JavaScript is disabled in your browser. Please enable JavaScript to view this website.
AB284763

Anti-Pax2 antibody [EP3251] - BSA and Azide free

2

(1 Review)

|

(0 Publication)

Rabbit Recombinant Monoclonal PAX2 antibody. Carrier free. Suitable for WB, IHC-P, ICC/IF, Flow Cyt (Intra) and reacts with Transfected cell lysate - Human, Mouse, Human, Rat samples.

View Alternative Names

Paired box protein Pax-2, PAX2

11 Images
Immunohistochemistry (Formalin/PFA-fixed paraffin-embedded sections) - Anti-Pax2 antibody [EP3251] - BSA and Azide free (AB284763)
  • IHC-P

Supplier Data

Immunohistochemistry (Formalin/PFA-fixed paraffin-embedded sections) - Anti-Pax2 antibody [EP3251] - BSA and Azide free (AB284763)

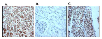
This data was developed using ab79389, the same antibody clone in a different buffer formulation.Immunohistochemistry (Formalin/PFA-fixed paraffin-embedded sections) analysis of (A) human fetal kidney, (B) human normal kidney and (C) human renal cell carcinoma tissues labelled Pax2 with unpurified ab79389 at a dilution of 1/1000.

Immunohistochemistry (Formalin/PFA-fixed paraffin-embedded sections) - Anti-Pax2 antibody [EP3251] - BSA and Azide free (AB284763)
  • IHC-P

Supplier Data

Immunohistochemistry (Formalin/PFA-fixed paraffin-embedded sections) - Anti-Pax2 antibody [EP3251] - BSA and Azide free (AB284763)

This data was developed using ab79389, the same antibody clone in a different buffer formulation.Immunohistochemical analysis of Human malignant melanoma tissue, staining Pax2 with unpurified ab79389.
Antigen retrieval was performed via heat mediation in a citrate buffer (pH 6). Sections were blocked with 0.1% Triton X-100/PBS containing 1% BSA and 10% horse serum for 1 hour. Samples were incubated with primary antibody overnight at 4°C. A Cy3®-conjugated goat anti-rabbit IgG was used as the secondary antibody.

Immunohistochemistry (Formalin/PFA-fixed paraffin-embedded sections) - Anti-Pax2 antibody [EP3251] - BSA and Azide free (AB284763)
  • IHC-P

Supplier Data

Immunohistochemistry (Formalin/PFA-fixed paraffin-embedded sections) - Anti-Pax2 antibody [EP3251] - BSA and Azide free (AB284763)

This data was developed using ab79389, the same antibody clone in a different buffer formulation.

Immunohistochemical analysis of Pax2 expression in tissue sections of human benign nevi and malignant melanoma using ab79389 at 1/100 dilution.

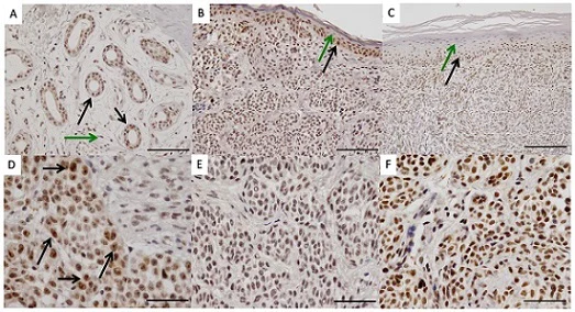
All specimens were fixed in 4% formaline (pH 7.4), embedded in paraffin followed by cutting with a microtome (3 μm thickness). The slides were deparaffinized in xylol for 20 minutes and then rehydrated in descending series of ethanol (100%, 100%, 96%, 96%, 70%, and 70%). For antigen retrieval the slides were boiled in citrate buffer (pH 6.0) for 40 min, and then allowed to cool down for 15 min. After washing with PBS buffer the endogenous peroxidase was blocked with H202 for 15 min at room temperature. After washing in PBS the slides were incubated with the antibody against PAX2 (dilution 1/100) for 60 min at room temperature and washed in PBS again.

The secondary antibody was incubated for 20 min at room temperature and after washing the slides in PBS the biotin streptavidine label was incubated for 20 min at room temperature. A detection kit including horseradish peroxidase and diaminobenzidine as chromogene was applied for 5 min. Counterstaining was performed with hematoxilin for 6 min.

(A) In normal sweat glands, Pax2 is expressed in gland epithelial cells (black arrows) while intermingled stromal cells only show very weak or absent nuclear Pax2 expression (green arrow) Bar represents 100 μm.

(B, C) Normal appearing epidermal cell layers adjacent to (B, bar represent 100 μm) nevi or (C, bar represent 200 μm) malignant melanoma show a differentially Pax2 expression with strongest Pax2 levels in germinal basal cell layers (black arrows) decreasing in higher differentiated keratinocytes and finally being absent in corneocytes (green arrows).

(D) Malignant melanoma cells - heterogeneous nuclear Pax2 expression. Strongest expression in large atypical nuclei with prominent nucleoli (black arrows).

(E, F) Pax2 expression in intradermal nevi was heterogeneous and did not correlate with histological features.

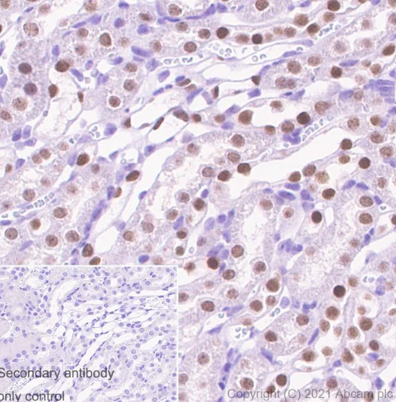
Immunohistochemistry (Formalin/PFA-fixed paraffin-embedded sections) - Anti-Pax2 antibody [EP3251] - BSA and Azide free (AB284763)
  • IHC-P

Supplier Data

Immunohistochemistry (Formalin/PFA-fixed paraffin-embedded sections) - Anti-Pax2 antibody [EP3251] - BSA and Azide free (AB284763)

This data was developed using ab79389, the same antibody clone in a different buffer formulation.

Immunohistochemistry (Formalin/PFA-fixed paraffin-embedded sections) analysis of human kidney cancer tissue labelling Pax2 with ab79389 at 1/100 dilution. Heat mediated antigen retrieval was performed using Tris/EDTA buffer pH 9. ab97051, a Rabbit specific IHC polymer detection kit HRP/DAB (ab209101) was used as the secondary antibody (1/500). Counterstained with hematoxylin. The section was incubated with ab79389 for 30 mins at room temperature. The immunostaining was performed on a Leica Biosystems BOND® RX instrument. Negative control using PBS instead of primary antibody.

Positive staining on human kidney cancer.

Flow Cytometry (Intracellular) - Anti-Pax2 antibody [EP3251] - BSA and Azide free (AB284763)
  • Flow Cyt (Intra)

Supplier Data

Flow Cytometry (Intracellular) - Anti-Pax2 antibody [EP3251] - BSA and Azide free (AB284763)

This data was developed using ab79389, the same antibody clone in a different buffer formulation.

Intracellular Flow Cytometry analysis of K-562 (Human chronic myelogenous leukemia lymphoblast) labelling Pax2 with ab79389 at 1/30. Cells were fixed with 4% paraformaldehyde and permeabilised with 90% methanol. Goat Anti-Rabbit IgG H&L (Alexa Fluor® 488) (ab150077) at 1/2000 was used as the secondary antibody (red). Rabbit monoclonal IgG (ab172730) was used as the isotype control (black). Blue - Unlabelled control, cells without incubation with primary and secondary antibodies.

Immunocytochemistry/ Immunofluorescence - Anti-Pax2 antibody [EP3251] - BSA and Azide free (AB284763)
  • ICC/IF

Supplier Data

Immunocytochemistry/ Immunofluorescence - Anti-Pax2 antibody [EP3251] - BSA and Azide free (AB284763)

This data was developed using ab79389, the same antibody clone in a different buffer formulation.

Pax2 is expressed in melanocytes of benign nevi (A) and melanoma cells of patients with malignant melanoma (B).

Cells were grown on coverslips and fixed with 4% paraformaldehyde/PBS. After washing the cells with PBS, cells were permeabilized and blocked with 0.1% Triton X-100/PBS containing 5% BSA. Pax2 (green) was examined by immunofluorescent analysis using ab79389 at 1/100 dilution (incubated for 1 hour at room temperature). Following 3 times washing, bound antibodies were deteced by Alexa® 488 conjugated goat anti-mouse or Cy3 conjugated goat anti-mouse secondary antibodies.

Following PBS-washing nuclei were stained with 4′6-diamidino-2-phenylindole (DAPI, Blue) and cells were mounted in Fluoromount-G™ and examined by fluorescence microscopy.

White arrows in the higher magnified insets indicate PAX2 expression in nucleoli of melanocytes of benign nevi (A), yellow arrows in the higher magnified insets specify PAX2 expression in nucleoli of melanoma cells (B).

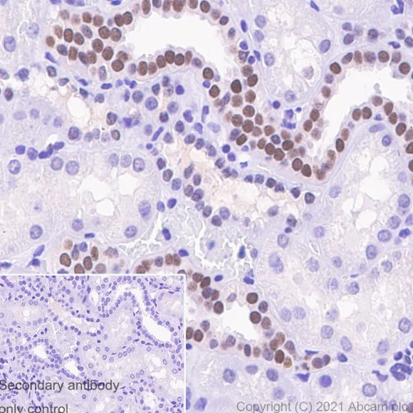
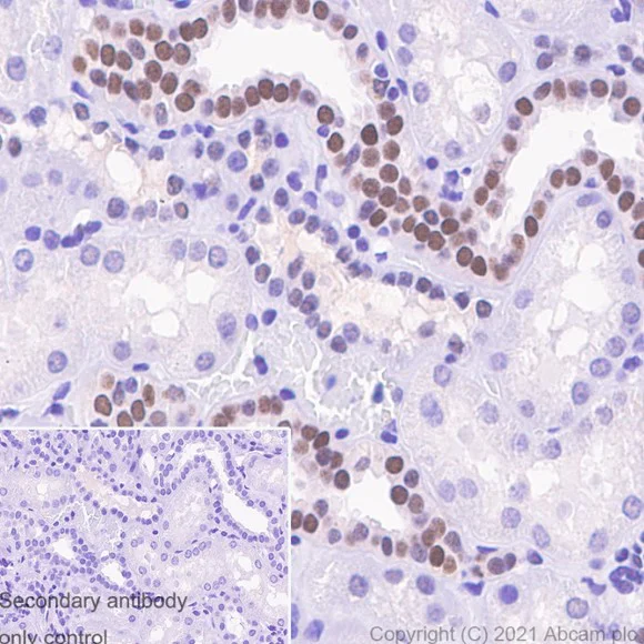
Immunohistochemistry (Formalin/PFA-fixed paraffin-embedded sections) - Anti-Pax2 antibody [EP3251] - BSA and Azide free (AB284763)
  • IHC-P

Unknown

Immunohistochemistry (Formalin/PFA-fixed paraffin-embedded sections) - Anti-Pax2 antibody [EP3251] - BSA and Azide free (AB284763)

This data was developed using ab79389, the same antibody clone in a different buffer formulation.

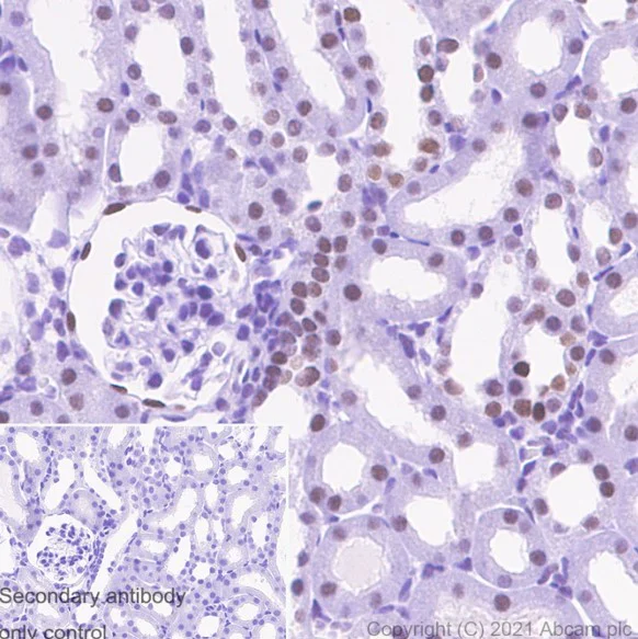
Immunohistochemistry (Formalin/PFA-fixed paraffin-embedded sections) analysis of human kidney tissue labelling Pax2 with ab79389 at 1/100 dilution. Heat mediated antigen retrieval was performed using Tris/EDTA buffer pH 9. ab97051, a Rabbit specific IHC polymer detection kit HRP/DAB (ab209101) was used as the secondary antibody (1/500). Negative control using PBS instead of primary antibody. Counterstained with hematoxylin. Positive staining on human kidney. The section was incubated with ab79389 for 30 mins at room temperature. The immunostaining was performed on a Leica Biosystems BOND® RX instrument.

Immunocytochemistry/ Immunofluorescence - Anti-Pax2 antibody [EP3251] - BSA and Azide free (AB284763)
  • ICC/IF

Supplier Data

Immunocytochemistry/ Immunofluorescence - Anti-Pax2 antibody [EP3251] - BSA and Azide free (AB284763)

This data was developed using ab79389, the same antibody clone in a different buffer formulation.

Immunocytochemistry analysis of HepG2 (human hepatocellular carcinoma epithelial cell) labelling Pax2 with ab79389 at 1/200 dilution. Cells were fixed with 4% paraformaldehyde and permeabilized with 0.1% Triton X-100 at room temperature for 4 minutes. Goat Anti-Rabbit IgG H&L (Alexa Fluor® 488) (ab150077) at 1/1000 was used as the secondary antibody (green). Cells were counterstained with Anti-alpha Tubulin antibody [DM1A] - Microtubule Marker (Alexa Fluor® 594) (ab195889) at 1/200 dilution (red). Nuclear DNA was labelled with DAPI (blue). Confocal image showing nucleolar staining in HepG2 cell line.

Immunohistochemistry (Formalin/PFA-fixed paraffin-embedded sections) - Anti-Pax2 antibody [EP3251] - BSA and Azide free (AB284763)
  • IHC-P

Unknown

Immunohistochemistry (Formalin/PFA-fixed paraffin-embedded sections) - Anti-Pax2 antibody [EP3251] - BSA and Azide free (AB284763)

This data was developed using ab79389, the same antibody clone in a different buffer formulation.

Immunohistochemistry (Formalin/PFA-fixed paraffin-embedded sections) analysis of mouse kidney tissue labelling Pax2 with ab79389 at 1/100 dilution. Heat mediated antigen retrieval was performed using Tris/EDTA buffer pH 9. ab97051, a Rabbit specific IHC polymer detection kit HRP/DAB (ab209101) was used as the secondary antibody (1/500). Counterstained with hematoxylin. The section was incubated with ab79389 for 30 mins at room temperature. The immunostaining was performed on a Leica Biosystems BOND® RX instrument. Negative control using PBS instead of primary antibody.

Positive staining on mouse kidney cancer.

Immunohistochemistry (Formalin/PFA-fixed paraffin-embedded sections) - Anti-Pax2 antibody [EP3251] - BSA and Azide free (AB284763)
  • IHC-P

Supplier Data

Immunohistochemistry (Formalin/PFA-fixed paraffin-embedded sections) - Anti-Pax2 antibody [EP3251] - BSA and Azide free (AB284763)

This data was developed using ab79389, the same antibody clone in a different buffer formulation.

Immunohistochemistry (Formalin/PFA-fixed paraffin-embedded sections) analysis of mouse kidney tissue labelling Pax2 with ab79389 at 1/100 dilution. Heat mediated antigen retrieval was performed using Tris/EDTA buffer pH 9. ab97051, a Rabbit specific IHC polymer detection kit HRP/DAB (ab209101) was used as the secondary antibody (1/500). Negative control using PBS instead of primary antibody. Counterstained with hematoxylin. Positive staining on mouse kidney cancer. The section was incubated with ab79389 for 30 mins at room temperature. The immunostaining was performed on a Leica Biosystems BOND® RX instrument

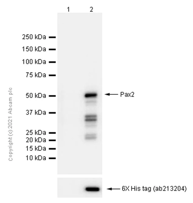
Western blot - Anti-Pax2 antibody [EP3251] - BSA and Azide free (AB284763)
  • WB

Unknown

Western blot - Anti-Pax2 antibody [EP3251] - BSA and Azide free (AB284763)

This data was developed using ab79389, the same antibody clone in a different buffer formulation.

All lanes:

Western blot - Anti-Pax2 antibody [EP3251] (<a href='/en-us/products/primary-antibodies/pax2-antibody-ep3251-ab79389'>ab79389</a>) at 1/10000 dilution

Lane 1:

HEK-293 (Human embryonic kidney epithelial cell) transfected with empty vector whole cell lysate at 15 µg

Lane 2:

HEK-293 (Human embryonic kidney epithelial cell) transfected with his tagged human full-length PAX2 at 15 µg

Secondary

All lanes:

Western blot - Goat Anti-Rabbit IgG H&L (HRP) (<a href='/en-us/products/secondary-antibodies/goat-rabbit-igg-h-l-hrp-ab97051'>ab97051</a>) at 1/20000 dilution

Predicted band size: 45 kDa

false

Key facts

Host species

Rabbit

Clonality

Monoclonal

Clone number

EP3251

Isotype

IgG

Carrier free

Yes

Reacts with

Rat, Mouse, Human

Applications

ICC/IF, IHC-P, Flow Cyt (Intra), WB

applications

Immunogen

The exact immunogen used to generate this antibody is proprietary information.

Reactivity data

{ "title": "Reactivity Data", "filters": { "stats": ["", "Species", "Dilution Info", "Notes"], "tabs": { "all-applications": {"fullname" : "All Applications", "shortname": "All Applications"}, "WB" : {"fullname" : "Western blot", "shortname":"WB"}, "IHCP" : {"fullname" : "Immunohistochemistry (Formalin/PFA-fixed paraffin-embedded sections)", "shortname":"IHC-P"}, "ICCIF" : {"fullname" : "Immunocytochemistry/ Immunofluorescence", "shortname":"ICC/IF"}, "FlowCytIntra" : {"fullname" : "Flow Cytometry (Intracellular)", "shortname":"Flow Cyt (Intra)"} }, "product-promise": { "all": "all", "testedAndGuaranteed": "tested", "guaranteed": "expected", "predicted": "predicted", "notRecommended": "not-recommended" } }, "values": { "Human": { "WB-species-checked": "guaranteed", "WB-species-dilution-info": "", "WB-species-notes": "", "IHCP-species-checked": "testedAndGuaranteed", "IHCP-species-dilution-info": "", "IHCP-species-notes": "<p></p>", "ICCIF-species-checked": "testedAndGuaranteed", "ICCIF-species-dilution-info": "", "ICCIF-species-notes": "<p></p>", "FlowCytIntra-species-checked": "testedAndGuaranteed", "FlowCytIntra-species-dilution-info": "", "FlowCytIntra-species-notes": "<p><a href='/en-us/products/primary-antibodies/rabbit-igg-monoclonal-epr25a-isotype-control-ab172730'>ab172730</a> - Rabbit monoclonal IgG, is suitable for use as an isotype control with this antibody.</p>" }, "Mouse": { "WB-species-checked": "guaranteed", "WB-species-dilution-info": "", "WB-species-notes": "", "IHCP-species-checked": "testedAndGuaranteed", "IHCP-species-dilution-info": "", "IHCP-species-notes": "<p></p>", "ICCIF-species-checked": "guaranteed", "ICCIF-species-dilution-info": "", "ICCIF-species-notes": "", "FlowCytIntra-species-checked": "guaranteed", "FlowCytIntra-species-dilution-info": "", "FlowCytIntra-species-notes": "" }, "Rat": { "WB-species-checked": "guaranteed", "WB-species-dilution-info": "", "WB-species-notes": "<p></p>", "IHCP-species-checked": "guaranteed", "IHCP-species-dilution-info": "", "IHCP-species-notes": "<p></p>", "ICCIF-species-checked": "guaranteed", "ICCIF-species-dilution-info": "", "ICCIF-species-notes": "<p></p>", "FlowCytIntra-species-checked": "guaranteed", "FlowCytIntra-species-dilution-info": "", "FlowCytIntra-species-notes": "<p><a href='/en-us/products/primary-antibodies/rabbit-igg-monoclonal-epr25a-isotype-control-ab172730'>ab172730</a> - Rabbit monoclonal IgG, is suitable for use as an isotype control with this antibody.</p>" }, "Transfected cell lysate - Human": { "WB-species-checked": "testedAndGuaranteed", "WB-species-dilution-info": "", "WB-species-notes": "<p></p>", "IHCP-species-checked": "notRecommended", "IHCP-species-dilution-info": "", "IHCP-species-notes": "", "ICCIF-species-checked": "notRecommended", "ICCIF-species-dilution-info": "", "ICCIF-species-notes": "", "FlowCytIntra-species-checked": "notRecommended", "FlowCytIntra-species-dilution-info": "", "FlowCytIntra-species-notes": "" } } }

Product details

ab284763 is the carrier-free version of ab79389

Patented technology
Our RabMAb® technology is a patented hybridoma-based technology for making rabbit monoclonal antibodies. For details on our patents, please refer to RabMAb® patents.

Conjugation ready
Our carrier-free antibodies are typically supplied in a PBS-only formulation, purified and free of BSA, sodium azide and glycerol. This conjugation-ready format is designed for use with fluorochromes, metal isotopes, oligonucleotides, and enzymes, which makes them ideal for antibody labelling, functional and cell-based assays, flow-based assays (e.g. mass cytometry) and Multiplex Imaging applications.

Use our conjugation kits for antibody conjugates that are ready-to-use in as little as 20 minutes with 1 minute hands-on-time and 100% antibody recovery: available for fluorescent dyes, HRP, biotin and gold.

Compatibility
This product is compatible with the Maxpar® Antibody Labeling Kit from Fluidigm, without the need for antibody preparation. Maxpar® is a trademark of Fluidigm Canada Inc.

Properties and storage information

Form
Liquid
Purification technique
Affinity purification Protein A
Storage buffer
pH: 7.2 - 7.4 Constituents: PBS
Shipped at conditions
Blue Ice
Appropriate short-term storage conditions
+4°C
Appropriate long-term storage conditions
+4°C

Supplementary information

This supplementary information is collated from multiple sources and compiled automatically.

The Pax2 protein also known as Paired Box 2 is a transcription factor with a mass of approximately 47 kDa. It plays an important role in controlling gene expression during embryonic development. Researchers have identified Pax2 expression in the developing central nervous system kidneys and eyes. Pax2 contains a paired domain which enables it to bind to specific DNA sequences and regulate the transcription of target genes by recruiting other proteins and co-factors to chromatin.
Biological function summary

This transcription factor acts as a mediator in developmental processes influencing both organogenesis and tissue differentiation. Pax2 forms part of a transcriptional complex with other Pax family members such as Pax5 and Pax8 which together ensure the proper development of organs like the kidneys and eyes. These interactions allow Pax2 to control cell proliferation differentiation and survival in developing tissues thereby facilitating normal organ formation.

Pathways

Pax2 functions within the Wnt/β-catenin and Sonic Hedgehog signaling pathways. These pathways are important for the regulation of cell fate and patterning during embryogenesis. Pax2 works closely with proteins such as Wnt1 and Gli1 to transduce signals that instruct the development of specific tissues. Pax2's involvement in these pathways demonstrates its critical role in responding to environmental cues that dictate developmental progression.

Pax2 disruption is associated with renal coloboma syndrome and optic nerve coloboma. Mutations in the Pax2 gene can lead to defective kidney development and neurological defects in eye formation due to impaired gene regulation. Pax2 interacts with proteins like WT1 in kidney development where imbalances may contribute to disease phenotypes. Understanding Pax2's connection to these disorders could help in developing targeted therapeutic strategies.

Product protocols

For this product, it's our understanding that no specific protocols are required. You can visit:

Target data

Transcription factor that may have a role in kidney cell differentiation (PubMed : 24676634). Has a critical role in the development of the urogenital tract, the eyes, and the CNS.
See full target information PAX2

Product promise

We are committed to supporting your work with high-quality reagents, and we're here for you every step of the way. In the unlikely event that one of our products does not perform as expected, you're protected by our Product Promise.
For full details, please see our Terms & Conditions

Please note: All products are 'FOR RESEARCH USE ONLY. NOT FOR USE IN DIAGNOSTIC OR THERAPEUTIC PROCEDURES'.

For licensing inquiries, please contact partnerships@abcam.com