JavaScript is disabled in your browser. Please enable JavaScript to view this website.
AB232460

Anti-Pax2 antibody [EPR8586] - BSA and Azide free

Be the first to review this product! Submit a review

|

(3 Publications)

Rabbit Recombinant Monoclonal PAX2 antibody. Carrier free. Suitable for IHC-P, WB and reacts with Human samples. Cited in 3 publications.

View Alternative Names

Paired box protein Pax-2, PAX2

8 Images
Immunohistochemistry (Formalin/PFA-fixed paraffin-embedded sections) - Anti-Pax2 antibody [EPR8586] - BSA and Azide free (AB232460)
  • IHC-P

Unknown

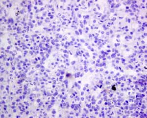
Immunohistochemistry (Formalin/PFA-fixed paraffin-embedded sections) - Anti-Pax2 antibody [EPR8586] - BSA and Azide free (AB232460)

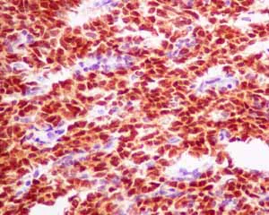
Immunohistochemical analysis of paraffin-embedded Human clear renal carcinoma tissue labelling Pax2 with ab150391 at 1/250 dilution.

This data was developed using the same antibody clone in a different buffer formulation containing PBS, BSA, glycerol, and sodium azide (ab150391).

Heat mediated antigen retrieval was performed before commencing with IHC staining protocol.

Immunohistochemistry (Formalin/PFA-fixed paraffin-embedded sections) - Anti-Pax2 antibody [EPR8586] - BSA and Azide free (AB232460)
  • IHC-P

Unknown

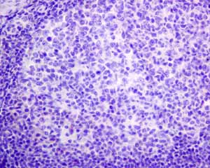
Immunohistochemistry (Formalin/PFA-fixed paraffin-embedded sections) - Anti-Pax2 antibody [EPR8586] - BSA and Azide free (AB232460)

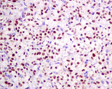
Immunohistochemical analysis of paraffin embedded Human Wilms Tumor tissue using ab150391 at 1/250 dilution showing +ve staining.

This data was developed using the same antibody clone in a different buffer formulation containing PBS, BSA, glycerol, and sodium azide (ab150391).

Heat mediated antigen retrieval was performed before commencing with IHC staining protocol.

Immunohistochemistry (Formalin/PFA-fixed paraffin-embedded sections) - Anti-Pax2 antibody [EPR8586] - BSA and Azide free (AB232460)
  • IHC-P

Unknown

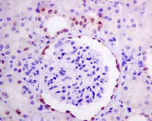
Immunohistochemistry (Formalin/PFA-fixed paraffin-embedded sections) - Anti-Pax2 antibody [EPR8586] - BSA and Azide free (AB232460)

Immunohistochemical analysis of paraffin embedded normal Human kidney tissue using ab150391 at 1/250 dilution showing +ve staining.

This data was developed using the same antibody clone in a different buffer formulation containing PBS, BSA, glycerol, and sodium azide (ab150391).

Heat mediated antigen retrieval was performed before commencing with IHC staining protocol.

Immunohistochemistry (Formalin/PFA-fixed paraffin-embedded sections) - Anti-Pax2 antibody [EPR8586] - BSA and Azide free (AB232460)
  • IHC-P

Supplier Data

Immunohistochemistry (Formalin/PFA-fixed paraffin-embedded sections) - Anti-Pax2 antibody [EPR8586] - BSA and Azide free (AB232460)

Immunohistochemical analysis of paraffin-embedded Human fetal kidney tissue labeling Pax2 with ab150391 at 1/250 dilution.

This data was developed using the same antibody clone in a different buffer formulation containing PBS, BSA, glycerol, and sodium azide (ab150391).

Heat mediated antigen retrieval was performed before commencing with IHC staining protocol.

Immunohistochemistry (Formalin/PFA-fixed paraffin-embedded sections) - Anti-Pax2 antibody [EPR8586] - BSA and Azide free (AB232460)
  • IHC-P

Unknown

Immunohistochemistry (Formalin/PFA-fixed paraffin-embedded sections) - Anti-Pax2 antibody [EPR8586] - BSA and Azide free (AB232460)

Immunohistochemical analysis of paraffin embedded normal Human liver tissue using ab150391 at 1/250 dilution showing -ve staining.

This data was developed using the same antibody clone in a different buffer formulation containing PBS, BSA, glycerol, and sodium azide (ab150391).

Heat mediated antigen retrieval was performed before commencing with IHC staining protocol.

Immunohistochemistry (Formalin/PFA-fixed paraffin-embedded sections) - Anti-Pax2 antibody [EPR8586] - BSA and Azide free (AB232460)
  • IHC-P

Unknown

Immunohistochemistry (Formalin/PFA-fixed paraffin-embedded sections) - Anti-Pax2 antibody [EPR8586] - BSA and Azide free (AB232460)

Immunohistochemical analysis of paraffin embedded normal Human spleen tissue using ab150391 at 1/250 dilution showing -ve staining.

This data was developed using the same antibody clone in a different buffer formulation containing PBS, BSA, glycerol, and sodium azide (ab150391).

Heat mediated antigen retrieval was performed before commencing with IHC staining protocol.

Immunohistochemistry (Formalin/PFA-fixed paraffin-embedded sections) - Anti-Pax2 antibody [EPR8586] - BSA and Azide free (AB232460)
  • IHC-P

Unknown

Immunohistochemistry (Formalin/PFA-fixed paraffin-embedded sections) - Anti-Pax2 antibody [EPR8586] - BSA and Azide free (AB232460)

Immunohistochemical analysis of paraffin embedded normal Human tonsil tissue using ab150391 at 1/250 dilution showing -ve staining.

This data was developed using the same antibody clone in a different buffer formulation containing PBS, BSA, glycerol, and sodium azide (ab150391).

Heat mediated antigen retrieval was performed before commencing with IHC staining protocol.

Immunohistochemistry (Formalin/PFA-fixed paraffin-embedded sections) - Anti-Pax2 antibody [EPR8586] - BSA and Azide free (AB232460)
  • IHC-P

Supplier Data

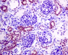
Immunohistochemistry (Formalin/PFA-fixed paraffin-embedded sections) - Anti-Pax2 antibody [EPR8586] - BSA and Azide free (AB232460)

This data was developed using ab150391, the same antibody clone in a different buffer formulation.
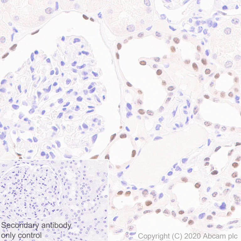
Immunohistochemistry (Formalin/PFA-fixed paraffin-embedded sections) analysis of human kidney tissue sections labeling Pax2 with Purified ab150391 at 1 : 250 dilution (5.35 µg/mL). Heat mediated antigen retrieval was performed using Perform heat mediated antigen retrieval using ab93684 (Tris/EDTA buffer, pH 9.0). Tissue was counterstained with Hematoxylin. ImmunoHistoProbe one step HRP Polymer (ready to use) secondary antibody was used. PBS instead of the primary antibody was used as the negative control.

Key facts

Host species

Rabbit

Clonality

Monoclonal

Clone number

EPR8586

Isotype

IgG

Carrier free

Yes

Reacts with

Human

Applications

WB, IHC-P

applications

Immunogen

The exact immunogen used to generate this antibody is proprietary information.

Reactivity data

{ "title": "Reactivity Data", "filters": { "stats": ["", "Species", "Dilution Info", "Notes"], "tabs": { "all-applications": {"fullname" : "All Applications", "shortname": "All Applications"}, "IHCP" : {"fullname" : "Immunohistochemistry (Formalin/PFA-fixed paraffin-embedded sections)", "shortname":"IHC-P"}, "WB" : {"fullname" : "Western blot", "shortname":"WB"} }, "product-promise": { "all": "all", "testedAndGuaranteed": "tested", "guaranteed": "expected", "predicted": "predicted", "notRecommended": "not-recommended" } }, "values": { "Human": { "IHCP-species-checked": "testedAndGuaranteed", "IHCP-species-dilution-info": "", "IHCP-species-notes": "<p>Heat up to 98°C, below boiling, and then let cool for 10-20 min.</p>", "WB-species-checked": "guaranteed", "WB-species-dilution-info": "", "WB-species-notes": "<p></p>" }, "Mouse": { "IHCP-species-checked": "notRecommended", "IHCP-species-dilution-info": "", "IHCP-species-notes": "<p>Heat up to 98°C, below boiling, and then let cool for 10-20 min.</p>", "WB-species-checked": "notRecommended", "WB-species-dilution-info": "", "WB-species-notes": "<p></p>" }, "Rat": { "IHCP-species-checked": "notRecommended", "IHCP-species-dilution-info": "", "IHCP-species-notes": "<p>Heat up to 98°C, below boiling, and then let cool for 10-20 min.</p>", "WB-species-checked": "notRecommended", "WB-species-dilution-info": "", "WB-species-notes": "<p></p>" } } }

Product details

ab232460 is the carrier-free version of ab150391.

We are constantly working hard to ensure we provide our customers with best in class antibodies. As a result of this work we are pleased to now offer this antibody in purified format. We are in the process of updating our datasheets. The purified format is designated 'PUR' on our product labels. If you have any questions regarding this update, please contact our Scientific Support team.

Patented technology
Our RabMAb® technology is a patented hybridoma-based technology for making rabbit monoclonal antibodies. For details on our patents, please refer to RabMAb® patents.

What are the advantages of a recombinant monoclonal antibody?
This product is a recombinant monoclonal antibody, which offers several advantages including:

  • - High batch-to-batch consistency and reproducibility
  • - Improved sensitivity and specificity
  • - Long-term security of supply
  • - Animal-free batch production

For more information, read more on recombinant antibodies.

Conjugation ready
Our carrier-free antibodies are typically supplied in a PBS-only formulation, purified and free of BSA, sodium azide and glycerol. This conjugation-ready format is designed for use with fluorochromes, metal isotopes, oligonucleotides, and enzymes, which makes them ideal for antibody labelling, functional and cell-based assays, flow-based assays (e.g. mass cytometry) and Multiplex Imaging applications.

Use our conjugation kits for antibody conjugates that are ready-to-use in as little as 20 minutes with 1 minute hands-on-time and 100% antibody recovery: available for fluorescent dyes, HRP, biotin and gold.

Compatibility
This product is compatible with the Maxpar® Antibody Labeling Kit from Fluidigm, without the need for antibody preparation. Maxpar® is a trademark of Fluidigm Canada Inc.

Properties and storage information

Form
Liquid
Purification technique
Affinity purification Protein A
Storage buffer
pH: 7.2 - 7.4 Constituents: PBS
Shipped at conditions
Blue Ice
Appropriate short-term storage conditions
+4°C
Appropriate long-term storage conditions
+4°C
Storage information
Do Not Freeze

Supplementary information

This supplementary information is collated from multiple sources and compiled automatically.

The Pax2 protein also known as Paired Box 2 is a transcription factor with a mass of approximately 47 kDa. It plays an important role in controlling gene expression during embryonic development. Researchers have identified Pax2 expression in the developing central nervous system kidneys and eyes. Pax2 contains a paired domain which enables it to bind to specific DNA sequences and regulate the transcription of target genes by recruiting other proteins and co-factors to chromatin.
Biological function summary

This transcription factor acts as a mediator in developmental processes influencing both organogenesis and tissue differentiation. Pax2 forms part of a transcriptional complex with other Pax family members such as Pax5 and Pax8 which together ensure the proper development of organs like the kidneys and eyes. These interactions allow Pax2 to control cell proliferation differentiation and survival in developing tissues thereby facilitating normal organ formation.

Pathways

Pax2 functions within the Wnt/β-catenin and Sonic Hedgehog signaling pathways. These pathways are important for the regulation of cell fate and patterning during embryogenesis. Pax2 works closely with proteins such as Wnt1 and Gli1 to transduce signals that instruct the development of specific tissues. Pax2's involvement in these pathways demonstrates its critical role in responding to environmental cues that dictate developmental progression.

Pax2 disruption is associated with renal coloboma syndrome and optic nerve coloboma. Mutations in the Pax2 gene can lead to defective kidney development and neurological defects in eye formation due to impaired gene regulation. Pax2 interacts with proteins like WT1 in kidney development where imbalances may contribute to disease phenotypes. Understanding Pax2's connection to these disorders could help in developing targeted therapeutic strategies.

Product protocols

For this product, it's our understanding that no specific protocols are required. You can visit:

Target data

Transcription factor that may have a role in kidney cell differentiation (PubMed : 24676634). Has a critical role in the development of the urogenital tract, the eyes, and the CNS.
See full target information PAX2

Publications (3)

Recent publications for all applications. Explore the full list and refine your search

Stem cell research & therapy 15:148 PubMed38778426

2024

TBX3 transfection and nodal signal pathway inhibition promote differentiation of adipose mesenchymal stem cell to cardiac pacemaker-like cells.

Applications

Unspecified application

Species

Unspecified reactive species

Faris Basalamah,Ismail Hadisoebroto Dilogo,Sunu Budhi Raharjo,Muchtaruddin Mansyur,Nuryati Chairani Siregar,Nurhadi Ibrahim,Budi Yuli Setianto,Yoga Yuniadi

Development (Cambridge, England) 149: PubMed35245348

2022

Selective requirement for polycomb repressor complex 2 in the generation of specific hypothalamic neuronal subtypes.

Applications

Unspecified application

Species

Unspecified reactive species

Behzad Yaghmaeian Salmani,Brad Balderson,Susanne Bauer,Helen Ekman,Annika Starkenberg,Thomas Perlmann,Michael Piper,Mikael Bodén,Stefan Thor

Nucleic acids research 50:1280-1296 PubMed35048973

2022

Variational autoencoding of gene landscapes during mouse CNS development uncovers layered roles of Polycomb Repressor Complex 2.

Applications

Unspecified application

Species

Unspecified reactive species

Ariane Mora,Jonathan Rakar,Ignacio Monedero Cobeta,Behzad Yaghmaeian Salmani,Annika Starkenberg,Stefan Thor,Mikael Bodén
View all publications

Product promise

We are committed to supporting your work with high-quality reagents, and we're here for you every step of the way. In the unlikely event that one of our products does not perform as expected, you're protected by our Product Promise.
For full details, please see our Terms & Conditions

Please note: All products are 'FOR RESEARCH USE ONLY. NOT FOR USE IN DIAGNOSTIC OR THERAPEUTIC PROCEDURES'.

For licensing inquiries, please contact partnerships@abcam.com