JavaScript is disabled in your browser. Please enable JavaScript to view this website.
AB243695

Anti-Parvalbumin antibody [EPR13091] - BSA and Azide free

Be the first to review this product! Submit a review

|

(2 Publications)

Rabbit Recombinant Monoclonal Parvalbumin antibody. Carrier free. Suitable for IP, WB, IHC-Fr, IHC-P and reacts with Human, Mouse, Rat samples. Cited in 2 publications.

View Alternative Names

Parvalbumin alpha, PVALB

5 Images
Immunohistochemistry (Formalin/PFA-fixed paraffin-embedded sections) - Anti-Parvalbumin antibody [EPR13091] - BSA and Azide free (AB243695)
  • IHC-P

Unknown

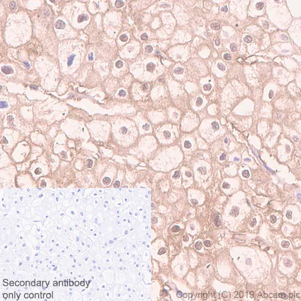
Immunohistochemistry (Formalin/PFA-fixed paraffin-embedded sections) - Anti-Parvalbumin antibody [EPR13091] - BSA and Azide free (AB243695)

Immunohistochemistry (Formalin/PFA-fixed paraffin-embedded sections) analysis of human kidney carcinoma tissue sections labeling Parvalbumin with purified ab181086 at 1/450 dilution (0.46 μg/ml). Perform heat mediated antigen retrieval using ab93684 (Tris/EDTA buffer, pH 9.0). ImmunoHistoProbe one step HRP Polymer (ready to use) was used as the secondary antibody. Negative control : PBS instead of the primary antibody. Hematoxylin was used as a counterstain.

This data was developed using the same antibody clone in a different buffer formulation containing PBS, BSA, glycerol, and sodium azide (ab181086)

Immunohistochemistry (Formalin/PFA-fixed paraffin-embedded sections) - Anti-Parvalbumin antibody [EPR13091] - BSA and Azide free (AB243695)
  • IHC-P

Unknown

Immunohistochemistry (Formalin/PFA-fixed paraffin-embedded sections) - Anti-Parvalbumin antibody [EPR13091] - BSA and Azide free (AB243695)

Immunohistochemistry (Formalin/PFA-fixed paraffin-embedded sections) analysis of human cerebrum tissue sections labeling Parvalbumin with purified ab181086 at 1/450 dilution (0.46 μg/ml). Perform heat mediated antigen retrieval using ab93684 (Tris/EDTA buffer, pH 9.0). ImmunoHistoProbe one step HRP Polymer (ready to use) was used as the secondary antibody. Negative control : PBS instead of the primary antibody. Hematoxylin was used as a counterstain.

This data was developed using the same antibody clone in a different buffer formulation containing PBS, BSA, glycerol, and sodium azide (ab181086).

Immunohistochemistry (Frozen sections) - Anti-Parvalbumin antibody [EPR13091] - BSA and Azide free (AB243695)
  • IHC-Fr

Lab

Immunohistochemistry (Frozen sections) - Anti-Parvalbumin antibody [EPR13091] - BSA and Azide free (AB243695)

Unpurified ab181086 staining Parvalbumin in Mouse skeletal muscle tissue sections by Immunohistochemistry (IHC-Fr - frozen sections). Tissue was fixed with 4% PFA, permeabilized with 0.2% Triton. Heat mediated antigen retrieval was performed using sodium citrate buffer (10mM citrate pH 6.0 + 0.05% Tween-20). Samples were incubated with primary antibody (1/100). ab150077 an AlexaFluor®488 Goat anti-Rabbit secondary (1/1000) was used as the secondary antibody. The Nuclear counter stain DAPI was used.

Positive staining on skeletal muscles (PMID : 7604022).

This data was developed using the same antibody clone in a different buffer formulation containing PBS, BSA, glycerol, and sodium azide (ab181086).

Immunohistochemistry (Frozen sections) - Anti-Parvalbumin antibody [EPR13091] - BSA and Azide free (AB243695)
  • IHC-Fr

Lab

Immunohistochemistry (Frozen sections) - Anti-Parvalbumin antibody [EPR13091] - BSA and Azide free (AB243695)

ab181086 staining Parvalbumin in rat cerebrum tissue sections by Immunohistochemistry (IHC-Fr - frozen sections). Tissue was fixed with 4% PFA, permeabilized with 0.2% Triton X-100. Heat mediated antigen retrieval was performed using sodium citrate buffer (10mM citrate pH 6.0 + 0.05% Tween-20). Samples were incubated with primary antibody (1/250). ab150077 an AlexaFluor®488 Goat anti-Rabbit secondary (1/1000) was used as the secondary antibody. The Nuclear counter stain DAPI was used.

Positive staining on purkinje cells and neuron cells of rat cerebellum.

This data was developed using the same antibody clone in a different buffer formulation containing PBS, BSA, glycerol, and sodium azide (ab181086).

Immunohistochemistry (Frozen sections) - Anti-Parvalbumin antibody [EPR13091] - BSA and Azide free (AB243695)
  • IHC-Fr

Lab

Immunohistochemistry (Frozen sections) - Anti-Parvalbumin antibody [EPR13091] - BSA and Azide free (AB243695)

Unpurified ab181086 staining Parvalbumin in Mouse cerebrum tissue sections by Immunohistochemistry (IHC-Fr - frozen sections). Tissue was fixed with 4% PFA, permeabilized with 0.2% Triton. Heat mediated antigen retrieval was performed using sodium citrate buffer (10mM citrate pH 6.0 + 0.05% Tween-20). Samples were incubated with primary antibody (1/100). ab150077 an AlexaFluor®488 Goat anti-Rabbit secondary (1/1000) was used as the secondary antibody. The Nuclear counter stain DAPI was used.

Positive staining on Purkinje cells and neurons of the molecular layer in cerebellum (PMID : 22561329).

This data was developed using the same antibody clone in a different buffer formulation containing PBS, BSA, glycerol, and sodium azide (ab181086).

Key facts

Host species

Rabbit

Clonality

Monoclonal

Clone number

EPR13091

Isotype

IgG

Carrier free

Yes

Reacts with

Mouse, Rat, Human

Applications

IP, IHC-P, WB, IHC-Fr

applications

Immunogen

The exact immunogen used to generate this antibody is proprietary information.

Reactivity data

{ "title": "Reactivity Data", "filters": { "stats": ["", "Species", "Dilution Info", "Notes"], "tabs": { "all-applications": {"fullname" : "All Applications", "shortname": "All Applications"}, "IP" : {"fullname" : "Immunoprecipitation", "shortname":"IP"}, "WB" : {"fullname" : "Western blot", "shortname":"WB"}, "IHCFr" : {"fullname" : "Immunohistochemistry (Frozen sections)", "shortname":"IHC-Fr"}, "IHCP" : {"fullname" : "Immunohistochemistry (Formalin/PFA-fixed paraffin-embedded sections)", "shortname":"IHC-P"} }, "product-promise": { "all": "all", "testedAndGuaranteed": "tested", "guaranteed": "expected", "predicted": "predicted", "notRecommended": "not-recommended" } }, "values": { "Human": { "IP-species-checked": "testedAndGuaranteed", "IP-species-dilution-info": "", "IP-species-notes": "<p></p>", "WB-species-checked": "testedAndGuaranteed", "WB-species-dilution-info": "", "WB-species-notes": "<p></p>", "IHCFr-species-checked": "guaranteed", "IHCFr-species-dilution-info": "", "IHCFr-species-notes": "", "IHCP-species-checked": "testedAndGuaranteed", "IHCP-species-dilution-info": "", "IHCP-species-notes": "<p></p>" }, "Mouse": { "IP-species-checked": "guaranteed", "IP-species-dilution-info": "", "IP-species-notes": "", "WB-species-checked": "testedAndGuaranteed", "WB-species-dilution-info": "", "WB-species-notes": "<p></p>", "IHCFr-species-checked": "testedAndGuaranteed", "IHCFr-species-dilution-info": "", "IHCFr-species-notes": "<p></p>", "IHCP-species-checked": "testedAndGuaranteed", "IHCP-species-dilution-info": "", "IHCP-species-notes": "<p></p>" }, "Rat": { "IP-species-checked": "guaranteed", "IP-species-dilution-info": "", "IP-species-notes": "", "WB-species-checked": "testedAndGuaranteed", "WB-species-dilution-info": "", "WB-species-notes": "<p></p>", "IHCFr-species-checked": "testedAndGuaranteed", "IHCFr-species-dilution-info": "", "IHCFr-species-notes": "<p></p>", "IHCP-species-checked": "testedAndGuaranteed", "IHCP-species-dilution-info": "", "IHCP-species-notes": "<p></p>" } } }

Product details

ab243695 is the carrier-free version of ab181086.

Patented technology
Our RabMAb® technology is a patented hybridoma-based technology for making rabbit monoclonal antibodies. For details on our patents, please refer to RabMAb® patents.

What are the advantages of a recombinant monoclonal antibody?
This product is a recombinant monoclonal antibody, which offers several advantages including:

  • - High batch-to-batch consistency and reproducibility
  • - Improved sensitivity and specificity
  • - Long-term security of supply
  • - Animal-free batch production

For more information, read more on recombinant antibodies.

Conjugation ready
Our carrier-free antibodies are typically supplied in a PBS-only formulation, purified and free of BSA, sodium azide and glycerol. This conjugation-ready format is designed for use with fluorochromes, metal isotopes, oligonucleotides, and enzymes, which makes them ideal for antibody labelling, functional and cell-based assays, flow-based assays (e.g. mass cytometry) and Multiplex Imaging applications.

Use our conjugation kits for antibody conjugates that are ready-to-use in as little as 20 minutes with 1 minute hands-on-time and 100% antibody recovery: available for fluorescent dyes, HRP, biotin and gold.

Compatibility
This product is compatible with the Maxpar® Antibody Labeling Kit from Fluidigm, without the need for antibody preparation. Maxpar® is a trademark of Fluidigm Canada Inc.

Properties and storage information

Form
Liquid
Purification technique
Affinity purification Protein A
Storage buffer
pH: 7.2 - 7.4 Constituents: PBS
Shipped at conditions
Blue Ice
Appropriate short-term storage conditions
+4°C
Appropriate long-term storage conditions
+4°C
Storage information
Do Not Freeze

Supplementary information

This supplementary information is collated from multiple sources and compiled automatically.

Parvalbumin sometimes referred to as PV is a calcium-binding protein approximately 12 kDa in size. It is recognized for its roles in muscle and neuronal tissues. Within the nervous system parvalbumin is prominently expressed in fast-spiking GABAergic interneurons while in muscle tissues it is present in fast-twitch muscle fibers. Other popular descriptors include anti PV and parvalbumins. These proteins play important roles in the regulation of cellular calcium levels.
Biological function summary

Parvalbumin helps modulate calcium ion concentration which is key in muscle relaxation and neurotransmission. It acts by buffering calcium ions and is not part of a larger protein complex. By impacting calcium transients parvalbumin affects processes like synaptic plasticity and the rapid contractions of muscle fibers. This is especially significant in the brain where rapid neuronal firing is needed and in muscles where quick recovery is essential.

Pathways

Parvalbumin is intimately linked with calcium signaling pathways as well as the regulation of muscle contraction. It ensures proper calcium ion homeostasis thereby aiding muscle relaxation after contraction. In the nervous system calbindin proteins parallel some of parvalbumin's functions participating in calcium ion buffering and modulation of neuron excitability. The balanced action of these proteins helps maintain cellular functions in both neurons and muscles.

Insufficient parvalbumin expression may link to epilepsy and schizophrenia. Deficits in this protein could interfere with normal neurotransmission and muscle relaxation cycles. Parvalbumin deficiency influences neurotransmitter release affecting synaptic transmission which may exacerbate symptoms in these conditions. In disease mechanisms proteins such as calbindin may indirectly relate with parvalbumin showing similar patterns of dysregulation and compensating for its absence in calcium handling.

Product protocols

For this product, it's our understanding that no specific protocols are required. You can visit:

Target data

In muscle, parvalbumin is thought to be involved in relaxation after contraction. It binds two calcium ions.
See full target information PVALB

Publications (2)

Recent publications for all applications. Explore the full list and refine your search

Journal of molecular medicine (Berlin, Germany) 102:1285-1296 PubMed39210159

2024

TRAP1 modulates mitochondrial biogenesis via PGC-1α/TFAM signalling pathway in colorectal cancer cells.

Applications

Unspecified application

Species

Unspecified reactive species

Giuseppina Bruno,Michele Pietrafesa,Fabiana Crispo,Annamaria Piscazzi,Francesca Maddalena,Guido Giordano,Vincenza Conteduca,Marianna Garofoli,Almudena Porras,Franca Esposito,Matteo Landriscina

Anesthesiology 121:79-88 PubMed24589481

2014

Disruption of hippocampal neuregulin 1-ErbB4 signaling contributes to the hippocampus-dependent cognitive impairment induced by isoflurane in aged mice.

Applications

Unspecified application

Species

Unspecified reactive species

Xiao-Min Li,Fan Su,Mu-Huo Ji,Guang-Fen Zhang,Li-Li Qiu,Min Jia,Jun Gao,Zhongcong Xie,Jian-Jun Yang
View all publications

Product promise

We are committed to supporting your work with high-quality reagents, and we're here for you every step of the way. In the unlikely event that one of our products does not perform as expected, you're protected by our Product Promise.
For full details, please see our Terms & Conditions

Please note: All products are 'FOR RESEARCH USE ONLY. NOT FOR USE IN DIAGNOSTIC OR THERAPEUTIC PROCEDURES'.

For licensing inquiries, please contact partnerships@abcam.com