JavaScript is disabled in your browser. Please enable JavaScript to view this website.
AB255758

Anti-PAX6 antibody [AD2.35] - BSA and Azide free

Be the first to review this product! Submit a review

|

(1 Publication)

Mouse Recombinant Monoclonal PAX6 antibody. Carrier free. Suitable for IHC-P and reacts with Mouse, Rat, Human samples. Cited in 1 publication.

View Alternative Names

AN2, PAX6, Paired box protein Pax-6, Aniridia type II protein, Oculorhombin

4 Images
Immunohistochemistry (Formalin/PFA-fixed paraffin-embedded sections) - Anti-PAX6 antibody [AD2.35] - BSA and Azide free (AB255758)
  • IHC-P

Supplier Data

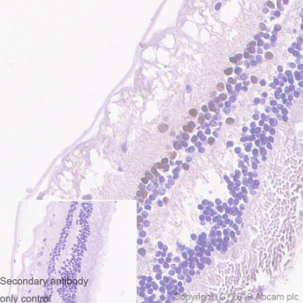
Immunohistochemistry (Formalin/PFA-fixed paraffin-embedded sections) - Anti-PAX6 antibody [AD2.35] - BSA and Azide free (AB255758)

Immunohistochemical analysis of paraffin-embedded human pancreas tissue labeling PAX6 with ab245110 at 4.13μg/ml, followed by a ready to use secondary. Nuclear staining on human pancreas is observed. The section was incubated with ab245110 for 30 mins at RT. The immunostaining staining was performed on a Leica Biosystems BOND® RX instrument. Counterstained with hematoxylin.
Secondary antibody only control : Used PBS instead of primary antibody, followed by ready to use secondary.
Heat mediated antigen retrieval with Tris-EDTA buffer (pH 9.0, epitope retrieval solution 2) for 20 mins.

This image was produced using the same antibody clone but in a different formulation ab245110, PBS, sodium azide, glycerol and BSA.

Immunohistochemistry (Formalin/PFA-fixed paraffin-embedded sections) - Anti-PAX6 antibody [AD2.35] - BSA and Azide free (AB255758)
  • IHC-P

Supplier Data

Immunohistochemistry (Formalin/PFA-fixed paraffin-embedded sections) - Anti-PAX6 antibody [AD2.35] - BSA and Azide free (AB255758)

Immunohistochemical analysis of paraffin-embedded human retina tissue labeling PAX6 with ab245110 at 4.13μg/ml, followed by a ready to use secondary. Nuclear staining on human retina is observed. The section was incubated with ab245110 for 30 mins at RT. The immunostaining staining was performed on a Leica Biosystems BOND® RX instrument. Counterstained with hematoxylin.
Secondary antibody only control : Used PBS instead of primary antibody, followed by ready to use secondary.Heat mediated antigen retrieval with Tris-EDTA buffer (pH 9.0, epitope retrieval solution 2) for 20 mins.

This image was produced using the same antibody clone but in a different formulation ab245110, PBS, sodium azide, glycerol and BSA.

Immunohistochemistry (Formalin/PFA-fixed paraffin-embedded sections) - Anti-PAX6 antibody [AD2.35] - BSA and Azide free (AB255758)
  • IHC-P

Supplier Data

Immunohistochemistry (Formalin/PFA-fixed paraffin-embedded sections) - Anti-PAX6 antibody [AD2.35] - BSA and Azide free (AB255758)

Immunohistochemical analysis of paraffin-embedded mouse retina tissue labeling PAX6 with ab245110 at 8.26μg/ml followed by a ready to use secondary. Nuclear staining on mouse retina is observed. The section was incubated with ab245110 for 30 mins at RT. The immunostaining staining was performed on a Leica Biosystems BOND® RX instrument. Counterstained with hematoxylin.
Secondary antibody only control : Used PBS instead of primary antibody, followed by ready to use secondary.

Heat mediated antigen retrieval with Tris-EDTA buffer (pH 9.0, epitope retrieval solution 2) for 20 mins.

This image was produced using the same antibody clone but in a different formulation ab245110, PBS, sodium azide, glycerol and BSA.

Immunohistochemistry (Formalin/PFA-fixed paraffin-embedded sections) - Anti-PAX6 antibody [AD2.35] - BSA and Azide free (AB255758)
  • IHC-P

Supplier Data

Immunohistochemistry (Formalin/PFA-fixed paraffin-embedded sections) - Anti-PAX6 antibody [AD2.35] - BSA and Azide free (AB255758)

Immunohistochemical analysis of paraffin-embedded rat retina tissue labeling PAX6 with ab245110 at 8.26μg/ml, followed by a ready to use secondary. Nuclear staining on rat retina is observed. The section was incubated with ab245110 for 30 mins at RT. The immunostaining staining was performed on a Leica Biosystems BOND® RX instrument. Counterstained with hematoxylin.

Secondary antibody only control : Used PBS instead of primary antibody, followed by ready to use secondary.
Heat mediated antigen retrieval with Tris-EDTA buffer (pH 9.0, epitope retrieval solution 2) for 20 mins.

This image was produced using the same antibody clone but in a different formulation ab245110, PBS, sodium azide, glycerol and BSA.

Key facts

Host species

Mouse

Clonality

Monoclonal

Clone number

AD2.35

Isotype

IgG2a

Carrier free

Yes

Reacts with

Mouse, Rat, Human

Applications

IHC-P

applications

Immunogen

The exact immunogen used to generate this antibody is proprietary information.

Reactivity data

{ "title": "Reactivity Data", "filters": { "stats": ["", "Species", "Dilution Info", "Notes"], "tabs": { "all-applications": {"fullname" : "All Applications", "shortname": "All Applications"}, "IHCP" : {"fullname" : "Immunohistochemistry (Formalin/PFA-fixed paraffin-embedded sections)", "shortname":"IHC-P"} }, "product-promise": { "all": "all", "testedAndGuaranteed": "tested", "guaranteed": "expected", "predicted": "predicted", "notRecommended": "not-recommended" } }, "values": { "Human": { "IHCP-species-checked": "testedAndGuaranteed", "IHCP-species-dilution-info": "4.13-8.26 µg/mL", "IHCP-species-notes": "<p>4.14μg/ml for human.</p><p>8.26μg/ml for rat.</p>" }, "Mouse": { "IHCP-species-checked": "testedAndGuaranteed", "IHCP-species-dilution-info": "4.13-8.26 µg/mL", "IHCP-species-notes": "<p>4.14μg/ml for human.</p><p>8.26μg/ml for rat.</p>" }, "Rat": { "IHCP-species-checked": "testedAndGuaranteed", "IHCP-species-dilution-info": "4.13-8.26 µg/mL", "IHCP-species-notes": "<p>4.14μg/ml for human.</p><p>8.26μg/ml for rat.</p>" } } }

Product details

ab255758 is the carrier-free version of ab245110.

What are the advantages of a recombinant monoclonal antibody?
This product is a recombinant monoclonal antibody, which offers several advantages including:

  • - High batch-to-batch consistency and reproducibility
  • - Improved sensitivity and specificity
  • - Long-term security of supply
  • - Animal-free batch production

For more information, read more on recombinant antibodies.

Want a custom formulation?
This antibody clone is manufactured by Abcam. If you require a custom buffer formulation or conjugation for your experiments, please contact orders@abcam.com

Conjugation ready
Our carrier-free antibodies are typically supplied in a PBS-only formulation, purified and free of BSA, sodium azide and glycerol. This conjugation-ready format is designed for use with fluorochromes, metal isotopes, oligonucleotides, and enzymes, which makes them ideal for antibody labelling, functional and cell-based assays, flow-based assays (e.g. mass cytometry) and Multiplex Imaging applications.

Use our conjugation kits for antibody conjugates that are ready-to-use in as little as 20 minutes with 1 minute hands-on-time and 100% antibody recovery: available for fluorescent dyes, HRP, biotin and gold.

Compatibility
This product is compatible with the Maxpar® Antibody Labeling Kit from Fluidigm, without the need for antibody preparation. Maxpar® is a trademark of Fluidigm Canada Inc.

Properties and storage information

Form
Liquid
Purification technique
Affinity purification Protein A
Storage buffer
pH: 7.2 - 7.4 Constituents: PBS
Shipped at conditions
Blue Ice
Appropriate short-term storage conditions
+4°C
Appropriate long-term storage conditions
+4°C
Storage information
Do Not Freeze

Supplementary information

This supplementary information is collated from multiple sources and compiled automatically.

The PAX6 protein also known as paired box 6 is a transcription factor involved in the development of eyes and neural tissues. It consists of a paired domain and a homeodomain collectively giving a molecular weight of approximately 48 kDa. This protein is highly expressed in developing ocular and central nervous tissues where it controls the expression of genes necessary for proper development. PAX6 is a widely studied marker in developmental biology due to its critical role in cellular differentiation and patterning processes.
Biological function summary

PAX6 acts as an important regulator in eye and neural development functioning alone and as part of larger complexes with other transcription factors. This role ensures the correct formation of ocular structures including the lens retina and cornea and neural elements by activating downstream targets important for cell fate decisions. The PAX6 protein intricately influences the genetic circuits that guide stem cell differentiation highlighting its importance in embryogenesis and organogenesis.

Pathways

PAX6 is pivotal in the Wnt signaling pathway and retinoic acid signaling. Its interaction within the Wnt pathway orchestrates vital developmental processes including those of eye morphogenesis and brain patterning. The protein collaborates with other transcriptional regulators such as SOX2 and EYA1 within these pathways facilitating the complex network of signals necessary for organ development and cellular identity specification.

PAX6 mutations have strong associations with aniridia and congenital eye malformations. Mutations in PAX6 disrupt the transcriptional regulation required for eye development often resulting in severe vision defects and structural anomalies. The intracacy of its involvement extends to disorders like Wilms' tumor wherein its altered expression or function in conjunction with proteins such as WT1 may contribute to oncogenesis. Scientists frequently use PAX6 staining to investigate these conditions and better understand their molecular underpinnings.

Product protocols

For this product, it's our understanding that no specific protocols are required. You can visit:

Target data

PAX6 is a transcription factor with important roles in the development of the eye, nose, central nervous system, and pancreas. It competes with PAX4 for binding to a common element in the promoters of glucagon, insulin, and somatostatin. This supplementary information is collated from multiple sources and compiled automatically.
See full target information PAX6

Publications (1)

Recent publications for all applications. Explore the full list and refine your search

Development (Cambridge, England) 126:3585-96 PubMed10409504

1999

Role of Pax6 in development of the cerebellar system.

Applications

Unspecified application

Species

Unspecified reactive species

D Engelkamp,P Rashbass,A Seawright,V van Heyningen
View all publications

Product promise

We are committed to supporting your work with high-quality reagents, and we're here for you every step of the way. In the unlikely event that one of our products does not perform as expected, you're protected by our Product Promise.
For full details, please see our Terms & Conditions

Please note: All products are 'FOR RESEARCH USE ONLY. NOT FOR USE IN DIAGNOSTIC OR THERAPEUTIC PROCEDURES'.

For licensing inquiries, please contact partnerships@abcam.com