JavaScript is disabled in your browser. Please enable JavaScript to view this website.
AB78545

Anti-PAX6 antibody [AD2.38]

4

(10 Reviews)

|

(63 Publications)

Anti-PAX6 antibody [AD2.38] (ab78545) is a mouse monoclonal antibody detecting PAX6 in IHC-P, IHC-Fr, ICC/IF. Suitable for Human, Mouse, Rat.

- Over 50 publications
- Trusted since 2009

View Alternative Names

AN2, PAX6, Paired box protein Pax-6, Aniridia type II protein, Oculorhombin

13 Images
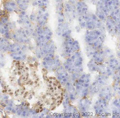
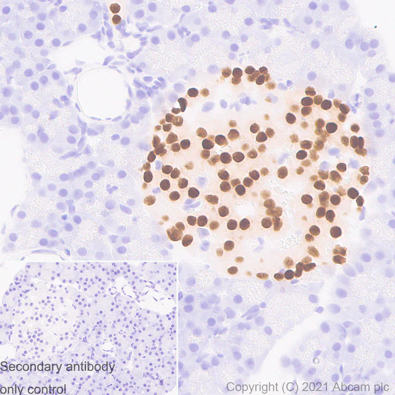
Immunohistochemistry (Frozen sections) - Anti-PAX6 antibody [AD2.38] (AB78545)
  • IHC-Fr

Lab

Immunohistochemistry (Frozen sections) - Anti-PAX6 antibody [AD2.38] (AB78545)

Immunohistochemical analysis of 10% paraformaldehyde-fixed frozen Human pancreas tissue labeling PAX6 with ab78545 at 1/1000 dilution.

Nuclear staining in pancreas islets. IHC-fr image of PAX6 staining in a section of frozen normal human pancreas performed on a Leica Biosystems BOND® RX instrument. The section was fixed in 10% paraformaldehyde (10 min) prior to staining. The section was incubated with ab78545, 1ug/ml dilution, for 15 mins at room temperature and detected using an HRP conjugated compact polymer system. DAB was used as the chromogen. The section was then counterstained with haematoxylin and mounted with DPX.

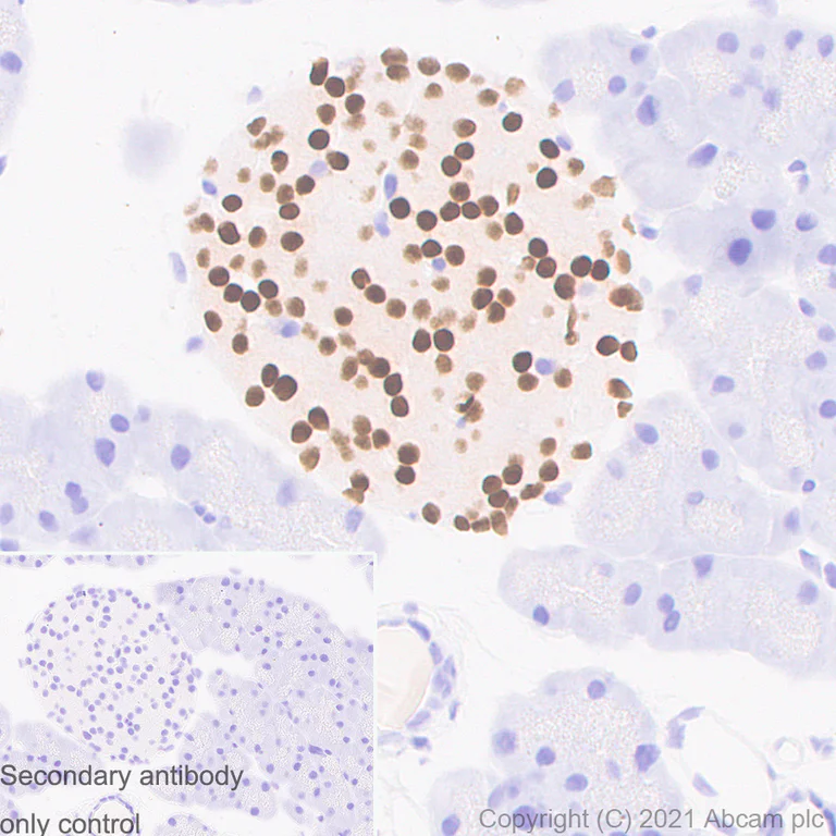
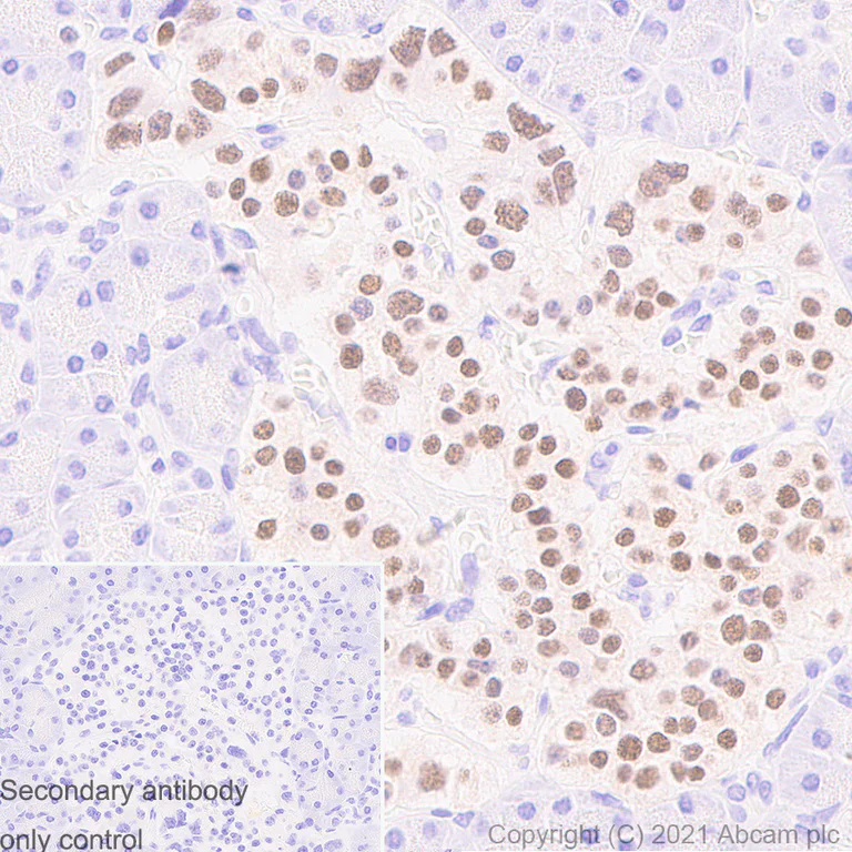
Immunohistochemistry (Formalin/PFA-fixed paraffin-embedded sections) - Anti-PAX6 antibody [AD2.38] (AB78545)
  • IHC-P

Lab

Immunohistochemistry (Formalin/PFA-fixed paraffin-embedded sections) - Anti-PAX6 antibody [AD2.38] (AB78545)

Immunohistochemical analysis of formalin fixed paraffin embedded Human pancreas tissue labelling PAX6 with ab78545 at a concentration of 1/500 dilution followed by ready to use LeicaDS9800 (Bond™ Polymer Refine Detection).

Nuclear staining on human pancreas. The section was incubated with ab78545 for 30 mins at room temperature and followed by mouse specific IgG antibody (ab125913) for 8 mins.
The immunostaining was performed on a Leica Biosystems BOND® RX instrument. Sections were counterstained with Hematoxylin.

Heat mediated antigen retrieval with Tris-EDTA buffer (pH 9.0, epitope retrieval solution2) for 20 mins

Immunohistochemistry (Formalin/PFA-fixed paraffin-embedded sections) - Anti-PAX6 antibody [AD2.38] (AB78545)
  • IHC-P

Lab

Immunohistochemistry (Formalin/PFA-fixed paraffin-embedded sections) - Anti-PAX6 antibody [AD2.38] (AB78545)

Immunohistochemical analysis of formalin fixed paraffin embedded Human retina tissue labelling PAX6 with ab78545 at a concentration of 1/500 dilution followed by ready to use LeicaDS9800 (Bond™ Polymer Refine Detection).

Nuclear staining on human retina. The section was incubated with ab78545 for 30 mins at room temperature and followed by mouse specific IgG antibody (ab125913) for 8 mins.
The immunostaining was performed on a Leica Biosystems BOND® RX instrument. Sections were counterstained with Hematoxylin.

Heat mediated antigen retrieval with Tris-EDTA buffer (pH 9.0, epitope retrieval solution2) for 20 mins

Immunohistochemistry (Formalin/PFA-fixed paraffin-embedded sections) - Anti-PAX6 antibody [AD2.38] (AB78545)
  • IHC-P

Lab

Immunohistochemistry (Formalin/PFA-fixed paraffin-embedded sections) - Anti-PAX6 antibody [AD2.38] (AB78545)

Immunohistochemical analysis of formalin fixed paraffin embedded Rat pancreas tissue labelling PAX6 with ab78545 at a concentration of 1/500 dilution followed by ready to use LeicaDS9800 (Bond™ Polymer Refine Detection).

Nuclear staining on rat pancreas. The section was incubated with ab78545 for 30 mins at room temperature and followed by mouse specific IgG antibody (ab125913) for 8 mins.
The immunostaining was performed on a Leica Biosystems BOND® RX instrument. Sections were counterstained with Hematoxylin.

Heat mediated antigen retrieval with Tris-EDTA buffer (pH 9.0, epitope retrieval solution2) for 20 mins

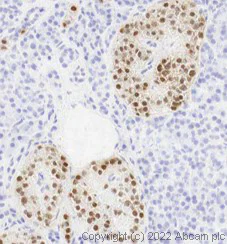
Immunohistochemistry (Formalin/PFA-fixed paraffin-embedded sections) - Anti-PAX6 antibody [AD2.38] (AB78545)
  • IHC-P

Lab

Immunohistochemistry (Formalin/PFA-fixed paraffin-embedded sections) - Anti-PAX6 antibody [AD2.38] (AB78545)

Immunohistochemical analysis of formalin fixed paraffin embedded Mouse pancreas tissue labelling PAX6 with ab78545 at a concentration of 1/500 dilution followed by ready to use LeicaDS9800 (Bond™ Polymer Refine Detection).

Nuclear staining on mouse pancreas. The section was incubated with ab78545 for 30 mins at room temperature and followed by mouse specific IgG antibody (ab125913) for 8 mins.
The immunostaining was performed on a Leica Biosystems BOND® RX instrument. Sections were counterstained with Hematoxylin.

Heat mediated antigen retrieval with Tris-EDTA buffer (pH 9.0, epitope retrieval solution2) for 20 mins

Immunohistochemistry (Formalin/PFA-fixed paraffin-embedded sections) - Anti-PAX6 antibody [AD2.38] (AB78545)
  • IHC-P

Lab

Immunohistochemistry (Formalin/PFA-fixed paraffin-embedded sections) - Anti-PAX6 antibody [AD2.38] (AB78545)

Immunohistochemical analysis of formalin fixed paraffin embedded Rat retina tissue labelling PAX6 with ab78545 at a concentration of 1/500 dilution followed by ready to use LeicaDS9800 (Bond™ Polymer Refine Detection).

Nuclear staining on rat retina. The section was incubated with ab78545 for 30 mins at room temperature and followed by mouse specific IgG antibody (ab125913) for 8 mins.
The immunostaining was performed on a Leica Biosystems BOND® RX instrument. Sections were counterstained with Hematoxylin.

Heat mediated antigen retrieval with Tris-EDTA buffer (pH 9.0, epitope retrieval solution2) for 20 mins

Immunohistochemistry (Formalin/PFA-fixed paraffin-embedded sections) - Anti-PAX6 antibody [AD2.38] (AB78545)
  • IHC-P

Lab

Immunohistochemistry (Formalin/PFA-fixed paraffin-embedded sections) - Anti-PAX6 antibody [AD2.38] (AB78545)

Immunohistochemical analysis of formalin fixed paraffin embedded Mouse retina tissue labelling PAX6 with ab78545 at a concentration of 1/500 dilution followed by ready to use LeicaDS9800 (Bond™ Polymer Refine Detection).

Nuclear staining on mouse retina. The section was incubated with ab78545 for 30 mins at room temperature and followed by mouse specific IgG antibody (ab125913) for 8 mins.
The immunostaining was performed on a Leica Biosystems BOND® RX instrument. Sections were counterstained with Hematoxylin.

Heat mediated antigen retrieval with Tris-EDTA buffer (pH 9.0, epitope retrieval solution2) for 20 mins

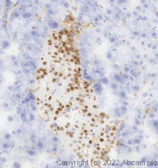
Immunohistochemistry (Frozen sections) - Anti-PAX6 antibody [AD2.38] (AB78545)
  • IHC-Fr

Lab

Immunohistochemistry (Frozen sections) - Anti-PAX6 antibody [AD2.38] (AB78545)

Immunohistochemical analysis of 10% paraformaldehyde-fixed frozen Mouse pancreas tissue labeling PAX6 with ab78545 at 1/1000 dilution.

Nuclear staining in pancreas islets. IHC-fr image of PAX6 staining in a section of frozen normal mouse pancreas performed on a Leica Biosystems BOND® RX instrument. The section was fixed in 10% paraformaldehyde (10 min) prior to staining. The section was incubated with ab78545, 1ug/ml dilution, for 15 mins at room temperature and detected using an HRP conjugated compact polymer system. DAB was used as the chromogen. The section was then counterstained with haematoxylin and mounted with DPX.

Immunohistochemistry (Frozen sections) - Anti-PAX6 antibody [AD2.38] (AB78545)
  • IHC-Fr

Lab

Immunohistochemistry (Frozen sections) - Anti-PAX6 antibody [AD2.38] (AB78545)

Immunohistochemical analysis of 10% paraformaldehyde-fixed frozen Rat pancreas tissue labeling PAX6 with ab78545 at 1/1000 dilution.

Nuclear staining in pancreas islets. IHC-fr image of PAX6 staining in a section of frozen normal mouse pancreas performed on a Leica Biosystems BOND® RX instrument. The section was fixed in 10% paraformaldehyde (10 min) prior to staining. The section was incubated with ab78545, 1ug/ml dilution, for 15 mins at room temperature and detected using an HRP conjugated compact polymer system. DAB was used as the chromogen. The section was then counterstained with haematoxylin and mounted with DPX.

Immunohistochemistry (Formalin/PFA-fixed paraffin-embedded sections) - Anti-PAX6 antibody [AD2.38] (AB78545)
  • IHC-P

Lab

Immunohistochemistry (Formalin/PFA-fixed paraffin-embedded sections) - Anti-PAX6 antibody [AD2.38] (AB78545)

Immunohistochemical analysis of formalin fixed paraffin embedded Mouse skeletal muscle tissue labelling PAX6 with ab78545 at a concentration of 1/500 dilution followed by ready to use LeicaDS9800 (Bond™ Polymer Refine Detection).

Negative control : no staining on the mouse skeletal muscle. The section was incubated with ab78545 for 30 mins at room temperature, followed by anti-Mouse IgG1 antibody (ab125913) for 8 mins during the LeicaDS9800 kit staining procedure.
The immunostaining was performed on a Leica Biosystems BOND® RX instrument. Sections were counterstained with Hematoxylin.

Heat mediated antigen retrieval with Tris-EDTA buffer (pH 9.0, epitope retrieval solution2) for 20 mins

Immunocytochemistry/ Immunofluorescence - Anti-PAX6 antibody [AD2.38] (AB78545)
  • ICC/IF

Lab

Immunocytochemistry/ Immunofluorescence - Anti-PAX6 antibody [AD2.38] (AB78545)

Immunofluorescent analysis of 4% Paraformaldehyde fixed, 0.1% Triton X-100 permeabilized Primary mouse neurons/glia, DIV1 and DIV14 with ab78545 at 1/200 dilution followed by ab150117 Goat Anti-Mouse IgG H&L (Alexa Fluor® 488) preadsorbed antibody at 1/1000 dilution (Green). ab7291 Anti-alpha Tubulin antibody was used for counterstain at a 1/1000 dilution followed by ab150088 Goat Anti-Rabbit IgG H&L (Alexa Fluor® 594) preadsorbed at 1/1000 dilution (Red). Nuclear DNA was labelled with DAPI (shown in blue).

ab78545 staining Pax6 in primary mouse neurons/glia, DIV1 (top row) and DIV14 (bottom row) both prepared from E18 mouse hippocampal brain area (obtained from Transnetyx Tissue by BrainBits, LLC, cat.no. C57EHP). A subset of cells show staining in the nucleus at DIV1 (likely neuroprogenitor cells), while differentiated neurons (DIV14) are largely Pax6 negative.

Immunohistochemistry (Frozen sections) - Anti-PAX6 antibody [AD2.38] (AB78545)
  • IHC-Fr

AbReview32699****

Immunohistochemistry (Frozen sections) - Anti-PAX6 antibody [AD2.38] (AB78545)

Immunohistochemical analysis of mouse brain tissue, staining PAX6 with ab78545.

Tissue was fixed with paraformaldehyde and blocked with 10% serum for 1 hour at room temperature. Samples were incubated with primary antibody (1/100 in PBST) for 12 hours at 4°C. An AlexaFluor®568-conjugated goat anti-mouse polyclonal IgG (1/1000) was used as the secondary antibody.
This image was generated using a previous batch manufactured using hybridoma production method.

This image is courtesy of an anonymous Abreview.

Immunohistochemistry (Frozen sections) - Anti-PAX6 antibody [AD2.38] (AB78545)
  • IHC-Fr

AbReview51262****

Immunohistochemistry (Frozen sections) - Anti-PAX6 antibody [AD2.38] (AB78545)

Immunohistochemical analysis of PFA-fixed frozen murine embryonic brain coronal sections, labelling PAX6 with ab78545 at a dilution of 1/100 incubated for 8 hours at 4°C in blocking buffer diluent. Permeabilization was with Triton X-100 and blocking was with 1% serum for 1 hour. Heat mediated antigen retrival was with 10mM sodium citrate buffer pH6.0 for 10 minutes at 650W in a microwave. The secondary was a goat Alexa Fluor® 488 at 1/700.
This image was generated using a previous batch manufactured using hybridoma production method

Image is courtesy of an AbReview submitted by Dr Bhavin Shah.

Key facts

Host species

Mouse

Clonality

Monoclonal

Clone number

AD2.38

Isotype

IgG1

Carrier free

No

Reacts with

Mouse, Rat, Human

Applications

IHC-Fr, IHC-P, ICC/IF

applications

Immunogen

The exact immunogen used to generate this antibody is proprietary information.

Reactivity data

{ "title": "Reactivity Data", "filters": { "stats": ["", "Species", "Dilution Info", "Notes"], "tabs": { "all-applications": {"fullname" : "All Applications", "shortname": "All Applications"}, "IHCP" : {"fullname" : "Immunohistochemistry (Formalin/PFA-fixed paraffin-embedded sections)", "shortname":"IHC-P"}, "ICCIF" : {"fullname" : "Immunocytochemistry/ Immunofluorescence", "shortname":"ICC/IF"}, "IHCFr" : {"fullname" : "Immunohistochemistry (Frozen sections)", "shortname":"IHC-Fr"}, "WB" : {"fullname" : "Western blot", "shortname":"WB"} }, "product-promise": { "all": "all", "testedAndGuaranteed": "tested", "guaranteed": "expected", "predicted": "predicted", "notRecommended": "not-recommended" } }, "values": { "Human": { "IHCP-species-checked": "testedAndGuaranteed", "IHCP-species-dilution-info": "1/500", "IHCP-species-notes": "<p></p> Perform heat-mediated antigen retrieval with Tris/EDTA buffer pH 9.0 before commencing with IHC staining protocol.", "ICCIF-species-checked": "guaranteed", "ICCIF-species-dilution-info": "", "ICCIF-species-notes": "", "IHCFr-species-checked": "testedAndGuaranteed", "IHCFr-species-dilution-info": "1/1000", "IHCFr-species-notes": "<p></p>", "WB-species-checked": "notRecommended", "WB-species-dilution-info": "", "WB-species-notes": "<p></p>" }, "Mouse": { "IHCP-species-checked": "testedAndGuaranteed", "IHCP-species-dilution-info": "1/500", "IHCP-species-notes": "<p></p> Perform heat-mediated antigen retrieval with Tris/EDTA buffer pH 9.0 before commencing with IHC staining protocol.", "ICCIF-species-checked": "testedAndGuaranteed", "ICCIF-species-dilution-info": "5 µg/mL", "ICCIF-species-notes": "<p></p>", "IHCFr-species-checked": "testedAndGuaranteed", "IHCFr-species-dilution-info": "1/1000", "IHCFr-species-notes": "<p></p>", "WB-species-checked": "notRecommended", "WB-species-dilution-info": "", "WB-species-notes": "<p></p>" }, "Rat": { "IHCP-species-checked": "testedAndGuaranteed", "IHCP-species-dilution-info": "1/500", "IHCP-species-notes": "<p></p> Perform heat-mediated antigen retrieval with Tris/EDTA buffer pH 9.0 before commencing with IHC staining protocol.", "ICCIF-species-checked": "guaranteed", "ICCIF-species-dilution-info": "", "ICCIF-species-notes": "", "IHCFr-species-checked": "testedAndGuaranteed", "IHCFr-species-dilution-info": "1/1000", "IHCFr-species-notes": "<p></p>", "WB-species-checked": "notRecommended", "WB-species-dilution-info": "", "WB-species-notes": "<p></p>" }, "Chicken": { "IHCP-species-checked": "predicted", "IHCP-species-dilution-info": "", "IHCP-species-notes": "", "ICCIF-species-checked": "predicted", "ICCIF-species-dilution-info": "", "ICCIF-species-notes": "", "IHCFr-species-checked": "predicted", "IHCFr-species-dilution-info": "", "IHCFr-species-notes": "", "WB-species-checked": "notRecommended", "WB-species-dilution-info": "", "WB-species-notes": "" } } }

Product details

What is this antibody validated in?
Anti-PAX6 antibody [AD2.38] (ab78545) is a mouse monoclonal antibody and is validated for use in Immunohistochemistry (IHC-P), Immunohistochemistry (IHC-Fr), Immunocytochemistry/immunofluorescence (ICC/IF) in Human, Mouse, Rat samples.

Trusted by the scientific community
Anti-PAX6 [AD2.38] (ab78545) was first used in a scientific publication in 2009 and has been cited over 50 times in peer-reviewed journals.

Reviewed by scientists
Anti-PAX6 [AD2.38] (ab78545) has over 10 independent reviews from customers.

Other related products
We have a range of other formats of antibody clone [AD2.38] also available for your convenience: ab78545, Alexa Fluor® 488 - ab317595

The production method has been switched from hybridoma to recombinant on 24th Oct 2025.

Want a custom formulation?
This antibody clone is manufactured by Abcam. If you require a custom buffer formulation or conjugation for your experiments, please contact orders@abcam.com

What are the advantages of a recombinant monoclonal antibody?
This product is a recombinant monoclonal antibody, which offers several advantages including:

  • - High batch-to-batch consistency and reproducibility
  • - Improved sensitivity and specificity
  • - Long-term security of supply
  • - Animal-free batch production

For more information, read more on recombinant antibodies.

Properties and storage information

Form
Liquid
Purification technique
Affinity purification Protein A
Storage buffer
pH: 7.2 - 7.4 Preservative: 0.01% Sodium azide Constituents: PBS, 40% Glycerol (glycerin, glycerine), 0.05% BSA
Shipped at conditions
Blue Ice
Appropriate short-term storage duration
1-2 weeks
Appropriate short-term storage conditions
+4°C
Appropriate long-term storage conditions
-20°C
Aliquoting information
Upon delivery aliquot
Storage information
Avoid freeze / thaw cycle

Supplementary information

This supplementary information is collated from multiple sources and compiled automatically.

The PAX6 protein also known as paired box 6 is a transcription factor involved in the development of eyes and neural tissues. It consists of a paired domain and a homeodomain collectively giving a molecular weight of approximately 48 kDa. This protein is highly expressed in developing ocular and central nervous tissues where it controls the expression of genes necessary for proper development. PAX6 is a widely studied marker in developmental biology due to its critical role in cellular differentiation and patterning processes.
Biological function summary

PAX6 acts as an important regulator in eye and neural development functioning alone and as part of larger complexes with other transcription factors. This role ensures the correct formation of ocular structures including the lens retina and cornea and neural elements by activating downstream targets important for cell fate decisions. The PAX6 protein intricately influences the genetic circuits that guide stem cell differentiation highlighting its importance in embryogenesis and organogenesis.

Pathways

PAX6 is pivotal in the Wnt signaling pathway and retinoic acid signaling. Its interaction within the Wnt pathway orchestrates vital developmental processes including those of eye morphogenesis and brain patterning. The protein collaborates with other transcriptional regulators such as SOX2 and EYA1 within these pathways facilitating the complex network of signals necessary for organ development and cellular identity specification.

PAX6 mutations have strong associations with aniridia and congenital eye malformations. Mutations in PAX6 disrupt the transcriptional regulation required for eye development often resulting in severe vision defects and structural anomalies. The intracacy of its involvement extends to disorders like Wilms' tumor wherein its altered expression or function in conjunction with proteins such as WT1 may contribute to oncogenesis. Scientists frequently use PAX6 staining to investigate these conditions and better understand their molecular underpinnings.

Product protocols

For this product, it's our understanding that no specific protocols are required. You can visit:

Target data

PAX6 is a transcription factor with important roles in the development of the eye, nose, central nervous system, and pancreas. It competes with PAX4 for binding to a common element in the promoters of glucagon, insulin, and somatostatin. This supplementary information is collated from multiple sources and compiled automatically.
See full target information PAX6

Publications (63)

Recent publications for all applications. Explore the full list and refine your search

Stem cell research & therapy 16:510 PubMed41013592

2025

Culture of pluripotent stem cells in microscale droplets modulates differentiation and tissue patterning towards organoids on chip.

Applications

Unspecified application

Species

Unspecified reactive species

Nadia Vertti-Quintero,Clara Delahousse,Andrey Aristov,Tatiana Traboulsi,Jack-Christophe Cossec,Charles N Baroud,Sébastien Sart

Nature neuroscience 28:1598-1609 PubMed40659844

2025

An expanded subventricular zone supports postnatal cortical interneuron migration in gyrencephalic brains.

Applications

Unspecified application

Species

Unspecified reactive species

JaeYeon Kim,Aunoy Poddar,Kadellyn Sandoval,Julia Chu,Emma Horton,Di Cui,Keira Nakamura,I-Ling Lu,Michael Mui,Theresa Bartels,Christian M Wood,Susana I Ramos,David H Rowitch,Nadejda M Tsankova,Hosung Kim,Chet C Sherwood,Boris W Kramer,Angela C Roberts,Pablo J Ross,Duan Xu,Nicola J Robertson,Elizabeth A Maga,Peng Ji,Mercedes F Paredes

Stem cells (Dayton, Ohio) 43: PubMed40418739

2025

Transcriptomic analysis of the m6A reader YTHDF2 in the maintenance and differentiation of human embryonic stem cells.

Applications

Unspecified application

Species

Unspecified reactive species

Boshi Feng,Yanxi Chen,Huanchang Tu,Jin Zhang,Lingling Tong,Xiaohan Lyu,Aaron Trent Irving,Di Chen

Nature communications 16:672 PubMed39809789

2025

Cortical arealization of interneurons defines shared and distinct molecular programs in developing human and macaque brains.

Applications

Unspecified application

Species

Unspecified reactive species

Xiangling Feng,Yingjie Gao,Fan Chu,Yuwen Shan,Meicheng Liu,Yaoyi Wang,Ying Zhu,Qing Lu,Mingfeng Li

Cell death discovery 10:330 PubMed39030180

2024

Deletion in RMST lncRNA impairs hypothalamic neuronal development in a human stem cell-based model of Kallmann Syndrome.

Applications

Unspecified application

Species

Unspecified reactive species

Gowher Ali,Kyung Chul Shin,Nisar Ahmed,Wesal Habbab,Ghaneya Alkhadairi,Aleem Razzaq,Yosra Bejaoui,Nady El Hajj,Borbala Mifsud,Yongsoo Park,Lawrence W Stanton

Frontiers in neuroscience 17:1302470 PubMed38260021

2024

Characterization of a loss-of-function NSF attachment protein beta mutation in monozygotic triplets affected with epilepsy and autism using cortical neurons from proband-derived and CRISPR-corrected induced pluripotent stem cell lines.

Applications

Unspecified application

Species

Unspecified reactive species

Gowher Ali,Kyung Chul Shin,Wesal Habbab,Ghaneya Alkhadairi,Alice AbdelAleem,Fouad A AlShaban,Yongsoo Park,Lawrence W Stanton

Stem cell reviews and reports 19:2790-2806 PubMed37603136

2023

Ethanol Causes Cell Death and Neuronal Differentiation Defect During Initial Neurogenesis of the Neural Retina by Disrupting Calcium Signaling in Human Retinal Organoids.

Applications

Unspecified application

Species

Unspecified reactive species

Yu Gong,Lingling Ge,Qiyou Li,Jing Gong,Min Chen,Hui Gao,Jiahui Kang,Ting Yu,Jiawen Li,Haiwei Xu

iScience 26:107042 PubMed37360696

2023

SRSF10 regulates proliferation of neural progenitor cells and affects neurogenesis in developing mouse neocortex.

Applications

Unspecified application

Species

Unspecified reactive species

Junjie Li,Hanyang Jiang,Yawei Mu,Zixuan Wei,Ankangzhi Ma,Menghan Sun,Jingjing Zhao,Cuiqing Zhu,Xianhua Chen

International journal of molecular sciences 24: PubMed37108456

2023

An Efficient 2D Protocol for Differentiation of iPSCs into Mature Postmitotic Dopaminergic Neurons: Application for Modeling Parkinson's Disease.

Applications

Unspecified application

Species

Unspecified reactive species

Olga S Lebedeva,Elena I Sharova,Dmitriy A Grekhnev,Liubov O Skorodumova,Irina V Kopylova,Ekaterina M Vassina,Arina Oshkolova,Iuliia V Novikova,Alena V Krisanova,Evgenii I Olekhnovich,Vladimir A Vigont,Elena V Kaznacheyeva,Alexandra N Bogomazova,Maria A Lagarkova

Cell reports 42:112380 PubMed37061916

2023

Transient suppression of SUMOylation in embryonic stem cells generates embryo-like structures.

Applications

Unspecified application

Species

Unspecified reactive species

Jack-Christophe Cossec,Tatiana Traboulsi,Sébastien Sart,Yann Loe-Mie,Manuel Guthmann,Ivo A Hendriks,Ilan Theurillat,Michael L Nielsen,Maria-Elena Torres-Padilla,Charles N Baroud,Anne Dejean
View all publications

Product promise

We are committed to supporting your work with high-quality reagents, and we're here for you every step of the way. In the unlikely event that one of our products does not perform as expected, you're protected by our Product Promise.
For full details, please see our Terms & Conditions

Please note: All products are 'FOR RESEARCH USE ONLY. NOT FOR USE IN DIAGNOSTIC OR THERAPEUTIC PROCEDURES'.

For licensing inquiries, please contact partnerships@abcam.com