JavaScript is disabled in your browser. Please enable JavaScript to view this website.
AB191870

Anti-PAX8 antibody [EPR18715]

  • Recombinant
  • Advanced Validation
  • RabMAb
  • 20ul selling size
  • What is this?

Be the first to review this product! Submit a review

|

(17 Publications)

Anti-PAX8 antibody [EPR18715] (ab191870) is a rabbit monoclonal antibody detecting PAX8 in Western Blot, IHC-P, IHC-Fr, ICC/IF. Suitable for Human, Mouse.

- Biophysical QC for unrivalled batch-batch consistency

View Alternative Names

Paired box protein Pax-8, PAX8

10 Images
Immunocytochemistry/ Immunofluorescence - Anti-PAX8 antibody [EPR18715] (AB191870)
  • ICC/IF

Supplier Data

Immunocytochemistry/ Immunofluorescence - Anti-PAX8 antibody [EPR18715] (AB191870)

Immunofluorescent analysis of 4% paraformaldehyde-fixed, 0.1% Triton X-100 permeabilized SK-OV-3 (Human ovarian cancer cell line) cells labeling PAX8 with ab191870 at 1/1000 dilution, followed by Goat anti-rabbit IgG (Alexa Fluor® 488) (ab150077) secondary antibody at 1/1000 dilution (green). Confocal image showing nucleus staining on SK-OV-3 cell line. The nuclear counter stain is DAPI (blue). Tubulin is detected with ab7291 (anti-Tubulin mouse mAb) at 1/1000 dilution and ab150120 (AlexaFluor®594 Goat anti-Mouse secondary) at 1/1000 dilution (red).

The negative controls are as follows :
-ve control 1 : ab191870 at 1/1000 dilution followed by ab150120 (AlexaFluor®594 Goat anti-Mouse secondary) at 1/1000 dilution.
-ve control 2 : ab7291 (anti-Tubulin mouse mAb) at 1/1000 dilution followed by ab150077 (Alexa Fluor®488 Goat Anti-Rabbit IgG H&L) at 1/1000 dilution.

Immunocytochemistry/ Immunofluorescence - Anti-PAX8 antibody [EPR18715] (AB191870)
  • ICC/IF

Supplier Data

Immunocytochemistry/ Immunofluorescence - Anti-PAX8 antibody [EPR18715] (AB191870)

Immunofluorescent analysis of 4% paraformaldehyde-fixed, 0.1% Triton X-100 permeabilized NIH : OVCAR-3 (Human ovary adenocarcinoma cell line) cells labeling PAX8 with ab191870 at 1/1000 dilution, followed by Goat anti-rabbit IgG (Alexa Fluor® 488) (ab150077) secondary antibody at 1/1000 dilution (green). Confocal image showing nucleus staining on NIH : OVCAR-3 cell line. The nuclear counter stain is DAPI (blue). Tubulin is detected with ab7291 (anti-Tubulin mouse mAb) at 1/1000 dilution and ab150120 (AlexaFluor®594 Goat anti-Mouse secondary) at 1/1000 dilution (red).

The negative controls are as follows :
-ve control 1 : ab191870 at 1/1000 dilution followed by ab150120 (AlexaFluor®594 Goat anti-Mouse secondary) at 1/1000 dilution.
-ve control 2 : ab7291 (anti-Tubulin mouse mAb) at 1/1000 dilution followed by ab150077 (Alexa Fluor®488 Goat Anti-Rabbit IgG H&L) at 1/1000 dilution.

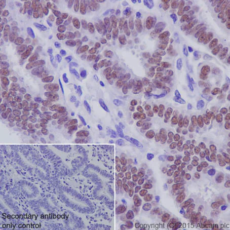
Immunohistochemistry (Formalin/PFA-fixed paraffin-embedded sections) - Anti-PAX8 antibody [EPR18715] (AB191870)
  • IHC-P

Supplier Data

Immunohistochemistry (Formalin/PFA-fixed paraffin-embedded sections) - Anti-PAX8 antibody [EPR18715] (AB191870)

Immunohistochemical analysis of paraffin-embedded Human endometrium carcinoma tissue labeling PAX8 with ab191870 at 1/1000 dilution, followed by Goat Anti-Rabbit IgG H&L (HRP) (ab97051) at 1/500 dilution. Nucleus staining on tumor cells of the endometrium carcinoma is observed. Counter stained with Hematoxylin.

Secondary antibody only control : Used PBS instead of primary antibody, secondary antibody is Goat Anti-Rabbit IgG H&L (HRP) (ab97051) at 1/500 dilution.

Perform heat mediated antigen retrieval with Tris/EDTA buffer pH 9.0 before commencing with IHC staining protocol.

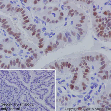
Immunohistochemistry (Formalin/PFA-fixed paraffin-embedded sections) - Anti-PAX8 antibody [EPR18715] (AB191870)
  • IHC-P

Supplier Data

Immunohistochemistry (Formalin/PFA-fixed paraffin-embedded sections) - Anti-PAX8 antibody [EPR18715] (AB191870)

Immunohistochemical analysis of paraffin-embedded Human thyroid carcinoma tissue labeling PAX8 with ab191870 at 1/1000 dilution, followed by Goat Anti-Rabbit IgG H&L (HRP) (ab97051) at 1/500 dilution. Nucleus staining on tumor cells of thyroid carcinoma is observed. Counter stained with Hematoxylin.

Secondary antibody only control : Used PBS instead of primary antibody, secondary antibody is Goat Anti-Rabbit IgG H&L (HRP) (ab97051) at 1/500 dilution.

Perform heat mediated antigen retrieval with Tris/EDTA buffer pH 9.0 before commencing with IHC staining protocol.

Immunohistochemistry (Frozen sections) - Anti-PAX8 antibody [EPR18715] (AB191870)
  • IHC-Fr

Lab

Immunohistochemistry (Frozen sections) - Anti-PAX8 antibody [EPR18715] (AB191870)

Immunohistochemistry (Frozen sections) analysis of mouse kidney tissue labelling PAX8 with ab191870 at a dilution of 1/500. ab150077, an Alexa Fluor® 488-conjugated goat anti-rabbit IgG was used as the secondary antibody (1/1000). Nuclear staining is visible in the mouse kidney.

Western blot - Anti-PAX8 antibody [EPR18715] (AB191870)
  • WB

Supplier Data

Western blot - Anti-PAX8 antibody [EPR18715] (AB191870)

Blocking/Dilution buffer : 5% NFDM/TBST.

PAX8 is expressed in the excretory system and thyroid gland. (PMID : 1723950, 9590297, 1069301)

All lanes:

Western blot - Anti-PAX8 antibody [EPR18715] (ab191870) at 1/1000 dilution

Lane 1:

Human thyroid cancer lysate at 10 µg

Lane 2:

Human fetal liver lysate at 10 µg

Lane 3:

Human fetal heart lysate at 10 µg

Lane 4:

Human fetal kidney lysate at 10 µg

Lane 5:

Human fetal spleen lysate at 10 µg

Secondary

All lanes:

Anti-Rabbit IgG (HRP), specific to the non-reduced form of IgG at 1/10000 dilution

Predicted band size: 48 kDa

Observed band size: 48 kDa

false

Exposure time: 3min

Western blot - Anti-PAX8 antibody [EPR18715] (AB191870)
  • WB

Supplier Data

Western blot - Anti-PAX8 antibody [EPR18715] (AB191870)

Blocking/Dilution buffer : 5% NFDM/TBST.

All lanes:

Western blot - Anti-PAX8 antibody [EPR18715] (ab191870) at 1/1000 dilution

Lane 1:

NIH:OVCAR-3 (Human ovary adenocarcinoma cell line) whole cell lysate at 20 µg

Lane 2:

SK-OV-3 (Human ovarian cancer cell line) whole cell lysate at 20 µg

Secondary

All lanes:

Goat Anti-Rabbit IgG, (H+L),Peroxidase conjugated at 1/10000 dilution

Predicted band size: 48 kDa

Observed band size: 48 kDa

false

Exposure time: 3min

ChIC/CUT&RUN sequencing - Anti-PAX8 antibody [EPR18715] (AB191870)
  • ChIC/CUT&RUN-seq

Lab

ChIC/CUT&RUN sequencing - Anti-PAX8 antibody [EPR18715] (AB191870)

ChIC/CUT&RUN was performed using a pAG-MNase at a final concentration of 700 ng/mL, 2.5 x 10^5 NIH : OVCAR-3 (Human ovary adenocarcinoma epithelial cell) cells and 5 µg of ab191870 [EPR18715]. The resulting DNA was sequenced on the Illumina NovaSeq 6000 to a depth of 10 million reads. The negative IgG control ab172730 is also shown. The University of Geneva owns patents relevant to ChIC (Chromatin Immuno-Cleavage) methods."

ChIC/CUT&RUN sequencing - Anti-PAX8 antibody [EPR18715] (AB191870)
  • ChIC/CUT&RUN-seq

Lab

ChIC/CUT&RUN sequencing - Anti-PAX8 antibody [EPR18715] (AB191870)

ChIC/CUT&RUN was performed using a pAG-MNase at a final concentration of 700 ng/mL, 2.5 x 10^5 NIH : OVCAR-3 (Human ovary adenocarcinoma epithelial cell) cells and 5 µg of ab191870 [EPR18715]. The resulting DNA was sequenced on the Illumina NovaSeq 6000 to a depth of 10 million reads. The negative IgG control ab172730 is also shown. The University of Geneva owns patents relevant to ChIC (Chromatin Immuno-Cleavage) methods."

ChIC/CUT&RUN sequencing - Anti-PAX8 antibody [EPR18715] (AB191870)
  • ChIC/CUT&RUN-seq

Lab

ChIC/CUT&RUN sequencing - Anti-PAX8 antibody [EPR18715] (AB191870)

ChIC/CUT&RUN was performed using a pAG-MNase at a final concentration of 700 ng/mL, 2.5 x 10^5 NIH : OVCAR-3 (Human ovary adenocarcinoma epithelial cell) cells and 5 µg of ab191870 [EPR18715]. The resulting DNA was sequenced on the Illumina NovaSeq 6000 to a depth of 10 million reads. The negative IgG control ab172730 is also shown. The University of Geneva owns patents relevant to ChIC (Chromatin Immuno-Cleavage) methods."

Key facts

Host species

Rabbit

Clonality

Monoclonal

Clone number

EPR18715

Isotype

IgG

Carrier free

No

Reacts with

Mouse, Human

Applications

IHC-Fr, ICC/IF, IHC-P, ChIC/CUT&RUN-seq, WB

applications

Immunogen

The exact immunogen used to generate this antibody is proprietary information.

Reactivity data

{ "title": "Reactivity Data", "filters": { "stats": ["", "Species", "Dilution Info", "Notes"], "tabs": { "all-applications": {"fullname" : "All Applications", "shortname": "All Applications"}, "WB" : {"fullname" : "Western blot", "shortname":"WB"}, "ICCIF" : {"fullname" : "Immunocytochemistry/ Immunofluorescence", "shortname":"ICC/IF"}, "IHCFr" : {"fullname" : "Immunohistochemistry (Frozen sections)", "shortname":"IHC-Fr"}, "IHCP" : {"fullname" : "Immunohistochemistry (Formalin/PFA-fixed paraffin-embedded sections)", "shortname":"IHC-P"}, "ChICCUTRUNseq" : {"fullname" : "ChIC/CUT&RUN sequencing", "shortname":"ChIC/CUT&RUN-seq"} }, "product-promise": { "all": "all", "testedAndGuaranteed": "tested", "guaranteed": "expected", "predicted": "predicted", "notRecommended": "not-recommended" } }, "values": { "Human": { "WB-species-checked": "testedAndGuaranteed", "WB-species-dilution-info": "1/1000", "WB-species-notes": "<p></p>", "ICCIF-species-checked": "testedAndGuaranteed", "ICCIF-species-dilution-info": "1/1000", "ICCIF-species-notes": "<p></p>", "IHCFr-species-checked": "guaranteed", "IHCFr-species-dilution-info": "", "IHCFr-species-notes": "", "IHCP-species-checked": "testedAndGuaranteed", "IHCP-species-dilution-info": "1/1000", "IHCP-species-notes": "<p></p> Perform heat-mediated antigen retrieval with Tris/EDTA buffer pH 9.0 before commencing with IHC staining protocol.", "ChICCUTRUNseq-species-checked": "testedAndGuaranteed", "ChICCUTRUNseq-species-dilution-info": "", "ChICCUTRUNseq-species-notes": "<p></p>" }, "Mouse": { "WB-species-checked": "testedAndGuaranteed", "WB-species-dilution-info": "1/1000", "WB-species-notes": "<p></p>", "ICCIF-species-checked": "guaranteed", "ICCIF-species-dilution-info": "", "ICCIF-species-notes": "", "IHCFr-species-checked": "testedAndGuaranteed", "IHCFr-species-dilution-info": "1/500", "IHCFr-species-notes": "<p></p>", "IHCP-species-checked": "guaranteed", "IHCP-species-dilution-info": "", "IHCP-species-notes": "", "ChICCUTRUNseq-species-checked": "guaranteed", "ChICCUTRUNseq-species-dilution-info": "", "ChICCUTRUNseq-species-notes": "" } } }

Product details

What is this antibody validated in?
Anti-PAX8 antibody [EPR18715] (ab191870) is a rabbit recombinant monoclonal antibody and is validated for use in Western Blot (WB), Immunohistochemistry (IHC-P), Immunohistochemistry (IHC-Fr), Immunocytochemistry/immunofluorescence (ICC/IF) in Human, Mouse samples.

What is the molecular weight of PAX8?
Anti-PAX8 [EPR18715] (ab191870) specifically detects a band for PAX8 (UniProt: Q06710) at a molecular weight of 48kDa.

Trusted by the scientific community
Anti-PAX8 [EPR18715] (ab191870) was first used in a scientific publication in 2015 and has been cited over 10 times in peer-reviewed journals.

Trial sizes available!
Test your antibody or perform pre-screening before committing to a larger quantity. Sold in 10µl. Discover our selection of trial-size antibodies.

Other related products
We have a range of other formats of antibody clone [EPR18715] also available for your convenience: ab191870, Alexa Fluor® 488 - ab214955, Alexa Fluor® 647 - ab215953, Alexa Fluor® 555 - ab217733, Carrier free - ab246332

Patented technology
Our RabMAb® technology is a patented hybridoma-based technology for making rabbit monoclonal antibodies. For details on our patents, please refer to RabMAb® patents.

What are the advantages of a recombinant monoclonal antibody?
This product is a recombinant monoclonal antibody, which offers several advantages including:

  • - High batch-to-batch consistency and reproducibility
  • - Improved sensitivity and specificity
  • - Long-term security of supply
  • - Animal-free batch production

For more information, read more on recombinant antibodies.

Properties and storage information

Form
Liquid
Purification technique
Affinity purification Protein A
Storage buffer
pH: 7.2 - 7.4 Preservative: 0.01% Sodium azide Constituents: PBS, 40% Glycerol (glycerin, glycerine), 0.05% BSA
Shipped at conditions
Blue Ice
Appropriate short-term storage duration
1-2 weeks
Appropriate short-term storage conditions
+4°C
Appropriate long-term storage conditions
-20°C
Aliquoting information
Upon delivery aliquot
Storage information
Avoid freeze / thaw cycle

Supplementary information

This supplementary information is collated from multiple sources and compiled automatically.

PAX8 also known as 3a8 is a transcription factor with a molecular mass of approximately 48 kDa. It belongs to the paired box (PAX) family of proteins which are characterized by a specific DNA-binding domain. PAX8 plays an important role in organ development and cellular differentiation. This protein is mainly expressed in the thyroid kidneys and Müllerian-derived tissues. Researchers often detect PAX8 using immunohistochemistry (PAX8 IHC) techniques due to its tissue-specific expression patterns.
Biological function summary

The PAX8 protein regulates the expression of genes related to organogenesis and cell fate determination. It forms part of transcriptional regulatory complexes partnering with other proteins to modulate gene activity. PAX8 supports embryonic development especially in the thyroid and urogenital tract. Its presence ensures the proper function and formation of these organs highlighting its significance in developmental biology.

Pathways

PAX8 interacts with several key biological processes. It notably participates in the thyroid hormone synthesis pathway where it regulates the expression of thyroglobulin and thyroperoxidase. PAX8 also affects the renal system through its interaction with WT1 a protein involved in kidney development. These pathways illustrate PAX8's role in maintaining endocrine and renal functions by influencing important protein interactions.

PAX8 mutations and dysregulation connect to conditions like congenital hypothyroidism and renal agenesis. In congenital hypothyroidism defects in PAX8 lead to impaired thyroid development affecting hormone production. Moreover its interaction with BCL2 an important apoptosis regulator relates to certain cancers such as ovarian carcinoma. The misregulation of PAX8 increases the risk and progression of these disorders by disrupting normal physiological processes.

Product protocols

For this product, it's our understanding that no specific protocols are required. You can visit:

Target data

Transcription factor for the thyroid-specific expression of the genes exclusively expressed in the thyroid cell type, maintaining the functional differentiation of such cells.
See full target information PAX8

Publications (17)

Recent publications for all applications. Explore the full list and refine your search

Journal of experimental & clinical cancer research : CR 44:282 PubMed41057919

2025

Long-term patient-derived ovarian cancer organoids closely recapitulate tumor of origin and clinical response.

Applications

Unspecified application

Species

Unspecified reactive species

Lucie Thorel,Enora Dolivet,Pierre-Marie Morice,Romane Florent,Jordane Divoux,Marion Perréard,Lucie Lecouflet,Guillaume Desmartin,Chloé Marde Alagama,Florence Giffard,Alexandra Leconte,Justine Lequesne,Bénédicte Clarisse,Mélanie Briand,Alimatou Traoré,Céline Villenet,Jean-Pascal Meneboo,Guillaume Babin,Léopold Gaichies,Sandrine Martin-Françoise,Jean-François Le Brun,Roman Rouzier,Emilie Brotin,Christophe Denoyelle,Nicolas Vigneron,Raphaël Leman,Dominique Vaur,Laurent Castera,Cécile Blanc-Fournier,Nicolas Elie,Benoit Plancoulaine,Florence Joly,Matthieu Meryet-Figuière,Martin Figeac,Louis-Bastien Weiswald,Laurent Poulain

Nature communications 16:8822 PubMed41044182

2025

SFPQ-TFE3 reciprocally regulates mTORC1 and induces lineage plasticity in a mouse model of renal tumorigenesis.

Applications

Unspecified application

Species

Unspecified reactive species

Kaushal Asrani,Adrianna Amaral,Juhyung Woo,Sanaz Nourmohammadi Abadchi,Thiago Vidotto,Eddie Imada,Alyza Skaist,Kewen Feng,Hans B Liu,Mithila Kasbe,Yorifumi Satou,Masaya Baba,Yuichi Oike,Patricia Outeda,Terry Watnick,Avi Z Rosenberg,Laura S Schmidt,W Marston Linehan,Pedram Argani,Tamara L Lotan

Nature protocols : PubMed40813913

2025

Derivation, expansion and cryopreservation of primary fetal organoids from second and third trimester human amniotic fluid cells.

Applications

Unspecified application

Species

Unspecified reactive species

Giuseppe Calà,Giorgia D'Ariano,Kylin Yunyan Sun,Gloria Ji Zhang,Giuseppe Matteo Carrino,Alessandro Mariani,Carlotta Camilli,Isabella Fabietti,Roberto Bei,Anna L David,Alessandro Filippo Pellegata,Panicos Shangaris,Marco Pellegrini,Giovanni Giuseppe Giobbe,Paolo De Coppi,Mattia Francesco Maria Gerli

Communications biology 8:1156 PubMed40764744

2025

Epithelial characteristics of ovarian clear cell carcinoma at single-cell resolution.

Applications

Unspecified application

Species

Unspecified reactive species

Qinhao Guo,Xia Chen,Rui Bi,Haiming Li,Meng Liu,Xingzhu Ju,Zheng Feng,Jun Zhu,Yizhen Li,Xin Wang,Qiuru Huang,Jiaxin Li,Xiaonan Zhou,Ying Zheng,Bo Zheng,Xiaohua Wu,Jun Yu,Hao Wen

Glia 72:1604-1628 PubMed38785355

2024

Transcriptional profiling of retinal astrocytes identifies a specific marker and points to functional specialization.

Applications

Unspecified application

Species

Unspecified reactive species

Paul F Cullen,William J Gammerdinger,Shannan J Ho Sui,Arpan Guha Mazumder,Daniel Sun

Journal of experimental & clinical cancer research : CR 42:260 PubMed37803448

2023

Comparative analysis of response to treatments and molecular features of tumor-derived organoids versus cell lines and PDX derived from the same ovarian clear cell carcinoma.

Applications

Unspecified application

Species

Unspecified reactive species

Lucie Thorel,Pierre-Marie Morice,Hippolyte Paysant,Romane Florent,Guillaume Babin,Cécilia Thomine,Marion Perréard,Edwige Abeilard,Florence Giffard,Emilie Brotin,Christophe Denoyelle,Céline Villenet,Shéhérazade Sebda,Mélanie Briand,Florence Joly,Enora Dolivet,Didier Goux,Cécile Blanc-Fournier,Corinne Jeanne,Marie Villedieu,Matthieu Meryet-Figuiere,Martin Figeac,Laurent Poulain,Louis-Bastien Weiswald

Disease models & mechanisms 16: PubMed37655466

2023

Altered expression, but small contribution, of the histone demethylase KDM6A in obstructive uropathy in mice.

Applications

Unspecified application

Species

Unspecified reactive species

Lisa Y Q Hong,Emily S H Yeung,Duc Tin Tran,Veera Ganesh Yerra,Harmandeep Kaur,M D Golam Kabir,Suzanne L Advani,Youan Liu,Sri Nagarjun Batchu,Andrew Advani

International journal of molecular sciences 24: PubMed36614229

2023

Novel Missense Variants in and Cause Congenital Hypothyroidism.

Applications

Unspecified application

Species

Unspecified reactive species

Menglin Li,Zhuo Li,Miaomiao Chen,Zhiqing Hu,Miaojin Zhou,Lingqian Wu,Chunhua Zhang,Desheng Liang

Journal of translational medicine 20:558 PubMed36463235

2022

The intrarenal landscape of T cell receptor repertoire in clear cell renal cell cancer.

Applications

Unspecified application

Species

Unspecified reactive species

Wei Zhang,Qian Zhang,Chao Zhu,Zhiyuan Shi,Chen Shao,Yujie Chen,Nan Wang,Yanxia Jiang,Qing Liang,Kejia Wang

Blood cancer discovery 4:12-33 PubMed36322781

2022

A Therapeutically Targetable NOTCH1-SIRT1-KAT7 Axis in T-cell Leukemia.

Applications

Unspecified application

Species

Unspecified reactive species

Olga Lancho,Amartya Singh,Victoria da Silva-Diz,Maya Aleksandrova,Jesminara Khatun,Luca Tottone,Patricia Renck Nunes,Shirley Luo,Caifeng Zhao,Haiyan Zheng,Eric Chiles,Zhenyu Zuo,Pedro P Rocha,Xiaoyang Su,Hossein Khiabanian,Daniel Herranz
View all publications

Product promise

We are committed to supporting your work with high-quality reagents, and we're here for you every step of the way. In the unlikely event that one of our products does not perform as expected, you're protected by our Product Promise.
For full details, please see our Terms & Conditions

Please note: All products are 'FOR RESEARCH USE ONLY. NOT FOR USE IN DIAGNOSTIC OR THERAPEUTIC PROCEDURES'.

For licensing inquiries, please contact partnerships@abcam.com