JavaScript is disabled in your browser. Please enable JavaScript to view this website.
AB32138

Anti-PARP1 antibody [E102]

  • KO Validated
  • RabMAb
  • Recombinant
  • Lab Essentials
  • 20ul selling size
  • What is this?

4

(6 Reviews)

|

(166 Publications)

Anti-PARP1 antibody [E102] (ab32138) is a rabbit monoclonal antibody detecting PARP1 in Western Blot, Flow Cytometry (Intra), Flow Cytometry, IHC-P, ICC/IF. Suitable for Human.

- KO validated for confirmed specificity
- Biophysical QC for unrivalled batch-batch consistency
- Over 130 publications
- Trusted since 2006

View Alternative Names

ADPRT, PPOL, PARP1, Poly [ADP-ribose] polymerase 1, PARP-1, ADP-ribosyltransferase diphtheria toxin-like 1, DNA ADP-ribosyltransferase PARP1, NAD(+) ADP-ribosyltransferase 1, Poly[ADP-ribose] synthase 1, Protein poly-ADP-ribosyltransferase PARP1, ARTD1, ADPRT 1

8 Images
Flow Cytometry (Intracellular) - Anti-PARP1 antibody [E102] (AB32138)
  • Flow Cyt (Intra)

Lab

Flow Cytometry (Intracellular) - Anti-PARP1 antibody [E102] (AB32138)

Flow cytometry overlay histogram showing wild-type Hap1 (green line) and PARP1 knockout Hap1 stained with ab32138 (red line). The cells were fixed with 4% formaldehyde (10 min) and then permeabilised with 0.1% PBS-Triton X-100 for 15 min. The cells were then incubated in 1x PBS containing 10% normal goat serum to block non-specific protein-protein interaction followed by the antibody (ab32138) (1x 106 in 100μl at 0.04 μg/ml (1/55750)) for 30min at 22°C.

The secondary antibody Goat Anti-Rabbit IgG H&L (Alexa Fluor® 488) preadsorbed was incubated at 1/4000 for 30min at 22°C

Isotype control antibody Recombinant Rabbit IgG, monoclonal [EPR25A] - Isotype Control was used at the same concentration and conditions as the primary antibody (wild-type Hap1 - black line, PARP1 knockout Hap1 - grey line). Unlabelled sample was also used as a control (this line is not shown for the purpose of simplicity).

Acquisition of >5000 events were collected using a 50 mW Blue laser (488nm) and 525/40 bandpass filter.

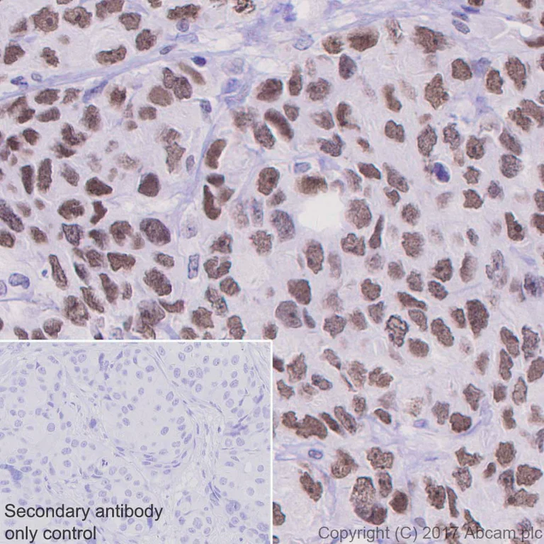
Immunohistochemistry (Formalin/PFA-fixed paraffin-embedded sections) - Anti-PARP1 antibody [E102] (AB32138)
  • IHC-P

Lab

Immunohistochemistry (Formalin/PFA-fixed paraffin-embedded sections) - Anti-PARP1 antibody [E102] (AB32138)

Immunohistochemistry (Formalin/PFA-fixed paraffin-embedded sections) analysis of human breast carcinoma tissue sections labeling PARP1 with purified ab32138 at 1/200 dilution (0.51 µg/mL). Heat mediated antigen retrieval was performed using Perform heat mediated antigen retrieval using ab93684 (Tris/EDTA buffer, pH 9.0). Tissue was counterstained with Hematoxylin. ImmunoHistoProbe one step HRP Polymer (ready to use) secondary antibody was used at 1/0 dilution. PBS instead of the primary antibody was used as the negative control.

Immunocytochemistry/ Immunofluorescence - Anti-PARP1 antibody [E102] (AB32138)
  • ICC/IF

Supplier Data

Immunocytochemistry/ Immunofluorescence - Anti-PARP1 antibody [E102] (AB32138)

Immunocytochemistry analysis of HeLa (Human cervix adenocarcinoma epithelial cell) cells labeling PARP1 with purified ab32138 at 1/100 dilution (1.0 μg/mL). Cells were fixed in 4% Paraformaldehyde and permeabilized with 0.1% TritonX-100. Cells were counterstained with ab195889 Anti-alpha Tubulin antibody [DM1A] - Microtubule Marker (Alexa Fluor® 594) 1/200 (2.5 μg/mL). Goat anti rabbit IgG (Alexa Fluor® 488, ab150077) was used as the secondary antibody at 1/1000 (2 μg/mL) dilution. DAPI (blue) was used as nuclear counterstain. PBS instead of the primary antibody was used as the secondary antibody only control.

Flow Cytometry (Intracellular) - Anti-PARP1 antibody [E102] (AB32138)
  • Flow Cyt (Intra)

Lab

Flow Cytometry (Intracellular) - Anti-PARP1 antibody [E102] (AB32138)

Intracellular Flow Cytometry analysis of HeLa (Human cervix adenocarcinoma epithelial cell) cells labelling PARP1 with purified ab32138 at 1/20 dilution (10 μg/mL) (Red). Cells were fixed with 4% Paraformaldehyde and permeabilised with 90% Methanol. A Goat anti rabbit IgG (Alexa Fluor® 488, ab150077) secondary antibody was used at 1/2000. Isotype control - Rabbit monoclonal IgG (Black). Unlabelled control - Cell without incubation with primary antibody and secondary antibody (Blue).

Western blot - Anti-PARP1 antibody [E102] (AB32138)
  • WB

Supplier Data

Western blot - Anti-PARP1 antibody [E102] (AB32138)

pro-form : 116kDa; p25 caspases cleaved form : 25kDa; proteolysis cleaved fragments : 58kDa and 42kDa

All lanes:

Western blot - Anti-PARP1 antibody [E102] (ab32138) at 1/1000 dilution

Lane 1:

Untreated Jurkat (Human T cell leukemia T lymphocyte) whole cell lysate at 20 µg

Lane 2:

Jurkat (Human T cell leukemia T lymphocyte) treated with 1μM staurosporine for 4 hours whole cell lysate at 20 µg

Secondary

All lanes:

Western blot - Goat Anti-Rabbit IgG H&L (HRP) (<a href='/en-us/products/secondary-antibodies/goat-rabbit-igg-h-l-hrp-ab97051'>ab97051</a>) at 1/20000 dilution

Predicted band size: 113 kDa

false

Western blot - Anti-PARP1 antibody [E102] (AB32138)
  • WB

Lab

Western blot - Anti-PARP1 antibody [E102] (AB32138)

Western blot : Anti-PARP1 antibody [E102] (ab32138) staining at 1/1000 dilution, shown in green; Mouse anti-Alpha Tubulin [DM1A] (ab7291) loading control staining at 1/20000 dilution, shown in magenta. In Western blot, ab32138 was shown to bind specifically to PARP1. A band was observed at 125 kDa in wild-type A549 cell lysates with no signal observed at this size in PARP1 knockout cell line ab276094 (knockout cell lysate Abcam Pools). To generate this image, wild-type and PARP1 knockout A549 cell lysates were analysed. First, samples were run on an SDS-PAGE gel then transferred onto a nitrocellulose membrane. Membranes were blocked in 5 % milk in TBS-0.1 % Tween® 20 (TBS-T) before incubation with primary antibodies overnight at 4 °C. Blots were washed four times in TBS-T, incubated with secondary antibodies for 1 h at room temperature, washed again four times then imaged. Secondary antibodies used were Goat anti-Rabbit IgG H&L 800CW and Goat anti-Mouse IgG H&L 680RD at 1/20000 dilution.

All lanes:

Western blot - Anti-PARP1 antibody [E102] (ab32138) at 1/1000 dilution

Lane 1:

Wild-type A549 control staurosporine (0 uM, 72 h) cell lysate at 20 µg

Lane 2:

Wild-type A549 treated staurosporine (3 uM, 24 h) cell lysate at 20 µg

Lane 3:

PARP1 knockout A549 control staurosporine (0 uM, 72 h) cell lysate at 20 µg

Lane 4:

PARP1 knockout A549 treated staurosporine (3 uM, 24 h) cell lysate at 20 µg

Lane 5:

Empty cell lysate at 20 µg

Lane 6:

HAP1 Treated Staurosporine (2uM, 4h) cell lysate at 20 µg

Lane 7:

HAP1 Vehicle Control Staurosporine (0uM, 4h) cell lysate at 10 µg

Secondary

All lanes:

Goat anti-Rabbit IgG H&L 800CW and Goat anti-Mouse IgG H&L 680RD at 1/20000 dilution

false

Western blot - Anti-PARP1 antibody [E102] (AB32138)
  • WB

Lab

Western blot - Anti-PARP1 antibody [E102] (AB32138)

Lane 1 : Wild type HAP1 whole cell lysate (20 μg)
Lane 2 : PARP1 knockout HAP1 whole cell lysate (20 μg)
Lane 3 : HeLa whole cell lysate (20 μg)
Lane 4 : MCF7 whole cell lysate (20 μg)

Lanes 1 - 4 : Merged signal (red and green). Green - ab32138 observed at 125 kDa. Red - loading control, ab8245, observed at 37 kDa.

ab32138 was shown to specifically react with PARP1 when PARP1 knockout samples were used. Wild-type and PARP1 knockout samples were subjected to SDS-PAGE. ab32138 and ab8245 (Mouse anti-GAPDH loading control) were incubated overnight at 4°C at 1/1000 dilution and 1/10 000 dilution respectively. Blots were developed with 800CW Goat anti Rabbit and 680CW Goat anti Mouse secondary antibodies at 1/10 000 dilution for 1 hour at room temperature before imaging.

All lanes:

Western blot - Anti-PARP1 antibody [E102] (ab32138)

Predicted band size: 113 kDa

false

Western blot - Anti-PARP1 antibody [E102] (AB32138)
  • WB

Lab

Western blot - Anti-PARP1 antibody [E102] (AB32138)

Lanes 1- 2 : Merged signal (red and green). Green - ab32138 observed at 113 kDa. Red - Anti-GAPDH antibody [6C5] - Loading Control (ab8245) observed at 37 kDa.

ab32138 was shown to react with PARP1 in wild-type HEK-293T cells in western blot. Loss of signal was observed when knockout cell line ab266598 (knockout cell lysate ab257017) was used. Wild-type HEK-293T and PARP1 knockout HEK-293T cell lysates were subjected to SDS-PAGE. ab32138 and Anti-GAPDH antibody [6C5] - Loading Control (ab8245) overnight at 4°C at a 1 in 1000 dilution and a 1 in 20000 dilution respectively. Blots were developed with Goat anti-Rabbit IgG H&L (IRDye®800CW) preadsorbed (ab216773) and Goat anti-Mouse IgG H&L (IRDye®680RD) preadsorbed (ab216776) secondary antibodies at 1 in 20000 dilution for 1 hour at room temperature before imaging.

All lanes:

Western blot - Anti-PARP1 antibody [E102] (ab32138) at 1/1000 dilution

Lane 1:

Wild-type HEK-293T cell lysate at 20 µg

Lane 2:

PARP1 knockout HEK-293T cell lysate at 20 µg

Lane 2:

Western blot - Human PARP1 knockout HEK-293T cell line (<a href='/en-us/products/cell-lines/human-parp1-knockout-hek-293t-cell-line-ab266598'>ab266598</a>)

Predicted band size: 113 kDa

Observed band size: 113 kDa

false

Key facts

Host species

Rabbit

Clonality

Monoclonal

Clone number

E102

Isotype

IgG

Carrier free

No

Reacts with

Human

Applications

IHC-P, Flow Cyt (Intra), ICC/IF, WB

applications

Immunogen

The exact immunogen used to generate this antibody is proprietary information.

Specificity

This antibody recognises both pro-form and p25 cleaved form of PARP1.

Reactivity data

{ "title": "Reactivity Data", "filters": { "stats": ["", "Species", "Dilution Info", "Notes"], "tabs": { "all-applications": {"fullname" : "All Applications", "shortname": "All Applications"}, "IHCP" : {"fullname" : "Immunohistochemistry (Formalin/PFA-fixed paraffin-embedded sections)", "shortname":"IHC-P"}, "ICCIF" : {"fullname" : "Immunocytochemistry/ Immunofluorescence", "shortname":"ICC/IF"}, "WB" : {"fullname" : "Western blot", "shortname":"WB"}, "FlowCytIntra" : {"fullname" : "Flow Cytometry (Intracellular)", "shortname":"Flow Cyt (Intra)"}, "IP" : {"fullname" : "Immunoprecipitation", "shortname":"IP"} }, "product-promise": { "all": "all", "testedAndGuaranteed": "tested", "guaranteed": "expected", "predicted": "predicted", "notRecommended": "not-recommended" } }, "values": { "Human": { "IHCP-species-checked": "testedAndGuaranteed", "IHCP-species-dilution-info": "1/200", "IHCP-species-notes": "<p><strong>For unpurified use at 1/25.</strong></p>", "ICCIF-species-checked": "testedAndGuaranteed", "ICCIF-species-dilution-info": "1/100", "ICCIF-species-notes": "<p></p>", "WB-species-checked": "testedAndGuaranteed", "WB-species-dilution-info": "1/1000 - 1/10000", "WB-species-notes": "<p>Existing as a 113 kDa nuclear protein, PARP1 is cleaved between amino acids Asp214 and Gly215 to yield two fragments of 29 kDa (N-terminal catalytic domain) and 85 kDa (C-terminal DNA-binding domain)</p>", "FlowCytIntra-species-checked": "testedAndGuaranteed", "FlowCytIntra-species-dilution-info": "1/20 - 1/50", "FlowCytIntra-species-notes": "<p><a href='/en-us/products/primary-antibodies/rabbit-igg-monoclonal-epr25a-isotype-control-ab172730'>ab172730</a> - Rabbit monoclonal IgG, is suitable for use as an isotype control with this antibody.</p>", "IP-species-checked": "notRecommended", "IP-species-dilution-info": "", "IP-species-notes": "<p></p>" } } }

Product details

What is this antibody validated in?
Anti-PARP1 antibody [E102] (ab32138) is a rabbit recombinant monoclonal antibody and is validated for use in Western Blot (WB), Flow Cytometry (Intra), Flow Cytometry (Flow Cyt), Immunohistochemistry (IHC-P), Immunocytochemistry/immunofluorescence (ICC/IF) in Human samples.

What is the molecular weight of PARP1?
Anti-PARP1 [E102] (ab32138) specifically detects a band for PARP1 (UniProt: P09874) at a molecular weight of 113kDa.

Trusted by the scientific community
Anti-PARP1 [E102] (ab32138) was first used in a scientific publication in 2006 and has been cited over 130 times in peer-reviewed journals.

Reviewed by scientists
Anti-PARP1 [E102] (ab32138) has over 5 independent reviews from customers.

Trial sizes available!
Test your antibody or perform pre-screening before committing to a larger quantity. Sold in 10µl. Discover our selection of trial-size antibodies.

Specificity confirmed
The specificity of Anti-PARP1 antibody [E102] (ab32138) has been confirmed by Western blot testing in PARP1 Knockout HAP1 cells.

Other related products
We have a range of other formats of antibody clone [E102] also available for your convenience: ab32138, Carrier free - ab221923, Alexa Fluor® 488 - ab237411, Alexa Fluor® 647 - ab237412

Species reactivity
Mouse, Rat: We have preliminary internal testing data to indicate this antibody may not react with these species.
Please contact us for more information.

Patented technology
Our RabMAb® technology is a patented hybridoma-based technology for making rabbit monoclonal antibodies. For details on our patents, please refer to RabMAb® patents.

What are the advantages of a recombinant monoclonal antibody?
This product is a recombinant monoclonal antibody, which offers several advantages including:

  • - High batch-to-batch consistency and reproducibility
  • - Improved sensitivity and specificity
  • - Long-term security of supply
  • - Animal-free batch production

For more information, read more on recombinant antibodies.

Properties and storage information

Form
Liquid
Purification technique
Affinity purification Protein A
Storage buffer
pH: 7.2 - 7.4 Preservative: 0.01% Sodium azide Constituents: PBS, 40% Glycerol (glycerin, glycerine), 0.05% BSA
Shipped at conditions
Blue Ice
Appropriate short-term storage duration
1-2 weeks
Appropriate short-term storage conditions
+4°C
Appropriate long-term storage conditions
-20°C
Aliquoting information
Upon delivery aliquot
Storage information
Avoid freeze / thaw cycle

Supplementary information

This supplementary information is collated from multiple sources and compiled automatically.

PARP1 also known as poly(ADP-ribose) polymerase 1 is an enzyme that plays an important role in DNA repair processes. It detects DNA single-strand breaks and uses NAD+ as a substrate to add ADP-ribose polymers to itself and other proteins. This post-translational modification signals DNA repair machinery to the site of damage. PARP1 has a molecular weight of approximately 116 kDa. It is widely expressed in the nucleus of eukaryotic cells. PARP1 is often studied by western blotting techniques to analyze its expression and activation levels.
Biological function summary

Poly(ADP-ribose) polymerase 1 functions to maintain genomic stability by acting within the base excision repair complex. This complex is important for the detection and repair of DNA damage preventing the accumulation of mutations. By acting at sites of DNA stress PARP1 facilitates the binding of DNA repair proteins stabilizing the DNA structure during the repair process. This role is significant for cells that undergo frequent DNA replication or are exposed to high levels of genotoxic stress.

Pathways

The PARP1 protein is integral to the DNA damage response and repair pathway. It interacts with other proteins such as XRCC1 to coordinate repair activities at damaged DNA sites. Another important pathway involving PARP1 is the apoptosis pathway where excessive activation of PARP1 can lead to cell death due to depletion of cellular NAD+ and ATP. This indicates its dual role in both promoting cell survival through DNA repair and contributing to cell death when damage is irreparable.

Poly(ADP-ribose) polymerase 1 is strongly linked to cancer and neurodegenerative diseases. Its activity is heightened in many cancer types where cancer cells exploit PARP1 for survival by repairing DNA damage that would otherwise be lethal. Inhibitors of PARP1 are being developed as cancer therapies to target these survival mechanisms. Moreover overactivation of PARP1 in neurodegenerative disorders like Alzheimer's disease can lead to excessive energy consumption promoting neuronal cell damage. In these contexts PARP1 connects with proteins like BRCA1 in cancer or AIF in neurodegeneration illustrating its role in disease mechanisms.

Product protocols

For this product, it's our understanding that no specific protocols are required. You can visit:

Target data

Poly-ADP-ribosyltransferase that mediates poly-ADP-ribosylation of proteins and plays a key role in DNA repair (PubMed : 17177976, PubMed : 18055453, PubMed : 18172500, PubMed : 19344625, PubMed : 19661379, PubMed : 20388712, PubMed : 21680843, PubMed : 22582261, PubMed : 23230272, PubMed : 25043379, PubMed : 26344098, PubMed : 26626479, PubMed : 26626480, PubMed : 30104678, PubMed : 31796734, PubMed : 32028527, PubMed : 32241924, PubMed : 32358582, PubMed : 33186521, PubMed : 34465625, PubMed : 34737271). Mediates glutamate, aspartate, serine, histidine or tyrosine ADP-ribosylation of proteins : the ADP-D-ribosyl group of NAD(+) is transferred to the acceptor carboxyl group of target residues and further ADP-ribosyl groups are transferred to the 2'-position of the terminal adenosine moiety, building up a polymer with an average chain length of 20-30 units (PubMed : 19764761, PubMed : 25043379, PubMed : 28190768, PubMed : 29954836, PubMed : 35393539, PubMed : 7852410, PubMed : 9315851). Serine ADP-ribosylation of proteins constitutes the primary form of ADP-ribosylation of proteins in response to DNA damage (PubMed : 33186521, PubMed : 34874266). Specificity for the different amino acids is conferred by interacting factors, such as HPF1 and NMNAT1 (PubMed : 28190768, PubMed : 29954836, PubMed : 32028527, PubMed : 33186521, PubMed : 33589610, PubMed : 34625544, PubMed : 34874266). Following interaction with HPF1, catalyzes serine ADP-ribosylation of target proteins; HPF1 confers serine specificity by completing the PARP1 active site (PubMed : 28190768, PubMed : 29954836, PubMed : 32028527, PubMed : 33186521, PubMed : 33589610, PubMed : 34625544, PubMed : 34874266). Also catalyzes tyrosine ADP-ribosylation of target proteins following interaction with HPF1 (PubMed : 29954836, PubMed : 30257210). Following interaction with NMNAT1, catalyzes glutamate and aspartate ADP-ribosylation of target proteins; NMNAT1 confers glutamate and aspartate specificity (By similarity). PARP1 initiates the repair of DNA breaks : recognizes and binds DNA breaks within chromatin and recruits HPF1, licensing serine ADP-ribosylation of target proteins, such as histones (H2BS6ADPr and H3S10ADPr), thereby promoting decompaction of chromatin and the recruitment of repair factors leading to the reparation of DNA strand breaks (PubMed : 17177976, PubMed : 18172500, PubMed : 19344625, PubMed : 19661379, PubMed : 23230272, PubMed : 27067600, PubMed : 34465625, PubMed : 34874266). HPF1 initiates serine ADP-ribosylation but restricts the polymerase activity of PARP1 in order to limit the length of poly-ADP-ribose chains (PubMed : 33683197, PubMed : 34732825, PubMed : 34795260). In addition to base excision repair (BER) pathway, also involved in double-strand breaks (DSBs) repair : together with TIMELESS, accumulates at DNA damage sites and promotes homologous recombination repair by mediating poly-ADP-ribosylation (PubMed : 26344098, PubMed : 30356214). Mediates the poly-ADP-ribosylation of a number of proteins, including itself, APLF, CHFR, RPA1 and NFAT5 (PubMed : 17396150, PubMed : 19764761, PubMed : 24906880, PubMed : 34049076). In addition to proteins, also able to ADP-ribosylate DNA : catalyzes ADP-ribosylation of DNA strand break termini containing terminal phosphates and a 2'-OH group in single- and double-stranded DNA, respectively (PubMed : 27471034). Required for PARP9 and DTX3L recruitment to DNA damage sites (PubMed : 23230272). PARP1-dependent PARP9-DTX3L-mediated ubiquitination promotes the rapid and specific recruitment of 53BP1/TP53BP1, UIMC1/RAP80, and BRCA1 to DNA damage sites (PubMed : 23230272). PARP1-mediated DNA repair in neurons plays a role in sleep : senses DNA damage in neurons and promotes sleep, facilitating efficient DNA repair (By similarity). In addition to DNA repair, also involved in other processes, such as transcription regulation, programmed cell death, membrane repair, adipogenesis and innate immunity (PubMed : 15607977, PubMed : 17177976, PubMed : 19344625, PubMed : 27256882, PubMed : 32315358, PubMed : 32844745, PubMed : 35124853, PubMed : 35393539, PubMed : 35460603). Acts as a repressor of transcription : binds to nucleosomes and modulates chromatin structure in a manner similar to histone H1, thereby altering RNA polymerase II (PubMed : 15607977, PubMed : 22464733). Acts both as a positive and negative regulator of transcription elongation, depending on the context (PubMed : 27256882, PubMed : 35393539). Acts as a positive regulator of transcription elongation by mediating poly-ADP-ribosylation of NELFE, preventing RNA-binding activity of NELFE and relieving transcription pausing (PubMed : 27256882). Acts as a negative regulator of transcription elongation in response to DNA damage by catalyzing poly-ADP-ribosylation of CCNT1, disrupting the phase separation activity of CCNT1 and subsequent activation of CDK9 (PubMed : 35393539). Involved in replication fork progression following interaction with CARM1 : mediates poly-ADP-ribosylation at replication forks, slowing fork progression (PubMed : 33412112). Poly-ADP-ribose chains generated by PARP1 also play a role in poly-ADP-ribose-dependent cell death, a process named parthanatos (By similarity). Also acts as a negative regulator of the cGAS-STING pathway (PubMed : 32315358, PubMed : 32844745, PubMed : 35460603). Acts by mediating poly-ADP-ribosylation of CGAS : PARP1 translocates into the cytosol following phosphorylation by PRKDC and catalyzes poly-ADP-ribosylation and inactivation of CGAS (PubMed : 35460603). Acts as a negative regulator of adipogenesis : catalyzes poly-ADP-ribosylation of histone H2B on 'Glu-35' (H2BE35ADPr) following interaction with NMNAT1, inhibiting phosphorylation of H2B at 'Ser-36' (H2BS36ph), thereby blocking expression of pro-adipogenetic genes (By similarity). Involved in the synthesis of ATP in the nucleus, together with NMNAT1, PARG and NUDT5 (PubMed : 27257257). Nuclear ATP generation is required for extensive chromatin remodeling events that are energy-consuming (PubMed : 27257257).. Poly [ADP-ribose] polymerase 1, processed C-terminus. Promotes AIFM1-mediated apoptosis (PubMed : 33168626). This form, which translocates into the cytoplasm following cleavage by caspase-3 (CASP3) and caspase-7 (CASP7) in response to apoptosis, is auto-poly-ADP-ribosylated and serves as a poly-ADP-ribose carrier to induce AIFM1-mediated apoptosis (PubMed : 33168626).. Poly [ADP-ribose] polymerase 1, processed N-terminus. This cleavage form irreversibly binds to DNA breaks and interferes with DNA repair, promoting DNA damage-induced apoptosis.
See full target information PARP1

Publications (166)

Recent publications for all applications. Explore the full list and refine your search

Oncogene 44:4159-4172 PubMed40946103

2025

METTL16-mediated inhibition of MXD4 promotes leukemia through activation of the MYC-MAX axis.

Applications

Unspecified application

Species

Unspecified reactive species

Guglielmo Bove,Mehrad Babaei,Alberto Bueno-Costa,Sajid Amin,Nicla Simonelli,Rosaria Benedetti,Carmela Dell'Aversana,Mariarosaria Conte,Liliana Montella,Vincenzo Summa,Margherita Brindisi,Maria Rosaria Del Sorbo,Marco Crepaldi,Gregorio Favale,Nuria Profitos-Peleja,Vincenzo Carafa,Gaël Roué,Fortunato Ciardiello,Annalisa Capuano,Hendrik G Stunnenberg,Wouter L Megchelenbrink,Angela Nebbioso,Manel Esteller,Lucia Altucci,Nunzio Del Gaudio

Plants (Basel, Switzerland) 14: PubMed40805798

2025

Exploring the Bioactive Potential and Chemical Profile of Essential Oil: An Integrated and Evaluation.

Applications

Unspecified application

Species

Unspecified reactive species

Rómulo Oses,Matías Ferrando,Flavia Bruna,Patricio Retamales,Myriam Navarro,Katia Fernández,Waleska Vera,María José Larrazábal,Iván Neira,Adrián Paredes,Manuel Osorio,Osvaldo Yáñez,Martina Jacobs,Jessica Bravo

Animal cells and systems 29:512-522 PubMed40800577

2025

RNA binding protein HuD regulates fatty acid oxidation in pancreatic β-cells by modulating long-chain acyl-CoA dehydrogenase expression.

Applications

Unspecified application

Species

Unspecified reactive species

Jiyoon Seo,Seungyeon Ryu,Wei Zhang,Eun Kyung Lee,Seung Min Jeong

BMC cancer 25:1174 PubMed40665223

2025

Enhanced tumor suppression in patient-derived temozolomide-resistant glioblastoma cells using a combination treatment of Olaparib and FK866.

Applications

Unspecified application

Species

Unspecified reactive species

Xiaowei Sha,Jiaqian Li,Yunlong Fang,Jingjie Feng,Yasong Feng,Jing Wang,Yang Si,Feng Li,Shan Cheng,Wei Ding

Epigenetics & chromatin 18:32 PubMed40474236

2025

The linker histone chaperone Prothymosin α (PTMA) is essential for efficient DNA damage repair and the recruitment of PARP1.

Applications

Unspecified application

Species

Unspecified reactive species

Ciara A McKnight,Mary E Graichen,Eric M George,David T Brown

Scientific reports 15:19695 PubMed40467837

2025

Radiosensitizing effects of Withaferin A in gastric cancer cells via autophagy Inhibition and mitochondrial disruption.

Applications

Unspecified application

Species

Unspecified reactive species

Ping Lu,Juan Xue,Xuemeng Ji

Neoplasia (New York, N.Y.) 59:101092 PubMed39615107

2024

Suppression of ADP-ribosylation reversal triggers cell vulnerability to alkylating agents.

Applications

Unspecified application

Species

Unspecified reactive species

Rocco Caggiano,Evgeniia Prokhorova,Lena Duma,Kira Schützenhofer,Raffaella Lauro,Giuliana Catara,Rosa Marina Melillo,Angela Celetti,Rebecca Smith,S John Weroha,Scott H Kaufmann,Ivan Ahel,Luca Palazzo

Cell death & disease 15:762 PubMed39426963

2024

O-GlcNAcylation inhibition redirects the response of colon cancer cells to chemotherapy from senescence to apoptosis.

Applications

Unspecified application

Species

Unspecified reactive species

Ingrid Loison,Adrien Pioger,Sonia Paget,Inès Metatla,Audrey Vincent,Corinne Abbadie,Vanessa Dehennaut

Histology and histopathology 40:721-732 PubMed39376051

2024

ABRACL upregulated by transcription factor CBX4 promotes proliferation and migration and inhibits the apoptosis of gastric cancer cells.

Applications

Unspecified application

Species

Unspecified reactive species

Kai Guo,Xiao Gao

G3 (Bethesda, Md.) 14: PubMed39056235

2024

Adaptive genetic mechanisms in mammalian Parp1 locus.

Applications

Unspecified application

Species

Unspecified reactive species

Yaroslava Karpova,Alexei V Tulin
View all publications

Product promise

We are committed to supporting your work with high-quality reagents, and we're here for you every step of the way. In the unlikely event that one of our products does not perform as expected, you're protected by our Product Promise.
For full details, please see our Terms & Conditions

Please note: All products are 'FOR RESEARCH USE ONLY. NOT FOR USE IN DIAGNOSTIC OR THERAPEUTIC PROCEDURES'.

For licensing inquiries, please contact partnerships@abcam.com