JavaScript is disabled in your browser. Please enable JavaScript to view this website.
AB181054

Anti-PAX8 antibody [EPR13510]

Be the first to review this product! Submit a review

|

(2 Publications)

Rabbit Recombinant Monoclonal PAX8 antibody. Suitable for IHC-P, WB, ChIC/CUT&RUN-seq and reacts with Human samples. Cited in 2 publications.

View Alternative Names

Paired box protein Pax-8, PAX8

7 Images
Immunohistochemistry (Formalin/PFA-fixed paraffin-embedded sections) - Anti-PAX8 antibody [EPR13510] (AB181054)
  • IHC-P

Lab

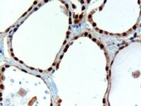
Immunohistochemistry (Formalin/PFA-fixed paraffin-embedded sections) - Anti-PAX8 antibody [EPR13510] (AB181054)

Immunohistochemistry (Formalin/PFA-fixed paraffin-embedded sections) analysis of human thyroid tissue labelling PAX8 with purified ab181054 at a dilution of 1/1000. Heat mediated antigen retrieval was performed using Tris/EDTA buffer pH 9. ab97051 a HRP-conjugated goat anti-rabbit IgG (H+L) was used as the secondary antibody (1/500). Negative control using PBS instead of primary antibody. Counterstained with hematoxylin.

Immunohistochemistry (Formalin/PFA-fixed paraffin-embedded sections) - Anti-PAX8 antibody [EPR13510] (AB181054)
  • IHC-P

Unknown

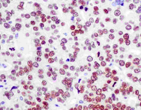
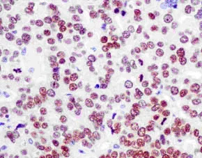
Immunohistochemistry (Formalin/PFA-fixed paraffin-embedded sections) - Anti-PAX8 antibody [EPR13510] (AB181054)

Immunohistochemistry (Formalin/PFA-fixed paraffin-embedded sections) analysis of human ovarian carcinoma tissue labelling PAX8 with unpurified ab181054 at a dilution of 1/500 followed by incubation with a pre-diluted HRP-conjugated secondary antibody and counter-staining with Hematoxylin.

Perform heat mediated antigen retrieval before commencing with IHC staining protocol.

Immunohistochemistry (Formalin/PFA-fixed paraffin-embedded sections) - Anti-PAX8 antibody [EPR13510] (AB181054)
  • IHC-P

Unknown

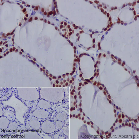
Immunohistochemistry (Formalin/PFA-fixed paraffin-embedded sections) - Anti-PAX8 antibody [EPR13510] (AB181054)

Immunohistochemistry (Formalin/PFA-fixed paraffin-embedded sections) analysis of human thyroid tissue labelling PAX8 with unpurified ab181054 at a dilution of 1/500 followed by incubation with a pre-diluted HRP-conjugated secondary antibody and counter-staining with Hematoxylin.

Perform heat mediated antigen retrieval before commencing with IHC staining protocol.

Western blot - Anti-PAX8 antibody [EPR13510] (AB181054)
  • WB

Lab

Western blot - Anti-PAX8 antibody [EPR13510] (AB181054)

Blocking/Diluting buffer : 5% NFDM/TBST

Loading Control : Rabbit monoclonal [EPR16891] to GAPDH (ab181602)

All lanes:

Western blot - Anti-PAX8 antibody [EPR13510] (ab181054) at 1/1000 dilution

Lane 1:

SK-OV-3 (Human ovarian cancer epithelial cell) cell lysate at 10 µg

Lane 2:

TT (Human thyroid carcinoma epithelial cell) cell lysate at 10 µg

Lane 3:

293T (Human embryonic kidney epithelial cell) cell lysate at 10 µg

Lane 4:

Human kidney lysate at 10 µg

Lane 5:

Human heart lysate at 10 µg

Lane 6:

Human thyroid lysate at 10 µg

Secondary

All lanes:

Western blot - Goat Anti-Rabbit IgG H&L (HRP) (<a href='/en-us/products/secondary-antibodies/goat-rabbit-igg-h-l-hrp-ab97051'>ab97051</a>) at 1/20000 dilution

Predicted band size: 48 kDa

Observed band size: 30 kDa,50 kDa

false

Exposure time: 7s

ChIC/CUT&RUN sequencing - Anti-PAX8 antibody [EPR13510] (AB181054)
  • ChIC/CUT&RUN-seq

Lab

ChIC/CUT&RUN sequencing - Anti-PAX8 antibody [EPR13510] (AB181054)

ChIC/CUT&RUN was performed using a pAG-MNase at a final concentration of 700 ng/mL, 2.5 x 10^5 NIH : OVCAR-3 (Human ovary adenocarcinoma epithelial cell) cells and 5 µg of ab181054 [EPR13510]. The resulting DNA was sequenced on the Illumina NovaSeq 6000 to a depth of 10 million reads. The negative IgG control ab172730 is also shown. The University of Geneva owns patents relevant to ChIC (Chromatin Immuno-Cleavage) methods.

ChIC/CUT&RUN sequencing - Anti-PAX8 antibody [EPR13510] (AB181054)
  • ChIC/CUT&RUN-seq

Lab

ChIC/CUT&RUN sequencing - Anti-PAX8 antibody [EPR13510] (AB181054)

ChIC/CUT&RUN was performed using a pAG-MNase at a final concentration of 700 ng/mL, 2.5 x 10^5 NIH : OVCAR-3 (Human ovary adenocarcinoma epithelial cell) cells and 5 µg of ab181054 [EPR13510]. The resulting DNA was sequenced on the Illumina NovaSeq 6000 to a depth of 10 million reads. The negative IgG control ab172730 is also shown. The University of Geneva owns patents relevant to ChIC (Chromatin Immuno-Cleavage) methods."

ChIC/CUT&RUN sequencing - Anti-PAX8 antibody [EPR13510] (AB181054)
  • ChIC/CUT&RUN-seq

Lab

ChIC/CUT&RUN sequencing - Anti-PAX8 antibody [EPR13510] (AB181054)

ChIC/CUT&RUN was performed using a pAG-MNase at a final concentration of 700 ng/mL, 2.5 x 10^5 NIH : OVCAR-3 (Human ovary adenocarcinoma epithelial cell) cells and 5 µg of ab181054 [EPR13510]. The resulting DNA was sequenced on the Illumina NovaSeq 6000 to a depth of 10 million reads. The negative IgG control ab172730 is also shown. The University of Geneva owns patents relevant to ChIC (Chromatin Immuno-Cleavage) methods."

  • Carrier free

    Anti-PAX8 antibody [EPR13510] - BSA and Azide free

Key facts

Host species

Rabbit

Clonality

Monoclonal

Clone number

EPR13510

Isotype

IgG

Carrier free

No

Reacts with

Human

Applications

IHC-P, ChIC/CUT&RUN-seq, WB

applications

Immunogen

The exact immunogen used to generate this antibody is proprietary information.

Reactivity data

{ "title": "Reactivity Data", "filters": { "stats": ["", "Species", "Dilution Info", "Notes"], "tabs": { "all-applications": {"fullname" : "All Applications", "shortname": "All Applications"}, "IHCP" : {"fullname" : "Immunohistochemistry (Formalin/PFA-fixed paraffin-embedded sections)", "shortname":"IHC-P"}, "WB" : {"fullname" : "Western blot", "shortname":"WB"}, "ChICCUTRUNseq" : {"fullname" : "ChIC/CUT&RUN sequencing", "shortname":"ChIC/CUT&RUN-seq"} }, "product-promise": { "all": "all", "testedAndGuaranteed": "tested", "guaranteed": "expected", "predicted": "predicted", "notRecommended": "not-recommended" } }, "values": { "Human": { "IHCP-species-checked": "testedAndGuaranteed", "IHCP-species-dilution-info": "1/250 - 1/1000", "IHCP-species-notes": "<p></p> Perform heat-mediated antigen retrieval before commencing with IHC staining protocol.", "WB-species-checked": "testedAndGuaranteed", "WB-species-dilution-info": "1/1000", "WB-species-notes": "<p></p>", "ChICCUTRUNseq-species-checked": "testedAndGuaranteed", "ChICCUTRUNseq-species-dilution-info": "", "ChICCUTRUNseq-species-notes": "<p></p>" }, "Mouse": { "IHCP-species-checked": "notRecommended", "IHCP-species-dilution-info": "", "IHCP-species-notes": "", "WB-species-checked": "notRecommended", "WB-species-dilution-info": "1/1000", "WB-species-notes": "<p></p>", "ChICCUTRUNseq-species-checked": "notRecommended", "ChICCUTRUNseq-species-dilution-info": "", "ChICCUTRUNseq-species-notes": "" } } }

Product details

Patented technology
Our RabMAb® technology is a patented hybridoma-based technology for making rabbit monoclonal antibodies. For details on our patents, please refer to RabMAb® patents.

What are the advantages of a recombinant monoclonal antibody?
This product is a recombinant monoclonal antibody, which offers several advantages including:

  • - High batch-to-batch consistency and reproducibility
  • - Improved sensitivity and specificity
  • - Long-term security of supply
  • - Animal-free batch production

For more information, read more on recombinant antibodies.

Properties and storage information

Form
Liquid
Purification technique
Affinity purification Protein A
Storage buffer
Preservative: 0.01% Sodium azide Constituents: PBS, 40% Glycerol (glycerin, glycerine), 0.05% BSA
Shipped at conditions
Blue Ice
Appropriate short-term storage duration
1-2 weeks
Appropriate short-term storage conditions
+4°C
Appropriate long-term storage conditions
-20°C
Aliquoting information
Upon delivery aliquot
Storage information
Avoid freeze / thaw cycle

Supplementary information

This supplementary information is collated from multiple sources and compiled automatically.

PAX8 also known as 3a8 is a transcription factor with a molecular mass of approximately 48 kDa. It belongs to the paired box (PAX) family of proteins which are characterized by a specific DNA-binding domain. PAX8 plays an important role in organ development and cellular differentiation. This protein is mainly expressed in the thyroid kidneys and Müllerian-derived tissues. Researchers often detect PAX8 using immunohistochemistry (PAX8 IHC) techniques due to its tissue-specific expression patterns.
Biological function summary

The PAX8 protein regulates the expression of genes related to organogenesis and cell fate determination. It forms part of transcriptional regulatory complexes partnering with other proteins to modulate gene activity. PAX8 supports embryonic development especially in the thyroid and urogenital tract. Its presence ensures the proper function and formation of these organs highlighting its significance in developmental biology.

Pathways

PAX8 interacts with several key biological processes. It notably participates in the thyroid hormone synthesis pathway where it regulates the expression of thyroglobulin and thyroperoxidase. PAX8 also affects the renal system through its interaction with WT1 a protein involved in kidney development. These pathways illustrate PAX8's role in maintaining endocrine and renal functions by influencing important protein interactions.

PAX8 mutations and dysregulation connect to conditions like congenital hypothyroidism and renal agenesis. In congenital hypothyroidism defects in PAX8 lead to impaired thyroid development affecting hormone production. Moreover its interaction with BCL2 an important apoptosis regulator relates to certain cancers such as ovarian carcinoma. The misregulation of PAX8 increases the risk and progression of these disorders by disrupting normal physiological processes.

Product protocols

For this product, it's our understanding that no specific protocols are required. You can visit:

Target data

Transcription factor for the thyroid-specific expression of the genes exclusively expressed in the thyroid cell type, maintaining the functional differentiation of such cells.
See full target information PAX8

Publications (2)

Recent publications for all applications. Explore the full list and refine your search

Translational oncology 53:102310 PubMed39929064

2025

CSF3 promotes colorectal cancer progression by activating p65/NF-κB signaling pathway and inducing an immunosuppressive microenvironment.

Applications

Unspecified application

Species

Unspecified reactive species

Junfeng Xu,Na Li,Hui Xie,Changwei Duan,Xingchen Liao,Ruoran Li,Heng Zhang,Yuanming Pan,Xianzong Ma,Shuwen Du,Jianqiu Sheng,Xin Wang,Lang Yang,Peng Jin

Gynecologic oncology 167:96-106 PubMed35918200

2022

A novel cell line panel reveals non-genetic mediators of platinum resistance and phenotypic diversity in high grade serous ovarian cancer.

Applications

Unspecified application

Species

Unspecified reactive species

J I Hoare,H Hockings,J Saxena,V L Silva,M J Haughey,G E Wood,F Nicolini,H Mirza,I A McNeish,W Huang,E Maniati,T A Graham,M Lockley
View all publications

Product promise

We are committed to supporting your work with high-quality reagents, and we're here for you every step of the way. In the unlikely event that one of our products does not perform as expected, you're protected by our Product Promise.
For full details, please see our Terms & Conditions

Please note: All products are 'FOR RESEARCH USE ONLY. NOT FOR USE IN DIAGNOSTIC OR THERAPEUTIC PROCEDURES'.

For licensing inquiries, please contact partnerships@abcam.com