JavaScript is disabled in your browser. Please enable JavaScript to view this website.
AB122264

Anti-Partitioning defective 3-like protein antibody

4

(2 Reviews)

|

(2 Publications)

Rabbit Polyclonal Partitioning defective 3-like protein antibody. Suitable for IHC-P, ICC/IF and reacts with Human samples. Cited in 2 publications. Immunogen corresponding to Recombinant Fragment Protein within Human PARD3B aa 1000-1150.

View Alternative Names

ALS2CR19, PAR3B, PAR3L, PARD3B, Partitioning defective 3 homolog B, Amyotrophic lateral sclerosis 2 chromosomal region candidate gene 19 protein, PAR3-beta, Partitioning defective 3-like protein, PAR3-L protein

2 Images
Immunocytochemistry/ Immunofluorescence - Anti-Partitioning defective 3-like protein antibody (AB122264)
  • ICC/IF

Unknown

Immunocytochemistry/ Immunofluorescence - Anti-Partitioning defective 3-like protein antibody (AB122264)

Immunocytochemistry/immunofluorescence analysis of human cell line CACO-2 labelling Partitioning defective 3-like protein with ab122264 at 2 μg/mL shows localization to cell junctions.

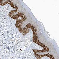
Immunohistochemistry (Formalin/PFA-fixed paraffin-embedded sections) - Anti-Partitioning defective 3-like protein antibody (AB122264)
  • IHC-P

Unknown

Immunohistochemistry (Formalin/PFA-fixed paraffin-embedded sections) - Anti-Partitioning defective 3-like protein antibody (AB122264)

ab122264, at 1/10 dilution, staining Partitioning defective 3-like protein in paraffin-embedded Human skin tissue by Immunohistochemistry.

Key facts

Host species

Rabbit

Clonality

Polyclonal

Isotype

IgG

Carrier free

No

Reacts with

Human

Applications

ICC/IF, IHC-P

applications

Immunogen

Recombinant Fragment Protein within Human PARD3B aa 1000-1150. The exact immunogen used to generate this antibody is proprietary information.

Q8TEW8

Reactivity data

{ "title": "Reactivity Data", "filters": { "stats": ["", "Species", "Dilution Info", "Notes"], "tabs": { "all-applications": {"fullname" : "All Applications", "shortname": "All Applications"}, "IHCP" : {"fullname" : "Immunohistochemistry (Formalin/PFA-fixed paraffin-embedded sections)", "shortname":"IHC-P"}, "ICCIF" : {"fullname" : "Immunocytochemistry/ Immunofluorescence", "shortname":"ICC/IF"} }, "product-promise": { "all": "all", "testedAndGuaranteed": "tested", "guaranteed": "expected", "predicted": "predicted", "notRecommended": "not-recommended" } }, "values": { "Human": { "IHCP-species-checked": "testedAndGuaranteed", "IHCP-species-dilution-info": "1/10 - 1/20", "IHCP-species-notes": "<p></p> Perform heat-mediated antigen retrieval with citrate buffer pH 6 before commencing with IHC staining protocol.", "ICCIF-species-checked": "testedAndGuaranteed", "ICCIF-species-dilution-info": "0.25-2 µg/mL", "ICCIF-species-notes": "<p></p>" } } }

Product details

ab122264 is mono-specific.

Properties and storage information

Form
Liquid
Purification technique
Affinity purification Immunogen
Storage buffer
pH: 7.2 Preservative: 0.02% Sodium azide Constituents: PBS, 40% Glycerol (glycerin, glycerine)
Shipped at conditions
Blue Ice
Appropriate short-term storage conditions
+4°C
Appropriate long-term storage conditions
-20°C
Aliquoting information
Upon delivery aliquot
Storage information
Avoid freeze / thaw cycle

Supplementary information

This supplementary information is collated from multiple sources and compiled automatically.

Partitioning defective 3-like protein also known as PAR-3 plays an important role in cellular functions. It is a scaffolding protein with a molecular mass of approximately 150 kDa. PAR-3 serves to organize and localize proteins at cell junctions especially tight junctions in epithelial cells. This protein is expressed in various tissues but is especially known for its expression in cells with distinct cellular polarity like neurons and epithelial cells. Moreover PAR-3 contains PDZ domains that assist in its role as a localizing and clustering agent for other proteins at cell junction zones.
Biological function summary

Partitioning defective 3-like protein contributes to establishing and maintaining cell polarity and adhesion. PAR-3 forms a complex with other proteins such as PAR-6 and atypical protein kinase C (aPKC). This complex localizes to areas of the cell that require polarity like the apical surface in epithelial cells or the leading edge in migrating cells. Through its scaffolding ability PAR-3 influences the organization of the cytoskeleton which is important for cell movement division and differentiation.

Pathways

Partitioning defective 3-like protein participates in the control of the epithelial cell polarity pathway. It interacts closely with aPKC and PAR-6 acting as an organizer for protein complexes that define cell polarity. PAR-3 also connects to signaling pathways like the PI3K/Akt pathway that is involved in cell growth and survival. Its interaction with these pathways highlights its role in cell orientation and function making it an important player in spatial cell organization and communication.

The function of partitioning defective 3-like protein impacts conditions such as cancer and neurodegenerative diseases. Disruption in PAR-3 expression or dysfunction in its associated complexes can result in loss of cellular polarity promoting cancer progression as tumor cells lose their structured growth pattern. Furthermore PAR-3 links to neurodegenerative diseases through its role in maintaining neuron polarity and connectivity with anomalies contributing to disorders like Alzheimer's. The complex relationship between PAR-3 and proteins like aPKC informs our understanding of its part in the pathology of associated diseases.

Product protocols

For this product, it's our understanding that no specific protocols are required. You can visit:

Target data

Putative adapter protein involved in asymmetrical cell division and cell polarization processes. May play a role in the formation of epithelial tight junctions.
See full target information PARD3B

Publications (2)

Recent publications for all applications. Explore the full list and refine your search

Tumour biology : the journal of the International Society for Oncodevelopmental Biology and Medicine 39:1010428317698393 PubMed28443499

2017

High expression of partitioning defective 3-like protein is associated with malignancy in colorectal cancer.

Applications

Unspecified application

Species

Unspecified reactive species

Taiyuan Li,Xiaoyang Liu,Qunguang Jiang,Xiong Lei,Dongning Liu

International journal of oncology : PubMed28350047

2017

Expression and prognostic value of the cell polarity PAR complex members in thyroid cancer.

Applications

Unspecified application

Species

Unspecified reactive species

Chiara Tuccilli,Enke Baldini,Yannick Arlot-Bonnemains,Frank Chesnel,Salvatore Sorrenti,Corrado De Vito,Eleonora D'Armiento,Alessandro Antonelli,Poupak Fallahi,Sara Watutantrige,Francesco Tartaglia,Susi Barollo,Caterina Mian,Stefano Arcieri,Domenico Mascagni,Daniele Pironi,Marco Bononi,Massimo Vergine,Massimo Monti,Angelo Filippini,Salvatore Ulisse
View all publications

Product promise

We are committed to supporting your work with high-quality reagents, and we're here for you every step of the way. In the unlikely event that one of our products does not perform as expected, you're protected by our Product Promise.
For full details, please see our Terms & Conditions

Please note: All products are 'FOR RESEARCH USE ONLY. NOT FOR USE IN DIAGNOSTIC OR THERAPEUTIC PROCEDURES'.

For licensing inquiries, please contact partnerships@abcam.com