JavaScript is disabled in your browser. Please enable JavaScript to view this website.
AB240306

Anti-PAX8 antibody [EPR13511] - BSA and Azide free

Be the first to review this product! Submit a review

|

(1 Publication)

Rabbit Recombinant Monoclonal PAX8 antibody. Carrier free. Suitable for IHC-P and reacts with Human samples. Cited in 1 publication.

View Alternative Names

Paired box protein Pax-8, PAX8

2 Images
Immunohistochemistry (Formalin/PFA-fixed paraffin-embedded sections) - Anti-PAX8 antibody [EPR13511] - BSA and Azide free (AB240306)
  • IHC-P

Lab

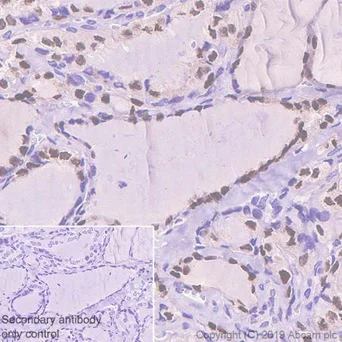
Immunohistochemistry (Formalin/PFA-fixed paraffin-embedded sections) - Anti-PAX8 antibody [EPR13511] - BSA and Azide free (AB240306)

Nuclear staining on paraffin-embedded sections of human thyroid carcinoma tissue, performed on a Leica Biosystems BOND® RX instrument. Heat mediated antigen retrieval was performed using Bond™ Epitope Retrieval Solution 2 (pH 9.0) for 20 minutes. Samples were incubated with primary antibody at a 1 : 10000 dilution (0.1 μg/ml). A Rabbit specific IHC polymer detection kit HRP/DAB (ab209101) was used as the secondary antibody. Hematoxylin was used as the counterstain. A secondary antibody-only control was also performed.

This data was developed using the same antibody clone in a different buffer formulation containing PBS, BSA, glycerol, and sodium azide (ab189249).

Immunohistochemistry (Formalin/PFA-fixed paraffin-embedded sections) - Anti-PAX8 antibody [EPR13511] - BSA and Azide free (AB240306)
  • IHC-P

Supplier Data

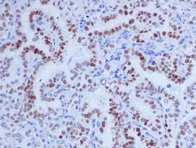
Immunohistochemistry (Formalin/PFA-fixed paraffin-embedded sections) - Anti-PAX8 antibody [EPR13511] - BSA and Azide free (AB240306)

Immunohistochemical analysis of formalin fixed paraffin embedded human thyroid carcinoma labeling PAX8 with ab189249 at a 1/500 dilution and HRP Polymer for Rabbit IgG. Counterstained with Hematoxylin.

This data was developed using the same antibody clone in a different buffer formulation containing PBS, BSA, glycerol, and sodium azide (ab189249).

Perform heat mediated antigen retrieval with Tris/EDTA buffer pH 9.0 before commencing with IHC staining protocol.

Key facts

Host species

Rabbit

Clonality

Monoclonal

Clone number

EPR13511

Isotype

IgG

Carrier free

Yes

Reacts with

Human

Applications

IHC-P

applications

Immunogen

The exact immunogen used to generate this antibody is proprietary information.

Reactivity data

{ "title": "Reactivity Data", "filters": { "stats": ["", "Species", "Dilution Info", "Notes"], "tabs": { "all-applications": {"fullname" : "All Applications", "shortname": "All Applications"}, "FlowCyt" : {"fullname" : "Flow Cytometry", "shortname":"Flow Cyt"}, "ICCIF" : {"fullname" : "Immunocytochemistry/ Immunofluorescence", "shortname":"ICC/IF"}, "IHCP" : {"fullname" : "Immunohistochemistry (Formalin/PFA-fixed paraffin-embedded sections)", "shortname":"IHC-P"} }, "product-promise": { "all": "all", "testedAndGuaranteed": "tested", "guaranteed": "expected", "predicted": "predicted", "notRecommended": "not-recommended" } }, "values": { "Human": { "FlowCyt-species-checked": "notRecommended", "FlowCyt-species-dilution-info": "1/20", "FlowCyt-species-notes": "<p></p>", "ICCIF-species-checked": "notRecommended", "ICCIF-species-dilution-info": "1/500", "ICCIF-species-notes": "<p></p>", "IHCP-species-checked": "testedAndGuaranteed", "IHCP-species-dilution-info": "", "IHCP-species-notes": "<p></p> Perform heat-mediated antigen retrieval with Tris/EDTA buffer pH 9.0 before commencing with IHC staining protocol." }, "Mouse": { "FlowCyt-species-checked": "notRecommended", "FlowCyt-species-dilution-info": "", "FlowCyt-species-notes": "", "ICCIF-species-checked": "notRecommended", "ICCIF-species-dilution-info": "", "ICCIF-species-notes": "", "IHCP-species-checked": "predicted", "IHCP-species-dilution-info": "", "IHCP-species-notes": "" }, "Rat": { "FlowCyt-species-checked": "notRecommended", "FlowCyt-species-dilution-info": "", "FlowCyt-species-notes": "", "ICCIF-species-checked": "notRecommended", "ICCIF-species-dilution-info": "", "ICCIF-species-notes": "", "IHCP-species-checked": "predicted", "IHCP-species-dilution-info": "", "IHCP-species-notes": "" }, "Dog": { "FlowCyt-species-checked": "notRecommended", "FlowCyt-species-dilution-info": "", "FlowCyt-species-notes": "", "ICCIF-species-checked": "notRecommended", "ICCIF-species-dilution-info": "", "ICCIF-species-notes": "", "IHCP-species-checked": "predicted", "IHCP-species-dilution-info": "", "IHCP-species-notes": "" }, "Orangutan": { "FlowCyt-species-checked": "notRecommended", "FlowCyt-species-dilution-info": "", "FlowCyt-species-notes": "", "ICCIF-species-checked": "notRecommended", "ICCIF-species-dilution-info": "", "ICCIF-species-notes": "", "IHCP-species-checked": "predicted", "IHCP-species-dilution-info": "", "IHCP-species-notes": "" } } }

Product details

ab240306 is the carrier-free version of ab189249.

Patented technology
Our RabMAb® technology is a patented hybridoma-based technology for making rabbit monoclonal antibodies. For details on our patents, please refer to RabMAb® patents.

What are the advantages of a recombinant monoclonal antibody?
This product is a recombinant monoclonal antibody, which offers several advantages including:

  • - High batch-to-batch consistency and reproducibility
  • - Improved sensitivity and specificity
  • - Long-term security of supply
  • - Animal-free batch production

For more information, read more on recombinant antibodies.

Conjugation ready
Our carrier-free antibodies are typically supplied in a PBS-only formulation, purified and free of BSA, sodium azide and glycerol. This conjugation-ready format is designed for use with fluorochromes, metal isotopes, oligonucleotides, and enzymes, which makes them ideal for antibody labelling, functional and cell-based assays, flow-based assays (e.g. mass cytometry) and Multiplex Imaging applications.

Use our conjugation kits for antibody conjugates that are ready-to-use in as little as 20 minutes with 1 minute hands-on-time and 100% antibody recovery: available for fluorescent dyes, HRP, biotin and gold.

Compatibility
This product is compatible with the Maxpar® Antibody Labeling Kit from Fluidigm, without the need for antibody preparation. Maxpar® is a trademark of Fluidigm Canada Inc.

Properties and storage information

Form
Liquid
Purification technique
Affinity purification Protein A
Storage buffer
pH: 7.2 - 7.4 Constituents: PBS
Shipped at conditions
Blue Ice
Appropriate short-term storage conditions
+4°C
Appropriate long-term storage conditions
+4°C
Storage information
Do Not Freeze

Supplementary information

This supplementary information is collated from multiple sources and compiled automatically.

PAX8 also known as 3a8 is a transcription factor with a molecular mass of approximately 48 kDa. It belongs to the paired box (PAX) family of proteins which are characterized by a specific DNA-binding domain. PAX8 plays an important role in organ development and cellular differentiation. This protein is mainly expressed in the thyroid kidneys and Müllerian-derived tissues. Researchers often detect PAX8 using immunohistochemistry (PAX8 IHC) techniques due to its tissue-specific expression patterns.
Biological function summary

The PAX8 protein regulates the expression of genes related to organogenesis and cell fate determination. It forms part of transcriptional regulatory complexes partnering with other proteins to modulate gene activity. PAX8 supports embryonic development especially in the thyroid and urogenital tract. Its presence ensures the proper function and formation of these organs highlighting its significance in developmental biology.

Pathways

PAX8 interacts with several key biological processes. It notably participates in the thyroid hormone synthesis pathway where it regulates the expression of thyroglobulin and thyroperoxidase. PAX8 also affects the renal system through its interaction with WT1 a protein involved in kidney development. These pathways illustrate PAX8's role in maintaining endocrine and renal functions by influencing important protein interactions.

PAX8 mutations and dysregulation connect to conditions like congenital hypothyroidism and renal agenesis. In congenital hypothyroidism defects in PAX8 lead to impaired thyroid development affecting hormone production. Moreover its interaction with BCL2 an important apoptosis regulator relates to certain cancers such as ovarian carcinoma. The misregulation of PAX8 increases the risk and progression of these disorders by disrupting normal physiological processes.

Product protocols

For this product, it's our understanding that no specific protocols are required. You can visit:

Target data

Transcription factor for the thyroid-specific expression of the genes exclusively expressed in the thyroid cell type, maintaining the functional differentiation of such cells.
See full target information PAX8

Publications (1)

Recent publications for all applications. Explore the full list and refine your search

Developmental cell 54:455-470.e5 PubMed32553121

2020

DDX3X Suppresses the Susceptibility of Hindbrain Lineages to Medulloblastoma.

Applications

Unspecified application

Species

Unspecified reactive species

Deanna M Patmore,Amir Jassim,Erica Nathan,Reuben J Gilbertson,Daniel Tahan,Nadin Hoffmann,Yiai Tong,Kyle S Smith,Thirumala-Devi Kanneganti,Hiromichi Suzuki,Michael D Taylor,Paul Northcott,Richard J Gilbertson
View all publications

Product promise

We are committed to supporting your work with high-quality reagents, and we're here for you every step of the way. In the unlikely event that one of our products does not perform as expected, you're protected by our Product Promise.
For full details, please see our Terms & Conditions

Please note: All products are 'FOR RESEARCH USE ONLY. NOT FOR USE IN DIAGNOSTIC OR THERAPEUTIC PROCEDURES'.

For licensing inquiries, please contact partnerships@abcam.com