JavaScript is disabled in your browser. Please enable JavaScript to view this website.
AB227244

Anti-PARP1 antibody

5

(6 Reviews)

|

(69 Publications)

Anti-PARP1 antibody (ab227244) is a rabbit polyclonal antibody detecting PARP1 in Western Blot, IP, IHC-P, ICC/IF, ChIP. Suitable for Human, Mouse, Rat.

- Over 40 publications

View Alternative Names

ADPRT, PPOL, PARP1, Poly [ADP-ribose] polymerase 1, PARP-1, ADP-ribosyltransferase diphtheria toxin-like 1, DNA ADP-ribosyltransferase PARP1, NAD(+) ADP-ribosyltransferase 1, Poly[ADP-ribose] synthase 1, Protein poly-ADP-ribosyltransferase PARP1, ARTD1, ADPRT 1

10 Images
Western blot - Anti-PARP1 antibody (AB227244)
  • WB

Supplier Data

Western blot - Anti-PARP1 antibody (AB227244)

7.5% SDS-PAGE gel.

All lanes:

Western blot - Anti-PARP1 antibody (ab227244) at 1/5000 dilution

Lane 1:

Non-transfected HEK-293T (human epithelial cell line from embryonic kidney transformed with large T antigen) whole cell extract at 30 µg

Lane 2:

PARP1 shRNA transfected HEK-293T (human epithelial cell line from embryonic kidney transformed with large T antigen) whole cell extract at 30 µg

Secondary

All lanes:

HRP-conjugated anti-rabbit IgG

Predicted band size: 113 kDa

false

Immunocytochemistry/ Immunofluorescence - Anti-PARP1 antibody (AB227244)
  • ICC/IF

Supplier Data

Immunocytochemistry/ Immunofluorescence - Anti-PARP1 antibody (AB227244)

4% paraformaldehyde-fixed HeLa (human epithelial cell line from cervix adenocarcinoma) cells stained for PARP1 (green) using ab227244 at 1/500 dilution in ICC/IF.

Red : Phalloidin, a cytoskeleton marker, at 1/200 dilution.

Blue : Hoechst 33342 staining.

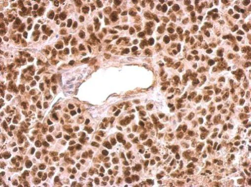
Immunohistochemistry (Formalin/PFA-fixed paraffin-embedded sections) - Anti-PARP1 antibody (AB227244)
  • IHC-P

Supplier Data

Immunohistochemistry (Formalin/PFA-fixed paraffin-embedded sections) - Anti-PARP1 antibody (AB227244)

Paraffin-embedded HeLa xenograft tissue stained for PARP1 using ab227244 at 1/500 dilution in immunohistochemical analysis.

Antigen Retrieval : EDTA based, pH 8.0, buffer, 15minutes.

ChIP - Anti-PARP1 antibody (AB227244)
  • ChIP

Supplier Data

ChIP - Anti-PARP1 antibody (AB227244)

Cross-linked ChIP was performed with Raji chromatin extract and 5 μg of either control rabbit IgG or ab227244. The precipitated DNA was detected by PCR with primer set targeting to S100A9 promoter.

Immunoprecipitation - Anti-PARP1 antibody (AB227244)
  • IP

Supplier Data

Immunoprecipitation - Anti-PARP1 antibody (AB227244)

PARP1 was immunoprecipitated from HCT 116 (human colorectal carcinoma cell line) whole cell extract with 4 μg ab227244. Western blot was performed from the immunoprecipitate using ab227244 at 1/500 dilution. Anti-Rabbit IgG was used as a secondary reagent.

Lane 1 : HCT 116 whole cell extract 30 μg.

Lane 2 : Control IP in HCT 116 whole cell extract with 4 μg of preimmune Rabbit IgG.

Lane 3 : ab227244 IP in HCT 116 whole cell extract.

All lanes:

Immunoprecipitation - Anti-PARP1 antibody (ab227244)

Predicted band size: 113 kDa

false

ChIP - Anti-PARP1 antibody (AB227244)
  • ChIP

Supplier Data

ChIP - Anti-PARP1 antibody (AB227244)

ChIP was performed with HeLa chromatin extract and 5 μg of either normal rabbit IgG or ab227244. The precipitated DNA was detected by PCR with primer set targeting to HSP70.1 promoter.

Western blot - Anti-PARP1 antibody (AB227244)
  • WB

Supplier Data

Western blot - Anti-PARP1 antibody (AB227244)

5% gel.

Running conditions : 80V, 15min; 140V, 40 minutes.

Transfer condition : Semi-dry, 18 V, 60 min (NC membrane).

Blocking condition : 5% non-fat milk in TBST, RT, 60 minutes.

Primary antibody incubation : 4℃ , overnight.

Washing condition : 5 ml TBST, 4 x 5 minutes.

Exposure : chemiluminescent substrate for the detection of HRP-conjugated antibody

All lanes:

Western blot - Anti-PARP1 antibody (ab227244) at 1/1000 dilution

Lane 1:

293T whole cell extracts at 30 µg

Lane 2:

A431 whole cell extracts at 30 µg

Lane 3:

HeLa whole cell extracts at 30 µg

Lane 4:

HepG2 whole cell extracts at 30 µg

Secondary

All lanes:

Rabbit IgG antibody (HRP) at 1/10000 dilution

Predicted band size: 113 kDa

false

Western blot - Anti-PARP1 antibody (AB227244)
  • WB

Supplier Data

Western blot - Anti-PARP1 antibody (AB227244)

7.5% SDS-PAGE gel.

The top band is full-length and the bottom band on lane 2 is cleaved PARP1.

All lanes:

Western blot - Anti-PARP1 antibody (ab227244) at 1/5000 dilution

Lane 1:

HCT116 whole cell lysate (untreated) at 30 µg

Lane 2:

HCT116 whole cell lysate (30 µM cisplatin treatment for 24 hours) at 30 µg

Secondary

All lanes:

HRP-conjugated anti-rabbit IgG

Predicted band size: 113 kDa

false

Western blot - Anti-PARP1 antibody (AB227244)
  • WB

Supplier Data

Western blot - Anti-PARP1 antibody (AB227244)

5% gel.

Running conditions : 80V, 15min; 140V, 40 minutes.

Transfer condition : Semi-dry, 18 V, 60 min (NC membrane).

Blocking condition : 5% non-fat milk in TBST, RT, 60 minutes.

Primary antibody incubation : 4℃ , overnight.

Washing condition : 5 ml TBST, 4 x 5 minutes.

Exposure : chemiluminescent substrate for the detection of HRP-conjugated antibody

All lanes:

Western blot - Anti-PARP1 antibody (ab227244) at 1/1000 dilution

All lanes:

Neuro2A whole cell extracts at 30 µg

Secondary

All lanes:

Rabbit IgG antibody (HRP) at 1/10000 dilution

Predicted band size: 113 kDa

false

Western blot - Anti-PARP1 antibody (AB227244)
  • WB

Supplier Data

Western blot - Anti-PARP1 antibody (AB227244)

7.5% SDS-PAGE gel.

All lanes:

Western blot - Anti-PARP1 antibody (ab227244) at 1/500 dilution

Lane 1:

NIH/3T3 (mouse embryo fibroblast cell line) whole cell extract

Lane 2:

PC-12 (rat adrenal gland pheochromocytoma cell line) whole cell extract

Secondary

All lanes:

HRP-conjugated anti-rabbit IgG

Predicted band size: 113 kDa

false

Key facts

Host species

Rabbit

Clonality

Polyclonal

Isotype

IgG

Carrier free

No

Reacts with

Mouse, Rat, Human

Applications

IP, WB, IHC-P, ICC/IF, ChIP

applications

Immunogen

Recombinant Fragment Protein within Human PARP1. The exact immunogen used to generate this antibody is proprietary information.

P09874

Reactivity data

{ "title": "Reactivity Data", "filters": { "stats": ["", "Species", "Dilution Info", "Notes"], "tabs": { "all-applications": {"fullname" : "All Applications", "shortname": "All Applications"}, "IP" : {"fullname" : "Immunoprecipitation", "shortname":"IP"}, "ChIP" : {"fullname" : "ChIP", "shortname":"ChIP"}, "WB" : {"fullname" : "Western blot", "shortname":"WB"}, "IHCP" : {"fullname" : "Immunohistochemistry (Formalin/PFA-fixed paraffin-embedded sections)", "shortname":"IHC-P"}, "ICCIF" : {"fullname" : "Immunocytochemistry/ Immunofluorescence", "shortname":"ICC/IF"} }, "product-promise": { "all": "all", "testedAndGuaranteed": "tested", "guaranteed": "expected", "predicted": "predicted", "notRecommended": "not-recommended" } }, "values": { "Human": { "IP-species-checked": "testedAndGuaranteed", "IP-species-dilution-info": "1/100 - 1/500", "IP-species-notes": "<p></p>", "ChIP-species-checked": "testedAndGuaranteed", "ChIP-species-dilution-info": "", "ChIP-species-notes": "<p></p>", "WB-species-checked": "testedAndGuaranteed", "WB-species-dilution-info": "1/500 - 1/10000", "WB-species-notes": "<p></p>", "IHCP-species-checked": "testedAndGuaranteed", "IHCP-species-dilution-info": "1/100 - 1/1000", "IHCP-species-notes": "<p></p>", "ICCIF-species-checked": "testedAndGuaranteed", "ICCIF-species-dilution-info": "1/100 - 1/1000", "ICCIF-species-notes": "<p></p>" }, "Mouse": { "IP-species-checked": "guaranteed", "IP-species-dilution-info": "", "IP-species-notes": "", "ChIP-species-checked": "guaranteed", "ChIP-species-dilution-info": "", "ChIP-species-notes": "", "WB-species-checked": "testedAndGuaranteed", "WB-species-dilution-info": "1/500 - 1/10000", "WB-species-notes": "<p></p>", "IHCP-species-checked": "guaranteed", "IHCP-species-dilution-info": "", "IHCP-species-notes": "", "ICCIF-species-checked": "guaranteed", "ICCIF-species-dilution-info": "", "ICCIF-species-notes": "" }, "Rat": { "IP-species-checked": "guaranteed", "IP-species-dilution-info": "", "IP-species-notes": "", "ChIP-species-checked": "guaranteed", "ChIP-species-dilution-info": "", "ChIP-species-notes": "", "WB-species-checked": "testedAndGuaranteed", "WB-species-dilution-info": "1/500 - 1/10000", "WB-species-notes": "<p></p>", "IHCP-species-checked": "guaranteed", "IHCP-species-dilution-info": "", "IHCP-species-notes": "", "ICCIF-species-checked": "guaranteed", "ICCIF-species-dilution-info": "", "ICCIF-species-notes": "" } } }

Product details

What is this antibody validated in?
Anti-PARP1 antibody (ab227244) is a rabbit polyclonal antibody and is validated for use in Western Blot (WB), Immunoprecipitation (IP), Immunohistochemistry (IHC-P), Immunocytochemistry/immunofluorescence (ICC/IF), ChIP in Human, Mouse, Rat samples.

What is the molecular weight of PARP1?
Anti-PARP1 (ab227244) specifically detects a band for PARP1 (UniProt: P09874) at a molecular weight of 113kDa.

Trusted by the scientific community
Anti-PARP1 (ab227244) was first used in a scientific publication in 2017 and has been cited over 40 times in peer-reviewed journals.

Reviewed by scientists
Anti-PARP1 (ab227244) has over 5 independent reviews from customers.

Properties and storage information

Form
Liquid
Purification technique
Affinity purification Immunogen
Storage buffer
pH: 7 Preservative: 0.025% Proclin 300 Constituents: PBS, 20% Glycerol (glycerin, glycerine), 1% BSA
Shipped at conditions
Blue Ice
Appropriate short-term storage duration
1-2 weeks
Appropriate short-term storage conditions
+4°C
Appropriate long-term storage conditions
-20°C
Aliquoting information
Upon delivery aliquot
Storage information
Avoid freeze / thaw cycle

Supplementary information

This supplementary information is collated from multiple sources and compiled automatically.

PARP1 also known as poly(ADP-ribose) polymerase 1 is an enzyme that plays an important role in DNA repair processes. It detects DNA single-strand breaks and uses NAD+ as a substrate to add ADP-ribose polymers to itself and other proteins. This post-translational modification signals DNA repair machinery to the site of damage. PARP1 has a molecular weight of approximately 116 kDa. It is widely expressed in the nucleus of eukaryotic cells. PARP1 is often studied by western blotting techniques to analyze its expression and activation levels.
Biological function summary

Poly(ADP-ribose) polymerase 1 functions to maintain genomic stability by acting within the base excision repair complex. This complex is important for the detection and repair of DNA damage preventing the accumulation of mutations. By acting at sites of DNA stress PARP1 facilitates the binding of DNA repair proteins stabilizing the DNA structure during the repair process. This role is significant for cells that undergo frequent DNA replication or are exposed to high levels of genotoxic stress.

Pathways

The PARP1 protein is integral to the DNA damage response and repair pathway. It interacts with other proteins such as XRCC1 to coordinate repair activities at damaged DNA sites. Another important pathway involving PARP1 is the apoptosis pathway where excessive activation of PARP1 can lead to cell death due to depletion of cellular NAD+ and ATP. This indicates its dual role in both promoting cell survival through DNA repair and contributing to cell death when damage is irreparable.

Poly(ADP-ribose) polymerase 1 is strongly linked to cancer and neurodegenerative diseases. Its activity is heightened in many cancer types where cancer cells exploit PARP1 for survival by repairing DNA damage that would otherwise be lethal. Inhibitors of PARP1 are being developed as cancer therapies to target these survival mechanisms. Moreover overactivation of PARP1 in neurodegenerative disorders like Alzheimer's disease can lead to excessive energy consumption promoting neuronal cell damage. In these contexts PARP1 connects with proteins like BRCA1 in cancer or AIF in neurodegeneration illustrating its role in disease mechanisms.

Product protocols

For this product, it's our understanding that no specific protocols are required. You can visit:

Target data

Poly-ADP-ribosyltransferase that mediates poly-ADP-ribosylation of proteins and plays a key role in DNA repair (PubMed : 17177976, PubMed : 18055453, PubMed : 18172500, PubMed : 19344625, PubMed : 19661379, PubMed : 20388712, PubMed : 21680843, PubMed : 22582261, PubMed : 23230272, PubMed : 25043379, PubMed : 26344098, PubMed : 26626479, PubMed : 26626480, PubMed : 30104678, PubMed : 31796734, PubMed : 32028527, PubMed : 32241924, PubMed : 32358582, PubMed : 33186521, PubMed : 34465625, PubMed : 34737271). Mediates glutamate, aspartate, serine, histidine or tyrosine ADP-ribosylation of proteins : the ADP-D-ribosyl group of NAD(+) is transferred to the acceptor carboxyl group of target residues and further ADP-ribosyl groups are transferred to the 2'-position of the terminal adenosine moiety, building up a polymer with an average chain length of 20-30 units (PubMed : 19764761, PubMed : 25043379, PubMed : 28190768, PubMed : 29954836, PubMed : 35393539, PubMed : 7852410, PubMed : 9315851). Serine ADP-ribosylation of proteins constitutes the primary form of ADP-ribosylation of proteins in response to DNA damage (PubMed : 33186521, PubMed : 34874266). Specificity for the different amino acids is conferred by interacting factors, such as HPF1 and NMNAT1 (PubMed : 28190768, PubMed : 29954836, PubMed : 32028527, PubMed : 33186521, PubMed : 33589610, PubMed : 34625544, PubMed : 34874266). Following interaction with HPF1, catalyzes serine ADP-ribosylation of target proteins; HPF1 confers serine specificity by completing the PARP1 active site (PubMed : 28190768, PubMed : 29954836, PubMed : 32028527, PubMed : 33186521, PubMed : 33589610, PubMed : 34625544, PubMed : 34874266). Also catalyzes tyrosine ADP-ribosylation of target proteins following interaction with HPF1 (PubMed : 29954836, PubMed : 30257210). Following interaction with NMNAT1, catalyzes glutamate and aspartate ADP-ribosylation of target proteins; NMNAT1 confers glutamate and aspartate specificity (By similarity). PARP1 initiates the repair of DNA breaks : recognizes and binds DNA breaks within chromatin and recruits HPF1, licensing serine ADP-ribosylation of target proteins, such as histones (H2BS6ADPr and H3S10ADPr), thereby promoting decompaction of chromatin and the recruitment of repair factors leading to the reparation of DNA strand breaks (PubMed : 17177976, PubMed : 18172500, PubMed : 19344625, PubMed : 19661379, PubMed : 23230272, PubMed : 27067600, PubMed : 34465625, PubMed : 34874266). HPF1 initiates serine ADP-ribosylation but restricts the polymerase activity of PARP1 in order to limit the length of poly-ADP-ribose chains (PubMed : 33683197, PubMed : 34732825, PubMed : 34795260). In addition to base excision repair (BER) pathway, also involved in double-strand breaks (DSBs) repair : together with TIMELESS, accumulates at DNA damage sites and promotes homologous recombination repair by mediating poly-ADP-ribosylation (PubMed : 26344098, PubMed : 30356214). Mediates the poly-ADP-ribosylation of a number of proteins, including itself, APLF, CHFR, RPA1 and NFAT5 (PubMed : 17396150, PubMed : 19764761, PubMed : 24906880, PubMed : 34049076). In addition to proteins, also able to ADP-ribosylate DNA : catalyzes ADP-ribosylation of DNA strand break termini containing terminal phosphates and a 2'-OH group in single- and double-stranded DNA, respectively (PubMed : 27471034). Required for PARP9 and DTX3L recruitment to DNA damage sites (PubMed : 23230272). PARP1-dependent PARP9-DTX3L-mediated ubiquitination promotes the rapid and specific recruitment of 53BP1/TP53BP1, UIMC1/RAP80, and BRCA1 to DNA damage sites (PubMed : 23230272). PARP1-mediated DNA repair in neurons plays a role in sleep : senses DNA damage in neurons and promotes sleep, facilitating efficient DNA repair (By similarity). In addition to DNA repair, also involved in other processes, such as transcription regulation, programmed cell death, membrane repair, adipogenesis and innate immunity (PubMed : 15607977, PubMed : 17177976, PubMed : 19344625, PubMed : 27256882, PubMed : 32315358, PubMed : 32844745, PubMed : 35124853, PubMed : 35393539, PubMed : 35460603). Acts as a repressor of transcription : binds to nucleosomes and modulates chromatin structure in a manner similar to histone H1, thereby altering RNA polymerase II (PubMed : 15607977, PubMed : 22464733). Acts both as a positive and negative regulator of transcription elongation, depending on the context (PubMed : 27256882, PubMed : 35393539). Acts as a positive regulator of transcription elongation by mediating poly-ADP-ribosylation of NELFE, preventing RNA-binding activity of NELFE and relieving transcription pausing (PubMed : 27256882). Acts as a negative regulator of transcription elongation in response to DNA damage by catalyzing poly-ADP-ribosylation of CCNT1, disrupting the phase separation activity of CCNT1 and subsequent activation of CDK9 (PubMed : 35393539). Involved in replication fork progression following interaction with CARM1 : mediates poly-ADP-ribosylation at replication forks, slowing fork progression (PubMed : 33412112). Poly-ADP-ribose chains generated by PARP1 also play a role in poly-ADP-ribose-dependent cell death, a process named parthanatos (By similarity). Also acts as a negative regulator of the cGAS-STING pathway (PubMed : 32315358, PubMed : 32844745, PubMed : 35460603). Acts by mediating poly-ADP-ribosylation of CGAS : PARP1 translocates into the cytosol following phosphorylation by PRKDC and catalyzes poly-ADP-ribosylation and inactivation of CGAS (PubMed : 35460603). Acts as a negative regulator of adipogenesis : catalyzes poly-ADP-ribosylation of histone H2B on 'Glu-35' (H2BE35ADPr) following interaction with NMNAT1, inhibiting phosphorylation of H2B at 'Ser-36' (H2BS36ph), thereby blocking expression of pro-adipogenetic genes (By similarity). Involved in the synthesis of ATP in the nucleus, together with NMNAT1, PARG and NUDT5 (PubMed : 27257257). Nuclear ATP generation is required for extensive chromatin remodeling events that are energy-consuming (PubMed : 27257257).. Poly [ADP-ribose] polymerase 1, processed C-terminus. Promotes AIFM1-mediated apoptosis (PubMed : 33168626). This form, which translocates into the cytoplasm following cleavage by caspase-3 (CASP3) and caspase-7 (CASP7) in response to apoptosis, is auto-poly-ADP-ribosylated and serves as a poly-ADP-ribose carrier to induce AIFM1-mediated apoptosis (PubMed : 33168626).. Poly [ADP-ribose] polymerase 1, processed N-terminus. This cleavage form irreversibly binds to DNA breaks and interferes with DNA repair, promoting DNA damage-induced apoptosis.
See full target information PARP1

Publications (69)

Recent publications for all applications. Explore the full list and refine your search

Cancer research 85:2890-2904 PubMed40327605

2025

Combining Multiplexed CRISPR/Cas9-Nickase and PARP Inhibitors Efficiently and Precisely Targets Cancer Cells.

Applications

Unspecified application

Species

Unspecified reactive species

Soyoung Lee,Kyunghwan Kim,Hye-Jin Jeong,Subin Choi,Himchan Cheng,Dayoung Kim,Soomin Heo,Jinhee Mun,Minjong Kim,Eunjin Lee,Yoon Ji Choi,Seon-Gyeong Lee,Eun A Lee,Yewon Jang,Kayeong Lim,Heon Seok Kim,Euihwan Jeong,Seung-Jae Myung,Deok-Beom Jung,Chang Sik Yu,In Ho Song,M Ryan Corces,Joo H Kang,Kyungjae Myung,Taejoon Kwon,Tae-Eun Park,Jinmyoung Joo,Seung Woo Cho

Biology of sex differences 15:100 PubMed39633480

2024

Estrogen administration enhances the adverse effects of cigarette smoking on the heart in cycling female mice.

Applications

Unspecified application

Species

Unspecified reactive species

Emna Abidi,Reine Diab,Rana Zahreddine,Ghadir Amin,Abdullah Kaplan,George W Booz,Fouad A Zouein

Advanced science (Weinheim, Baden-Wurttemberg, Germany) 12:e2408811 PubMed39589932

2024

ZFP36 Regulates Vascular Smooth Muscle Contraction and Maintains Blood Pressure.

Applications

Unspecified application

Species

Unspecified reactive species

Xiuru Cui,Yawei Wang,Hanlin Lu,Lei Wang,Xianwei Xie,Shenghao Zhang,Pavel Kovarik,Shuijie Li,Shanshan Liu,Qunye Zhang,Jianmin Yang,Cheng Zhang,Jinwei Tian,Yan Liu,Wencheng Zhang

Cancer cell international 24:352 PubMed39462410

2024

Celastrol attenuates the invasion and migration and augments the anticancer effects of olaparib in prostate cancer.

Applications

Unspecified application

Species

Unspecified reactive species

Mengqiu Huang,Lin Chen,Xiaoyan Ma,Houqiang Xu

International journal of molecular sciences 25: PubMed39408734

2024

Crosstalk between BER and NHEJ in XRCC4-Deficient Cells Depending on hTERT Overexpression.

Applications

Unspecified application

Species

Unspecified reactive species

Svetlana V Sergeeva,Polina S Loshchenova,Dmitry Yu Oshchepkov,Konstantin E Orishchenko

Nature communications 15:6343 PubMed39068174

2024

Nucleolytic processing of abasic sites underlies PARP inhibitor hypersensitivity in ALC1-deficient BRCA mutant cancer cells.

Applications

Unspecified application

Species

Unspecified reactive species

Natasha Ramakrishnan,Tyler M Weaver,Lindsey N Aubuchon,Ayda Woldegerima,Taylor Just,Kevin Song,Alessandro Vindigni,Bret D Freudenthal,Priyanka Verma

Journal of translational medicine 22:681 PubMed39061056

2024

Unlocking cardioprotection: iPSC exosomes deliver Nec-1 to target PARP1/AIFM1 axis, alleviating HF oxidative stress and mitochondrial dysfunction.

Applications

Unspecified application

Species

Unspecified reactive species

Xiaobing Lv,Boqin Liu,Xiaoting Su,Xintao Tian,Huating Wang

Frontiers in pharmacology 15:1362301 PubMed38746012

2024

Apigenin protects against ischemic stroke by increasing DNA repair.

Applications

Unspecified application

Species

Unspecified reactive species

Niu Ping,Kuiyang Zuo,Jiahan Cai,Chunshu Rong,Ziqiao Yu,Xu Zhang,Gaihua Wang,Chunyu Ma,Huirong Yang,Jinhua Li,Xu Wang,Dexi Zhao

Nature communications 15:2599 PubMed38521768

2024

FANCJ promotes PARP1 activity during DNA replication that is essential in BRCA1 deficient cells.

Applications

Unspecified application

Species

Unspecified reactive species

Ke Cong,Nathan MacGilvary,Silviana Lee,Shannon G MacLeod,Jennifer Calvo,Min Peng,Arne Nedergaard Kousholt,Tovah A Day,Sharon B Cantor

Journal of translational medicine 21:679 PubMed37773127

2023

Cytosine-phosphate-guanine oligodeoxynucleotides alleviate radiation-induced kidney injury in cervical cancer by inhibiting DNA damage and oxidative stress through blockade of PARP1/XRCC1 axis.

Applications

Unspecified application

Species

Unspecified reactive species

Deyu Zhang,Shitai Zhang,Zheng He,Ying Chen
View all publications

Product promise

We are committed to supporting your work with high-quality reagents, and we're here for you every step of the way. In the unlikely event that one of our products does not perform as expected, you're protected by our Product Promise.
For full details, please see our Terms & Conditions

Please note: All products are 'FOR RESEARCH USE ONLY. NOT FOR USE IN DIAGNOSTIC OR THERAPEUTIC PROCEDURES'.

For licensing inquiries, please contact partnerships@abcam.com