JavaScript is disabled in your browser. Please enable JavaScript to view this website.
AB79389

Anti-Pax2 antibody [EP3251]

4

(11 Reviews)

|

(49 Publications)

Anti-Pax2 antibody [EP3251] (ab79389) is a rabbit monoclonal antibody detecting Pax2 in Western Blot, Flow Cytometry (Intra), IHC-P, ICC/IF. Suitable for Human, Mouse, Rat.

- Biophysical QC for unrivalled batch-batch consistency
- Over 30 publications
- Trusted since 2009

View Alternative Names

Paired box protein Pax-2, PAX2

9 Images
Immunohistochemistry (Formalin/PFA-fixed paraffin-embedded sections) - Anti-Pax2 antibody [EP3251] (AB79389)
  • IHC-P

Supplier Data

Immunohistochemistry (Formalin/PFA-fixed paraffin-embedded sections) - Anti-Pax2 antibody [EP3251] (AB79389)

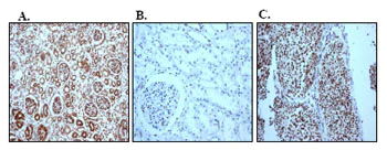
Immunohistochemistry (Formalin/PFA-fixed paraffin-embedded sections) analysis of (A) human fetal kidney, (B) human normal kidney and (C) human renal cell carcinoma tissues labelled Pax2 with unpurified ab79389 at a dilution of 1/1000.

Immunohistochemistry (Formalin/PFA-fixed paraffin-embedded sections) - Anti-Pax2 antibody [EP3251] (AB79389)
  • IHC-P

Supplier Data

Immunohistochemistry (Formalin/PFA-fixed paraffin-embedded sections) - Anti-Pax2 antibody [EP3251] (AB79389)

Immunohistochemical analysis of Human malignant melanoma tissue, staining Pax2 with unpurified ab79389.
Antigen retrieval was performed via heat mediation in a citrate buffer (pH 6). Sections were blocked with 0.1% Triton X-100/PBS containing 1% BSA and 10% horse serum for 1 hour. Samples were incubated with primary antibody overnight at 4°C. A Cy3®-conjugated goat anti-rabbit IgG was used as the secondary antibody.

Flow Cytometry (Intracellular) - Anti-Pax2 antibody [EP3251] (AB79389)
  • Flow Cyt (Intra)

Supplier Data

Flow Cytometry (Intracellular) - Anti-Pax2 antibody [EP3251] (AB79389)

Intracellular Flow Cytometry analysis of K-562 (Human chronic myelogenous leukemia lymphoblast)labelling Pax2 with ab79389 at 1/30. Cells were fixed with 4% paraformaldehyde and permeabilised with 90% methanol. Goat Anti-Rabbit IgG H&L (Alexa Fluor® 488) (ab150077) at 1/2000 was used as the secondary antibody (red). Rabbit monoclonal IgG (ab172730) was used as the isotype control (black). Blue - Unlabelled control, cells without incubation with primary and secondary antibodies.

Immunohistochemistry (Formalin/PFA-fixed paraffin-embedded sections) - Anti-Pax2 antibody [EP3251] (AB79389)
  • IHC-P

Unknown

Immunohistochemistry (Formalin/PFA-fixed paraffin-embedded sections) - Anti-Pax2 antibody [EP3251] (AB79389)

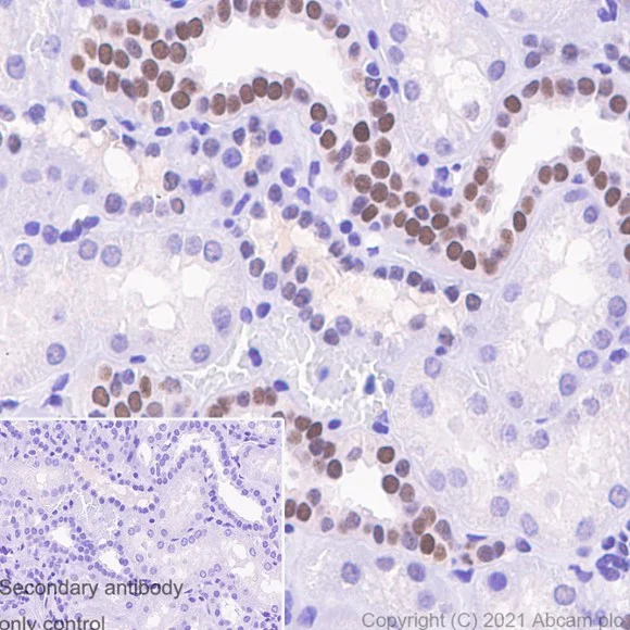
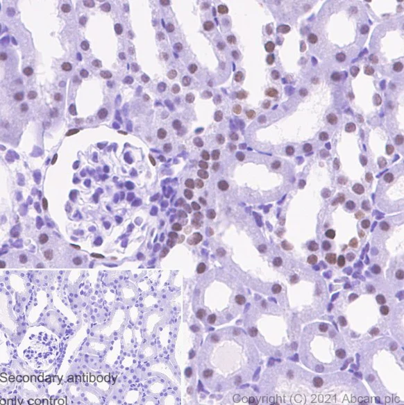
Immunohistochemistry (Formalin/PFA-fixed paraffin-embedded sections) analysis of human kidney tissue labelling Pax2 with ab79389 at 1/100 dilution. Heat mediated antigen retrieval was performed using Tris/EDTA buffer pH 9. ab97051, aRabbit specific IHC polymer detection kit HRP/DAB (ab209101) was used as the secondary antibody (1/500). Negative control using PBS instead of primary antibody. Counterstained with hematoxylin. Positive staining on human kidney. The section was incubated with ab79389 for 30 mins at room temperature. The immunostaining was performed on a Leica Biosystems BOND® RX instrument

Immunohistochemistry (Formalin/PFA-fixed paraffin-embedded sections) - Anti-Pax2 antibody [EP3251] (AB79389)
  • IHC-P

Supplier Data

Immunohistochemistry (Formalin/PFA-fixed paraffin-embedded sections) - Anti-Pax2 antibody [EP3251] (AB79389)

Immunohistochemistry (Formalin/PFA-fixed paraffin-embedded sections) analysis of human kidney cancer tissue labelling Pax2 with ab79389 at 1/100 dilution. Heat mediated antigen retrieval was performed using Tris/EDTA buffer pH 9. ab97051, aRabbit specific IHC polymer detection kit HRP/DAB (ab209101) was used as the secondary antibody (1/500). Negative control using PBS instead of primary antibody. Counterstained with hematoxylin. Positive staining on human kidney cancer. The section was incubated with ab79389 for 30 mins at room temperature. The immunostaining was performed on a Leica Biosystems BOND® RX instrument

Immunocytochemistry/ Immunofluorescence - Anti-Pax2 antibody [EP3251] (AB79389)
  • ICC/IF

Unknown

Immunocytochemistry/ Immunofluorescence - Anti-Pax2 antibody [EP3251] (AB79389)

Immunocytochemistry analysis of HepG2 (human hepatocellular carcinoma epithelial cell) labelling Pax2 with ab79389 at 1/200 dilution. Cells were fixed with 4% paraformaldehyde and permeabilized with 0.1% Triton X-100 at room temperature for 4 minutes. . Goat Anti-Rabbit IgG H&L (Alexa Fluor® 488) (ab150077) at 1/1000 was used as the secondary antibody (green). Cells were counterstained with Anti-alpha Tubulin antibody [DM1A] - Microtubule Marker (Alexa Fluor® 594) (ab195889) at 1/200 dilution (red). Nuclear DNA was labelled with DAPI (blue). Confocal image showing nucleolar staining in HepG2 cell line.

Immunohistochemistry (Formalin/PFA-fixed paraffin-embedded sections) - Anti-Pax2 antibody [EP3251] (AB79389)
  • IHC-P

Supplier Data

Immunohistochemistry (Formalin/PFA-fixed paraffin-embedded sections) - Anti-Pax2 antibody [EP3251] (AB79389)

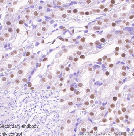
Immunohistochemistry (Formalin/PFA-fixed paraffin-embedded sections) analysis of mouse kidney tissue labelling Pax2 with ab79389 at 1/100 dilution. Heat mediated antigen retrieval was performed using Tris/EDTA buffer pH 9. ab97051, aRabbit specific IHC polymer detection kit HRP/DAB (ab209101) was used as the secondary antibody (1/500). Negative control using PBS instead of primary antibody. Counterstained with hematoxylin. Positive staining on mouse kidney cancer. The section was incubated with ab79389 for 30 mins at room temperature. The immunostaining was performed on a Leica Biosystems BOND® RX instrument

Immunohistochemistry (Formalin/PFA-fixed paraffin-embedded sections) - Anti-Pax2 antibody [EP3251] (AB79389)
  • IHC-P

Unknown

Immunohistochemistry (Formalin/PFA-fixed paraffin-embedded sections) - Anti-Pax2 antibody [EP3251] (AB79389)

Immunohistochemistry (Formalin/PFA-fixed paraffin-embedded sections) analysis of mouse kidney tissue labelling Pax2 with ab79389 at 1/100 dilution. Heat mediated antigen retrieval was performed using Tris/EDTA buffer pH 9. ab97051, aRabbit specific IHC polymer detection kit HRP/DAB (ab209101) was used as the secondary antibody (1/500). Negative control using PBS instead of primary antibody. Counterstained with hematoxylin. Positive staining on mouse kidney cancer. The section was incubated with ab79389 for 30 mins at room temperature. The immunostaining was performed on a Leica Biosystems BOND® RX instrument

Western blot - Anti-Pax2 antibody [EP3251] (AB79389)
  • WB

Unknown

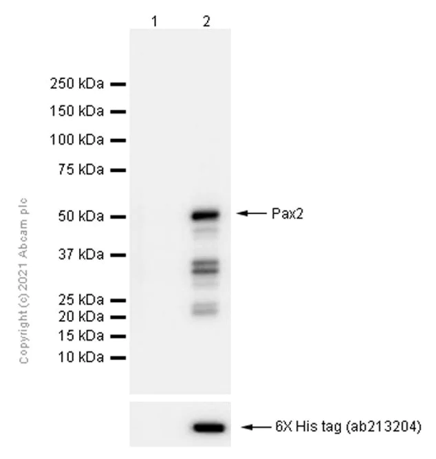
Western blot - Anti-Pax2 antibody [EP3251] (AB79389)

All lanes:

Western blot - Anti-Pax2 antibody [EP3251] (ab79389) at 1/10000 dilution

Lane 1:

HEK-293 (Human embryonic kidney epithelial cell) transfected with empty vector whole cell lysate at 15 µg

Lane 2:

HEK-293 (Human embryonic kidney epithelial cell) transfected with his tagged human full-length PAX2 at 15 µg

Secondary

All lanes:

Western blot - Goat Anti-Rabbit IgG H&L (HRP) (<a href='/en-us/products/secondary-antibodies/goat-rabbit-igg-h-l-hrp-ab97051'>ab97051</a>) at 1/20000 dilution

Predicted band size: 45 kDa

false

Key facts

Host species

Rabbit

Clonality

Monoclonal

Clone number

EP3251

Isotype

IgG

Carrier free

No

Reacts with

Mouse, Rat, Human

Applications

IHC-P, Flow Cyt (Intra), WB, ICC/IF

applications

Immunogen

The exact immunogen used to generate this antibody is proprietary information.

Reactivity data

{ "title": "Reactivity Data", "filters": { "stats": ["", "Species", "Dilution Info", "Notes"], "tabs": { "all-applications": {"fullname" : "All Applications", "shortname": "All Applications"}, "WB" : {"fullname" : "Western blot", "shortname":"WB"}, "ICCIF" : {"fullname" : "Immunocytochemistry/ Immunofluorescence", "shortname":"ICC/IF"}, "FlowCytIntra" : {"fullname" : "Flow Cytometry (Intracellular)", "shortname":"Flow Cyt (Intra)"}, "IHCP" : {"fullname" : "Immunohistochemistry (Formalin/PFA-fixed paraffin-embedded sections)", "shortname":"IHC-P"} }, "product-promise": { "all": "all", "testedAndGuaranteed": "tested", "guaranteed": "expected", "predicted": "predicted", "notRecommended": "not-recommended" } }, "values": { "Human": { "WB-species-checked": "guaranteed", "WB-species-dilution-info": "", "WB-species-notes": "", "ICCIF-species-checked": "testedAndGuaranteed", "ICCIF-species-dilution-info": "1/50", "ICCIF-species-notes": "<p></p>", "FlowCytIntra-species-checked": "testedAndGuaranteed", "FlowCytIntra-species-dilution-info": "1/50", "FlowCytIntra-species-notes": "<p><a href='/en-us/products/primary-antibodies/rabbit-igg-monoclonal-epr25a-isotype-control-ab172730'>ab172730</a> - Rabbit monoclonal IgG, is suitable for use as an isotype control with this antibody.</p>", "IHCP-species-checked": "testedAndGuaranteed", "IHCP-species-dilution-info": "1/500 - 1/2500", "IHCP-species-notes": "<p></p> Perform heat-mediated antigen retrieval with Tris/EDTA buffer pH 9.0 before commencing with IHC staining protocol." }, "Mouse": { "WB-species-checked": "guaranteed", "WB-species-dilution-info": "", "WB-species-notes": "", "ICCIF-species-checked": "guaranteed", "ICCIF-species-dilution-info": "", "ICCIF-species-notes": "", "FlowCytIntra-species-checked": "guaranteed", "FlowCytIntra-species-dilution-info": "", "FlowCytIntra-species-notes": "", "IHCP-species-checked": "testedAndGuaranteed", "IHCP-species-dilution-info": "1/500 - 1/2500", "IHCP-species-notes": "<p></p> Perform heat-mediated antigen retrieval with Tris/EDTA buffer pH 9.0 before commencing with IHC staining protocol." }, "Rat": { "WB-species-checked": "guaranteed", "WB-species-dilution-info": "", "WB-species-notes": "", "ICCIF-species-checked": "guaranteed", "ICCIF-species-dilution-info": "", "ICCIF-species-notes": "", "FlowCytIntra-species-checked": "guaranteed", "FlowCytIntra-species-dilution-info": "", "FlowCytIntra-species-notes": "", "IHCP-species-checked": "testedAndGuaranteed", "IHCP-species-dilution-info": "1/500 - 1/2500", "IHCP-species-notes": "<p></p> Perform heat-mediated antigen retrieval with Tris/EDTA buffer pH 9.0 before commencing with IHC staining protocol." }, "Transfected cell lysate - Human": { "WB-species-checked": "testedAndGuaranteed", "WB-species-dilution-info": "1/1000 - 1/10000", "WB-species-notes": "<p></p>", "ICCIF-species-checked": "notRecommended", "ICCIF-species-dilution-info": "", "ICCIF-species-notes": "", "FlowCytIntra-species-checked": "notRecommended", "FlowCytIntra-species-dilution-info": "", "FlowCytIntra-species-notes": "", "IHCP-species-checked": "notRecommended", "IHCP-species-dilution-info": "", "IHCP-species-notes": "" } } }

Product details

What is this antibody validated in?
Anti-Pax2 antibody [EP3251] (ab79389) is a rabbit recombinant monoclonal antibody and is validated for use in Western Blot (WB), Flow Cytometry (Intra), Flow Cytometry (Flow Cyt), Immunohistochemistry (IHC-P), Immunocytochemistry/immunofluorescence (ICC/IF) in Human, Mouse, Rat samples.

What is the molecular weight of Pax2?
Anti-Pax2 [EP3251] (ab79389) specifically detects a band for Pax2 (UniProt: Q02962) at a molecular weight of 45kDa.

Trusted by the scientific community
Anti-Pax2 [EP3251] (ab79389) was first used in a scientific publication in 2009 and has been cited over 30 times in peer-reviewed journals.

Reviewed by scientists
Anti-Pax2 [EP3251] (ab79389) has over 10 independent reviews from customers.

Trial sizes available!
Test your antibody or perform pre-screening before committing to a larger quantity. Sold in 10µl. Discover our selection of trial-size antibodies.

Other related products
We have a range of other formats of antibody clone [EP3251] also available for your convenience: ab79389, Alexa Fluor® 647 - ab218058, Carrier free - ab284763, PE - ab305674, APC - ab305675, HRP - ab305676, Alkaline Phosphatase - ab308810, Alexa Fluor® 488 - ab309759, Alexa Fluor® 555 - ab312072, Alexa Fluor® 568 - ab312549, Alexa Fluor® 750 - ab321734

Patented technology
Our RabMAb® technology is a patented hybridoma-based technology for making rabbit monoclonal antibodies. For details on our patents, please refer to RabMAb® patents.

What are the advantages of a recombinant monoclonal antibody?
This product is a recombinant monoclonal antibody, which offers several advantages including:

  • - High batch-to-batch consistency and reproducibility
  • - Improved sensitivity and specificity
  • - Long-term security of supply
  • - Animal-free batch production

For more information, read more on recombinant antibodies.

Properties and storage information

Form
Liquid
Purification technique
Affinity purification Protein A
Storage buffer
pH: 5.2 Preservative: 0.01% Sodium azide Constituents: PBS, 40% Glycerol (glycerin, glycerine), 0.05% BSA
Shipped at conditions
Blue Ice
Appropriate short-term storage duration
1-2 weeks
Appropriate short-term storage conditions
+4°C
Appropriate long-term storage conditions
-20°C
Aliquoting information
Upon delivery aliquot
Storage information
Stable for 12 months at -20°C

Supplementary information

This supplementary information is collated from multiple sources and compiled automatically.

The Pax2 protein also known as Paired Box 2 is a transcription factor with a mass of approximately 47 kDa. It plays an important role in controlling gene expression during embryonic development. Researchers have identified Pax2 expression in the developing central nervous system kidneys and eyes. Pax2 contains a paired domain which enables it to bind to specific DNA sequences and regulate the transcription of target genes by recruiting other proteins and co-factors to chromatin.
Biological function summary

This transcription factor acts as a mediator in developmental processes influencing both organogenesis and tissue differentiation. Pax2 forms part of a transcriptional complex with other Pax family members such as Pax5 and Pax8 which together ensure the proper development of organs like the kidneys and eyes. These interactions allow Pax2 to control cell proliferation differentiation and survival in developing tissues thereby facilitating normal organ formation.

Pathways

Pax2 functions within the Wnt/Β-catenin and Sonic Hedgehog signaling pathways. These pathways are important for the regulation of cell fate and patterning during embryogenesis. Pax2 works closely with proteins such as Wnt1 and Gli1 to transduce signals that instruct the development of specific tissues. Pax2's involvement in these pathways demonstrates its critical role in responding to environmental cues that dictate developmental progression.

Pax2 disruption is associated with renal coloboma syndrome and optic nerve coloboma. Mutations in the Pax2 gene can lead to defective kidney development and neurological defects in eye formation due to impaired gene regulation. Pax2 interacts with proteins like WT1 in kidney development where imbalances may contribute to disease phenotypes. Understanding Pax2's connection to these disorders could help in developing targeted therapeutic strategies.

Product protocols

For this product, it's our understanding that no specific protocols are required. You can visit:

Target data

Transcription factor that may have a role in kidney cell differentiation (PubMed : 24676634). Has a critical role in the development of the urogenital tract, the eyes, and the CNS.
See full target information PAX2

Publications (49)

Recent publications for all applications. Explore the full list and refine your search

Nature communications 16:8822 PubMed41044182

2025

SFPQ-TFE3 reciprocally regulates mTORC1 and induces lineage plasticity in a mouse model of renal tumorigenesis.

Applications

Unspecified application

Species

Unspecified reactive species

Kaushal Asrani,Adrianna Amaral,Juhyung Woo,Sanaz Nourmohammadi Abadchi,Thiago Vidotto,Eddie Imada,Alyza Skaist,Kewen Feng,Hans B Liu,Mithila Kasbe,Yorifumi Satou,Masaya Baba,Yuichi Oike,Patricia Outeda,Terry Watnick,Avi Z Rosenberg,Laura S Schmidt,W Marston Linehan,Pedram Argani,Tamara L Lotan

Orphanet journal of rare diseases 20:289 PubMed40483479

2025

A de novo SALL4 mutation causes unilateral renal agenesis by misregulating genes involved in kidney development.

Applications

Unspecified application

Species

Unspecified reactive species

Rong Zhao,Yali Fan,Jieyan Li,Lin Li,Chenghong Yin

International journal of molecular sciences 25: PubMed39684657

2024

Platelet-Derived Growth Factor Subunit A Strengthens the Neurovascular Unit and Inhibits Retinal Vascular Regression Under Hyperoxic Conditions.

Applications

Unspecified application

Species

Unspecified reactive species

Kaito Yokota,Haruhiko Yamada,Hidetsugu Mori,Yuki Hattori,Masatoshi Omi,Yuichi Yamamoto,Keiko Toyama,Hisanori Imai

Investigative ophthalmology & visual science 65:34 PubMed39186263

2024

Agonism of β3-Adrenoceptors Inhibits Pathological Retinal Angiogenesis in the Model of Oxygen-Induced Retinopathy.

Applications

Unspecified application

Species

Unspecified reactive species

Alberto Melecchi,Alessio Canovai,Rosario Amato,Massimo Dal Monte,Luca Filippi,Paola Bagnoli,Maurizio Cammalleri

Stem cell research & therapy 15:4 PubMed38167128

2024

Genetic correction of induced pluripotent stem cells from a DFNA36 patient results in morphologic and functional recovery of derived hair cell-like cells.

Applications

Unspecified application

Species

Unspecified reactive species

Yi Luo,Kaiwen Wu,Xiaolong Zhang,Hongyang Wang,Qiuju Wang

Nature communications 14:2378 PubMed37185772

2023

Isthmin-1 (Ism1) modulates renal branching morphogenesis and mesenchyme condensation during early kidney development.

Applications

Unspecified application

Species

Unspecified reactive species

Ge Gao,Xiaoping Li,Zhixin Jiang,Liliana Osorio,Ying Lam Tang,Xueqing Yu,Guoxiang Jin,Zhongjun Zhou

iScience 25:105555 PubMed36444301

2022

Structural and functional properties of spinal dorsal horn neurons after peripheral nerve injury change overtime via astrocyte activation.

Applications

Unspecified application

Species

Unspecified reactive species

Miyuki Kurabe,Mika Sasaki,Kenta Furutani,Hidemasa Furue,Yoshinori Kamiya,Hiroshi Baba

Molecular pain 18:17448069221108965 PubMed35815426

2022

Analgesic effect of gastrin-releasing peptide in the dorsal horn.

Applications

Unspecified application

Species

Unspecified reactive species

Ayano Saeki,Hiroki Yamanaka,Kimiko Kobayashi,Masamichi Okubo,Koichi Noguchi

Regenerative therapy 20:165-186 PubMed35620640

2022

Critical roles of FGF, RA, and WNT signalling in the development of the human otic placode and subsequent lineages in a dish.

Applications

Unspecified application

Species

Unspecified reactive species

Tsubasa Saeki,Sho Yoshimatsu,Mitsuru Ishikawa,Chung-Chau Hon,Ikuko Koya,Shinsuke Shibata,Makoto Hosoya,Chika Saegusa,Kaoru Ogawa,Jay W Shin,Masato Fujioka,Hideyuki Okano

Oncology letters 23:89 PubMed35126731

2022

Identification of the hub genes and transcription factor-miRNA axes involved in -associated gastric cancer.

Applications

Unspecified application

Species

Unspecified reactive species

Peng Zhao,Xianxiong Ma,Jiancheng Cheng,Hengyu Chen,Lei Li
View all publications

Product promise

We are committed to supporting your work with high-quality reagents, and we're here for you every step of the way. In the unlikely event that one of our products does not perform as expected, you're protected by our Product Promise.
For full details, please see our Terms & Conditions

Please note: All products are 'FOR RESEARCH USE ONLY. NOT FOR USE IN DIAGNOSTIC OR THERAPEUTIC PROCEDURES'.

For licensing inquiries, please contact partnerships@abcam.com