JavaScript is disabled in your browser. Please enable JavaScript to view this website.
AB170115

Anti-PAWP antibody

Be the first to review this product! Submit a review

|

(2 Publications)

Rabbit Polyclonal PAWP antibody. Suitable for WB, IHC-P and reacts with Human samples. Cited in 2 publications. Immunogen corresponding to Recombinant Fragment Protein within Human WBP2NL aa 50-300.

View Alternative Names

PAWP, WBP2NL, Postacrosomal sheath WW domain-binding protein, WW domain-binding protein 2-like

2 Images
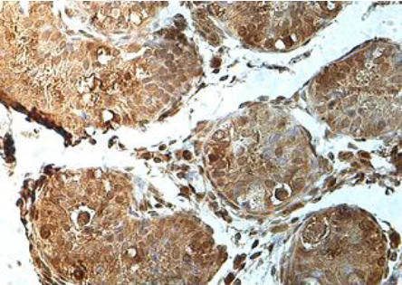
Immunohistochemistry (Formalin/PFA-fixed paraffin-embedded sections) - Anti-PAWP antibody (AB170115)
  • IHC-P

Supplier Data

Immunohistochemistry (Formalin/PFA-fixed paraffin-embedded sections) - Anti-PAWP antibody (AB170115)

Immunohistochemical analysis of formalin-fixed, paraffin-embedded Human fetal testis tissue labeling PAWP with ab170115 at 1/100.

Western blot - Anti-PAWP antibody (AB170115)
  • WB

Supplier Data

Western blot - Anti-PAWP antibody (AB170115)

All lanes:

Western blot - Anti-PAWP antibody (ab170115) at 1/500 dilution

All lanes:

Human fetal stomach lysate

Predicted band size: 32 kDa

false

Key facts

Host species

Rabbit

Clonality

Polyclonal

Isotype

IgG

Carrier free

No

Reacts with

Human

Applications

IHC-P, WB

applications

Immunogen

Recombinant Fragment Protein within Human WBP2NL aa 50-300. The exact immunogen used to generate this antibody is proprietary information.

Q6ICG8

Reactivity data

{ "title": "Reactivity Data", "filters": { "stats": ["", "Species", "Dilution Info", "Notes"], "tabs": { "all-applications": {"fullname" : "All Applications", "shortname": "All Applications"}, "WB" : {"fullname" : "Western blot", "shortname":"WB"}, "IHCP" : {"fullname" : "Immunohistochemistry (Formalin/PFA-fixed paraffin-embedded sections)", "shortname":"IHC-P"} }, "product-promise": { "all": "all", "testedAndGuaranteed": "tested", "guaranteed": "expected", "predicted": "predicted", "notRecommended": "not-recommended" } }, "values": { "Human": { "WB-species-checked": "testedAndGuaranteed", "WB-species-dilution-info": "1/200 - 1/1000", "WB-species-notes": "<p></p>", "IHCP-species-checked": "testedAndGuaranteed", "IHCP-species-dilution-info": "1/100 - 1/500", "IHCP-species-notes": "<p></p>" } } }

Properties and storage information

Form
Lyophilized
Reconstitution
reconstitute with water at 200µL
Purification technique
Affinity purification Immunogen
Storage buffer
pH: 7.2 Preservative: 0.02% Sodium azide Constituents: PBS, 1% BSA
Shipped at conditions
Blue Ice
Appropriate short-term storage duration
1-2 weeks
Appropriate short-term storage conditions
+4°C
Appropriate long-term storage conditions
-20°C
Aliquoting information
Upon delivery aliquot
Storage information
Avoid freeze / thaw cycle

Supplementary information

This supplementary information is collated from multiple sources and compiled automatically.

The PAWP protein also known as WW domain-binding protein 2 (WBP2 N-terminal-like protein) is a 16.5 kDa protein that plays an essential role in sperm function. PAWP is mainly expressed in the reproductive system specifically in spermatozoa. It contains a WW domain that enables interactions with other proteins. PAWP is an important component of the sperm head contributing significantly to sperm's ability to activate an egg during fertilization.
Biological function summary

PAWP is involved in egg activation and early embryonic development after fertilization. It functions as part of the sperm-borne oocyte-activating factors (SOAF) interacting with other proteins to facilitate calcium oscillations within the egg initiating embryonic development. These calcium oscillations are important for the release of intracellular stores needed for the embryo's start showcasing PAWP's vital role in reproductive biology.

Pathways

The PAWP protein plays a significant part in the calcium signaling pathway which is essential for fertilization and the subsequent onset of embryogenesis. PAWP interacts with phospholipase C zeta (PLCζ) another important protein in the pathway. Together they contribute to the regulation and generation of calcium signals necessary for successful fertilization and embryo development. These protein interactions position PAWP as a vital player within this pathway.

Disruptions in PAWP function link it to cases of male infertility due to its central role in sperm-mediated egg activation. Alterations or deficiencies in PAWP can impair fertilization processes leading to difficulties in conceiving. Additionally abnormalities in the calcium signaling pathway involving PAWP and PLCζ can be associated with early developmental disorders. Research into these dysfunctions highlights the importance of PAWP in understanding and potentially addressing reproductive health issues.

Product protocols

For this product, it's our understanding that no specific protocols are required. You can visit:

Target data

May play a role in meiotic resumption and pronuclear formation, mediated by a WW domain-signaling pathway during fertilization.
See full target information WBP2NL

Publications (2)

Recent publications for all applications. Explore the full list and refine your search

Molecular reproduction and development 85:163-170 PubMed29271520

2018

Is there an association between PAWP/WBP2NL sequence, expression, and distribution in sperm cells and fertilization failures in ICSI cycles?

Applications

Unspecified application

Species

Unspecified reactive species

Thomas Freour,Montserrat Barragan,Marc Torra-Massana,Anna Ferrer-Vaquer,Rita Vassena

Journal of assisted reproduction and genetics 34:803-810 PubMed28444612

2017

WBP2NL/PAWP mRNA and protein expression in sperm cells are not related to semen parameters, fertilization rate, or reproductive outcome.

Applications

Unspecified application

Species

Unspecified reactive species

T Freour,M Barragan,A Ferrer-Vaquer,A Rodríguez,Rita Vassena
View all publications

Product promise

We are committed to supporting your work with high-quality reagents, and we're here for you every step of the way. In the unlikely event that one of our products does not perform as expected, you're protected by our Product Promise.
For full details, please see our Terms & Conditions

Please note: All products are 'FOR RESEARCH USE ONLY. NOT FOR USE IN DIAGNOSTIC OR THERAPEUTIC PROCEDURES'.

For licensing inquiries, please contact partnerships@abcam.com