JavaScript is disabled in your browser. Please enable JavaScript to view this website.
AB275259

Anti-PAX8 antibody [EPR23508-20] - BSA and Azide free

  • BOND RX™ Validated
  • Recombinant
  • Advanced Validation
  • RabMAb
  • What is this?

Be the first to review this product! Submit a review

|

(0 Publication)

Rabbit Recombinant Monoclonal PAX8 antibody. Carrier free. Suitable for ICC/IF, IP, WB, IHC-P, IHC-Fr, Flow Cyt (Intra), ChIC/CUT&RUN-seq, mIHC and reacts with Human, Mouse samples.

View Alternative Names

Paired box protein Pax-8, PAX8

15 Images
Flow Cytometry (Intracellular) - Anti-PAX8 antibody [EPR23508-20] - BSA and Azide free (AB275259)
  • Flow Cyt (Intra)

Unknown

Flow Cytometry (Intracellular) - Anti-PAX8 antibody [EPR23508-20] - BSA and Azide free (AB275259)

This data was developed using ab239363, the same antibody clone in a different buffer formulation.

Intracellular flow cytometric analysis of 4% paraformaldehyde fixed 90% methanol permeabilized NIH : OVCAR-3 (human ovary adenocarcinoma epithelial cell) cells labelling PAX8 with ab239363 at 1/500 dilution (Red) (Red) compared with a Rabbit monoclonal IgG (ab172730) (Black) isotype control and an unlabelled control (cells without incubation with primary antibody and secondary antibody) (Blue). A Goat anti rabbit IgG (Alexa Fluor® 488, ab150077) at 1/2000 dilution was used as the secondary antibody.

Immunohistochemistry (Formalin/PFA-fixed paraffin-embedded sections) - Anti-PAX8 antibody [EPR23508-20] - BSA and Azide free (AB275259)
  • IHC-P

Supplier Data

Immunohistochemistry (Formalin/PFA-fixed paraffin-embedded sections) - Anti-PAX8 antibody [EPR23508-20] - BSA and Azide free (AB275259)

This data was developed using ab239363, the same antibody clone in a different buffer formulation.

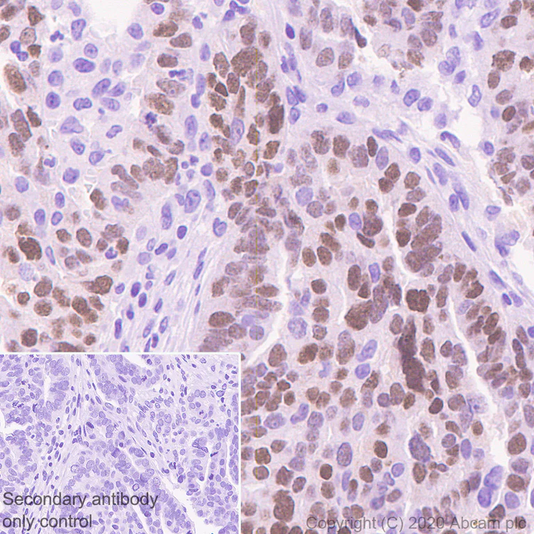
Immunohistochemical analysis of paraffin-embedded human ovarian cancer tissue labeling PAX8 with ab239363 at 1/2000 dilution followed by a ready to use Rabbit specific IHC polymer detection kit HRP/DAB (ab209101). Nuclear staining in human ovarian cancer (PMID : 21317881). The section was incubated with ab239363 for 30 mins at room temperature. The immunostaining was performed on a Leica Biosystems BOND® RX instrument. Counterstained with Hematoxylin.

Secondary antibody only control : Secondary antibody is a ready to use Rabbit specific IHC polymer detection kit HRP/DAB (ab209101).

Heat mediated antigen retrieval with Tris-EDTA buffer (pH 9.0, epitope retrieval solution2) for 20 mins.

Immunocytochemistry/ Immunofluorescence - Anti-PAX8 antibody [EPR23508-20] - BSA and Azide free (AB275259)
  • ICC/IF

Unknown

Immunocytochemistry/ Immunofluorescence - Anti-PAX8 antibody [EPR23508-20] - BSA and Azide free (AB275259)

This data was developed using ab239363, the same antibody clone in a different buffer formulation.

Immunofluorescent analysis of 4% Paraformaldehyde-fixed, 0.1% TritonX-100 permeabilized SK-OV-3 (human ovarian cancer epithelial cell) cells labelling PAX8 with ab239363 at 1/100 dilution, followed by ab150077 Goat Anti-Rabbit IgG H&L (Alexa Fluor® 488) antibody at 1/1000 dilution (Green). Confocal image showing nuclear staining in SK-OV-3 cell line is observed. ab195889 Anti-alpha Tubulin mouse monoclonal antibody - Microtubule Marker (Alexa Fluor® 594) was used to counterstain tubulin at 1/200 dilution (Red). The Nuclear counterstain was DAPI (Blue).

Secondary antibody only control : Secondary antibody is ab150077 Goat Anti-Rabbit IgG H&L (Alexa Fluor® 488) at 1/1000 dilution.

Immunohistochemistry (Formalin/PFA-fixed paraffin-embedded sections) - Anti-PAX8 antibody [EPR23508-20] - BSA and Azide free (AB275259)
  • IHC-P

Unknown

Immunohistochemistry (Formalin/PFA-fixed paraffin-embedded sections) - Anti-PAX8 antibody [EPR23508-20] - BSA and Azide free (AB275259)

This data was developed using ab239363, the same antibody clone in a different buffer formulation.

Immunohistochemical analysis of paraffin-embedded human thyroid tissue labeling PAX8 with ab239363 at 1/2000 dilution followed by a ready to use Rabbit specific IHC polymer detection kit HRP/DAB (ab209101). Nuclear staining in human thyroid (PMID : 21317881). The section was incubated with ab239363 for 30 mins at room temperature. The immunostaining was performed on a Leica Biosystems BOND® RX instrument. Counterstained with Hematoxylin.

Secondary antibody only control : Secondary antibody is a ready to use Rabbit specific IHC polymer detection kit HRP/DAB (ab209101).

Immunocytochemistry/ Immunofluorescence - Anti-PAX8 antibody [EPR23508-20] - BSA and Azide free (AB275259)
  • ICC/IF

Unknown

Immunocytochemistry/ Immunofluorescence - Anti-PAX8 antibody [EPR23508-20] - BSA and Azide free (AB275259)

This data was developed using ab239363, the same antibody clone in a different buffer formulation.

Immunofluorescent analysis of 4% Paraformaldehyde-fixed, 0.1% TritonX-100 permeabilized NIH : OVCAR-3 (human ovary adenocarcinoma epithelial cell) cells labelling PAX8 with ab239363 at 1/100 dilution, followed by ab150077 Goat Anti-Rabbit IgG H&L (Alexa Fluor® 488) antibody at 1/1000 (Green). Confocal image showing nuclear staining in NIH : OVCAR-3 cell line is observed. ab195889 Anti-alpha Tubulin mouse monoclonal antibody - Microtubule Marker (Alexa Fluor® 594) was used to counterstain tubulin at 1/200 dilution (Red). The Nuclear counterstain was DAPI (Blue).

Secondary antibody only control : Secondary antibody is ab150077 Goat Anti-Rabbit IgG H&L (Alexa Fluor® 488) at 1/1000 dilution.

Immunoprecipitation - Anti-PAX8 antibody [EPR23508-20] - BSA and Azide free (AB275259)
  • IP

Unknown

Immunoprecipitation - Anti-PAX8 antibody [EPR23508-20] - BSA and Azide free (AB275259)

This data was developed using ab239363, the same antibody clone in a different buffer formulation.

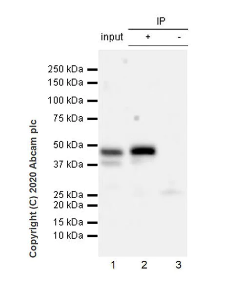
PAX8 was immunoprecipitated from 0.35 mg SK-OV-3 (human ovarian cancer epithelial cell), whole cell lysate 10 ug with ab239363 at 1/30 dilution (2ug in 0.35mg lysates). Western blot was performed on the immunoprecipitate using ab239363 at 1/1000 dilution. VeriBlot for IP Detection Reagent (HRP) (ab131366) was used at 1/5000 dilution.

Lane 1 : SK-OV-3 (human ovarian cancer epithelial cell), whole cell lysate 10 ug

Lane 2 : ab239363 IP in SK-OV-3 whole cell lysate

Lane 3 : Rabbit monoclonal IgG (ab172730) instead of ab239363 in SK-OV-3 whole cell lysate

Blocking and dilution buffer and concentration : 5% NFDM/TBST.

Exposure time : 49 seconds

This blot was developed using a higher sensitivity ECL substrate.

All lanes:

Immunoprecipitation - Anti-PAX8 antibody [EPR23508-20] (<a href='/en-us/products/primary-antibodies/pax8-antibody-epr23508-20-ab239363'>ab239363</a>)

Predicted band size: 48 kDa

false

Immunohistochemistry (Frozen sections) - Anti-PAX8 antibody [EPR23508-20] - BSA and Azide free (AB275259)
  • IHC-Fr

Unknown

Immunohistochemistry (Frozen sections) - Anti-PAX8 antibody [EPR23508-20] - BSA and Azide free (AB275259)

This data was developed using ab239363, the same antibody clone in a different buffer formulation.

Immunohistochemical analysis of 4% PFA-fixed, 0.2% Triton X-100 permeabilized frozen mouse kidney tissue labeling PAX8 with ab239363 at 1/50 dilution followed by ab150077 Goat Anti-Rabbit IgG H&L (Alexa Fluor® 488) at 1/1000 dilution (Green). Nuclear staining on mouse kidney. is observed. The nuclear counterstain was DAPI (Blue).

Secondary antibody control : Secondary antibody is ab150077 Goat Anti-Rabbit IgG H&L (Alexa Fluor® 488)at 1/1000 dilution.

Heat mediated antigen retrieval using sodium citrate buffer (10mM citrate pH 6.0 + 0.05% Tween-20).

Immunohistochemistry (Formalin/PFA-fixed paraffin-embedded sections) - Anti-PAX8 antibody [EPR23508-20] - BSA and Azide free (AB275259)
  • IHC-P

Supplier Data

Immunohistochemistry (Formalin/PFA-fixed paraffin-embedded sections) - Anti-PAX8 antibody [EPR23508-20] - BSA and Azide free (AB275259)

This data was developed using ab239363, the same antibody clone in a different buffer formulation.

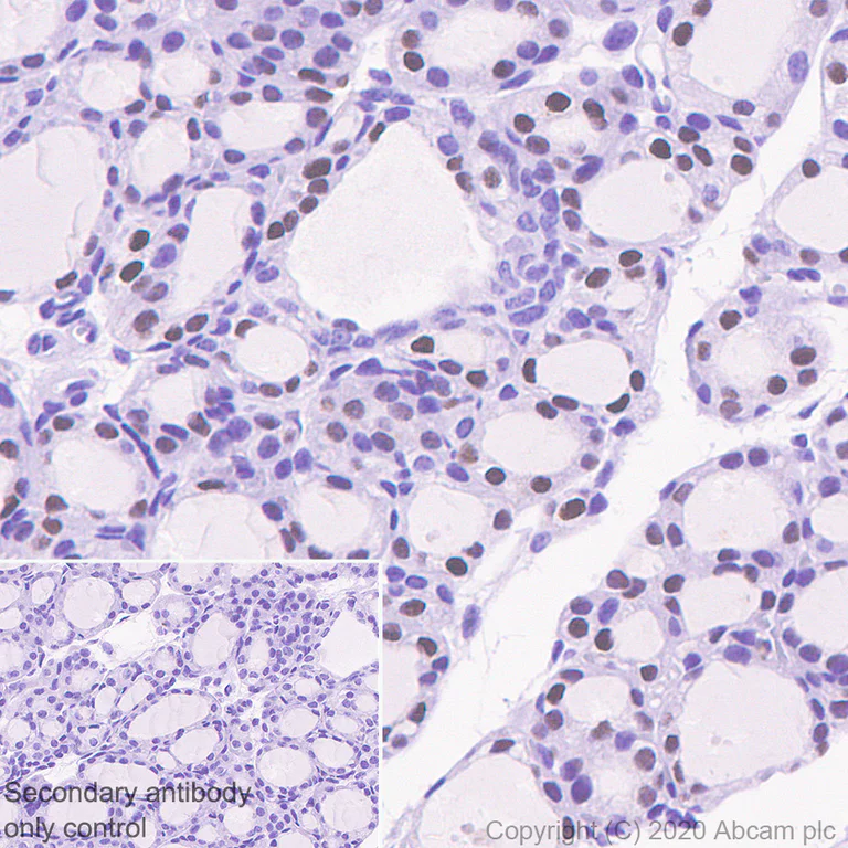
Immunohistochemical analysis of paraffin-embedded mouse thyroid tissue labeling PAX8 with ab239363 at 1/2000 dilution followed by a ready to use Rabbit specific IHC polymer detection kit HRP/DAB (ab209101). Nuclear staining in mouse thyroid (PMID : 21317881). The section was incubated with ab239363 for 30 mins at room temperature. The immunostaining was performed on a Leica Biosystems BOND® RX instrument. Counterstained with Hematoxylin.

Secondary antibody only control : Secondary antibody is a ready to use Rabbit specific IHC polymer detection kit HRP/DAB (ab209101).

Heat mediated antigen retrieval with Tris-EDTA buffer (pH 9.0, epitope retrieval solution2) for 20 mins.

Multiplex immunohistochemistry - Anti-PAX8 antibody [EPR23508-20] - BSA and Azide free (AB275259)
  • mIHC

Lab

Multiplex immunohistochemistry - Anti-PAX8 antibody [EPR23508-20] - BSA and Azide free (AB275259)

This data was developed using ab239363, the same antibody clone in a different buffer formulation.

Multiplex immunohistochemistry analysis of formalin/PFA-fixed paraffin-embedded mouse thyroid staining of Thyroid Peroxidase/TPO with ab278525 at a 1/5000 (0.109 μg/ml) dilution, PAX8 with ab239363 at 1/2000 (0.254 μg/ml) dilution, and CaSR with ab259846 at 1/5000 (0.103 μg/ml), followed by a ready to use secondary antibody Opal Polymer HRP Ms + Rb.

Panel A : merged staining of anti-Thyroid peroxidase (green; Opal™ 520), anti-PAX8 (magenta; Opal™ 690) and anti-CaSR (gray; Opal™ 570) on mouse thyroid.
Panel B : anti-Thyroid peroxidase showed cytoplasmic and membranous staining on mouse thyroid.
Panel C : anti-PAX8 showed nucleus staining on mouse thyroid.
Panel D : anti-CaSR staining parafollicular cells.
Nuclear DNA was labeled with DAPI (shown in blue).

The section was incubated in three rounds of staining : in the order of ab278525, ab239363 and ab259846 for 30 mins at room temperature. Each round was followed by a separate fluorescent tyramide signal amplification system.

Heat mediated antigen retrieval with Tris-EDTA buffer (pH 9.0, epitope retrieval solution2) for 20 mins.

Multiplex immunohistochemistry - Anti-PAX8 antibody [EPR23508-20] - BSA and Azide free (AB275259)
  • mIHC

Lab

Multiplex immunohistochemistry - Anti-PAX8 antibody [EPR23508-20] - BSA and Azide free (AB275259)

This data was developed using ab239363, the same antibody clone in a different buffer formulation.

Multiplex immunohistochemistry analysis of formalin/PFA-fixed paraffin-embedded mouse thyroid staining of Thyroid Peroxidase/TPO with ab278525 at a 1/5000 (0.109 μg/ml) dilution, PAX8 with ab239363 at 1/2000 (0.254 μg/ml) dilution, and Collagen I with ab270993 at a 1/500 (1.152 μg/ml) dilution, followed by a ready to use secondary antibody Opal Polymer HRP Ms + Rb.

Panel A : merged staining of anti-Thyroid peroxidase (green; Opal™ 520), anti-PAX8 (magenta; Opal™ 690) and anti-Collagen I (gray; Opal™ 570) on mouse thyroid.
Panel B : anti-Thyroid peroxidase showed cytoplasmic and membranous staining on mouse thyroid.
Panel C : anti-PAX8 showed nucleus staining on mouse thyroid.
Panel D : anti-Collagen I staining connective tissues in mouse thyroid.
Nuclear DNA was labeled with DAPI (shown in blue).

The section was incubated in three rounds of staining : in the order of ab278525, ab239363 and ab270993 for 30 mins at room temperature. Each round was followed by a separate fluorescent tyramide signal amplification system.

Heat mediated antigen retrieval with Tris-EDTA buffer (pH 9.0, epitope retrieval solution2) for 20 mins.

Western blot - Anti-PAX8 antibody [EPR23508-20] - BSA and Azide free (AB275259)
  • WB

Lab

Western blot - Anti-PAX8 antibody [EPR23508-20] - BSA and Azide free (AB275259)

This data was developed using ab239363, the same antibody clone in a different buffer formulation. Blocking and diluting buffer and concentration : The antibody detects isoform of PAX8

The molecular weight observed is consistent with what has been described in the literature (PMID : 21602887)

This blot was developed using a higher sensitivity ECL substrate.

Fresh lysate was used in this Lane 2.

Lane 1 : 127 seconds Lane 2 : 59 seconds

Exposure time :

All lanes:

Western blot - Anti-PAX8 antibody [EPR23508-20] (<a href='/en-us/products/primary-antibodies/pax8-antibody-epr23508-20-ab239363'>ab239363</a>) at 1/1000 dilution

Lane 1:

SK-OV-3 (human ovarian cancer epithelial cell), whole cell lysate at 20 µg

Lane 2:

NIH:OVCAR-3 (human ovary adenocarcinoma epithelial cell), whole cell lysate at 20 µg

Secondary

All lanes:

Goat Anti-Rabbit IgG, (H+L), Peroxidase conjugated (<a href='/en-us/products/secondary-antibodies/goat-rabbit-igg-h-l-hrp-ab97051'>ab97051</a>) at 1/100000 dilution

Predicted band size: 48 kDa

false

ChIC/CUT&RUN sequencing - Anti-PAX8 antibody [EPR23508-20] - BSA and Azide free (AB275259)
  • ChIC/CUT&RUN-seq

Lab

ChIC/CUT&RUN sequencing - Anti-PAX8 antibody [EPR23508-20] - BSA and Azide free (AB275259)

"This data was developed using the same antibody clone in a different buffer formulation (ab239363). ChIC/CUT&RUN was performed using a pAG-MNase at a final concentration of 700 ng/mL, 2.5 x 10^5 NIH : OVCAR-3 (Human ovary adenocarcinoma epithelial cell) cells and 5 µg of ab239363 [EPR23508-20]. The resulting DNA was sequenced on the Illumina NovaSeq 6000 to a depth of 10 million reads. The negative IgG control ab172730 is also shown. The University of Geneva owns patents relevant to ChIC (Chromatin Immuno-Cleavage) methods."

ChIC/CUT&RUN sequencing - Anti-PAX8 antibody [EPR23508-20] - BSA and Azide free (AB275259)
  • ChIC/CUT&RUN-seq

Lab

ChIC/CUT&RUN sequencing - Anti-PAX8 antibody [EPR23508-20] - BSA and Azide free (AB275259)

"This data was developed using the same antibody clone in a different buffer formulation (ab239363). ChIC/CUT&RUN was performed using a pAG-MNase at a final concentration of 700 ng/mL, 2.5 x 10^5 NIH : OVCAR-3 (Human ovary adenocarcinoma epithelial cell) cells and 5 µg of ab239363 [EPR23508-20]. The resulting DNA was sequenced on the Illumina NovaSeq 6000 to a depth of 10 million reads. The negative IgG control ab172730 is also shown. The University of Geneva owns patents relevant to ChIC (Chromatin Immuno-Cleavage) methods."

ChIC/CUT&RUN sequencing - Anti-PAX8 antibody [EPR23508-20] - BSA and Azide free (AB275259)
  • ChIC/CUT&RUN-seq

Lab

ChIC/CUT&RUN sequencing - Anti-PAX8 antibody [EPR23508-20] - BSA and Azide free (AB275259)

"This data was developed using the same antibody clone in a different buffer formulation (ab239363). ChIC/CUT&RUN was performed using a pAG-MNase at a final concentration of 700 ng/mL, 2.5 x 10^5 NIH : OVCAR-3 (Human ovary adenocarcinoma epithelial cell) cells and 5 µg of ab239363 [EPR23508-20]. The resulting DNA was sequenced on the Illumina NovaSeq 6000 to a depth of 10 million reads. The negative IgG control ab172730 is also shown. The University of Geneva owns patents relevant to ChIC (Chromatin Immuno-Cleavage) methods."

Western blot - Anti-PAX8 antibody [EPR23508-20] - BSA and Azide free (AB275259)
  • WB

Lab

Western blot - Anti-PAX8 antibody [EPR23508-20] - BSA and Azide free (AB275259)

This data was developed using ab239363, the same antibody clone in a different buffer formulation. Blocking and diluting buffer and concentration : The molecular weight observed is consistent with what has been described in the literature (PMID : 21602887)

This blot was developed using a higher sensitivity ECL substrate.

3 minutes

Exposure time :

All lanes:

Western blot - Anti-PAX8 antibody [EPR23508-20] (<a href='/en-us/products/primary-antibodies/pax8-antibody-epr23508-20-ab239363'>ab239363</a>) at 1/1000 dilution

All lanes:

Mouse E18 kidney tissue lysate at 60 µg

Secondary

All lanes:

Goat Anti-Rabbit IgG, (H+L), Peroxidase conjugated (<a href='/en-us/products/secondary-antibodies/goat-rabbit-igg-h-l-hrp-ab97051'>ab97051</a>) at 1/100000 dilution

Predicted band size: 48 kDa

false

Key facts

Host species

Rabbit

Clonality

Monoclonal

Clone number

EPR23508-20

Isotype

IgG

Carrier free

Yes

Reacts with

Mouse, Human

Applications

IHC-P, mIHC, ICC/IF, Flow Cyt (Intra), IHC-Fr, IP, WB, ChIC/CUT&RUN-seq

applications

Immunogen

The exact immunogen used to generate this antibody is proprietary information.

Reactivity data

{ "title": "Reactivity Data", "filters": { "stats": ["", "Species", "Dilution Info", "Notes"], "tabs": { "all-applications": {"fullname" : "All Applications", "shortname": "All Applications"}, "ICCIF" : {"fullname" : "Immunocytochemistry/ Immunofluorescence", "shortname":"ICC/IF"}, "IP" : {"fullname" : "Immunoprecipitation", "shortname":"IP"}, "ChIP" : {"fullname" : "ChIP", "shortname":"ChIP"}, "WB" : {"fullname" : "Western blot", "shortname":"WB"}, "IHCP" : {"fullname" : "Immunohistochemistry (Formalin/PFA-fixed paraffin-embedded sections)", "shortname":"IHC-P"}, "IHCFr" : {"fullname" : "Immunohistochemistry (Frozen sections)", "shortname":"IHC-Fr"}, "FlowCytIntra" : {"fullname" : "Flow Cytometry (Intracellular)", "shortname":"Flow Cyt (Intra)"}, "ChICCUTRUNseq" : {"fullname" : "ChIC/CUT&RUN sequencing", "shortname":"ChIC/CUT&RUN-seq"}, "mIHC" : {"fullname" : "Multiplex immunohistochemistry", "shortname":"mIHC"} }, "product-promise": { "all": "all", "testedAndGuaranteed": "tested", "guaranteed": "expected", "predicted": "predicted", "notRecommended": "not-recommended" } }, "values": { "Human": { "ICCIF-species-checked": "testedAndGuaranteed", "ICCIF-species-dilution-info": "", "ICCIF-species-notes": "<p></p>", "IP-species-checked": "testedAndGuaranteed", "IP-species-dilution-info": "", "IP-species-notes": "<p></p>", "ChIP-species-checked": "notRecommended", "ChIP-species-dilution-info": "", "ChIP-species-notes": "<p></p>", "WB-species-checked": "testedAndGuaranteed", "WB-species-dilution-info": "", "WB-species-notes": "<p></p>", "IHCP-species-checked": "testedAndGuaranteed", "IHCP-species-dilution-info": "", "IHCP-species-notes": "<p></p>", "IHCFr-species-checked": "guaranteed", "IHCFr-species-dilution-info": "", "IHCFr-species-notes": "", "FlowCytIntra-species-checked": "testedAndGuaranteed", "FlowCytIntra-species-dilution-info": "", "FlowCytIntra-species-notes": "<p></p>", "ChICCUTRUNseq-species-checked": "testedAndGuaranteed", "ChICCUTRUNseq-species-dilution-info": "", "ChICCUTRUNseq-species-notes": "<p></p>", "mIHC-species-checked": "guaranteed", "mIHC-species-dilution-info": "", "mIHC-species-notes": "" }, "Mouse": { "ICCIF-species-checked": "guaranteed", "ICCIF-species-dilution-info": "", "ICCIF-species-notes": "", "IP-species-checked": "guaranteed", "IP-species-dilution-info": "", "IP-species-notes": "", "ChIP-species-checked": "notRecommended", "ChIP-species-dilution-info": "", "ChIP-species-notes": "<p></p>", "WB-species-checked": "testedAndGuaranteed", "WB-species-dilution-info": "", "WB-species-notes": "<p></p>", "IHCP-species-checked": "testedAndGuaranteed", "IHCP-species-dilution-info": "", "IHCP-species-notes": "<p></p>", "IHCFr-species-checked": "testedAndGuaranteed", "IHCFr-species-dilution-info": "", "IHCFr-species-notes": "<p></p>", "FlowCytIntra-species-checked": "guaranteed", "FlowCytIntra-species-dilution-info": "", "FlowCytIntra-species-notes": "", "ChICCUTRUNseq-species-checked": "guaranteed", "ChICCUTRUNseq-species-dilution-info": "", "ChICCUTRUNseq-species-notes": "", "mIHC-species-checked": "testedAndGuaranteed", "mIHC-species-dilution-info": "", "mIHC-species-notes": "<p></p> Perform heat-mediated antigen retrieval with Tris/EDTA buffer pH 9.0 before commencing with IHC staining protocol." }, "Rat": { "ICCIF-species-checked": "notRecommended", "ICCIF-species-dilution-info": "", "ICCIF-species-notes": "", "IP-species-checked": "notRecommended", "IP-species-dilution-info": "", "IP-species-notes": "", "ChIP-species-checked": "notRecommended", "ChIP-species-dilution-info": "", "ChIP-species-notes": "", "WB-species-checked": "notRecommended", "WB-species-dilution-info": "", "WB-species-notes": "<p></p>", "IHCP-species-checked": "notRecommended", "IHCP-species-dilution-info": "", "IHCP-species-notes": "<p></p>", "IHCFr-species-checked": "notRecommended", "IHCFr-species-dilution-info": "", "IHCFr-species-notes": "", "FlowCytIntra-species-checked": "notRecommended", "FlowCytIntra-species-dilution-info": "", "FlowCytIntra-species-notes": "", "ChICCUTRUNseq-species-checked": "notRecommended", "ChICCUTRUNseq-species-dilution-info": "", "ChICCUTRUNseq-species-notes": "", "mIHC-species-checked": "notRecommended", "mIHC-species-dilution-info": "", "mIHC-species-notes": "" } } }

Product details

ab275259 is the carrier-free version of ab239363.

Patented technology
Our RabMAb® technology is a patented hybridoma-based technology for making rabbit monoclonal antibodies. For details on our patents, please refer to RabMAb® patents.

What are the advantages of a recombinant monoclonal antibody?
This product is a recombinant monoclonal antibody, which offers several advantages including:

  • - High batch-to-batch consistency and reproducibility
  • - Improved sensitivity and specificity
  • - Long-term security of supply
  • - Animal-free batch production

For more information, read more on recombinant antibodies.

Conjugation ready
Our carrier-free antibodies are typically supplied in a PBS-only formulation, purified and free of BSA, sodium azide and glycerol. This conjugation-ready format is designed for use with fluorochromes, metal isotopes, oligonucleotides, and enzymes, which makes them ideal for antibody labelling, functional and cell-based assays, flow-based assays (e.g. mass cytometry) and Multiplex Imaging applications.

Use our conjugation kits for antibody conjugates that are ready-to-use in as little as 20 minutes with 1 minute hands-on-time and 100% antibody recovery: available for fluorescent dyes, HRP, biotin and gold.

Compatibility
This product is compatible with the Maxpar® Antibody Labeling Kit from Fluidigm, without the need for antibody preparation. Maxpar® is a trademark of Fluidigm Canada Inc.

Properties and storage information

Form
Liquid
Purification technique
Affinity purification Protein A
Storage buffer
Constituents: PBS
Shipped at conditions
Blue Ice
Appropriate short-term storage conditions
+4°C
Appropriate long-term storage conditions
+4°C

Supplementary information

This supplementary information is collated from multiple sources and compiled automatically.

PAX8 also known as 3a8 is a transcription factor with a molecular mass of approximately 48 kDa. It belongs to the paired box (PAX) family of proteins which are characterized by a specific DNA-binding domain. PAX8 plays an important role in organ development and cellular differentiation. This protein is mainly expressed in the thyroid kidneys and Müllerian-derived tissues. Researchers often detect PAX8 using immunohistochemistry (PAX8 IHC) techniques due to its tissue-specific expression patterns.
Biological function summary

The PAX8 protein regulates the expression of genes related to organogenesis and cell fate determination. It forms part of transcriptional regulatory complexes partnering with other proteins to modulate gene activity. PAX8 supports embryonic development especially in the thyroid and urogenital tract. Its presence ensures the proper function and formation of these organs highlighting its significance in developmental biology.

Pathways

PAX8 interacts with several key biological processes. It notably participates in the thyroid hormone synthesis pathway where it regulates the expression of thyroglobulin and thyroperoxidase. PAX8 also affects the renal system through its interaction with WT1 a protein involved in kidney development. These pathways illustrate PAX8's role in maintaining endocrine and renal functions by influencing important protein interactions.

PAX8 mutations and dysregulation connect to conditions like congenital hypothyroidism and renal agenesis. In congenital hypothyroidism defects in PAX8 lead to impaired thyroid development affecting hormone production. Moreover its interaction with BCL2 an important apoptosis regulator relates to certain cancers such as ovarian carcinoma. The misregulation of PAX8 increases the risk and progression of these disorders by disrupting normal physiological processes.

Product protocols

For this product, it's our understanding that no specific protocols are required. You can visit:

Target data

Transcription factor for the thyroid-specific expression of the genes exclusively expressed in the thyroid cell type, maintaining the functional differentiation of such cells.
See full target information PAX8

Product promise

We are committed to supporting your work with high-quality reagents, and we're here for you every step of the way. In the unlikely event that one of our products does not perform as expected, you're protected by our Product Promise.
For full details, please see our Terms & Conditions

Please note: All products are 'FOR RESEARCH USE ONLY. NOT FOR USE IN DIAGNOSTIC OR THERAPEUTIC PROCEDURES'.

For licensing inquiries, please contact partnerships@abcam.com