARN antibody [EPR11670(2)] (AB188333)

Immunohistochemical analysis of Hela cells fixed in 4% paraformaldehyde labeling PARN with ab188333 at 1/100 and Goat anti rabbit IgG (Alexa Fluor® 488) at 1/200 dilution. Counterstained with DAPI (blue).

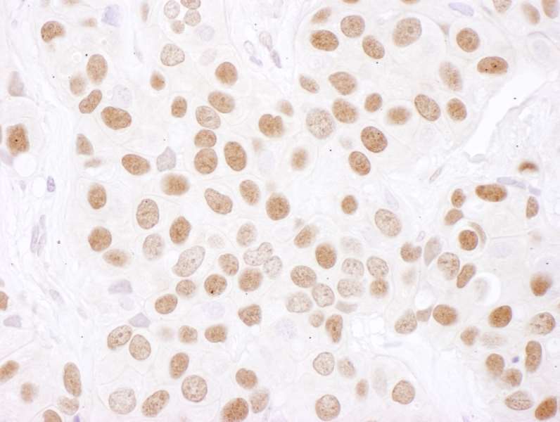
Immunohistochemistry (Formalin/PFA-fixed paraffin-embedded sections) - Anti-PARN antibody [EPR11670(2)] (AB188333)
  • IHC-P

Supplier Data

Immunohistochemistry (Formalin/PFA-fixed paraffin-embedded sections) - Anti-PARN antibody [EPR11670(2)] (AB188333)

Immunohistochemical analysis of formalin fixed paraffin embedded Human papillary adenocarcinoma of thyroid labeling PARN with ab188333 at 1/100 dilution and HRP polymer for Rabbit IgG. Counterstained with Haematoxylin.

Perform heat mediated antigen retrieval with Tris/EDTA buffer pH 9.0 before commencing with IHC staining protocol.

Immunoprecipitation - Anti-PARN antibody [EPR11670(2)] (AB188333)
  • IP

Supplier Data

Immunoprecipitation - Anti-PARN antibody [EPR11670(2)] (AB188333)

Immunoprecipitation of K562 cell lysate labeling PARN with ab188333 at 1/50 dilution and Goat Anti-Rabbit IgG, (H+L), Peroxidase conjugated at 1/1000 dilution.

All lanes:

Immunoprecipitation - Anti-PARN antibody [EPR11670(2)] (ab188333)

Predicted band size: 73 kDa

false

Immunohistochemistry (Formalin/PFA-fixed paraffin-embedded sections) - Anti-PARN antibody [EPR11670(2)] (AB188333)
  • IHC-P

Supplier Data

Immunohistochemistry (Formalin/PFA-fixed paraffin-embedded sections) - Anti-PARN antibody [EPR11670(2)] (AB188333)

Immunohistochemical analysis of formalin fixed paraffin embedded mouse liver labeling PARN with ab188333 at 1/100 dilution and HRP polymer for Rabbit IgG. Counterstained with Haematoxylin.

Perform heat mediated antigen retrieval with Tris/EDTA buffer pH 9.0 before commencing with IHC staining protocol.

Western blot - Anti-PARN antibody [EPR11670(2)] (AB188333)
  • WB

Supplier Data

Western blot - Anti-PARN antibody [EPR11670(2)] (AB188333)

All lanes:

Western blot - Anti-PARN antibody [EPR11670(2)] (ab188333) at 1/10000 dilution

Lane 1:

K562 cell lysate at 20 µg

Lane 2:

Hela cell lysate at 20 µg

Lane 3:

HepG2 cell lysate at 20 µg

Lane 4:

MDA-MB-435 cell lysate at 20 µg

Secondary

All lanes:

Goat Anti-Rabbit IgG, (H+L), Peroxidase conjugated at 1/1000 dilution

Predicted band size: 73 kDa

false

Western blot - Anti-PARN antibody [EPR11670(2)] (AB188333)
  • WB

Supplier Data

Western blot - Anti-PARN antibody [EPR11670(2)] (AB188333)

All lanes:

Western blot - Anti-PARN antibody [EPR11670(2)] (ab188333) at 1/1000 dilution

Lane 1:

PC-12 cell lysate at 10 µg

Lane 2:

NIH-3T3 cell lysate at 10 µg

Secondary

All lanes:

Goat Anti-Rabbit IgG, (H+L), Peroxidase conjugated at 1/1000 dilution

Predicted band size: 73 kDa

false

  • Carrier free

    Anti-PARN antibody [EPR11670(2)] - BSA and Azide free

Key facts

Host species

Rabbit

Clonality

Monoclonal

Clone number

EPR11670(2)

Isotype

IgG

Carrier free

No

Reacts with

Mouse, Rat, Human

Applications

IP, WB, ICC/IF, IHC-P, Flow Cyt (Intra)

applications

Immunogen

The exact immunogen used to generate this antibody is proprietary information.

Reactivity data

{ "title": "Reactivity Data", "filters": { "stats": ["", "Species", "Dilution Info", "Notes"], "tabs": { "all-applications": {"fullname" : "All Applications", "shortname": "All Applications"}, "IP" : {"fullname" : "Immunoprecipitation", "shortname":"IP"}, "WB" : {"fullname" : "Western blot", "shortname":"WB"}, "ICCIF" : {"fullname" : "Immunocytochemistry/ Immunofluorescence", "shortname":"ICC/IF"}, "FlowCytIntra" : {"fullname" : "Flow Cytometry (Intracellular)", "shortname":"Flow Cyt (Intra)"}, "IHCP" : {"fullname" : "Immunohistochemistry (Formalin/PFA-fixed paraffin-embedded sections)", "shortname":"IHC-P"} }, "product-promise": { "all": "all", "testedAndGuaranteed": "tested", "guaranteed": "expected", "predicted": "predicted", "notRecommended": "not-recommended" } }, "values": { "Human": { "IP-species-checked": "testedAndGuaranteed", "IP-species-dilution-info": "1/50", "IP-species-notes": "<p></p>", "WB-species-checked": "testedAndGuaranteed", "WB-species-dilution-info": "1/1000 - 1/10000", "WB-species-notes": "<p></p>", "ICCIF-species-checked": "testedAndGuaranteed", "ICCIF-species-dilution-info": "1/100", "ICCIF-species-notes": "<p></p>", "FlowCytIntra-species-checked": "testedAndGuaranteed", "FlowCytIntra-species-dilution-info": "1/70", "FlowCytIntra-species-notes": "<p><a href='/en-us/products/primary-antibodies/rabbit-igg-monoclonal-epr25a-isotype-control-ab172730'>ab172730</a> - Rabbit monoclonal IgG, is suitable for use as an isotype control with this antibody.</p>", "IHCP-species-checked": "testedAndGuaranteed", "IHCP-species-dilution-info": "1/50 - 1/100", "IHCP-species-notes": "<p></p>" }, "Mouse": { "IP-species-checked": "guaranteed", "IP-species-dilution-info": "", "IP-species-notes": "", "WB-species-checked": "guaranteed", "WB-species-dilution-info": "", "WB-species-notes": "", "ICCIF-species-checked": "guaranteed", "ICCIF-species-dilution-info": "", "ICCIF-species-notes": "", "FlowCytIntra-species-checked": "guaranteed", "FlowCytIntra-species-dilution-info": "", "FlowCytIntra-species-notes": "", "IHCP-species-checked": "testedAndGuaranteed", "IHCP-species-dilution-info": "1/50 - 1/100", "IHCP-species-notes": "<p></p>" }, "Rat": { "IP-species-checked": "guaranteed", "IP-species-dilution-info": "", "IP-species-notes": "", "WB-species-checked": "testedAndGuaranteed", "WB-species-dilution-info": "1/1000 - 1/10000", "WB-species-notes": "<p></p>", "ICCIF-species-checked": "guaranteed", "ICCIF-species-dilution-info": "", "ICCIF-species-notes": "", "FlowCytIntra-species-checked": "guaranteed", "FlowCytIntra-species-dilution-info": "", "FlowCytIntra-species-notes": "", "IHCP-species-checked": "guaranteed", "IHCP-species-dilution-info": "", "IHCP-species-notes": "" } } }

Product details

Patented technology
Our RabMAb® technology is a patented hybridoma-based technology for making rabbit monoclonal antibodies. For details on our patents, please refer to RabMAb® patents.

What are the advantages of a recombinant monoclonal antibody?
This product is a recombinant monoclonal antibody, which offers several advantages including:

  • - High batch-to-batch consistency and reproducibility
  • - Improved sensitivity and specificity
  • - Long-term security of supply
  • - Animal-free batch production

For more information, read more on recombinant antibodies.

Properties and storage information

Form
Liquid
Purification technique
Affinity purification Protein A
Storage buffer
pH: 7.2 - 7.4 Preservative: 0.01% Sodium azide Constituents: PBS, 40% Glycerol (glycerin, glycerine), 0.05% BSA
Shipped at conditions
Blue Ice
Appropriate short-term storage duration
1-2 weeks
Appropriate short-term storage conditions
+4°C
Appropriate long-term storage conditions
-20°C
Aliquoting information
Upon delivery aliquot
Storage information
Avoid freeze / thaw cycle

Product protocols

For this product, it's our understanding that no specific protocols are required. You can visit:

Target data

3'-exoribonuclease that has a preference for poly(A) tails of mRNAs, thereby efficiently degrading poly(A) tails. Exonucleolytic degradation of the poly(A) tail is often the first step in the decay of eukaryotic mRNAs and is also used to silence certain maternal mRNAs translationally during oocyte maturation and early embryonic development. Interacts with both the 3'-end poly(A) tail and the 5'-end cap structure during degradation, the interaction with the cap structure being required for an efficient degradation of poly(A) tails. Involved in nonsense-mediated mRNA decay, a critical process of selective degradation of mRNAs that contain premature stop codons. Also involved in degradation of inherently unstable mRNAs that contain AU-rich elements (AREs) in their 3'-UTR, possibly via its interaction with KHSRP. Probably mediates the removal of poly(A) tails of AREs mRNAs, which constitutes the first step of destabilization (PubMed : 10882133, PubMed : 11359775, PubMed : 12748283, PubMed : 15175153, PubMed : 9736620). Also able to recognize and trim poly(A) tails of microRNAs such as MIR21 and H/ACA box snoRNAs (small nucleolar RNAs) leading to microRNAs degradation or snoRNA increased stability (PubMed : 22442037, PubMed : 25049417).
See full target information PARN

Publications (9)

Recent publications for all applications. Explore the full list and refine your search

World journal of gastroenterology 29:4783-4796 PubMed37664151

2023

Poly(A)-specific ribonuclease protein promotes the proliferation, invasion and migration of esophageal cancer cells.

Applications

Unspecified application

Species

Unspecified reactive species

Fu-Wei Zhang,Xiao-Wei Xie,Meng-Hua Chen,Jian Tong,Qun-Qing Chen,Jing Feng,Feng-Ti Chen,Wen-Qi Liu

Scientific reports 13:5244 PubMed37002320

2023

Identification of PARN nuclease activity inhibitors by computational-based docking and high-throughput screening.

Applications

Unspecified application

Species

Unspecified reactive species

Thao Ngoc Huynh,Siddharth Shukla,Philip Reigan,Roy Parker

ACS chemical biology 16:2280-2296 PubMed34553588

2021

Deorphanizing Caspase-3 and Caspase-9 Substrates In and Out of Apoptosis with Deep Substrate Profiling.

Applications

Unspecified application

Species

Unspecified reactive species

Luam E Araya,Ishankumar V Soni,Jeanne A Hardy,Olivier Julien

Cells 9: PubMed31936572

2020

Translation Efficiency and Degradation of ER-Associated mRNAs Modulated by ER-Anchored poly(A)-Specific Ribonuclease (PARN).

Applications

Unspecified application

Species

Unspecified reactive species

Tian-Li Duan,Han Jiao,Guang-Jun He,Yong-Bin Yan

Cell reports 28:1690-1702.e10 PubMed31412240

2019

SMUG1 Promotes Telomere Maintenance through Telomerase RNA Processing.

Applications

Unspecified application

Species

Unspecified reactive species

Penelope Kroustallaki,Lisa Lirussi,Sergio Carracedo,Panpan You,Q Ying Esbensen,Alexandra Götz,Laure Jobert,Lene Alsøe,Pål Sætrom,Sarantis Gagos,Hilde Nilsen

EMBO molecular medicine 11:e10201 PubMed31273937

2019

Impaired telomere integrity and rRNA biogenesis in PARN-deficient patients and knock-out models.

Applications

Unspecified application

Species

Unspecified reactive species

Maname Benyelles,Harikleia Episkopou,Marie-Françoise O'Donohue,Laëtitia Kermasson,Pierre Frange,Florian Poulain,Fatma Burcu Belen,Meltem Polat,Christine Bole-Feysot,Francina Langa-Vives,Pierre-Emmanuel Gleizes,Jean-Pierre de Villartay,Isabelle Callebaut,Anabelle Decottignies,Patrick Revy

Cell reports 23:888-898 PubMed29669292

2018

PARN and TOE1 Constitute a 3' End Maturation Module for Nuclear Non-coding RNAs.

Applications

ICC/IF

Species

Human

Ahyeon Son,Jong-Eun Park,V Narry Kim

Nature 550:124-127 PubMed28953888

2017

CG dinucleotide suppression enables antiviral defence targeting non-self RNA.

Applications

Unspecified application

Species

Unspecified reactive species

Matthew A Takata,Daniel Gonçalves-Carneiro,Trinity M Zang,Steven J Soll,Ashley York,Daniel Blanco-Melo,Paul D Bieniasz

Nature genetics 47:1482-8 PubMed26482878

2015

Poly(A)-specific ribonuclease (PARN) mediates 3'-end maturation of the telomerase RNA component.

Applications

Unspecified application

Species

Unspecified reactive species

Diane H Moon,Matthew Segal,Baris Boyraz,Eva Guinan,Inga Hofmann,Patrick Cahan,Albert K Tai,Suneet Agarwal
View all publications

Product promise

We are committed to supporting your work with high-quality reagents, and we're here for you every step of the way. In the unlikely event that one of our products does not perform as expected, you're protected by our Product Promise.
For full details, please see our Terms & Conditions

Please note: All products are 'FOR RESEARCH USE ONLY. NOT FOR USE IN DIAGNOSTIC OR THERAPEUTIC PROCEDURES'.

For licensing inquiries, please contact partnerships@abcam.com