JavaScript is disabled in your browser. Please enable JavaScript to view this website.
AB53715

Anti-Patched / PTCH1 antibody

4

(7 Reviews)

|

(102 Publications)

Anti-Patched / PTCH1 antibody (ab53715) is a rabbit polyclonal antibody detecting Patched / PTCH1 in Western Blot, IHC-P. Suitable for Human, Mouse.

- Over 80 publications
- Trusted since 2007

View Alternative Names

PTCH, PTCH1, Protein patched homolog 1, PTC, PTC1

2 Images
Western blot - Anti-Patched / PTCH1 antibody (AB53715)
  • WB

Unknown

Western blot - Anti-Patched / PTCH1 antibody (AB53715)

All lanes:

Western blot - Anti-Patched / PTCH1 antibody (ab53715) at 1/500 dilution

Lane 1:

Extracts from mouse muscle cells, minus immunising peptide

Lane 2:

Extracts from mouse muscle cells, plus immunising peptide

Predicted band size: 160 kDa

false

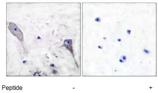
Immunohistochemistry (Formalin/PFA-fixed paraffin-embedded sections) - Anti-Patched / PTCH1 antibody (AB53715)
  • IHC-P

Unknown

Immunohistochemistry (Formalin/PFA-fixed paraffin-embedded sections) - Anti-Patched / PTCH1 antibody (AB53715)

ab53715, at a 1/50 dilution, staining Patched / PTCH in paraffin embedded human brain tissue by Immunohistochemsitry in the absence (left image) or presence (right image) of the immunising peptide.

Key facts

Host species

Rabbit

Clonality

Polyclonal

Isotype

IgG

Carrier free

No

Reacts with

Mouse, Human

Applications

WB, IHC-P

applications

Immunogen

Synthetic Peptide within Human PTCH1. The exact immunogen used to generate this antibody is proprietary information.

Q13635

Specificity

ab53715 detects endogenous levels of total Patched/PTCH1 protein. In WB, in addition to the expected band at 150 kDa an extra band at 75 kDa is often detected. Both bands can be blocked with the immunogen peptide. In IHC, cytoplasmic and membrane staining is frequently observed. These results are similar to what we see with other antibodies against this target.

Reactivity data

{ "title": "Reactivity Data", "filters": { "stats": ["", "Species", "Dilution Info", "Notes"], "tabs": { "all-applications": {"fullname" : "All Applications", "shortname": "All Applications"}, "WB" : {"fullname" : "Western blot", "shortname":"WB"}, "IHCP" : {"fullname" : "Immunohistochemistry (Formalin/PFA-fixed paraffin-embedded sections)", "shortname":"IHC-P"} }, "product-promise": { "all": "all", "testedAndGuaranteed": "tested", "guaranteed": "expected", "predicted": "predicted", "notRecommended": "not-recommended" } }, "values": { "Human": { "WB-species-checked": "guaranteed", "WB-species-dilution-info": "", "WB-species-notes": "", "IHCP-species-checked": "testedAndGuaranteed", "IHCP-species-dilution-info": "", "IHCP-species-notes": "<p></p>" }, "Mouse": { "WB-species-checked": "testedAndGuaranteed", "WB-species-dilution-info": "1/500 - 1/1000", "WB-species-notes": "<p></p>", "IHCP-species-checked": "guaranteed", "IHCP-species-dilution-info": "", "IHCP-species-notes": "" } } }

Product details

What is this antibody validated in?
Anti-Patched / PTCH1 antibody (ab53715) is a rabbit polyclonal antibody and is validated for use in Western Blot (WB), Immunohistochemistry (IHC-P) in Human, Mouse samples.

What is the molecular weight of Patched / PTCH1?
Anti-Patched / PTCH1 (ab53715) specifically detects a band for Patched / PTCH1 (UniProt: Q13635) at a molecular weight of 161kDa.

Trusted by the scientific community
Anti-Patched / PTCH1 (ab53715) was first used in a scientific publication in 2007 and has been cited over 80 times in peer-reviewed journals.

Reviewed by scientists
Anti-Patched / PTCH1 (ab53715) has over 5 independent reviews from customers.

Properties and storage information

Form
Liquid
Purification technique
Affinity purification Immunogen
Storage buffer
pH: 7.4 Preservative: 0.02% Sodium azide Constituents: PBS, 50% Glycerol (glycerin, glycerine), 0.87% Sodium chloride
Shipped at conditions
Blue Ice
Appropriate short-term storage conditions
+4°C
Appropriate long-term storage conditions
-20°C
Storage information
Stable for 12 months at -20°C

Supplementary information

This supplementary information is collated from multiple sources and compiled automatically.

Patched / PTCH1 also known as Patched protein or anti P.TCH1 is a transmembrane receptor with a molecular mass of approximately 144 kDa. It is expressed widely across various tissues including skin lungs and the nervous system. PTCH1 plays a mechanical role as a receptor in the Hedgehog signaling pathway by binding to its ligand Sonic Hedgehog (SHH). In the absence of SHH PTCH1 inhibits the activity of another protein called Smoothened (SMO).
Biological function summary

The function of Patched/PTCH1 extends beyond mere receptor activity. It is a critical part of the Hedgehog signaling pathway complex acting to regulate the pathway's activation state. By controlling SMO PTCH1 indirectly influences gene expression related to cell growth differentiation and tissue patterning. The importance of PTCH1 in these processes highlights its role in fundamental developmental mechanisms.

Pathways

Patched/PTCH1 is a central player in the Hedgehog signaling pathway and also impacts the Wnt signaling pathway. These pathways are critical for proper embryonic development and tissue homeostasis. In the Hedgehog pathway PTCH1 maintains control over SMO to modulate cellular responses. PTCH1 interactions with proteins such as Gli transcription factors help regulate the expression of target genes involved in cell fate decisions.

PTCH1 mutations or malfunctions are associated with basal cell carcinoma and Gorlin syndrome. The disrupted Hedgehog signaling due to PTCH1 anomalies leads to uncontrolled cell proliferation contributing to cancer development. PTCH1-related disorders often feature aberrant interaction with Smoothened and GLI proteins further illustrating its significance in disease pathways.

Product protocols

For this product, it's our understanding that no specific protocols are required. You can visit:

Target data

Acts as a receptor for sonic hedgehog (SHH), indian hedgehog (IHH) and desert hedgehog (DHH). Associates with the smoothened protein (SMO) to transduce the hedgehog's proteins signal. Seems to have a tumor suppressor function, as inactivation of this protein is probably a necessary, if not sufficient step for tumorigenesis.
See full target information PTCH1

Publications (102)

Recent publications for all applications. Explore the full list and refine your search

BMC cancer 25:1512 PubMed41053731

2025

NFKBIE as a prognostic biomarker and therapeutic target for GBM: role in Hedgehog signaling activation.

Applications

Unspecified application

Species

Unspecified reactive species

Feng Mo,Yang Li,Ce Dong,Lijun Yang,Xiaoli Ma,Baogen Pan,Zhenzeng Fan

BMC biology 23:268 PubMed40859304

2025

Cranial base synostosis in mice caused by upregulation of Wnt following partial inhibition of Shh.

Applications

Unspecified application

Species

Unspecified reactive species

Jiangping Chen,Chengyan Ren,Chuanqing Mao,Yongzhen Lai,Meng Lu,Yuanjing Jiang,Weihui Chen

Genes & genomics 47:961-972 PubMed40794264

2025

NCOA4 inhibits glioma progression by suppressing the Sonic Hedgehog pathway and its overexpression indicates a better glioma prognosis.

Applications

Unspecified application

Species

Unspecified reactive species

Kaining Liu,Hu Wang,Tian Qiu,Guangxiu Wang,Anling Zhang,Zhifan Jia,Xiaoguang Tong

Journal of bone and mineral research : the official journal of the American Society for Bone and Mineral Research 39:1162-1173 PubMed38836497

2024

The role of GDF5 in regulating enthesopathy development in the Hyp mouse model of XLH.

Applications

Unspecified application

Species

Unspecified reactive species

Melissa Sorsby,Shaza Almardini,Ahmad Alayyat,Ashleigh Hughes,Shreya Venkat,Mansoor Rahman,Jiana Baker,Rakshya Rana,Vicki Rosen,Eva S Liu

Folia neuropathologica 62:362-375 PubMed39963031

2024

Classification of gliomas based on genome-wide DNA methylation profiles and immunohistochemical analysis: a short study.

Applications

Unspecified application

Species

Unspecified reactive species

Olga Taryma-Leśniak,Kamil Buczkowski,Tomasz Klepinowski,Maciej Jankowski,Szymon Retfiński,Bartłomiej Sagan,Leszek Sagan,Ewa Szutowicz,Kacper Winiarski,Marta Masztalewicz,Przemysław Nowacki,Marta Sobalska-Kwapis,Dominik Strapagiel,Wojciech Kloc,Beata Lipska-Ziętkiewicz,Ewa Iżycka-Świeszewska,Tomasz K Wojdacz

Journal of neurochemistry 168:1877-1894 PubMed38148633

2023

MMP-2-mediated Scube2 degradation promotes blood-brain barrier disruption by blocking the interaction between astrocytes and endothelial cells via inhibiting Sonic hedgehog pathway during early cerebral ischemia.

Applications

Unspecified application

Species

Unspecified reactive species

Tengrui Shi,Shiqin Yue,Cong Xie,Xiaofeng Li,Dexin Yang,Linghui Hu,Yunxue Zhong,Yuan Zhang,Wenlan Liu

Arteriosclerosis, thrombosis, and vascular biology 44:e1-e18 PubMed38031839

2023

Thrombosis in the Coronary Microvasculature Impairs Cardiac Relaxation and Induces Diastolic Dysfunction.

Applications

Unspecified application

Species

Unspecified reactive species

Paul Rouault,Sarah Guimbal,Lauriane Cornuault,Célia Bourguignon,Ninon Foussard,Philippe Alzieu,Frank Choveau,David Benoist,Candice Chapouly,Alain-Pierre Gadeau,Thierry Couffinhal,Marie-Ange Renault

JCI insight 8: PubMed37490334

2023

Impaired 1,25-dihydroxyvitamin D3 action underlies enthesopathy development in the Hyp mouse model of X-linked hypophosphatemia.

Applications

Unspecified application

Species

Unspecified reactive species

Rakshya Rana,Jiana T Baker,Melissa Sorsby,Supriya Jagga,Shreya Venkat,Shaza Almardini,Eva S Liu

International journal of molecular sciences 24: PubMed37445982

2023

Accelerated Bone Loss in Transgenic Mice Expressing Constitutively Active TGF-β Receptor Type I.

Applications

Unspecified application

Species

Unspecified reactive species

Parichart Toejing,Nithidol Sakunrangsit,Pinyada Pho-On,Chinnatam Phetkong,Asada Leelahavanichkul,Somyoth Sridurongrit,Matthew B Greenblatt,Sutada Lotinun

Molecular biology reports 50:3317-3327 PubMed36725745

2023

Sirt1 regulates microglial activation and inflammation following oxygen-glucose deprivation/reoxygenation injury by targeting the Shh/Gli-1 signaling pathway.

Applications

Unspecified application

Species

Unspecified reactive species

Hongyan Liao,Jiagui Huang,Jie Liu,Huimin Zhu,Yue Chen,Xuemei Li,Jun Wen,Qin Yang
View all publications

Product promise

We are committed to supporting your work with high-quality reagents, and we're here for you every step of the way. In the unlikely event that one of our products does not perform as expected, you're protected by our Product Promise.
For full details, please see our Terms & Conditions

Please note: All products are 'FOR RESEARCH USE ONLY. NOT FOR USE IN DIAGNOSTIC OR THERAPEUTIC PROCEDURES'.

For licensing inquiries, please contact partnerships@abcam.com