JavaScript is disabled in your browser. Please enable JavaScript to view this website.
AB15717

Anti-PAX3 antibody

4

(5 Reviews)

|

(8 Publications)

Goat Polyclonal PAX3 antibody. Suitable for WB, IHC-P and reacts with Human samples. Cited in 8 publications. Immunogen corresponding to Synthetic Peptide within Human PAX3 aa 1-50.

View Alternative Names

HUP2, PAX3, Paired box protein Pax-3, HuP2

3 Images
Immunohistochemistry (Formalin/PFA-fixed paraffin-embedded sections) - Anti-PAX3 antibody (AB15717)
  • IHC-P

AbReview28684****

Immunohistochemistry (Formalin/PFA-fixed paraffin-embedded sections) - Anti-PAX3 antibody (AB15717)

ab15717 staining PAX3 in murine striated muscle tissue by Immunohistochemistry (Formalin/PFA-fixed paraffin-embedded sections).

Tissue was fixed in formaldehyde and a heat mediated antigen retrieval step was performed using citrated buffer pH 6. Samples were then blocked with 1% BSA for 30 minutes at 25°C and then incubated with ab15717 at a 1/100 dilution for 18 hours at 25°C. The secondary used was an undiluted HRP conjugated goat polyclonal.

Image courtesy of an anonymous Abreview.

Western blot - Anti-PAX3 antibody (AB15717)
  • WB

Unknown

Western blot - Anti-PAX3 antibody (AB15717)

All lanes:

Western blot - Anti-PAX3 antibody (ab15717) at 0.3 µg/mL

All lanes:

Human duodenum lysate in RIPA buffer at 35 µg

Predicted band size: 53 kDa

Observed band size: 45 kDa

true

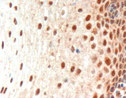
Immunohistochemistry (Formalin/PFA-fixed paraffin-embedded sections) - Anti-PAX3 antibody (AB15717)
  • IHC-P

Unknown

Immunohistochemistry (Formalin/PFA-fixed paraffin-embedded sections) - Anti-PAX3 antibody (AB15717)

ab15717 (3μg/ml) staining of paraffin embedded Human Oesophagus. The tissue sections subjected to antigen retrieval by microwave in Tris/EDTA buffer pH 9.0. The HRP-staining procedure was used for detection.

Key facts

Host species

Goat

Clonality

Polyclonal

Isotype

IgG

Carrier free

No

Reacts with

Human

Applications

WB, IHC-P

applications

Immunogen

Synthetic Peptide within Human PAX3 aa 1-50. The exact immunogen used to generate this antibody is proprietary information.

P23760

Reactivity data

{ "title": "Reactivity Data", "filters": { "stats": ["", "Species", "Dilution Info", "Notes"], "tabs": { "all-applications": {"fullname" : "All Applications", "shortname": "All Applications"}, "WB" : {"fullname" : "Western blot", "shortname":"WB"}, "IHCP" : {"fullname" : "Immunohistochemistry (Formalin/PFA-fixed paraffin-embedded sections)", "shortname":"IHC-P"} }, "product-promise": { "all": "all", "testedAndGuaranteed": "tested", "guaranteed": "expected", "predicted": "predicted", "notRecommended": "not-recommended" } }, "values": { "Human": { "WB-species-checked": "testedAndGuaranteed", "WB-species-dilution-info": "0.3-1 µg/mL", "WB-species-notes": "<p>1 hour primary incubation is recommended for this product.</p>", "IHCP-species-checked": "testedAndGuaranteed", "IHCP-species-dilution-info": "3 µg/mL", "IHCP-species-notes": "<p></p>" }, "Rat": { "WB-species-checked": "predicted", "WB-species-dilution-info": "", "WB-species-notes": "", "IHCP-species-checked": "predicted", "IHCP-species-dilution-info": "", "IHCP-species-notes": "" }, "Chicken": { "WB-species-checked": "predicted", "WB-species-dilution-info": "", "WB-species-notes": "", "IHCP-species-checked": "predicted", "IHCP-species-dilution-info": "", "IHCP-species-notes": "" }, "Dog": { "WB-species-checked": "predicted", "WB-species-dilution-info": "", "WB-species-notes": "", "IHCP-species-checked": "predicted", "IHCP-species-dilution-info": "", "IHCP-species-notes": "" } } }

Properties and storage information

Form
Liquid
Purification technique
Affinity purification Immunogen
Purification notes
Purified from goat serum by ammonium sulphate precipitation followed by antigen affinity chromatography using the immunizing peptide.
Storage buffer
pH: 7.3 Preservative: 0.02% Sodium azide Constituents: Tris buffered saline, 0.5% BSA
Shipped at conditions
Blue Ice
Appropriate short-term storage duration
1-2 weeks
Appropriate short-term storage conditions
+4°C
Appropriate long-term storage conditions
-20°C
Aliquoting information
Upon delivery aliquot
Storage information
Avoid freeze / thaw cycle

Supplementary information

This supplementary information is collated from multiple sources and compiled automatically.

PAX3 also known as Paired Box 3 is a transcription factor that plays a critical role in embryonic development. It carries a molecular mass of approximately 53 kDa. PAX3 expression occurs mainly in the neural tube somites and limb buds where it regulates gene expression necessary for tissue and organ development. PAX3 protein consists of a paired domain and a homeodomain enabling it to bind DNA and control the expression of target genes. In Australia and abroad researchers often rely on specific PAX3 antibodies to study its presence and role in various biological contexts.
Biological function summary

This protein regulates cell proliferation migration and differentiation within the developing nervous system and skeletal muscles. PAX3 forms part of a complex network that influences various developmental pathways. It works in concert with other transcription factors to ensure proper formation of muscle and neural structures. By modulating these processes PAX3 ensures that tissues develop correctly and function in a coordinated manner.

Pathways

Researchers have identified PAX3’s involvement particularly in the development of neural crest cells and myogenesis. It participates in the Wnt signaling pathway where it interacts with proteins like beta-catenin to drive muscle precursor cell formation. Additionally PAX3 has a critical role in the Notch signaling pathway where it overlaps with the function of other transcription factors like MYOD in regulating muscle differentiation. These interactions highlight PAX3's significance in developmental processes.

Mutations in the PAX3 gene have strong associations with Waardenburg syndrome and alveolar rhabdomyosarcoma. In Waardenburg syndrome improper PAX3 function leads to defects in melanocyte differentiation impacting pigmentation and hearing. The connection between PAX3 and alveolar rhabdomyosarcoma involves fusion with the FOXO1 gene forming a chimeric protein that drives oncogenesis. Understanding PAX3’s interactions with other proteins such as MITF in melanocyte function opens avenues for potential therapeutic interventions.

Product protocols

For this product, it's our understanding that no specific protocols are required. You can visit:

Target data

Transcription factor that may regulate cell proliferation, migration and apoptosis. Involved in neural development and myogenesis. Transcriptional activator of MITF, acting synergistically with SOX10 (PubMed : 21965087).
See full target information PAX3

Publications (8)

Recent publications for all applications. Explore the full list and refine your search

Development (Cambridge, England) 149: PubMed36196625

2022

ISL1/SHH/CXCL12 signaling regulates myogenic cell migration during mouse tongue development.

Applications

Unspecified application

Species

Unspecified reactive species

Wei Zhang,Jiaojiao Yu,Guoquan Fu,Jianying Li,Huarong Huang,Jing Liu,Dongliang Yu,Mengsheng Qiu,Feixue Li

Cell & bioscience 11:21 PubMed33468253

2021

Neural stemness contributes to cell tumorigenicity.

Applications

Unspecified application

Species

Unspecified reactive species

Liyang Xu,Min Zhang,Lihua Shi,Xiaoli Yang,Lu Chen,Ning Cao,Anhua Lei,Ying Cao

Cell biology international 44:2131-2139 PubMed32672875

2020

PAX3 silencing inhibits prostate cancer progression through the suppression of the TGF-β/Smad signaling axis.

Applications

Unspecified application

Species

Unspecified reactive species

Ke Zeng,Wenxian Xie,Jun Huang,Jian Yang,Kefei Deng,Xiaohui Luo

Journal of nanobiotechnology 18:76 PubMed32414365

2020

Graphene oxide nanofilm and the addition of L-glutamine can promote development of embryonic muscle cells.

Applications

Unspecified application

Species

Unspecified reactive species

Marlena Zielińska-Górska,Anna Hotowy,Mateusz Wierzbicki,Jaśmina Bałaban,Malwina Sosnowska,Sławomir Jaworski,Barbara Strojny,André Chwalibog,Ewa Sawosz

Frontiers in genetics 10:422 PubMed31130994

2019

EZH2 Regulates Protein Stability via Recruiting USP7 to Mediate Neuronal Gene Expression in Cancer Cells.

Applications

Unspecified application

Species

Unspecified reactive species

Anhua Lei,Lu Chen,Min Zhang,Xiaoli Yang,Liyang Xu,Ning Cao,Zan Zhang,Ying Cao

Histopathology 64:807-17 PubMed24438019

2014

Immunohistochemical expression of homeoproteins Six1 and Pax3 in breast phyllodes tumours correlates with histological grade and clinical outcome.

Applications

Unspecified application

Species

Unspecified reactive species

Wai Jin Tan,Aye Aye Thike,Boon Huat Bay,Puay Hoon Tan

Nature cell biology 13:958-65 PubMed21743466

2011

Mir193b-365 is essential for brown fat differentiation.

Applications

WB

Species

Unspecified reactive species

Lei Sun,Huangming Xie,Marcelo A Mori,Ryan Alexander,Bingbing Yuan,Shilpa M Hattangadi,Qingqing Liu,C Ronald Kahn,Harvey F Lodish

Cancer research 68:10205-14 PubMed19074888

2008

Wnt5A regulates expression of tumor-associated antigens in melanoma via changes in signal transducers and activators of transcription 3 phosphorylation.

Applications

WB

Species

Human

Samudra K Dissanayake,Purevdorj B Olkhanud,Michael P O'Connell,Arnell Carter,Amanda D French,Tura C Camilli,Chineye D Emeche,Kyle J Hewitt,Devin T Rosenthal,Poloko D Leotlela,Michael S Wade,Sherry W Yang,Larry Brant,Brian J Nickoloff,Jane L Messina,Arya Biragyn,Keith S Hoek,Dennis D Taub,Dan L Longo,Vernon K Sondak,Stephen M Hewitt,Ashani T Weeraratna
View all publications

Product promise

We are committed to supporting your work with high-quality reagents, and we're here for you every step of the way. In the unlikely event that one of our products does not perform as expected, you're protected by our Product Promise.
For full details, please see our Terms & Conditions

Please note: All products are 'FOR RESEARCH USE ONLY. NOT FOR USE IN DIAGNOSTIC OR THERAPEUTIC PROCEDURES'.

For licensing inquiries, please contact partnerships@abcam.com