JavaScript is disabled in your browser. Please enable JavaScript to view this website.
AB24110

Anti-PARP4 antibody [P193-10]

Be the first to review this product! Submit a review

|

(3 Publications)

Mouse Monoclonal PARP4 antibody. Suitable for IHC-FoFr, IHC-P and reacts with Human samples. Cited in 3 publications. Immunogen corresponding to Synthetic Peptide within Human PARP4 aa 400-650.

View Alternative Names

ADPRTL1, KIAA0177, PARPL, PARP4, Protein mono-ADP-ribosyltransferase PARP4, 193 kDa vault protein, ADP-ribosyltransferase diphtheria toxin-like 4, PARP-related/IalphaI-related H5/proline-rich, Poly [ADP-ribose] polymerase 4, Vault poly(ADP-ribose) polymerase, ARTD4, PH5P, PARP-4, VPARP

1 Images
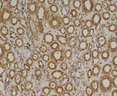
Immunohistochemistry (Formalin/PFA-fixed paraffin-embedded sections) - Anti-PARP4 antibody [P193-10] (AB24110)
  • IHC-P

Unknown

Immunohistochemistry (Formalin/PFA-fixed paraffin-embedded sections) - Anti-PARP4 antibody [P193-10] (AB24110)

IHC image of PARP4 staining in human kidney formalin fixed paraffin embedded tissue section, performed on a Leica Bond system using the standard protocol F. The section was pre-treated using heat mediated antigen retrieval with sodium citrate buffer (pH6, epitope retrieval solution 1) for 20 mins. The section was then incubated with ab24110, 10μg/ml, for 15 mins at room temperature and detected using an HRP conjugated compact polymer system. DAB was used as the chromogen. The section was then counterstained with haematoxylin and mounted with DPX.

For other IHC staining systems (automated and non-automated) customers should optimize variable parameters such as antigen retrieval conditions, primary antibody concentration and antibody incubation times.

Key facts

Host species

Mouse

Clonality

Monoclonal

Clone number

P193-10

Isotype

IgG2b

Light chain type

kappa

Carrier free

No

Reacts with

Human

Applications

IHC-P, IHC-FoFr

applications

Immunogen

Synthetic Peptide within Human PARP4 aa 400-650. The exact immunogen used to generate this antibody is proprietary information.

Q9UKK3

Reactivity data

{ "title": "Reactivity Data", "filters": { "stats": ["", "Species", "Dilution Info", "Notes"], "tabs": { "all-applications": {"fullname" : "All Applications", "shortname": "All Applications"}, "IHCFoFr" : {"fullname" : "Immunohistochemistry (PFA perfusion fixed frozen sections)", "shortname":"IHC-FoFr"}, "IHCP" : {"fullname" : "Immunohistochemistry (Formalin/PFA-fixed paraffin-embedded sections)", "shortname":"IHC-P"} }, "product-promise": { "all": "all", "testedAndGuaranteed": "tested", "guaranteed": "expected", "predicted": "predicted", "notRecommended": "not-recommended" } }, "values": { "Human": { "IHCFoFr-species-checked": "guaranteed", "IHCFoFr-species-dilution-info": "", "IHCFoFr-species-notes": "<p></p>", "IHCP-species-checked": "testedAndGuaranteed", "IHCP-species-dilution-info": "", "IHCP-species-notes": "<p></p>" } } }

Properties and storage information

Form
Liquid
Storage buffer
pH: 7.3 Preservative: 0.1% Sodium azide Constituents: 1% BSA
Shipped at conditions
Blue Ice
Appropriate short-term storage duration
1-2 weeks
Appropriate short-term storage conditions
+4°C
Appropriate long-term storage conditions
-20°C
Aliquoting information
Upon delivery aliquot

Supplementary information

This supplementary information is collated from multiple sources and compiled automatically.

PARP4 also known as vault poly(ADP-ribose) polymerase or ADPRTL1 is an enzyme part of the poly(ADP-ribose) polymerase family. It has a molecular mass of about 193 kDa. PARP4 localizes in the cytoplasm and is expressed in various tissues including brain heart and skeletal muscle. This protein aids in catalyzing the transfer of ADP-ribose units forming poly(ADP-ribose) chains critical for multiple cellular processes.
Biological function summary

Through its enzymatic activity involving ADP-ribosylation PARP4 plays a role in DNA repair and stress response regulation. It is part of larger structures called vault ribonucleoprotein particles which are implicated in transporting molecules across the nuclear-pore complex. The interaction of PARP4 with these vault particles suggests its involvement in intracellular transport and cellular signaling processes.

Pathways

Researchers observe PARP4's involvement in the DNA damage response and repair mechanisms. It interacts with the base excision repair (BER) pathway helping maintain genomic integrity. PARP4 also relates to proteins such as p53 which is a significant player in the regulation of cell cycle arrest and apoptosis following DNA damage indicating its regulatory importance in these pathways.

Studies have associated PARP4 with cancer and neurodegeneration. Aberrant expression or activity of PARP4 can contribute to tumorigenesis partially due to its role in DNA repair pathways where it interacts with other PARPs like PARP1. Its dysfunction has also been linked to neurodegenerative diseases with altered protein interactions affecting neural cell survival and function.

Product protocols

For this product, it's our understanding that no specific protocols are required. You can visit:

Target data

Mono-ADP-ribosyltransferase that mediates mono-ADP-ribosylation of target proteins.
See full target information PARP4

Publications (3)

Recent publications for all applications. Explore the full list and refine your search

Oncology reports 41:3201-3208 PubMed31002369

2019

Single‑cell intratumoral stemness analysis reveals the involvement of cell cycle and DNA damage repair in two different types of esophageal cancer.

Applications

Unspecified application

Species

Unspecified reactive species

Hongjin Wu,Ying Li,Qiang Hou,Rongjin Zhou,Ziwei Li,Shixiu Wu,Juehua Yu,Mingfeng Jiang

International journal of oncology 43:513-20 PubMed23739867

2013

Expression profiles of vault components MVP, TEP1 and vPARP and their correlation to other multidrug resistance proteins in ovarian cancer.

Applications

Unspecified application

Species

Unspecified reactive species

Witold Szaflarski,Patrycja Sujka-Kordowska,Bartosz Pula,Karolina Jaszczyńska-Nowinka,Małgorzata Andrzejewska,Piotr Zawierucha,Piotr Dziegiel,Michał Nowicki,Pavel Ivanov,Maciej Zabel

Carcinogenesis 28:572-83 PubMed17032658

2006

Conditional Akt activation promotes androgen-independent progression of prostate cancer.

Applications

Unspecified application

Species

Unspecified reactive species

Benyi Li,Aijing Sun,Hyewon Youn,Yan Hong,Paul F Terranova,J Brantley Thrasher,Pingyi Xu,David Spencer
View all publications

Product promise

We are committed to supporting your work with high-quality reagents, and we're here for you every step of the way. In the unlikely event that one of our products does not perform as expected, you're protected by our Product Promise.
For full details, please see our Terms & Conditions

Please note: All products are 'FOR RESEARCH USE ONLY. NOT FOR USE IN DIAGNOSTIC OR THERAPEUTIC PROCEDURES'.

For licensing inquiries, please contact partnerships@abcam.com