JavaScript is disabled in your browser. Please enable JavaScript to view this website.
AB195045

Anti-PAX6 antibody [EPR15858]

  • BOND RX™ Validated
  • RabMAb
  • Recombinant
  • 20ul selling size
  • What is this?

5

(9 Reviews)

|

(84 Publications)

Anti-PAX6 antibody [EPR15858] (ab195045) is a rabbit monoclonal antibody detecting PAX6 in Western Blot, IHC-P, ICC/IF. Suitable for Human, Mouse, Rat.

- Biophysical QC for unrivalled batch-batch consistency
- Over 50 publications

View Alternative Names

AN2, PAX6, Paired box protein Pax-6, Aniridia type II protein, Oculorhombin

13 Images
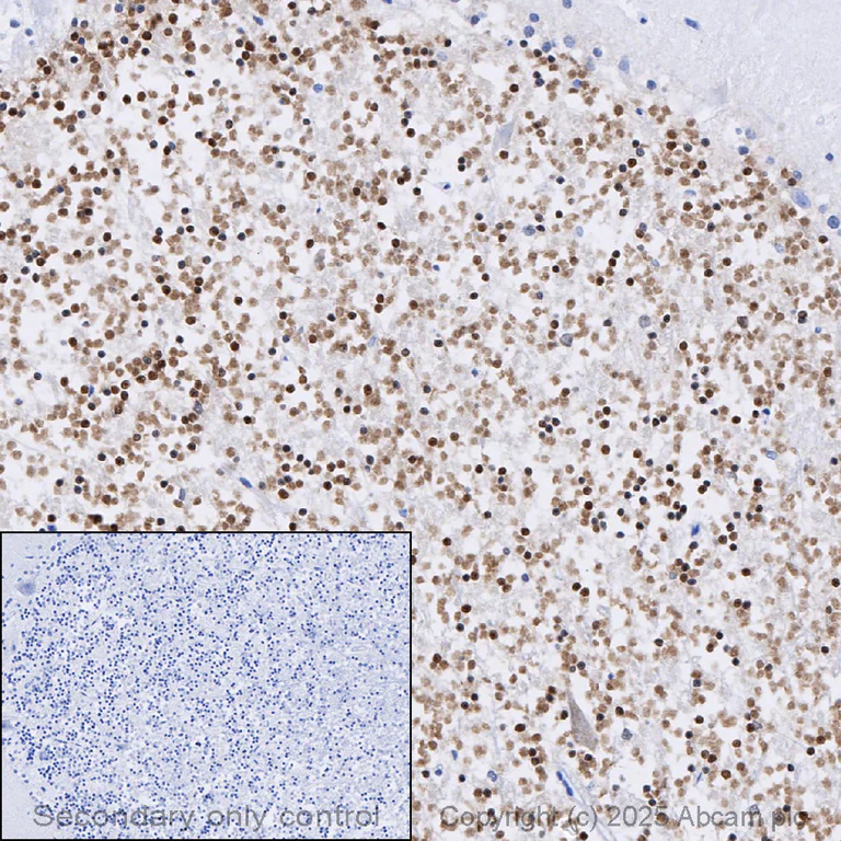
Immunohistochemistry (Formalin/PFA-fixed paraffin-embedded sections) - Anti-PAX6 antibody [EPR15858] (AB195045)
  • IHC-P

Lab

Immunohistochemistry (Formalin/PFA-fixed paraffin-embedded sections) - Anti-PAX6 antibody [EPR15858] (AB195045)

IHC image of Pax6 staining in a formalin fixed, paraffin embedded normal human cerebellum tissue section, performed on a Leica Bond™ system using the standard protocol F. The section was pre-treated using heat mediated antigen retrieval with sodium citrate buffer (pH6, epitope retrieval solution 1) for 20 mins. The section was then incubated with ab195045, 1/1000 dilution, for 15 mins at room temperature and detected using an HRP conjugated compact polymer system. DAB was used as the chromogen. The section was then counterstained with haematoxylin and mounted with DPX.

For other IHC staining systems (automated and non-automated) customers should optimize variable parameters such as antigen retrieval conditions, primary antibody concentration and antibody incubation times.

Immunohistochemistry (Formalin/PFA-fixed paraffin-embedded sections) - Anti-PAX6 antibody [EPR15858] (AB195045)
  • IHC-P

Supplier Data

Immunohistochemistry (Formalin/PFA-fixed paraffin-embedded sections) - Anti-PAX6 antibody [EPR15858] (AB195045)

Immunohistochemical analysis of paraffin-embedded Human retinoblastoma tissue labeling PAX6 with ab195045 at 1/1000 dilution, followed by Goat Anti-Rabbit IgG H&L (HRP) secondary antibody (ab97051) at 1/500 dilution. Nuclear staining on human retinoblastoma tissue is observed. Counter stained with Hematoxylin.

Negative control : Used PBS instead of primary antibody, secondary antibody is Goat Anti-Rabbit IgG H&L (HRP) (ab97051) at 1/500 dilution.

Perform heat mediated antigen retrieval with Tris/EDTA buffer pH 9.0 before commencing with IHC staining protocol.

Immunohistochemistry (Formalin/PFA-fixed paraffin-embedded sections) - Anti-PAX6 antibody [EPR15858] (AB195045)
  • IHC-P

Supplier Data

Immunohistochemistry (Formalin/PFA-fixed paraffin-embedded sections) - Anti-PAX6 antibody [EPR15858] (AB195045)

Immunohistochemical analysis of paraffin-embedded Human retina tissue labeling PAX6 with ab195045 at 1/1000 dilution, followed by Goat Anti-Rabbit IgG H&L (HRP) secondary antibody (ab97051) at 1/500 dilution. Nuclear staining on human retina tissue is observed. Counter stained with Hematoxylin.

Negative control : Used PBS instead of primary antibody, secondary antibody is Goat Anti-Rabbit IgG H&L (HRP) (ab97051) at 1/500 dilution.

Perform heat mediated antigen retrieval with Tris/EDTA buffer pH 9.0 before commencing with IHC staining protocol.

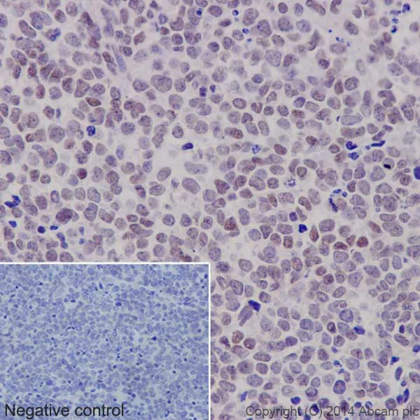
Immunohistochemistry (Formalin/PFA-fixed paraffin-embedded sections) - Anti-PAX6 antibody [EPR15858] (AB195045)
  • IHC-P

Lab

Immunohistochemistry (Formalin/PFA-fixed paraffin-embedded sections) - Anti-PAX6 antibody [EPR15858] (AB195045)

Immunohistochemical analysis of formalin fixed paraffin embedded human cerebrum labelling PAX6 with ab195045 at a concentration of 1µg/ml. The immunostaining was performed on a Ventana DISCOVERY ULTRA (Roche Tissue Diagnostics) instrument with a OptiView DAB IHC Detection Kit. Heat mediated antigen retrieval was performed with DISCOVERY cell conditioning solution (CC1) 100°C, pH8.5 for 32mins. ab195045 Anti-PAX6 antibody [EPR15858] was incubated for 16mins at 37°C. Sections were counterstained with Hematoxylin II. Image inset shows absence of staining in secondary antibody only control.

Customers are encouraged to optimise antigen retrieval conditions, antibody concentration, incubation times and temperature for best results in their own IHC assay workflow (automated and manual).

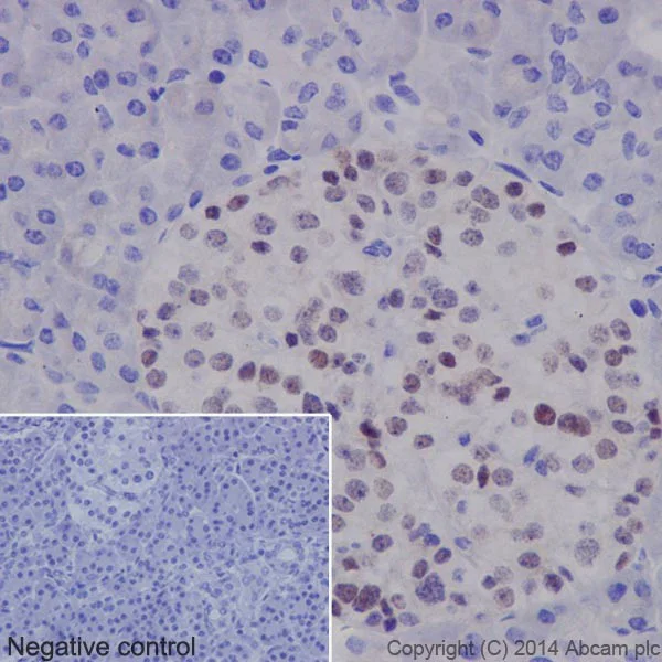
Immunohistochemistry (Formalin/PFA-fixed paraffin-embedded sections) - Anti-PAX6 antibody [EPR15858] (AB195045)
  • IHC-P

Supplier Data

Immunohistochemistry (Formalin/PFA-fixed paraffin-embedded sections) - Anti-PAX6 antibody [EPR15858] (AB195045)

Immunohistochemical analysis of paraffin-embedded Human pancreas tissue labeling PAX6 with ab195045 at 1/1000 dilution, followed by Goat Anti-Rabbit IgG H&L (HRP) secondary antibody (ab97051) at 1/500 dilution. Nuclear staining on human pancreas tissue is observed. Counter stained with Hematoxylin.

Negative control : Used PBS instead of primary antibody, secondary antibody is Goat Anti-Rabbit IgG H&L (HRP) (ab97051) at 1/500 dilution.

Perform heat mediated antigen retrieval with Tris/EDTA buffer pH 9.0 before commencing with IHC staining protocol.

Immunocytochemistry/ Immunofluorescence - Anti-PAX6 antibody [EPR15858] (AB195045)
  • ICC/IF

Lab

Immunocytochemistry/ Immunofluorescence - Anti-PAX6 antibody [EPR15858] (AB195045)

Immunofluorescence analysis of 4% paraformaldehyde-fixed, 0.1% tritonX-100 Y79 (Human retinoblastoma cell line) cells labeling PAX6 with ab195045 at 1/350, followed by Goat anti-rabbit IgG (Alexa Fluor® 488) (ab150077) secondary antibody at 1/400 (green).

Confocal image showing cytoplasmic and nuclear staining on Y79 cell line.

The nuclear counterstain is DAPI (blue).

Tubulin is detected with ab7291 (anti-Tubulin mouse mAb) at 1/500 and ab150120 (AlexaFluor®594 Goat anti-Mouse secondary) at 1/1000 (red).

The negative controls are as follows : -
-ve control 1 : ab195045 at 1/350 followed by ab150120 (AlexaFluor®594 Goat anti-Mouse secondary) at 1/500.

-ve control 2 : ab7291 at 1/500 followed by ab150077 (Alexa Fluor®488 Goat Anti-Rabbit IgG H&L) at 1/400.

Immunohistochemistry (Formalin/PFA-fixed paraffin-embedded sections) - Anti-PAX6 antibody [EPR15858] (AB195045)
  • IHC-P

Lab

Immunohistochemistry (Formalin/PFA-fixed paraffin-embedded sections) - Anti-PAX6 antibody [EPR15858] (AB195045)

IHC image of Pax6 staining in a formalin fixed, paraffin embedded normal rat cerebellum tissue section, performed on a Leica Bond™ system using the standard protocol F. The section was pre-treated using heat mediated antigen retrieval with sodium citrate buffer (pH6, epitope retrieval solution 1) for 20 mins. The section was then incubated with ab195045, 1/1000 dilution, for 15 mins at room temperature and detected using an HRP conjugated compact polymer system. DAB was used as the chromogen. The section was then counterstained with haematoxylin and mounted with DPX.

For other IHC staining systems (automated and non-automated) customers should optimize variable parameters such as antigen retrieval conditions, primary antibody concentration and antibody incubation times.

Immunocytochemistry/ Immunofluorescence - Anti-PAX6 antibody [EPR15858] (AB195045)
  • ICC/IF

Lab

Immunocytochemistry/ Immunofluorescence - Anti-PAX6 antibody [EPR15858] (AB195045)

ab195045 staining Pax6 in primary mouse neurons/glia, DIV1 (top row) and DIV14 (bottom row) both prepared from E18 mouse hippocampal brain area (obtained from Transnetyx Tissue by BrainBits, LLC, cat.no. C57EHP). The cells were fixed with 4% paraformaldehyde (10 min), permeabilized with 0.1% PBS-Triton X-100 for 5 minutes and then blocked with 1% BSA/10% normal goat serum/0.3M glycine in 0.1% PBS-Tween for 1h. The cells were then incubated overnight at 4°C with ab195045 at 0.2 µg/ml and ab7291, mouse monoclonal [DM1A] to alpha Tubulin, at 1/1000 dilution. Cells were then incubated with ab150081, Goat Anti-Rabbit IgG H&L (Alexa Fluor® 488) preadsorbed at 1/1000 dilution (shown in green) and ab150120, Goat Anti-Mouse IgG H&L (Alexa Fluor® 594) preadsorbed at 1/1000 dilution (shown in red). Nuclear DNA was labelled with DAPI (shown in blue). A subset of cells showed staining in the nucleus at DIV1 (likely neuroprogenitor cells), while differentiated neurons (DIV14) where Pax6 negative. Image was taken with a confocal microscope (Leica-Microsystems, TCS SP8).

Immunocytochemistry/ Immunofluorescence - Anti-PAX6 antibody [EPR15858] (AB195045)
  • ICC/IF

Lab

Immunocytochemistry/ Immunofluorescence - Anti-PAX6 antibody [EPR15858] (AB195045)

Immunofluorescence analysis of 4% paraformaldehyde-fixed, 0.1% tritonX-100 Neuro-2a (mouse neuroblastoma) cells labeling PAX6 with ab195045 at 1/350, followed by Goat anti-rabbit IgG (Alexa Fluor® 488) (ab150077) secondary antibody at 1/400 (green).

Confocal image showing cytoplasmic and nuclear staining on Neuro-2a cell line.

The nuclear counterstain is DAPI (blue).

Tubulin is detected with ab7291 (anti-Tubulin mouse mAb) at 1/500 and ab150120 (AlexaFluor®594 Goat anti-Mouse secondary) at 1/500 (red).

The negative controls are as follows : -

-ve control 1 : ab195045 at 1/350 followed by ab150120 (AlexaFluor®594 Goat anti-Mouse secondary) at 1/500.

-ve control 2 : ab7291 at 1/500 followed by ab150077 (Alexa Fluor®488 Goat Anti-Rabbit IgG H&L) at 1/400.

Western blot - Anti-PAX6 antibody [EPR15858] (AB195045)
  • WB

Supplier Data

Western blot - Anti-PAX6 antibody [EPR15858] (AB195045)

Blocking/Dilution buffer : 5% NFDM/TBST.

The 47kDa band represents the full length PAX6, the 32kDa & 33kDa bands represent the PAX6p32 & PAX6p33 fragments (PMID : 21084637, PMID : 32827359).

All lanes:

Western blot - Anti-PAX6 antibody [EPR15858] (ab195045) at 1/10000 dilution

Lane 1:

Y79 cell lysate at 20 µg

Lane 2:

HeLa cell lysate at 20 µg

Secondary

All lanes:

Goat Anti-Rabbit IgG, (H+L), Peroxidase conjugated at 1/1000 dilution

Predicted band size: 47 kDa

Observed band size: 32 kDa,33 kDa,47 kDa

false

Western blot - Anti-PAX6 antibody [EPR15858] (AB195045)
  • WB

Lab

Western blot - Anti-PAX6 antibody [EPR15858] (AB195045)

Western blot : Anti-PAX6 antibody [EPR15858] (ab195045) staining at 1/1000 dilution, shown in green; Mouse anti-GAPDH antibody [6C5] (ab8245) loading control staining at 1/20000 dilution, shown in magenta. In Western blot, ab195045 was shown to bind specifically to PAX6. A band was observed at 50 kDa in wild-type A549 cell lysates with no signal observed at this size in PAX6 knockout cell line. To generate this image, wild-type and PAX6 knockout A549 cell lysates were analysed. First, samples were run on an SDS-PAGE gel then transferred onto a nitrocellulose membrane. Membranes were blocked in 5 % milk in TBS-0.1 % Tween® 20 (TBS-T) before incubation with primary antibodies overnight at 4 °C. Blots were washed four times in TBS-T, incubated with secondary antibodies for 1 h at room temperature, washed again four times then imaged. Secondary antibodies used were Goat anti-Rabbit IgG H&L 800CW and Goat anti-Mouse IgG H&L 680RD at 1/20000 dilution.

All lanes:

Western blot - Anti-PAX6 antibody [EPR15858] (ab195045) at 1/1000 dilution

Lane 1:

Wild-type A549 cell lysate at 20 µg

Lane 2:

PAX6 knockout A549 cell lysate at 20 µg

Lane 3:

HEK-293 cell lysate at 20 µg

Lane 4:

MCF7 cell lysate at 20 µg

Secondary

All lanes:

Goat anti-Rabbit IgG H&L 800CW and Goat anti-Mouse IgG H&L 680RD at 1/20000 dilution

Observed band size: 50 kDa

false

Western blot - Anti-PAX6 antibody [EPR15858] (AB195045)
  • WB

Supplier Data

Western blot - Anti-PAX6 antibody [EPR15858] (AB195045)

Blocking/Dilution buffer : 5% NFDM/TBST.

The 47kDa band represents the full length PAX6, the 32kDa & 33kDa bands represent the PAX6p32 & PAX6p33 fragments (PMID : 21084637, PMID : 32827359).

All lanes:

Western blot - Anti-PAX6 antibody [EPR15858] (ab195045) at 1/1000 dilution

All lanes:

Mouse eyeball lysate at 20 µg

Secondary

All lanes:

Goat Anti-Rabbit IgG, (H+L), Peroxidase conjugated at 1/1000 dilution

Predicted band size: 47 kDa

Observed band size: 32 kDa,33 kDa,47 kDa

false

Western blot - Anti-PAX6 antibody [EPR15858] (AB195045)
  • WB

Supplier Data

Western blot - Anti-PAX6 antibody [EPR15858] (AB195045)

Blocking/Dilution buffer : 5% NFDM/TBST.

The transfected lysate spans the immunogenic region : aa1-aa422 (47kDa).

All lanes:

Western blot - Anti-PAX6 antibody [EPR15858] (ab195045) at 1/10000 dilution

Lane 1:

PAX6 transfected 293T cell lysate at 10 µg

Lane 2:

Non-transfected 293T cell lysate at 10 µg

Secondary

All lanes:

Goat Anti-Rabbit IgG, (H+L), Peroxidase conjugated at 1/1000 dilution

Predicted band size: 47 kDa

Observed band size: 32 kDa,33 kDa,47 kDa

false

  • Carrier free

    Anti-PAX6 antibody [EPR15858] - BSA and Azide free

Key facts

Host species

Rabbit

Clonality

Monoclonal

Clone number

EPR15858

Isotype

IgG

Carrier free

No

Reacts with

Mouse, Rat, Human

Applications

IHC-P, ICC/IF, WB

applications

Immunogen

The exact immunogen used to generate this antibody is proprietary information.

Reactivity data

{ "title": "Reactivity Data", "filters": { "stats": ["", "Species", "Dilution Info", "Notes"], "tabs": { "all-applications": {"fullname" : "All Applications", "shortname": "All Applications"}, "WB" : {"fullname" : "Western blot", "shortname":"WB"}, "ICCIF" : {"fullname" : "Immunocytochemistry/ Immunofluorescence", "shortname":"ICC/IF"}, "IHCP" : {"fullname" : "Immunohistochemistry (Formalin/PFA-fixed paraffin-embedded sections)", "shortname":"IHC-P"} }, "product-promise": { "all": "all", "testedAndGuaranteed": "tested", "guaranteed": "expected", "predicted": "predicted", "notRecommended": "not-recommended" } }, "values": { "Human": { "WB-species-checked": "testedAndGuaranteed", "WB-species-dilution-info": "1/1000", "WB-species-notes": "<p></p>", "ICCIF-species-checked": "testedAndGuaranteed", "ICCIF-species-dilution-info": "1/350", "ICCIF-species-notes": "<p></p>", "IHCP-species-checked": "testedAndGuaranteed", "IHCP-species-dilution-info": "1/500", "IHCP-species-notes": "<p></p> Perform heat-mediated antigen retrieval with Tris/EDTA buffer pH 9.0 before commencing with IHC staining protocol." }, "Mouse": { "WB-species-checked": "testedAndGuaranteed", "WB-species-dilution-info": "1/1000", "WB-species-notes": "<p></p>", "ICCIF-species-checked": "testedAndGuaranteed", "ICCIF-species-dilution-info": "1/350", "ICCIF-species-notes": "<p></p>", "IHCP-species-checked": "guaranteed", "IHCP-species-dilution-info": "", "IHCP-species-notes": "" }, "Rat": { "WB-species-checked": "guaranteed", "WB-species-dilution-info": "", "WB-species-notes": "", "ICCIF-species-checked": "guaranteed", "ICCIF-species-dilution-info": "", "ICCIF-species-notes": "", "IHCP-species-checked": "testedAndGuaranteed", "IHCP-species-dilution-info": "1/500", "IHCP-species-notes": "<p></p> Perform heat-mediated antigen retrieval with Tris/EDTA buffer pH 9.0 before commencing with IHC staining protocol." } } }

Product details

Product Specifications
Anti-PAX6 antibody [EPR15858] (ab195045) was developed by Abcam using patented rabbit monoclonal antibody technology and is validated for use in ICC/IF, IHC-P, WB in human, mouse, rat samples.
Anti-PAX6 antibody [EPR15858] (ab195045) specifically detects PAX6 (UniProt ID: P26367; Molecular weight: 47kDa) and is sold in 100 µL and 1 mL selling sizes.

Quality and Validation
Abcam's high quality manufacturing and validation processes ensure Anti-PAX6 antibody [EPR15858] (ab195045) has high sensitivity and specificity alongside high lot-to-lot consistency and reproducibility.
Anti-PAX6 antibody [EPR15858] (ab195045) has been cited over 57 times in peer reviewed journals and is trusted by the scientific community.
Anti-PAX6 antibody [EPR15858] (ab195045) has 8 independent reviews from customers.

Patented technology
Our RabMAb® technology is a patented hybridoma-based technology for making rabbit monoclonal antibodies. For details on our patents, please refer to RabMAb® patents.

What are the advantages of a recombinant monoclonal antibody?
This product is a recombinant monoclonal antibody, which offers several advantages including:

  • - High batch-to-batch consistency and reproducibility
  • - Improved sensitivity and specificity
  • - Long-term security of supply
  • - Animal-free batch production

For more information, read more on recombinant antibodies.

Properties and storage information

Form
Liquid
Purification technique
Affinity purification Protein A
Storage buffer
pH: 7.2 - 7.4 Preservative: 0.01% Sodium azide Constituents: PBS, 40% Glycerol (glycerin, glycerine), 0.05% BSA
Shipped at conditions
Blue Ice
Appropriate short-term storage duration
1-2 weeks
Appropriate short-term storage conditions
+4°C
Appropriate long-term storage conditions
-20°C
Aliquoting information
Upon delivery aliquot
Storage information
Avoid freeze / thaw cycle

Supplementary information

This supplementary information is collated from multiple sources and compiled automatically.

The PAX6 protein also known as paired box 6 is a transcription factor involved in the development of eyes and neural tissues. It consists of a paired domain and a homeodomain collectively giving a molecular weight of approximately 48 kDa. This protein is highly expressed in developing ocular and central nervous tissues where it controls the expression of genes necessary for proper development. PAX6 is a widely studied marker in developmental biology due to its critical role in cellular differentiation and patterning processes.
Biological function summary

PAX6 acts as an important regulator in eye and neural development functioning alone and as part of larger complexes with other transcription factors. This role ensures the correct formation of ocular structures including the lens retina and cornea and neural elements by activating downstream targets important for cell fate decisions. The PAX6 protein intricately influences the genetic circuits that guide stem cell differentiation highlighting its importance in embryogenesis and organogenesis.

Pathways

PAX6 is pivotal in the Wnt signaling pathway and retinoic acid signaling. Its interaction within the Wnt pathway orchestrates vital developmental processes including those of eye morphogenesis and brain patterning. The protein collaborates with other transcriptional regulators such as SOX2 and EYA1 within these pathways facilitating the complex network of signals necessary for organ development and cellular identity specification.

PAX6 mutations have strong associations with aniridia and congenital eye malformations. Mutations in PAX6 disrupt the transcriptional regulation required for eye development often resulting in severe vision defects and structural anomalies. The intracacy of its involvement extends to disorders like Wilms' tumor wherein its altered expression or function in conjunction with proteins such as WT1 may contribute to oncogenesis. Scientists frequently use PAX6 staining to investigate these conditions and better understand their molecular underpinnings.

Product protocols

For this product, it's our understanding that no specific protocols are required. You can visit:

Target data

PAX6 is a transcription factor with important roles in the development of the eye, nose, central nervous system, and pancreas. It competes with PAX4 for binding to a common element in the promoters of glucagon, insulin, and somatostatin. This supplementary information is collated from multiple sources and compiled automatically.
See full target information PAX6

Publications (84)

Recent publications for all applications. Explore the full list and refine your search

International journal of molecular sciences 26: PubMed40869158

2025

Bi-Allelic Loss-of-Function Variant in MAN1B1 Cause Rafiq Syndrome and Developmental Delay.

Applications

Unspecified application

Species

Unspecified reactive species

Liyu Zang,Yaoling Han,Qiumeng Zhang,Si Luo,Zhengmao Hu,Kun Xia,Ashfaque Ahmed,Qi Tian

Investigative ophthalmology & visual science 66:45 PubMed40662889

2025

Mettl3 Regulates Lens Development by Promoting the Differentiation Processes of Secondary Fiber Cells.

Applications

Unspecified application

Species

Unspecified reactive species

Leyi Hu,Jingyu Ma,Jingyi Guo,Huilin Liang,Ke Zhang,Xuhua Tan,Zhenzhen Liu,Lixia Luo,Yizhi Liu,Shuyi Chen

Cellular and molecular life sciences : CMLS 82:224 PubMed40471331

2025

The ADCY1-mediated cAMP signaling pathway mediates functional effects of montelukast treatment in brain organoids.

Applications

Unspecified application

Species

Unspecified reactive species

Zhenhong Xu,Hongye Yan,Bo Wang,Huimin Wang,Ye Xia,Juan Wan,Jiamei Jiang,Lin Zeng,Beisha Tang,Qingtuan Meng

iScience 28:112510 PubMed40469112

2025

Multiomics reveal biomolecular shifts and ER stress in sleep-restricted women affecting NSC functions.

Applications

Unspecified application

Species

Unspecified reactive species

Vikas Malik,Xin Huang,Hongwei Zhou,Rebecca Bojar,Rajesh Kumar Soni,Donald W Landry,Sanja Jelic,Jianlong Wang

Theranostics 15:4890-4908 PubMed40303347

2025

Pharmacological targeting of mitophagy via ALT001 improves herpes simplex virus 1 (HSV1)-mediated microglial inflammation and promotes amyloid β phagocytosis by restricting HSV1 infection.

Applications

Unspecified application

Species

Unspecified reactive species

Soo-Jin Oh,Young Yeon Kim,Ruiying Ma,Seok Tae Choi,Se Myeong Choi,Jong Hyun Cho,Ji-Yeun Hur,Yongjin Yoo,Kihoon Han,Hosun Park,Jeanho Yun,Ok Sarah Shin

Pharmaceutics 17: PubMed40284406

2025

Targeting TDP-43 Proteinopathy in hiPSC-Derived Mutated hNPCs with Mitoxantrone Drugs and miRNAs.

Applications

Unspecified application

Species

Unspecified reactive species

Uzair A Ansari,Ankita Srivastava,Ankur K Srivastava,Abhishek Pandeya,Pankhi Vatsa,Renu Negi,Akash Singh,Aditya B Pant

Frontiers in neuroscience 19:1556703 PubMed40248263

2025

Comparative study of the effects of prenatal sevoflurane exposure at different cortical stages on forebrain development and maturation in offspring.

Applications

Unspecified application

Species

Unspecified reactive species

Tianyuan Wang,Huandi Weng,Yalan Li

Advanced biology 9:e2400748 PubMed39957575

2025

KIF11 Inhibition Induces Retinopathy Progression by Affecting Photoreceptor Cell Ciliogenesis and Cell Cycle Regulation in Development.

Applications

Unspecified application

Species

Unspecified reactive species

Yue Xu,Jie Chen,Xin-Yao Wang,Min-Hui Huang,Xiang Wei,Xin-Rui Luo,Ya-Lan Wei,Zhen-Yu She

Frontiers in cell and developmental biology 12:1526943 PubMed39834393

2025

Differentiation of mesenchymal stem cells towards lens epithelial stem cells based on three-dimensional bio-printed matrix.

Applications

Unspecified application

Species

Unspecified reactive species

Yufan Liu,Zuowei Wang,Tianju Ma,Yi Gao,Wenqian Chen,Zi Ye,Zhaohui Li

Journal of tissue engineering 15:20417314241265198 PubMed39092452

2024

Optogenetically modified human embryonic stem cell-derived otic neurons establish functional synaptic connection with cochlear nuclei.

Applications

Unspecified application

Species

Unspecified reactive species

Yanni Chen,Wenbo Mu,Yongkang Wu,Jiake Xu,Xiaofang Li,Hui Hu,Siqi Wang,Dali Wang,Bin Hui,Lang Wang,Yi Dong,Wei Chen
View all publications

Product promise

We are committed to supporting your work with high-quality reagents, and we're here for you every step of the way. In the unlikely event that one of our products does not perform as expected, you're protected by our Product Promise.
For full details, please see our Terms & Conditions

Please note: All products are 'FOR RESEARCH USE ONLY. NOT FOR USE IN DIAGNOSTIC OR THERAPEUTIC PROCEDURES'.

For licensing inquiries, please contact partnerships@abcam.com