JavaScript is disabled in your browser. Please enable JavaScript to view this website.
AB193556

Anti-PAX5 antibody [EPR3730(2)] - BSA and Azide free

Be the first to review this product! Submit a review

|

(1 Publication)

Rabbit Recombinant Monoclonal PAX5 antibody. Carrier free. Suitable for IHC-P, IP, ChIP, WB, ICC/IF, Flow Cyt (Intra) and reacts with Human, Rat, Mouse samples. Cited in 1 publication.

View Alternative Names

Paired box protein Pax-5, B-cell-specific transcription factor, BSAP, PAX5

15 Images
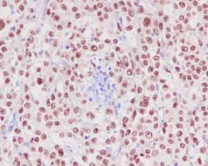
Immunohistochemistry (Formalin/PFA-fixed paraffin-embedded sections) - Anti-PAX5 antibody [EPR3730(2)] - BSA and Azide free (AB193556)
  • IHC-P

Unknown

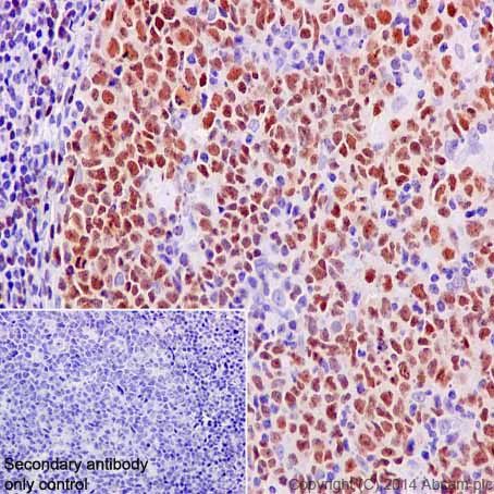
Immunohistochemistry (Formalin/PFA-fixed paraffin-embedded sections) - Anti-PAX5 antibody [EPR3730(2)] - BSA and Azide free (AB193556)

Immunohistochemistry (Formalin/PFA-fixed paraffin-embedded sections) analysis of human normal spleen tissue labelling PAX5 with unpurified ab109443.

This data was developed using the same antibody clone in a different buffer formulation containing PBS, BSA, glycerol, and sodium azide (ab109443).

Perform heat mediated antigen retrieval before commencing with IHC staining protocol.

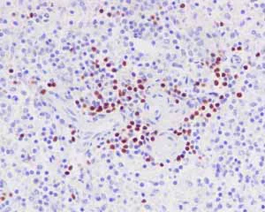
Immunohistochemistry (Formalin/PFA-fixed paraffin-embedded sections) - Anti-PAX5 antibody [EPR3730(2)] - BSA and Azide free (AB193556)
  • IHC-P

Unknown

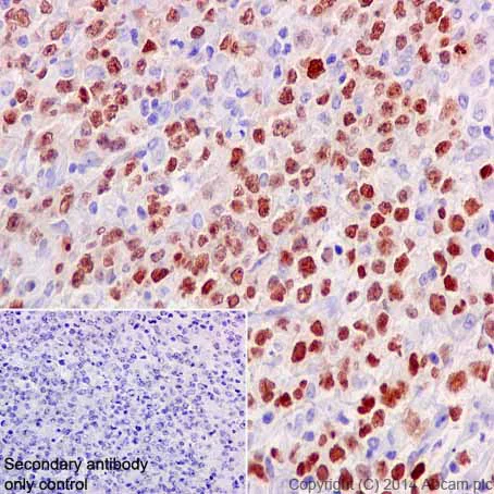
Immunohistochemistry (Formalin/PFA-fixed paraffin-embedded sections) - Anti-PAX5 antibody [EPR3730(2)] - BSA and Azide free (AB193556)

Immunohistochemistry (Formalin/PFA-fixed paraffin-embedded sections) analysis of human tonsil tissue labelling PAX5 with unpurified ab109443.

This data was developed using the same antibody clone in a different buffer formulation containing PBS, BSA, glycerol, and sodium azide (ab109443).

Perform heat mediated antigen retrieval before commencing with IHC staining protocol.

Immunohistochemistry (Formalin/PFA-fixed paraffin-embedded sections) - Anti-PAX5 antibody [EPR3730(2)] - BSA and Azide free (AB193556)
  • IHC-P

Unknown

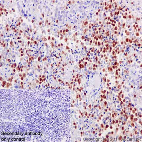
Immunohistochemistry (Formalin/PFA-fixed paraffin-embedded sections) - Anti-PAX5 antibody [EPR3730(2)] - BSA and Azide free (AB193556)

Immunohistochemistry (Formalin/PFA-fixed paraffin-embedded sections) analysis of human Hodgkin's lymphoma tissue labelling PAX5 with unpurified ab109443.

This data was developed using the same antibody clone in a different buffer formulation containing PBS, BSA, glycerol, and sodium azide (ab109443).

Perform heat mediated antigen retrieval before commencing with IHC staining protocol.

Immunocytochemistry/ Immunofluorescence - Anti-PAX5 antibody [EPR3730(2)] - BSA and Azide free (AB193556)
  • ICC/IF

Lab

Immunocytochemistry/ Immunofluorescence - Anti-PAX5 antibody [EPR3730(2)] - BSA and Azide free (AB193556)

Immunocytochemistry/Immunofluorescence analysis of Ramos cells labelling PAX5 with purified ab109443 at 1/250. Cells were fixed with 4% paraformaldehyde and permeabilized with 0.1% Triton X-100. ab150077, an Alexa Fluor® 488-conjugated goat anti-rabbit IgG (1/500) was used as the secondary antibody. DAPI (blue) was used as the nuclear counterstain. ab7291, a mouse anti-tubulin (1/1000) and ab150120, an Alexa Fluor® 594-conjugated goat anti-mouse IgG (1/500) were also used.

Control 1 : primary antibody (1/250) and secondary antibody, ab150120, an Alexa Fluor® 594-conjugated goat anti-mouse IgG (1/500).

Control 2 : ab7291 (1/1000) and secondary antibody, ab150077, an Alexa Fluor® 488-conjugated goat anti-rabbit IgG (1/500).

This data was developed using the same antibody clone in a different buffer formulation containing PBS, BSA, glycerol, and sodium azide (ab109443).

Immunohistochemistry (Formalin/PFA-fixed paraffin-embedded sections) - Anti-PAX5 antibody [EPR3730(2)] - BSA and Azide free (AB193556)
  • IHC-P

Lab

Immunohistochemistry (Formalin/PFA-fixed paraffin-embedded sections) - Anti-PAX5 antibody [EPR3730(2)] - BSA and Azide free (AB193556)

Immunohistochemistry (Formalin/PFA-fixed paraffin-embedded sections) analysis of human B-cell lymphoma tissue labelling PAX5 with purified ab109443 at 1/1000. Heat mediated antigen retrieval was performed using Tris/EDTA buffer pH 9. ab97051, a HRP-conjugated goat anti-rabbit IgG (H+L) was used as the secondary antibody (1/500). Negative control using PBS instead of primary antibody. Counterstained with hematoxylin.

This data was developed using the same antibody clone in a different buffer formulation containing PBS, BSA, glycerol, and sodium azide (ab109443).

Flow Cytometry (Intracellular) - Anti-PAX5 antibody [EPR3730(2)] - BSA and Azide free (AB193556)
  • Flow Cyt (Intra)

Unknown

Flow Cytometry (Intracellular) - Anti-PAX5 antibody [EPR3730(2)] - BSA and Azide free (AB193556)

Overlay histogram showing Ramos cells stained with unpurified ab109443 (red line). The cells were fixed with 80% methanol (5 min) and then permeabilized with 0.1% PBS-Tween for 20 min. The cells were then incubated in 1x PBS / 10% normal goat serum / 0.3M glycine to block non-specific protein-protein interactions followed by the antibody (unpurified ab109443, 1/100 dilution) for 30 min at 22°C. The secondary antibody used was DyLight® 488 goat anti-rabbit IgG (H+L) (ab96899) at 1/500 dilution for 30 min at 22°C. Isotype control antibody (black line) was rabbit IgG (monoclonal) (1μg/1x106 cells) used under the same conditions. Acquisition of >5,000 events was performed.

This data was developed using the same antibody clone in a different buffer formulation containing PBS, BSA, glycerol, and sodium azide (ab109443).

Immunohistochemistry (Formalin/PFA-fixed paraffin-embedded sections) - Anti-PAX5 antibody [EPR3730(2)] - BSA and Azide free (AB193556)
  • IHC-P

Unknown

Immunohistochemistry (Formalin/PFA-fixed paraffin-embedded sections) - Anti-PAX5 antibody [EPR3730(2)] - BSA and Azide free (AB193556)

Immunohistochemistry (Formalin/PFA-fixed paraffin-embedded sections) analysis of human diffuse B-cell lymphoma tissue labelling PAX5 with unpurified ab109443.

This data was developed using the same antibody clone in a different buffer formulation containing PBS, BSA, glycerol, and sodium azide (ab109443).

Perform heat mediated antigen retrieval before commencing with IHC staining protocol.

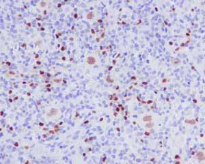
Immunohistochemistry (Formalin/PFA-fixed paraffin-embedded sections) - Anti-PAX5 antibody [EPR3730(2)] - BSA and Azide free (AB193556)
  • IHC-P

Unknown

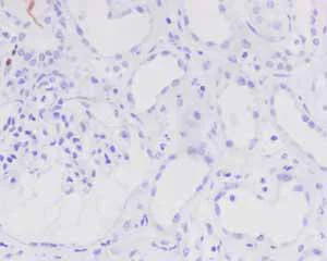
Immunohistochemistry (Formalin/PFA-fixed paraffin-embedded sections) - Anti-PAX5 antibody [EPR3730(2)] - BSA and Azide free (AB193556)

ab109443 showing negative staining in Normal kidney tissue.

This data was developed using the same antibody clone in a different buffer formulation containing PBS, BSA, glycerol, and sodium azide (ab109443).

Perform heat mediated antigen retrieval before commencing with IHC staining protocol.

Immunohistochemistry (Formalin/PFA-fixed paraffin-embedded sections) - Anti-PAX5 antibody [EPR3730(2)] - BSA and Azide free (AB193556)
  • IHC-P

Lab

Immunohistochemistry (Formalin/PFA-fixed paraffin-embedded sections) - Anti-PAX5 antibody [EPR3730(2)] - BSA and Azide free (AB193556)

Immunohistochemistry (Formalin/PFA-fixed paraffin-embedded sections) analysis of human tonsil tissue labelling PAX5 with purified ab109443 at 1/1000. Heat mediated antigen retrieval was performed using Tris/EDTA buffer pH 9. ab97051, a HRP-conjugated goat anti-rabbit IgG (H+L) was used as the secondary antibody (1/500). Negative control using PBS instead of primary antibody. Counterstained with hematoxylin.

This data was developed using the same antibody clone in a different buffer formulation containing PBS, BSA, glycerol, and sodium azide (ab109443).

Flow Cytometry (Intracellular) - Anti-PAX5 antibody [EPR3730(2)] - BSA and Azide free (AB193556)
  • Flow Cyt (Intra)

Lab

Flow Cytometry (Intracellular) - Anti-PAX5 antibody [EPR3730(2)] - BSA and Azide free (AB193556)

Intracellular Flow Cytometry analysis of Ramos cells labelling PAX5 with purified ab109443 at 1/30 (red). Cells were fixed with 80% methanol. A FITC-conjugated goat anti-rabbit IgG (1/150) was used as the secondary antibody. Black - Isotype control, rabbit monoclonal IgG. Blue - Unlabelled control, cells without incubation with primary and secondary antibodies.

This data was developed using the same antibody clone in a different buffer formulation containing PBS, BSA, glycerol, and sodium azide (ab109443).

Immunoprecipitation - Anti-PAX5 antibody [EPR3730(2)] - BSA and Azide free (AB193556)
  • IP

Lab

Immunoprecipitation - Anti-PAX5 antibody [EPR3730(2)] - BSA and Azide free (AB193556)

ab109443 (purified) at 1/20 dilution immunoprecipitating PAX5 in Ramos (Human Burkitt's lymphoma B lymphocyte) whole cell lysate 10 μg.

Lane 1 (input) : Ramos (Human Burkitt's lymphoma B lymphocyte) whole cell lysate 10 μg
Lane 2 (+) : ab109443 & Ramos whole cell lysate
Lane 3 (-) : Rabbit monoclonal IgG (ab172730) instead of ab109443 in Ramos whole cell lysate

For western blotting, ab109443 at 1/500 dilution (0.268 μg/mL) and veriBlot for IP secondary antibody (HRP) (ab131366) at 1/1000 dilution was used.

Blocking and diluting buffer : 5% NFDM /TBST.

This data was developed using the same antibody clone in a different buffer formulation containing PBS, BSA, glycerol, and sodium azide (ab109443)

All lanes:

Immunoprecipitation - Anti-PAX5 antibody [EPR3730(2)] (<a href='/en-us/products/primary-antibodies/pax5-antibody-epr37302-ab109443'>ab109443</a>)

Predicted band size: 42 kDa

false

ChIP - Anti-PAX5 antibody [EPR3730(2)] - BSA and Azide free (AB193556)
  • ChIP

Lab

ChIP - Anti-PAX5 antibody [EPR3730(2)] - BSA and Azide free (AB193556)

Chromatin was prepared from Ramos cells according to the Abcam Dual-X-ChIP protocol*. Cells were fixed with 1.5 mM EGS for 30mins and then formaldehyde for 10min.
The ChIP was performed with 25 μg of chromatin, 5 μg of abzz (red), or 5 μg of rabbit normal IgG ab172730 (gray) and 25 μl of Protein A/G Dynabeads. The immunoprecipitated DNA was quantified by real time PCR (Sybr green approach).
Primers and probes are from paper PMID : 19806612
*http : //www.abcam.com/resources?keywords=X%20ChIP%20protocol

This data was developed using the same antibody clone in a different buffer formulation containing PBS, BSA, glycerol, and sodium azide (ab109443).

Immunohistochemistry (Formalin/PFA-fixed paraffin-embedded sections) - Anti-PAX5 antibody [EPR3730(2)] - BSA and Azide free (AB193556)
  • IHC-P

Lab

Immunohistochemistry (Formalin/PFA-fixed paraffin-embedded sections) - Anti-PAX5 antibody [EPR3730(2)] - BSA and Azide free (AB193556)

Immunohistochemistry (Formalin/PFA-fixed paraffin-embedded sections) analysis of rat spleen tissue labelling PAX5 with purified ab109443 at 1/1000. Heat mediated antigen retrieval was performed using Tris/EDTA buffer pH 9. ab97051, a HRP-conjugated goat anti-rabbit IgG (H+L) was used as the secondary antibody (1/500). Negative control using PBS instead of primary antibody. Counterstained with hematoxylin.

This data was developed using the same antibody clone in a different buffer formulation containing PBS, BSA, glycerol, and sodium azide (ab109443).

Immunoprecipitation - Anti-PAX5 antibody [EPR3730(2)] - BSA and Azide free (AB193556)
  • IP

Lab

Immunoprecipitation - Anti-PAX5 antibody [EPR3730(2)] - BSA and Azide free (AB193556)

ab109443 (purified) at 1/20 dilution immunoprecipitating PAX5 in mouse spleen lysate 10 μg.
Lane 1 (input) : mouse spleen lysate 10 μg
Lane 2 (+) : ab109443 & mouse spleen lysate
Lane 3 (-) : Rabbit monoclonal IgG (ab172730) instead of ab109443 in mouse spleen lysate

For western blotting, ab109443 at 1/500 dilution (0.268 μg/mL) and veriBlot for IP secondary antibody (HRP) (ab131366) at 1/1000 dilution was used.

Blocking and diluting buffer : 5% NFDM /TBST.

This data was developed using the same antibody clone in a different buffer formulation containing PBS, BSA, glycerol, and sodium azide (ab109443)

All lanes:

Immunoprecipitation - Anti-PAX5 antibody [EPR3730(2)] (<a href='/en-us/products/primary-antibodies/pax5-antibody-epr37302-ab109443'>ab109443</a>)

Predicted band size: 42 kDa

false

OI-RD Scanning - Anti-PAX5 antibody [EPR3730(2)] - BSA and Azide free (AB193556)
  • OI-RD Scanning

Unknown

OI-RD Scanning - Anti-PAX5 antibody [EPR3730(2)] - BSA and Azide free (AB193556)

We have systematically measured KD (the equilibrium dissociation constant between the antibody and its antigen), of more than 840 recombinant antibodies to assess not only their individual KD values but also to see the average affinity of antibody. Based on the comparison with published literature values for mouse monoclonal antibodies, Recombinant antibodies appear to be on average 1-2 order of magnitude higher affinity.

  • Unconjugated

    Anti-PAX5 antibody [EPR3730(2)]

  • 519 Alexa Fluor® 488

    Alexa Fluor® 488 Anti-PAX5 antibody [EPR3730(2)]

  • 565 Alexa Fluor® 555

    Alexa Fluor® 555 Anti-PAX5 antibody [EPR3730(2)]

  • 617 Alexa Fluor® 594

    Alexa Fluor® 594 Anti-PAX5 antibody [EPR3730(2)]

  • 660 APC

    APC Anti-PAX5 antibody [EPR3730(2)]

  • 775 Alexa Fluor® 750

    Alexa Fluor® 750 Anti-PAX5 antibody [EPR3730(2)]

  • HRP

    HRP Anti-PAX5 antibody [EPR3730(2)]

  • 665 Alexa Fluor® 647

    Alexa Fluor® 647 Anti-PAX5 antibody [EPR3730(2)]

  • 578 PE

    PE Anti-PAX5 antibody [EPR3730(2)]

  • Biotin

    Biotin Anti-PAX5 antibody [EPR3730(2)]

Key facts

Host species

Rabbit

Clonality

Monoclonal

Clone number

EPR3730(2)

Isotype

IgG

Carrier free

Yes

Reacts with

Mouse, Rat, Human

Applications

Flow Cyt (Intra), ICC/IF, IHC-P, ChIP, IP, WB

applications

Immunogen

The exact immunogen used to generate this antibody is proprietary information.

Reactivity data

{ "title": "Reactivity Data", "filters": { "stats": ["", "Species", "Dilution Info", "Notes"], "tabs": { "all-applications": {"fullname" : "All Applications", "shortname": "All Applications"}, "IHCP" : {"fullname" : "Immunohistochemistry (Formalin/PFA-fixed paraffin-embedded sections)", "shortname":"IHC-P"}, "IP" : {"fullname" : "Immunoprecipitation", "shortname":"IP"}, "ChIP" : {"fullname" : "ChIP", "shortname":"ChIP"}, "WB" : {"fullname" : "Western blot", "shortname":"WB"}, "ICCIF" : {"fullname" : "Immunocytochemistry/ Immunofluorescence", "shortname":"ICC/IF"}, "FlowCytIntra" : {"fullname" : "Flow Cytometry (Intracellular)", "shortname":"Flow Cyt (Intra)"} }, "product-promise": { "all": "all", "testedAndGuaranteed": "tested", "guaranteed": "expected", "predicted": "predicted", "notRecommended": "not-recommended" } }, "values": { "Human": { "IHCP-species-checked": "testedAndGuaranteed", "IHCP-species-dilution-info": "", "IHCP-species-notes": "<p></p>", "IP-species-checked": "testedAndGuaranteed", "IP-species-dilution-info": "", "IP-species-notes": "<p></p>", "ChIP-species-checked": "testedAndGuaranteed", "ChIP-species-dilution-info": "", "ChIP-species-notes": "<p></p>", "WB-species-checked": "guaranteed", "WB-species-dilution-info": "", "WB-species-notes": "<p></p>", "ICCIF-species-checked": "testedAndGuaranteed", "ICCIF-species-dilution-info": "", "ICCIF-species-notes": "<p></p>", "FlowCytIntra-species-checked": "testedAndGuaranteed", "FlowCytIntra-species-dilution-info": "", "FlowCytIntra-species-notes": "<p><a href='/en-us/products/primary-antibodies/rabbit-igg-monoclonal-epr25a-isotype-control-low-endotoxin-azide-free-ab199376'>ab199376</a> - Rabbit monoclonal IgG, is suitable for use as an isotype control with this antibody.</p>" }, "Mouse": { "IHCP-species-checked": "guaranteed", "IHCP-species-dilution-info": "", "IHCP-species-notes": "", "IP-species-checked": "testedAndGuaranteed", "IP-species-dilution-info": "", "IP-species-notes": "<p></p>", "ChIP-species-checked": "guaranteed", "ChIP-species-dilution-info": "", "ChIP-species-notes": "", "WB-species-checked": "guaranteed", "WB-species-dilution-info": "", "WB-species-notes": "<p></p>", "ICCIF-species-checked": "guaranteed", "ICCIF-species-dilution-info": "", "ICCIF-species-notes": "", "FlowCytIntra-species-checked": "guaranteed", "FlowCytIntra-species-dilution-info": "", "FlowCytIntra-species-notes": "" }, "Rat": { "IHCP-species-checked": "testedAndGuaranteed", "IHCP-species-dilution-info": "", "IHCP-species-notes": "<p></p>", "IP-species-checked": "guaranteed", "IP-species-dilution-info": "", "IP-species-notes": "", "ChIP-species-checked": "guaranteed", "ChIP-species-dilution-info": "", "ChIP-species-notes": "", "WB-species-checked": "guaranteed", "WB-species-dilution-info": "", "WB-species-notes": "<p></p>", "ICCIF-species-checked": "guaranteed", "ICCIF-species-dilution-info": "", "ICCIF-species-notes": "", "FlowCytIntra-species-checked": "guaranteed", "FlowCytIntra-species-dilution-info": "", "FlowCytIntra-species-notes": "" } } }

Product details

ab193556 is the carrier-free version of ab109443.

Patented technology
Our RabMAb® technology is a patented hybridoma-based technology for making rabbit monoclonal antibodies. For details on our patents, please refer to RabMAb® patents.

What are the advantages of a recombinant monoclonal antibody?
This product is a recombinant monoclonal antibody, which offers several advantages including:

  • - High batch-to-batch consistency and reproducibility
  • - Improved sensitivity and specificity
  • - Long-term security of supply
  • - Animal-free batch production

For more information, read more on recombinant antibodies.

Conjugation ready
Our carrier-free antibodies are typically supplied in a PBS-only formulation, purified and free of BSA, sodium azide and glycerol. This conjugation-ready format is designed for use with fluorochromes, metal isotopes, oligonucleotides, and enzymes, which makes them ideal for antibody labelling, functional and cell-based assays, flow-based assays (e.g. mass cytometry) and Multiplex Imaging applications.

Use our conjugation kits for antibody conjugates that are ready-to-use in as little as 20 minutes with 1 minute hands-on-time and 100% antibody recovery: available for fluorescent dyes, HRP, biotin and gold.

Compatibility
This product is compatible with the Maxpar® Antibody Labeling Kit from Fluidigm, without the need for antibody preparation. Maxpar® is a trademark of Fluidigm Canada Inc.

Properties and storage information

Form
Liquid
Purification technique
Affinity purification Protein A
Storage buffer
pH: 7.2 - 7.4 Constituents: PBS
Shipped at conditions
Blue Ice
Appropriate short-term storage conditions
+4°C
Appropriate long-term storage conditions
+4°C
Storage information
Do Not Freeze

Supplementary information

This supplementary information is collated from multiple sources and compiled automatically.

PAX5 also called B-cell-specific activator protein (BSAP) plays an important role in regulating gene expression during B-cell development. PAX5 is a transcription factor with an approximate mass of 50-55 kDa. It expresses mainly in B cells and in certain regions of the brain and testis. This protein binds DNA and controls the transcription of genes necessary for B-cell commitment and identity. Through processes like alternative splicing PAX5 generates multiple isoforms that contribute to various functional roles in its expressed locations.
Biological function summary

PAX5 regulates the differentiation and maintenance of B-lymphocytes. It controls various genes critical for B-cell lineage commitment while repressing those involved in other lineages like T-cells and myeloid cells. PAX5 is part of a larger transcriptional complex interacting with other transcription factors to perform its function. During B-cell maturation PAX5 activates a specific gene set that helps shape the B-cell receptor repertoire a process important for effective immune responses.

Pathways

PAX5 integrates into key pathways such as the B-cell receptor signaling and JAK-STAT pathways. These pathways regulate processes like cell proliferation differentiation and apoptosis. In the B-cell receptor signaling PAX5 works alongside proteins like CD19 and BTK facilitating the transmission of activation signals necessary for B-cell survival. Connections in the JAK-STAT pathway involve interactions that promote gene expression changes necessary for B-cell functional activity further modulating the immune system's readiness.

PAX5 is significantly associated with B-cell acute lymphoblastic leukemia (B-ALL) and non-Hodgkin lymphoma. In B-ALL mutations or deletions in PAX5 often lead to impaired B-cell development and uncontrolled cell proliferation. PAX5 mutations influence proteins like EBF1 and IL7R which are pivotal in B-cell progenitor activity and leukemogenesis. abnormalities in PAX5 expression or function can disrupt normal immune function leading to B-cell associated cancers and impairing immune surveillance highlighting its importance in maintaining immune system health.

Product protocols

For this product, it's our understanding that no specific protocols are required. You can visit:

Target data

Transcription factor that plays an essential role in commitment of lymphoid progenitors to the B-lymphocyte lineage (PubMed : 10811620, PubMed : 27181361). Fulfills a dual role by repressing B-lineage inappropriate genes and simultaneously activating B-lineage-specific genes (PubMed : 10811620, PubMed : 27181361). In turn, regulates cell adhesion and migration, induces V(H)-to-D(H)J(H) recombination, facilitates pre-B-cell receptor signaling and promotes development to the mature B-cell stage (PubMed : 32612238). Repression of the cohesin-release factor WAPL causes global changes of the chromosomal architecture in pro-B cells to facilitate the generation of a diverse antibody repertoire (PubMed : 32612238).. (Microbial infection) Plays an essential role in the maintenance of Epstein-Barr virus genome copy number within the host cell by promoting EBNA1/oriP-dependent binding and transcription (PubMed : 31941781). Participates also in the inhibition of lytic EBV reactivation by modulating viral BZLF1 activity (PubMed : 23678172).
See full target information PAX5

Publications (1)

Recent publications for all applications. Explore the full list and refine your search

Frontiers in veterinary science 12:1661930 PubMed41070386

2025

Different responses of luminal and glandular epithelium during mouse embryo implantation.

Applications

Unspecified application

Species

Unspecified reactive species

Wenjing Cui,Xiangrui Guan,Peisen Liu,Qi-Xin Xu,Juan Xie,Yaqi Jiao,Lin Jin,Peng-Chao Wang,Zhenshan Yang
View all publications

Product promise

We are committed to supporting your work with high-quality reagents, and we're here for you every step of the way. In the unlikely event that one of our products does not perform as expected, you're protected by our Product Promise.
For full details, please see our Terms & Conditions

Please note: All products are 'FOR RESEARCH USE ONLY. NOT FOR USE IN DIAGNOSTIC OR THERAPEUTIC PROCEDURES'.

For licensing inquiries, please contact partnerships@abcam.com