JavaScript is disabled in your browser. Please enable JavaScript to view this website.
AB11427

Anti-Parvalbumin antibody

4

(30 Reviews)

|

(285 Publications)

Anti-Parvalbumin antibody (ab11427) is a rabbit polyclonal antibody detecting Parvalbumin in IHC-P, ICC/IF. Suitable for Human, Rat.

- Over 280 publications
- Trusted since 2004

View Alternative Names

Parvalbumin alpha, PVALB

7 Images
Immunocytochemistry/ Immunofluorescence - Anti-Parvalbumin antibody (AB11427)
  • ICC/IF

Supplier Data

Immunocytochemistry/ Immunofluorescence - Anti-Parvalbumin antibody (AB11427)

Immunocytochemistry/Immunofluorescence analysis of HeLa cells labeling Parvalbumin (green) with ab11427 at 1/100. F-Actin staining with Phalloidin (red) and nuclei with DAPI (blue). Cells were fixed with formaldehyde and incubated with the primary antibody overnight at 4°C. A DyLight 488-conjugated secondary antibody was used. 60X magnification. Right - negative control.

Immunohistochemistry (Formalin/PFA-fixed paraffin-embedded sections) - Anti-Parvalbumin antibody (AB11427)
  • IHC-P

AbReview27399****

Immunohistochemistry (Formalin/PFA-fixed paraffin-embedded sections) - Anti-Parvalbumin antibody (AB11427)

ab11427 staining Parvalbumin in human brain tissue sections by Immunohistochemistry (Formalin/PFA-fixed paraffin-embedded sections).

Tissue was fixed in formaldehyde and a heat mediated antigen retrieval step was performed using EDTA pH 8.0 for 20 minutes at 100°C. Samples were then incubated with ab11427 at a 1/1000 dilution for 20 minutes at 25°C. The secondary used was an undiluted HRP conjugated goat anti-mouse/ rabbit IgG.

Image courtesy of an anonymous Abreview.

Immunohistochemistry (Formalin/PFA-fixed paraffin-embedded sections) - Anti-Parvalbumin antibody (AB11427)
  • IHC-P

Unknown

Immunohistochemistry (Formalin/PFA-fixed paraffin-embedded sections) - Anti-Parvalbumin antibody (AB11427)

Immunohistochemistry was performed on normal biopsies of deparaffinized Human skeletal muscle tissue. To expose target proteins heat induced antigen retrieval was performed using 10mM sodium citrate (pH6.0) buffer microwaved for 8-15 minutes. Following antigen retrieval tissues were blocked in 3% BSA-PBS for 30 minutes at room temperature. Tissues were then probed at a dilution of 1 : 20 with a rabbit polyclonal antibody recognizing Parvalbumin ab11427 or without primary antibody (negative control) overnight at 4°C in a humidified chamber. Tissues were washed extensively with PBST and endogenous peroxidase activity was quenched with a peroxidase suppressor. Detection was performed using a biotin-conjugated secondary antibody and SA-HRP followed by colorimetric detection using DAB. Tissues were counterstained with hematoxylin and prepped for mounting.

Immunocytochemistry/ Immunofluorescence - Anti-Parvalbumin antibody (AB11427)
  • ICC/IF

AbReview51007****

Immunocytochemistry/ Immunofluorescence - Anti-Parvalbumin antibody (AB11427)

Immunocytochemcial immunofluorescence analysis of 4% PFA & 0.2% Picric acid fixed rat cordical cells in culture, labelling parvalbumin with ab11427 at a dilution of 1/500 incubated for 12 hours at 4°C in 10mM PBS & 0.03% Triton X diluent blend. The secondary was a Donkey anti-Rabbit polyclonal Alexa Fluor® 488 conjugate at 1/200.

Image is courtesy of an AbReview submitted by Ms Babben Tinner.

Immunocytochemistry/ Immunofluorescence - Anti-Parvalbumin antibody (AB11427)
  • ICC/IF

Supplier Data

Immunocytochemistry/ Immunofluorescence - Anti-Parvalbumin antibody (AB11427)

Immunocytochemistry/Immunofluorescence analysis of C6 (rat glial tumor cell line) cells labeling Parvalbumin (green) with ab11427 at 1/100. F-Actin staining with Phalloidin (red) and nuclei with DAPI (blue). Cells were fixed with formaldehyde and incubated with the primary antibody overnight at 4°C. A DyLight 488-conjugated secondary antibody was used. 60X magnification. Right - negative control.

Immunocytochemistry/ Immunofluorescence - Anti-Parvalbumin antibody (AB11427)
  • ICC/IF

Supplier Data

Immunocytochemistry/ Immunofluorescence - Anti-Parvalbumin antibody (AB11427)

Immunocytochemistry/Immunofluorescence analysis of U251 cells labeling Parvalbumin (green) with ab11427 at 1/200. F-Actin staining with Phalloidin (red) and nuclei with DAPI (blue). Cells were fixed with formaldehyde and incubated with the primary antibody overnight at 4°C. A DyLight 488-conjugated secondary antibody was used. 60X magnification. Right - negative control.

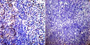
Immunohistochemistry (Formalin/PFA-fixed paraffin-embedded sections) - Anti-Parvalbumin antibody (AB11427)
  • IHC-P

Unknown

Immunohistochemistry (Formalin/PFA-fixed paraffin-embedded sections) - Anti-Parvalbumin antibody (AB11427)

Immunohistochemistry was performed on normal biopsies of deparaffinized Human tonsil tissue. To expose target proteins heat induced antigen retrieval was performed using 10mM sodium citrate (pH6.0) buffer microwaved for 8-15 minutes. Following antigen retrieval tissues were blocked in 3% BSA-PBS for 30 minutes at room temperature. Tissues were then probed at a dilution of 1 : 100 with a rabbit polyclonal antibody recognizing Parvalbumin ab11427 or without primary antibody (negative control) overnight at 4°C in a humidified chamber. Tissues were washed extensively with PBST and endogenous peroxidase activity was quenched with a peroxidase suppressor. Detection was performed using a biotin-conjugated secondary antibody and SA-HRP followed by colorimetric detection using DAB. Tissues were counterstained with hematoxylin and prepped for mounting.

Key facts

Host species

Rabbit

Clonality

Polyclonal

Isotype

IgG

Carrier free

No

Reacts with

Rat, Human

Applications

IHC-P, ICC/IF

applications

Immunogen

Native Full Length Protein corresponding to Rat Pvalb.

P02625

Reactivity data

{ "title": "Reactivity Data", "filters": { "stats": ["", "Species", "Dilution Info", "Notes"], "tabs": { "all-applications": {"fullname" : "All Applications", "shortname": "All Applications"}, "ICCIF" : {"fullname" : "Immunocytochemistry/ Immunofluorescence", "shortname":"ICC/IF"}, "IHCP" : {"fullname" : "Immunohistochemistry (Formalin/PFA-fixed paraffin-embedded sections)", "shortname":"IHC-P"} }, "product-promise": { "all": "all", "testedAndGuaranteed": "tested", "guaranteed": "expected", "predicted": "predicted", "notRecommended": "not-recommended" } }, "values": { "Human": { "ICCIF-species-checked": "testedAndGuaranteed", "ICCIF-species-dilution-info": "1/100 - 1/200", "ICCIF-species-notes": "<p></p>", "IHCP-species-checked": "testedAndGuaranteed", "IHCP-species-dilution-info": "1 µg/mL", "IHCP-species-notes": "<p></p>" }, "Rat": { "ICCIF-species-checked": "testedAndGuaranteed", "ICCIF-species-dilution-info": "1/100 - 1/200", "ICCIF-species-notes": "<p></p>", "IHCP-species-checked": "guaranteed", "IHCP-species-dilution-info": "", "IHCP-species-notes": "" } } }

Have you thought about this alternative?

AB181086

Anti-Parvalbumin antibody [EPR13091]

5
5 Reviews
View product

We’re constantly upgrading our range to offer the highest quality products. We have selected this alternative product for your review because it gives improved performance, is easier and more convenient to use, or is available faster.

Product details

Anti-Parvalbumin antibody (ab11427) is a rabbit polyclonal antibody and is validated for use in ICC/IF, IHC-P in human, mouse, rat samples.

Anti-Parvalbumin antibody (ab11427) has been cited over 285 times in peer reviewed journals and is trusted by the scientific community.

Abcam's high quality validation processes ensure Anti-Parvalbumin antibody (ab11427) has high sensitivity and specificity.

Anti-Parvalbumin antibody (ab11427) has 30 independent reviews from customers.

Anti-Parvalbumin antibody (ab11427) specifically detects Parvalbumin (UniProt ID: P20472; Molecular weight: 12kDa) and is sold in 50 µg selling sizes.

Parvalbumin is a calcium-binding protein predominantly found in fast-spiking interneurons in the brain. It plays a critical role in regulating intracellular calcium levels and neurotransmission. Altered parvalbumin expression is associated with several neurological disorders, including epilepsy, schizophrenia, and autism spectrum disorders, where it affects neuronal excitability and synaptic function.

Properties and storage information

Form
Liquid
Purification technique
Affinity purification Immunogen
Storage buffer
pH: 6.5 Preservative: 0.1% Sodium azide Constituents: 2% BSA, 1.62% Sodium phosphate
Shipped at conditions
Blue Ice
Appropriate short-term storage duration
1-2 weeks
Appropriate short-term storage conditions
+4°C
Appropriate long-term storage conditions
-20°C
Aliquoting information
Upon delivery aliquot
Storage information
Avoid freeze / thaw cycle

Supplementary information

This supplementary information is collated from multiple sources and compiled automatically.

Parvalbumin sometimes referred to as PV is a calcium-binding protein approximately 12 kDa in size. It is recognized for its roles in muscle and neuronal tissues. Within the nervous system parvalbumin is prominently expressed in fast-spiking GABAergic interneurons while in muscle tissues it is present in fast-twitch muscle fibers. Other popular descriptors include anti PV and parvalbumins. These proteins play important roles in the regulation of cellular calcium levels.
Biological function summary

Parvalbumin helps modulate calcium ion concentration which is key in muscle relaxation and neurotransmission. It acts by buffering calcium ions and is not part of a larger protein complex. By impacting calcium transients parvalbumin affects processes like synaptic plasticity and the rapid contractions of muscle fibers. This is especially significant in the brain where rapid neuronal firing is needed and in muscles where quick recovery is essential.

Pathways

Parvalbumin is intimately linked with calcium signaling pathways as well as the regulation of muscle contraction. It ensures proper calcium ion homeostasis thereby aiding muscle relaxation after contraction. In the nervous system calbindin proteins parallel some of parvalbumin's functions participating in calcium ion buffering and modulation of neuron excitability. The balanced action of these proteins helps maintain cellular functions in both neurons and muscles.

Insufficient parvalbumin expression may link to epilepsy and schizophrenia. Deficits in this protein could interfere with normal neurotransmission and muscle relaxation cycles. Parvalbumin deficiency influences neurotransmitter release affecting synaptic transmission which may exacerbate symptoms in these conditions. In disease mechanisms proteins such as calbindin may indirectly relate with parvalbumin showing similar patterns of dysregulation and compensating for its absence in calcium handling.

Product protocols

For this product, it's our understanding that no specific protocols are required. You can visit:

Target data

In muscle, parvalbumin is thought to be involved in relaxation after contraction. It binds two calcium ions.
See full target information PVALB

Publications (285)

Recent publications for all applications. Explore the full list and refine your search

Communications biology 6:1211 PubMed38017066

2023

Functional brain region-specific neural spheroids for modeling neurological diseases and therapeutics screening.

Applications

Unspecified application

Species

Unspecified reactive species

Caroline E Strong,Jiajing Zhang,Martin Carrasco,Srikanya Kundu,Molly Boutin,Harshad D Vishwasrao,Jiamin Liu,Angelica Medina,Yu-Chi Chen,Kelli Wilson,Emily M Lee,Marc Ferrer

Frontiers in neuroanatomy 17:1210502 PubMed38020216

2023

Secretagogin as a marker to distinguish between different neuron types in human frontal and temporal cortex.

Applications

Unspecified application

Species

Unspecified reactive species

Silvia Tapia-González,Javier DeFelipe

Nutrients 15: PubMed37892455

2023

Botanical Mixture Containing Nitric Oxide Metabolite Enhances Neural Plasticity to Improve Cognitive Impairment in a Vascular Dementia Rat Model.

Applications

Unspecified application

Species

Unspecified reactive species

Xiaorong Zhang,Seung-Bum Yang,Lin Cheng,Koo Ho,Min-Sun Kim

Heliyon 9:e18468 PubMed37554823

2023

Neuroinflammation-induced parvalbumin interneuron and oscillation deficits might contribute to neurobehavioral abnormities in a two-hit model of depression.

Applications

Unspecified application

Species

Unspecified reactive species

Qing-Ren Liu,Cui-Na Shi,Fei Wang,Jian-Hua Tong

Nature communications 14:4085 PubMed37438336

2023

External globus pallidus input to the dorsal striatum regulates habitual seeking behavior in male mice.

Applications

Unspecified application

Species

Unspecified reactive species

Matthew Baker,Seungwoo Kang,Sa-Ik Hong,Minryung Song,Minsu Abel Yang,Lee Peyton,Hesham Essa,Sang Wan Lee,Doo-Sup Choi

Molecular psychiatry 28:5159-5172 PubMed37402853

2023

HMGB1 neuroimmune signaling and REST-G9a gene repression contribute to ethanol-induced reversible suppression of the cholinergic neuron phenotype.

Applications

Unspecified application

Species

Unspecified reactive species

Fulton T Crews,Rachael P Fisher,Liya Qin,Ryan P Vetreno

Molecular neurobiology 60:5102-5116 PubMed37256428

2023

Resveratrol Attenuates Chronic Unpredictable Mild Stress-Induced Alterations in the SIRT1/PGC1α/SIRT3 Pathway and Associated Mitochondrial Dysfunction in Mice.

Applications

Unspecified application

Species

Unspecified reactive species

Sidra Tabassum,Afzal Misrani,Hui-Xian Huang,Zai-Yong Zhang,Qiao-Wei Li,Cheng Long

Translational psychiatry 13:176 PubMed37225721

2023

Adolescent exposure to the Spice/K2 cannabinoid JWH-018 impairs sensorimotor gating and alters cortical perineuronal nets in a sex-dependent manner.

Applications

Unspecified application

Species

Unspecified reactive species

Cristina Izquierdo-Luengo,Marc Ten-Blanco,María Ponce-Renilla,Ramiro Perezzan,Inmaculada Pereda-Pérez,Fernando Berrendero

PloS one 18:e0281477 PubMed37097993

2023

Synaptic boutons are smaller in chandelier cell cartridges in autism.

Applications

Unspecified application

Species

Unspecified reactive species

Tiffany Hong,Erin McBride,Brett D Dufour,Carmen Falcone,Mai Doan,Stephen G Noctor,Verónica Martínez-Cerdeño

The international journal of neuropsychopharmacology 26:294-306 PubMed36879414

2023

Influence of Chronic Electroconvulsive Seizures on Plasticity-Associated Gene Expression and Perineuronal Nets Within the Hippocampi of Young Adult and Middle-Aged Sprague-Dawley Rats.

Applications

Unspecified application

Species

Unspecified reactive species

Minal Jaggar,Shreya Ghosh,Balaganesh Janakiraman,Ashmita Chatterjee,Megha Maheshwari,Vani Dewan,Brendan Hare,Sukrita Deb,Dwight Figueiredo,Ronald S Duman,Vidita A Vaidya
View all publications

Product promise

We are committed to supporting your work with high-quality reagents, and we're here for you every step of the way. In the unlikely event that one of our products does not perform as expected, you're protected by our Product Promise.
For full details, please see our Terms & Conditions

Associated Products

Select an associated product type
Alternative Product
Primary Antibodies

AB32895

Anti-Parvalbumin antibody

primary-antibodies

parvalbumin-antibody-ab32895

5

(8 reviews)

Alternative Product
Primary Antibodies

AB256811

Anti-Parvalbumin antibody

primary-antibodies

parvalbumin-antibody-ab256811

0

(0 reviews)

Please note: All products are 'FOR RESEARCH USE ONLY. NOT FOR USE IN DIAGNOSTIC OR THERAPEUTIC PROCEDURES'.

For licensing inquiries, please contact partnerships@abcam.com