JavaScript is disabled in your browser. Please enable JavaScript to view this website.
AB281158

Anti-Parvalbumin antibody [EPR23455-24] - BSA and Azide free (Capture)

Be the first to review this product! Submit a review

|

(0 Publication)

Rabbit Recombinant Monoclonal Parvalbumin antibody. Carrier free. Suitable for sELISA, IHC-P, WB, ICC/IF, Flow Cyt (Intra) and reacts with Human, Mouse, Rat samples.

View Alternative Names

Parvalbumin alpha, PVALB

12 Images
Flow Cytometry (Intracellular) - Anti-Parvalbumin antibody [EPR23455-24] - BSA and Azide free (Capture) (AB281158)
  • Flow Cyt (Intra)

Supplier Data

Flow Cytometry (Intracellular) - Anti-Parvalbumin antibody [EPR23455-24] - BSA and Azide free (Capture) (AB281158)

Flow Cytometry analysis of Mouse primary neuron with ab281158 at 1/100 dilution (right panel). Cells were fixed with 4% paraformaldehyde and permeabilised with 90% methanol. A Goat Anti-Rabbit IgG (Alexa Fluor® 488, ab150081) (1/5000 dilution) was used as the secondary antibody. Rabbit monoclonal IgG (ab172730) (left panel) was used as the isotype control.

Immunohistochemistry (Formalin/PFA-fixed paraffin-embedded sections) - Anti-Parvalbumin antibody [EPR23455-24] - BSA and Azide free (Capture) (AB281158)
  • IHC-P

Supplier Data

Immunohistochemistry (Formalin/PFA-fixed paraffin-embedded sections) - Anti-Parvalbumin antibody [EPR23455-24] - BSA and Azide free (Capture) (AB281158)

Immunohistochemical analysis of paraffin-embedded Mouse cerebellum tissue labelling parvalbumin with ab281158 at 1/1000 (0.996 ug/ml) dilution, followed by a ready to use LeicaDS9800 (Bond™ Polymer Refine Detection).

Positive staining on mouse cerebellum.
The section was incubated with ab281158 for 30 mins at room temperature.
The immunostaining was performed on a Leica Biosystems BOND RX instrument.

Counterstained with Hematoxylin.

Secondary antibody only control : Secondary antibody is a ready to use LeicaDS9800 (Bond™ Polymer Refine Detection).

Heat mediated antigen retrieval was performed with Citrate buffer (pH 6.0, Epitope Retrieval Solution 1) for 20 mins.

Immunocytochemistry/ Immunofluorescence - Anti-Parvalbumin antibody [EPR23455-24] - BSA and Azide free (Capture) (AB281158)
  • ICC/IF

Supplier Data

Immunocytochemistry/ Immunofluorescence - Anti-Parvalbumin antibody [EPR23455-24] - BSA and Azide free (Capture) (AB281158)

Immunofluorescent analysis of 4% Paraformaldehyde-fixed, 0.1% TritonX-100 permeabilized mouse primary neuron labelling Parvalbumin with ab281158 at 1/500 (1.992 μg/ml) dilution (Green). Confocal image showing cytoplasmic and nuclear staining in a subset of mouse primary neuron.

Nuclear DNA was labelled with DAPI (shown in blue). Secondary used was ab150081 Goat Anti-Rabbit IgG H&L (Alexa Fluor® 488) preadsorbed at 1/1000 (2 μg/ml). ab11267 Anti-MAP2 mouse monoclonal antibody was used as a counterstain at 1/500 (4μg/ml) dilution, with ab150120 Goat Anti-Mouse IgG H&L (Alexa Fluor® 594) used as the counterstain secondary antibody at 1/1000 (2μg/ml) (Magenta).

Confocal scanning Z step was set as 0.3 μm followed by image processing with maximum Z projection. Image was taken with a confocal microscope(Leica-Microsystems, TCS SP8).

Flow Cytometry (Intracellular) - Anti-Parvalbumin antibody [EPR23455-24] - BSA and Azide free (Capture) (AB281158)
  • Flow Cyt (Intra)

Supplier Data

Flow Cytometry (Intracellular) - Anti-Parvalbumin antibody [EPR23455-24] - BSA and Azide free (Capture) (AB281158)

Flow Cytometry analysis of Rat primary neuron with ab281158 at 1/100 dilution (right panel). Cells were fixed with 4% paraformaldehyde and permeabilised with 90% methanol. A Goat Anti-Rabbit IgG (Alexa Fluor® 488, ab150081) (1/5000 dilution) was used as the secondary antibody. Rabbit monoclonal IgG (ab172730) (left panel) was used as the isotype control.

Immunohistochemistry (Formalin/PFA-fixed paraffin-embedded sections) - Anti-Parvalbumin antibody [EPR23455-24] - BSA and Azide free (Capture) (AB281158)
  • IHC-P

Supplier Data

Immunohistochemistry (Formalin/PFA-fixed paraffin-embedded sections) - Anti-Parvalbumin antibody [EPR23455-24] - BSA and Azide free (Capture) (AB281158)

Immunohistochemical analysis of paraffin-embedded rat skeletal muscle labelling parvalbumin with ab281158 at 1/1000 (0.996 ug/ml) dilution, followed by a ready to use LeicaDS9800 (Bond™ Polymer Refine Detection).

Positive staining on rat skeletal muscle.
The section was incubated with ab281158 for 30 mins at room temperature.
The immunostaining was performed on a Leica Biosystems BOND RX instrument.

Counterstained with Hematoxylin.

Secondary antibody only control : Secondary antibody is a ready to use LeicaDS9800 (Bond™ Polymer Refine Detection).

Heat mediated antigen retrieval was performed with Tris-EDTA buffer (pH 9.0, Epitope Retrieval Solution2) for 20 mins.

Immunohistochemistry (Formalin/PFA-fixed paraffin-embedded sections) - Anti-Parvalbumin antibody [EPR23455-24] - BSA and Azide free (Capture) (AB281158)
  • IHC-P

Supplier Data

Immunohistochemistry (Formalin/PFA-fixed paraffin-embedded sections) - Anti-Parvalbumin antibody [EPR23455-24] - BSA and Azide free (Capture) (AB281158)

Immunohistochemical analysis of paraffin-embedded Mouse skeletal muscle labelling parvalbumin with ab281158 at 1/1000 (0.996 ug/ml) dilution, followed by a ready to use LeicaDS9800 (Bond™ Polymer Refine Detection).

Positive staining on mouse skeletal muscle.
The section was incubated with ab281158 for 30 mins at room temperature.
The immunostaining was performed on a Leica Biosystems BOND RX instrument.

Counterstained with Hematoxylin.

Secondary antibody only control : Secondary antibody is a ready to use LeicaDS9800 (Bond™ Polymer Refine Detection).

Heat mediated antigen retrieval was performed with Citrate buffer (pH 6.0, Epitope Retrieval Solution 1) for 20 mins.

Immunohistochemistry (Formalin/PFA-fixed paraffin-embedded sections) - Anti-Parvalbumin antibody [EPR23455-24] - BSA and Azide free (Capture) (AB281158)
  • IHC-P

Supplier Data

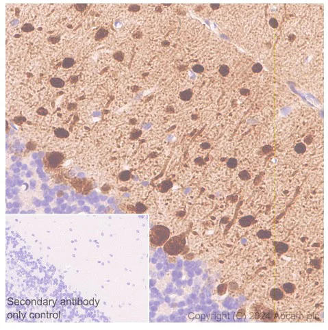
Immunohistochemistry (Formalin/PFA-fixed paraffin-embedded sections) - Anti-Parvalbumin antibody [EPR23455-24] - BSA and Azide free (Capture) (AB281158)

Immunohistochemical analysis of paraffin-embedded rat cerebellum labelling parvalbumin with ab281158 at 1/1000 (0.996 ug/ml) dilution, followed by a ready to use LeicaDS9800 (Bond™ Polymer Refine Detection).

Positive staining on rat cerebellum.
The section was incubated with ab281158 for 30 mins at room temperature.
The immunostaining was performed on a Leica Biosystems BOND RX instrument.

Counterstained with Hematoxylin.

Secondary antibody only control : Secondary antibody is a ready to use LeicaDS9800 (Bond™ Polymer Refine Detection).

Heat mediated antigen retrieval was performed with Tris-EDTA buffer (pH 9.0, Epitope Retrieval Solution2) for 20 mins.

Immunohistochemistry (Formalin/PFA-fixed paraffin-embedded sections) - Anti-Parvalbumin antibody [EPR23455-24] - BSA and Azide free (Capture) (AB281158)
  • IHC-P

Supplier Data

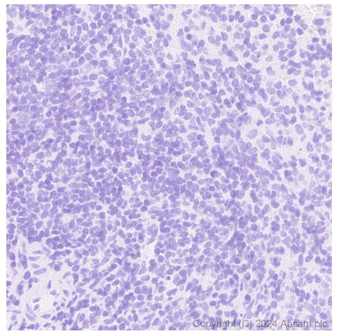
Immunohistochemistry (Formalin/PFA-fixed paraffin-embedded sections) - Anti-Parvalbumin antibody [EPR23455-24] - BSA and Azide free (Capture) (AB281158)

Immunohistochemical analysis of paraffin-embedded mouse spleen with ab281158 at 1/1000 (0.996 ug/ml) dilution, followed by a ready to use LeicaDS9800 (Bond™ Polymer Refine Detection).

Negative staining on mouse spleen.
The section was incubated with ab281158 for 30 mins at room temperature.
The immunostaining was performed on a Leica Biosystems BOND RX instrument.

Counterstained with Hematoxylin.

Heat mediated antigen retrieval was performed with Citrate buffer (pH 6.0, Epitope Retrieval Solution 1) for 20 mins

Immunohistochemistry (Formalin/PFA-fixed paraffin-embedded sections) - Anti-Parvalbumin antibody [EPR23455-24] - BSA and Azide free (Capture) (AB281158)
  • IHC-P

Supplier Data

Immunohistochemistry (Formalin/PFA-fixed paraffin-embedded sections) - Anti-Parvalbumin antibody [EPR23455-24] - BSA and Azide free (Capture) (AB281158)

Immunohistochemical analysis of paraffin-embedded rat spleen with ab281158 at 1/1000 (0.996 ug/ml) dilution, followed by a ready to use LeicaDS9800 (Bond™ Polymer Refine Detection).

Negative staining on rat spleen.
The section was incubated with ab281158 for 30 mins at room temperature.
The immunostaining was performed on a Leica Biosystems BOND RX instrument.

Counterstained with Hematoxylin.

Heat mediated antigen retrieval was performed with Citrate buffer (pH 6.0, Epitope Retrieval Solution 1) for 20 mins

Western blot - Anti-Parvalbumin antibody [EPR23455-24] - BSA and Azide free (Capture) (AB281158)
  • WB

Supplier Data

Western blot - Anti-Parvalbumin antibody [EPR23455-24] - BSA and Azide free (Capture) (AB281158)

Blocking and dilution buffer and concentration : 5% NFDM/TBST.

Negative control : heart and spleen.

In Western blot, anti-GAPDH antibody (ab181602) loading control staining at 1/200000 dilution.

All lanes:

Western blot - Anti-Parvalbumin antibody [EPR23455-24] - BSA and Azide free (Capture) (ab281158) at 1/1000 dilution

Lane 1:

Mouse skeletal muscle tissue lysate at 20 µg

Lane 2:

Mouse heart tissue lysate at 20 µg

Lane 3:

Mouse spleen tissue lysate at 20 µg

Secondary

All lanes:

Western blot - Goat Anti-Rabbit IgG H&L (HRP) (<a href='/en-us/products/secondary-antibodies/goat-rabbit-igg-h-l-hrp-ab97051'>ab97051</a>) at 1/100000 dilution

Predicted band size: 12 kDa

Observed band size: 12 kDa

false

Western blot - Anti-Parvalbumin antibody [EPR23455-24] - BSA and Azide free (Capture) (AB281158)
  • WB

Supplier Data

Western blot - Anti-Parvalbumin antibody [EPR23455-24] - BSA and Azide free (Capture) (AB281158)

Blocking and dilution buffer and concentration : 5% NFDM/TBST.

Negative control : heart and spleen.

In Western blot, anti-GAPDH antibody (ab181602) loading control staining at 1/200000 dilution.

All lanes:

Western blot - Anti-Parvalbumin antibody [EPR23455-24] - BSA and Azide free (Capture) (ab281158) at 1/1000 dilution

Lane 1:

Rat skeletal muscle tissue lysate at 20 µg

Lane 2:

Rat heart tissue lysate at 20 µg

Lane 3:

Rat spleen tissue lysate at 20 µg

Secondary

All lanes:

Western blot - Goat Anti-Rabbit IgG H&L (HRP) (<a href='/en-us/products/secondary-antibodies/goat-rabbit-igg-h-l-hrp-ab97051'>ab97051</a>) at 1/100000 dilution

Predicted band size: 12 kDa

Observed band size: 12 kDa

false

Sandwich ELISA - Anti-Parvalbumin antibody [EPR23455-24] - BSA and Azide free (Capture) (AB281158)
  • sELISA

Supplier Data

Sandwich ELISA - Anti-Parvalbumin antibody [EPR23455-24] - BSA and Azide free (Capture) (AB281158)

Example of Human Parvalbumin standard curve. Background-subtracted data values (mean +/- SD) are graphed.

Key facts

Host species

Rabbit

Clonality

Monoclonal

Clone number

EPR23455-24

Isotype

IgG

Carrier free

Yes

Reacts with

Human, Mouse, Rat

Applications

WB, ICC/IF, Flow Cyt (Intra), sELISA, IHC-P

applications

Immunogen

The exact immunogen used to generate this antibody is proprietary information.

Reactivity data

{ "title": "Reactivity Data", "filters": { "stats": ["", "Species", "Dilution Info", "Notes"], "tabs": { "all-applications": {"fullname" : "All Applications", "shortname": "All Applications"}, "sELISA" : {"fullname" : "Sandwich ELISA", "shortname":"sELISA"}, "IHCP" : {"fullname" : "Immunohistochemistry (Formalin/PFA-fixed paraffin-embedded sections)", "shortname":"IHC-P"}, "WB" : {"fullname" : "Western blot", "shortname":"WB"}, "ICCIF" : {"fullname" : "Immunocytochemistry/ Immunofluorescence", "shortname":"ICC/IF"}, "FlowCytIntra" : {"fullname" : "Flow Cytometry (Intracellular)", "shortname":"Flow Cyt (Intra)"} }, "product-promise": { "all": "all", "testedAndGuaranteed": "tested", "guaranteed": "expected", "predicted": "predicted", "notRecommended": "not-recommended" } }, "values": { "Human": { "sELISA-species-checked": "guaranteed", "sELISA-species-dilution-info": "", "sELISA-species-notes": "<p></p>", "IHCP-species-checked": "notRecommended", "IHCP-species-dilution-info": "", "IHCP-species-notes": "<p></p>", "WB-species-checked": "notRecommended", "WB-species-dilution-info": "", "WB-species-notes": "<p></p>", "ICCIF-species-checked": "predicted", "ICCIF-species-dilution-info": "", "ICCIF-species-notes": "", "FlowCytIntra-species-checked": "predicted", "FlowCytIntra-species-dilution-info": "", "FlowCytIntra-species-notes": "" }, "Mouse": { "sELISA-species-checked": "predicted", "sELISA-species-dilution-info": "", "sELISA-species-notes": "", "IHCP-species-checked": "testedAndGuaranteed", "IHCP-species-dilution-info": "1/1000", "IHCP-species-notes": "<p></p>", "WB-species-checked": "testedAndGuaranteed", "WB-species-dilution-info": "1/1000", "WB-species-notes": "<p></p>", "ICCIF-species-checked": "testedAndGuaranteed", "ICCIF-species-dilution-info": "1/500", "ICCIF-species-notes": "<p></p>", "FlowCytIntra-species-checked": "testedAndGuaranteed", "FlowCytIntra-species-dilution-info": "1/100", "FlowCytIntra-species-notes": "<p></p>" }, "Rat": { "sELISA-species-checked": "predicted", "sELISA-species-dilution-info": "", "sELISA-species-notes": "", "IHCP-species-checked": "testedAndGuaranteed", "IHCP-species-dilution-info": "1/1000", "IHCP-species-notes": "<p></p>", "WB-species-checked": "testedAndGuaranteed", "WB-species-dilution-info": "1/1000", "WB-species-notes": "<p></p>", "ICCIF-species-checked": "guaranteed", "ICCIF-species-dilution-info": "", "ICCIF-species-notes": "", "FlowCytIntra-species-checked": "testedAndGuaranteed", "FlowCytIntra-species-dilution-info": "1/100", "FlowCytIntra-species-notes": "<p></p>" } } }

Product details

ab281158 is a BSA and Azide Free antibody supplied in an unconjugated format and it is suitable for sandwich ELISAs to quantify Human Parvalbumin (PVALB). The recommended pair for sandwich ELISA is:
Capture: ab281158, Human Parvalbumin (PVALB) Capture Antibody (unconjugated)
Detector: ab281008, Human Parvalbumin (PVALB) Detector Antibody (unconjugated)
The reference range value is 78 - 5000 pg/mL.

Patented technology
Our RabMAb® technology is a patented hybridoma-based technology for making rabbit monoclonal antibodies. For details on our patents, please refer to RabMAb® patents.

What are the advantages of a recombinant monoclonal antibody?
This product is a recombinant monoclonal antibody, which offers several advantages including:

  • - High batch-to-batch consistency and reproducibility
  • - Improved sensitivity and specificity
  • - Long-term security of supply
  • - Animal-free batch production

For more information, read more on recombinant antibodies.

Conjugation ready
Our carrier-free antibodies are typically supplied in a PBS-only formulation, purified and free of BSA, sodium azide and glycerol. This conjugation-ready format is designed for use with fluorochromes, metal isotopes, oligonucleotides, and enzymes, which makes them ideal for antibody labelling, functional and cell-based assays, flow-based assays (e.g. mass cytometry) and Multiplex Imaging applications.

Use our conjugation kits for antibody conjugates that are ready-to-use in as little as 20 minutes with 1 minute hands-on-time and 100% antibody recovery: available for fluorescent dyes, HRP, biotin and gold.

Sandwich ELISA
The recommended antibody orientation is based on internal optimization for ELISA-based assays. Antibody orientation is assay dependent and needs to be optimized for each assay type. Please note that the range provided for this antibody is only an estimation based on the performance of the product using the recommended antibody pair. Performance of the antibody pair will depend on the specific characteristics of your assay. We guarantee the product works in sandwich ELISA, but we do not guarantee the sensitivity or dynamic range of the antibody in your assay.

Properties and storage information

Form
Liquid
Purification technique
Affinity purification Protein A
Storage buffer
Constituents: 100% PBS
Shipped at conditions
Blue Ice
Appropriate short-term storage conditions
+4°C
Appropriate long-term storage conditions
+4°C

Supplementary information

This supplementary information is collated from multiple sources and compiled automatically.

Parvalbumin sometimes referred to as PV is a calcium-binding protein approximately 12 kDa in size. It is recognized for its roles in muscle and neuronal tissues. Within the nervous system parvalbumin is prominently expressed in fast-spiking GABAergic interneurons while in muscle tissues it is present in fast-twitch muscle fibers. Other popular descriptors include anti PV and parvalbumins. These proteins play important roles in the regulation of cellular calcium levels.
Biological function summary

Parvalbumin helps modulate calcium ion concentration which is key in muscle relaxation and neurotransmission. It acts by buffering calcium ions and is not part of a larger protein complex. By impacting calcium transients parvalbumin affects processes like synaptic plasticity and the rapid contractions of muscle fibers. This is especially significant in the brain where rapid neuronal firing is needed and in muscles where quick recovery is essential.

Pathways

Parvalbumin is intimately linked with calcium signaling pathways as well as the regulation of muscle contraction. It ensures proper calcium ion homeostasis thereby aiding muscle relaxation after contraction. In the nervous system calbindin proteins parallel some of parvalbumin's functions participating in calcium ion buffering and modulation of neuron excitability. The balanced action of these proteins helps maintain cellular functions in both neurons and muscles.

Insufficient parvalbumin expression may link to epilepsy and schizophrenia. Deficits in this protein could interfere with normal neurotransmission and muscle relaxation cycles. Parvalbumin deficiency influences neurotransmitter release affecting synaptic transmission which may exacerbate symptoms in these conditions. In disease mechanisms proteins such as calbindin may indirectly relate with parvalbumin showing similar patterns of dysregulation and compensating for its absence in calcium handling.

Product protocols

For this product, it's our understanding that no specific protocols are required. You can visit:

Target data

In muscle, parvalbumin is thought to be involved in relaxation after contraction. It binds two calcium ions.
See full target information PVALB

Product promise

We are committed to supporting your work with high-quality reagents, and we're here for you every step of the way. In the unlikely event that one of our products does not perform as expected, you're protected by our Product Promise.
For full details, please see our Terms & Conditions

Please note: All products are 'FOR RESEARCH USE ONLY. NOT FOR USE IN DIAGNOSTIC OR THERAPEUTIC PROCEDURES'.

For licensing inquiries, please contact partnerships@abcam.com