JavaScript is disabled in your browser. Please enable JavaScript to view this website.
AB211293

Anti-PAX5 antibody [1H9]

Be the first to review this product! Submit a review

|

(3 Publications)

Rat Recombinant Monoclonal PAX5 antibody. Suitable for IHC-P, WB and reacts with Mouse, Human samples. Cited in 3 publications.

View Alternative Names

Paired box protein Pax-5, B-cell-specific transcription factor, BSAP, PAX5

3 Images
Immunohistochemistry (Formalin/PFA-fixed paraffin-embedded sections) - Anti-PAX5 antibody [1H9] (AB211293)
  • IHC-P

Lab

Immunohistochemistry (Formalin/PFA-fixed paraffin-embedded sections) - Anti-PAX5 antibody [1H9] (AB211293)

IHC image of PAX5 staining in a section of formalin-fixed paraffin-embedded normal human TONSIL* performed on a Leica BOND™ system using the standard Protocol F. The section was pre-treated using heat mediated antigen retrieval with sodium citrate buffer (pH6, epitope retrieval solution 1) for 20mins. The section was then incubated with ab211293, 0.73 μg/ml, for 15 mins at room temperature and detected using an HRP conjugated compact polymer system. DAB was used as the chromogen. The section was then counterstained with hematoxylin and mounted with DPX. The inset secondary-only control image is taken from an identical assay without primary antibody.

For other IHC staining systems (automated and non-automated) customers should optimize variable parameters such as antigen retrieval conditions, primary antibody concentration and antibody incubation times.

*Tissue obtained from the Human Research Tissue Bank, supported by the NIHR Cambridge Biomedical Research Centre.

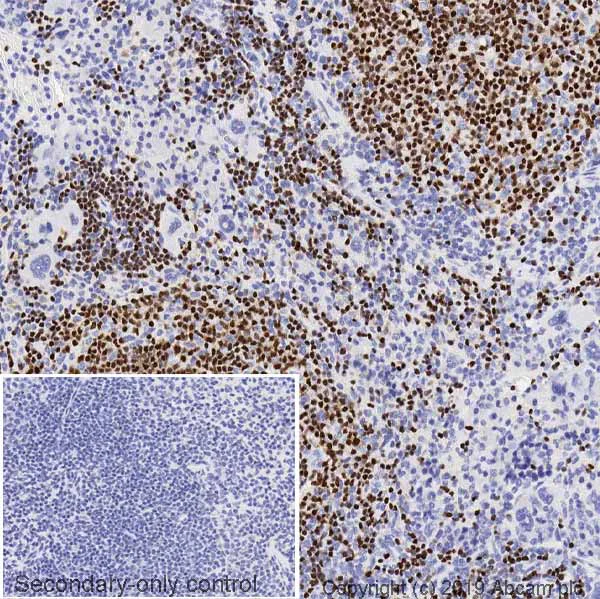
Immunohistochemistry (Formalin/PFA-fixed paraffin-embedded sections) - Anti-PAX5 antibody [1H9] (AB211293)
  • IHC-P

Lab

Immunohistochemistry (Formalin/PFA-fixed paraffin-embedded sections) - Anti-PAX5 antibody [1H9] (AB211293)

IHC image of PAX5 staining in a section of formalin-fixed paraffin-embedded normal mouse spleen performed on a Leica BOND™ system using the standard Protocol F. The section was pre-treated using heat mediated antigen retrieval with sodium citrate buffer (pH6, epitope retrieval solution 1) for 20mins. The section was then incubated with ab211293, 0.73μg/ml, for 15 mins at room temperature and detected using an HRP conjugated compact polymer system. DAB was used as the chromogen. The section was then counterstained with hematoxylin and mounted with DPX. The inset secondary-only control image is taken from an identical assay without primary antibody.

For other IHC staining systems (automated and non-automated) customers should optimize variable parameters such as antigen retrieval conditions, primary antibody concentration and antibody incubation times.

Western blot - Anti-PAX5 antibody [1H9] (AB211293)
  • WB

Lab

Western blot - Anti-PAX5 antibody [1H9] (AB211293)

This blot was produced using a 4-20% Criterion TGX gel in 1X SDS buffer. The gel was run at 180V for 40 minutes before being transferred onto a Nitrocellulose membrane at 25V for 7 minutes using the Trans-Blot turbo transfer system. The membrane was then blocked for an hour using 3% milk before being incubated with ab211293 overnight at 4°C at 1μg/ml. Antibody binding was detected using a Goat anti-Rat antibody conjugated to HRP, and visualised using Bio-Rad Clarity Western ECL substrate.

All lanes:

Western blot - Anti-PAX5 antibody [1H9] (ab211293) at 1 µg/mL

Lane 1:

Human tonsil whole tissue lysate at 20 µg

Lane 2:

Ramos whole cell lysate at 20 µg

Lane 3:

Daudi whole cell lysate at 20 µg

Lane 4:

Mouse spleen whole tissue lysate at 20 µg

Lane 5:

Rat spleen whole tissue lysate at 20 µg

Secondary

All lanes:

Western blot - Goat Anti-Rat IgG H&L (HRP) preadsorbed (<a href='/en-us/products/secondary-antibodies/goat-rat-igg-h-l-hrp-preadsorbed-ab7097'>ab7097</a>)

Predicted band size: 42 kDa

Observed band size: 45 kDa

true

Exposure time: 10s

  • Carrier free

    Anti-PAX5 antibody [1H9] - BSA and Azide free

Key facts

Host species

Rat

Clonality

Monoclonal

Clone number

1H9

Isotype

IgG2a

Light chain type

kappa

Carrier free

No

Reacts with

Mouse, Human

Applications

WB, IHC-P

applications

Immunogen

The exact immunogen used to generate this antibody is proprietary information.

Reactivity data

{ "title": "Reactivity Data", "filters": { "stats": ["", "Species", "Dilution Info", "Notes"], "tabs": { "all-applications": {"fullname" : "All Applications", "shortname": "All Applications"}, "IHCP" : {"fullname" : "Immunohistochemistry (Formalin/PFA-fixed paraffin-embedded sections)", "shortname":"IHC-P"}, "WB" : {"fullname" : "Western blot", "shortname":"WB"} }, "product-promise": { "all": "all", "testedAndGuaranteed": "tested", "guaranteed": "expected", "predicted": "predicted", "notRecommended": "not-recommended" } }, "values": { "Human": { "IHCP-species-checked": "testedAndGuaranteed", "IHCP-species-dilution-info": "0.73 µg/mL", "IHCP-species-notes": "<p></p>", "WB-species-checked": "testedAndGuaranteed", "WB-species-dilution-info": "0.365 µg/mL", "WB-species-notes": "<p></p>" }, "Mouse": { "IHCP-species-checked": "testedAndGuaranteed", "IHCP-species-dilution-info": "0.73 µg/mL", "IHCP-species-notes": "<p></p>", "WB-species-checked": "testedAndGuaranteed", "WB-species-dilution-info": "0.365 µg/mL", "WB-species-notes": "<p></p>" } } }

Product details

What are the advantages of a recombinant monoclonal antibody?
This product is a recombinant monoclonal antibody, which offers several advantages including:

  • - High batch-to-batch consistency and reproducibility
  • - Improved sensitivity and specificity
  • - Long-term security of supply
  • - Animal-free batch production

For more information, read more on recombinant antibodies.

Want a custom formulation?
This antibody clone is manufactured by Abcam. If you require a custom buffer formulation or conjugation for your experiments, please contact orders@abcam.com

Properties and storage information

Form
Liquid
Purification technique
Ion exchange chromatography
Storage buffer
pH: 7.2 - 7.4 Preservative: 0.09% Sodium azide
Shipped at conditions
Blue Ice
Appropriate short-term storage duration
1-2 weeks
Appropriate short-term storage conditions
+4°C
Appropriate long-term storage conditions
-20°C
Aliquoting information
Upon delivery aliquot
Storage information
Avoid freeze / thaw cycle

Supplementary information

This supplementary information is collated from multiple sources and compiled automatically.

PAX5 also called B-cell-specific activator protein (BSAP) plays an important role in regulating gene expression during B-cell development. PAX5 is a transcription factor with an approximate mass of 50-55 kDa. It expresses mainly in B cells and in certain regions of the brain and testis. This protein binds DNA and controls the transcription of genes necessary for B-cell commitment and identity. Through processes like alternative splicing PAX5 generates multiple isoforms that contribute to various functional roles in its expressed locations.
Biological function summary

PAX5 regulates the differentiation and maintenance of B-lymphocytes. It controls various genes critical for B-cell lineage commitment while repressing those involved in other lineages like T-cells and myeloid cells. PAX5 is part of a larger transcriptional complex interacting with other transcription factors to perform its function. During B-cell maturation PAX5 activates a specific gene set that helps shape the B-cell receptor repertoire a process important for effective immune responses.

Pathways

PAX5 integrates into key pathways such as the B-cell receptor signaling and JAK-STAT pathways. These pathways regulate processes like cell proliferation differentiation and apoptosis. In the B-cell receptor signaling PAX5 works alongside proteins like CD19 and BTK facilitating the transmission of activation signals necessary for B-cell survival. Connections in the JAK-STAT pathway involve interactions that promote gene expression changes necessary for B-cell functional activity further modulating the immune system's readiness.

PAX5 is significantly associated with B-cell acute lymphoblastic leukemia (B-ALL) and non-Hodgkin lymphoma. In B-ALL mutations or deletions in PAX5 often lead to impaired B-cell development and uncontrolled cell proliferation. PAX5 mutations influence proteins like EBF1 and IL7R which are pivotal in B-cell progenitor activity and leukemogenesis. abnormalities in PAX5 expression or function can disrupt normal immune function leading to B-cell associated cancers and impairing immune surveillance highlighting its importance in maintaining immune system health.

Product protocols

For this product, it's our understanding that no specific protocols are required. You can visit:

Target data

Transcription factor that plays an essential role in commitment of lymphoid progenitors to the B-lymphocyte lineage (PubMed : 10811620, PubMed : 27181361). Fulfills a dual role by repressing B-lineage inappropriate genes and simultaneously activating B-lineage-specific genes (PubMed : 10811620, PubMed : 27181361). In turn, regulates cell adhesion and migration, induces V(H)-to-D(H)J(H) recombination, facilitates pre-B-cell receptor signaling and promotes development to the mature B-cell stage (PubMed : 32612238). Repression of the cohesin-release factor WAPL causes global changes of the chromosomal architecture in pro-B cells to facilitate the generation of a diverse antibody repertoire (PubMed : 32612238).. (Microbial infection) Plays an essential role in the maintenance of Epstein-Barr virus genome copy number within the host cell by promoting EBNA1/oriP-dependent binding and transcription (PubMed : 31941781). Participates also in the inhibition of lytic EBV reactivation by modulating viral BZLF1 activity (PubMed : 23678172).
See full target information PAX5

Publications (3)

Recent publications for all applications. Explore the full list and refine your search

Scientific reports 15:35547 PubMed41073566

2025

Total flavonoids of rhizoma drynariae improved the osteogenic and pro-angiogenic capacities of BMSCs to accelerate long bone regeneration.

Applications

Unspecified application

Species

Unspecified reactive species

Hengjun Huang,Silu Li,Huang Zhan,Fenfang Gong,Jian Liu,Zhenya Liu,Hui Li,Chengyu Yang

Cancers 13: PubMed33670870

2021

Apoptotic Blocks in Primary Non-Hodgkin B Cell Lymphomas Identified by BH3 Profiling.

Applications

Unspecified application

Species

Unspecified reactive species

Ryan N Rys,Claudia M Wever,Dominique Geoffrion,Christophe Goncalves,Artin Ghassemian,Eugene Brailovski,Jeremy Ryan,Liliana Stoica,Josée Hébert,Tina Petrogiannis-Haliotis,Svetlana Dmitrienko,Saul Frenkiel,Annette Staiger,German Ott,Christian Steidl,David W Scott,Pierre Sesques,Sonia Del Rincon,Koren K Mann,Anthony Letai,Nathalie A Johnson

Immunity 26:555-66 PubMed17509907

2007

Initiation of plasma-cell differentiation is independent of the transcription factor Blimp-1.

Applications

WB

Species

Unspecified reactive species

Axel Kallies,Jhagvaral Hasbold,Kirsten Fairfax,Clare Pridans,Dianne Emslie,Brent S McKenzie,Andrew M Lew,Lynn M Corcoran,Philip D Hodgkin,David M Tarlinton,Stephen L Nutt
View all publications

Product promise

We are committed to supporting your work with high-quality reagents, and we're here for you every step of the way. In the unlikely event that one of our products does not perform as expected, you're protected by our Product Promise.
For full details, please see our Terms & Conditions

Please note: All products are 'FOR RESEARCH USE ONLY. NOT FOR USE IN DIAGNOSTIC OR THERAPEUTIC PROCEDURES'.

For licensing inquiries, please contact partnerships@abcam.com