JavaScript is disabled in your browser. Please enable JavaScript to view this website.
AB32115

Anti-Paxillin antibody [E228]

Be the first to review this product! Submit a review

|

(31 Publications)

Rabbit Recombinant Monoclonal Paxillin antibody. Suitable for IP, ELISA, Dot, WB, ICC/IF, Flow Cyt (Intra), IHC-P and reacts with Human, Mouse, Rat, Synthetic peptide - Human samples. Cited in 31 publications.

View Alternative Names

Paxillin, PXN

12 Images
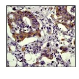
Immunohistochemistry (Formalin/PFA-fixed paraffin-embedded sections) - Anti-Paxillin antibody [E228] (AB32115)
  • IHC-P

Unknown

Immunohistochemistry (Formalin/PFA-fixed paraffin-embedded sections) - Anti-Paxillin antibody [E228] (AB32115)

Immunohistochemical analysis of Paxillin expression in paraffin-embedded human colon carcinoma using 1/100 ab32115.

Immunocytochemistry/ Immunofluorescence - Anti-Paxillin antibody [E228] (AB32115)
  • ICC/IF

PubMed

Immunocytochemistry/ Immunofluorescence - Anti-Paxillin antibody [E228] (AB32115)

Immunofluorescence analysis of HeLa cells, staining Paxillin with ab32115.

Cells on the right were treated with MGAT1 shRNA. Cells were fixed with 2% paraformaldehyde, permeabilized using 0.2% Triton-X-100 and blocked by 5% BSA for 1 hour. Cells were incubated with primary antibody (1/400) overnight at 4°C. A FITC-conjugated donkey anti-rabbit IgG (1/500) was used as the secondary antibody.

Image from Beheshti Zavareh R et al. PLoS One. 2012;7(9):e43721. doi: 10.1371/journal.pone.0043721. Epub 2012 Sep 5. Fig 3.; doi:10.1371/journal.pone.0043721; September 5 2012 PLoS ONE 7(9): e43721.

Immunocytochemistry/ Immunofluorescence - Anti-Paxillin antibody [E228] (AB32115)
  • ICC/IF

Unknown

Immunocytochemistry/ Immunofluorescence - Anti-Paxillin antibody [E228] (AB32115)

Immunocytochemistry/ Immunofluorescence analysis of HeLa (Human cervix adenocarcinoma epithelial cell) cells labeling Paxillin with Purified ab32115 at 1 : 100 dilution (1.2 μg/ml). Cells were fixed in 4% Paraformaldehyde and permeabilized with 0.1% tritonX-100. Cells were counterstained with ab195889 Anti-alpha Tubulin antibody [DM1A] - Microtubule Marker (Alexa Fluor® 594) 1 : 200 (2.5 μg/ml). Goat anti rabbit IgG (Alexa Fluor® 488, ab150077) was used as the secondary antibody at 1 : 1000 (2 μg/ml) dilution. DAPI nuclear counterstain. PBS instead of the primary antibody was used as the secondary antibody only control.

Flow Cytometry (Intracellular) - Anti-Paxillin antibody [E228] (AB32115)
  • Flow Cyt (Intra)

Unknown

Flow Cytometry (Intracellular) - Anti-Paxillin antibody [E228] (AB32115)

Intracellular Flow Cytometry analysis of HeLa (Human cervix adenocarcinoma epithelial cell) cells labeling Paxillin with Purified ab32115 at 1/20 dilution (10μg/ml) (red). Cells were fixed with 4% Paraformaldehyde. A Goat anti rabbit IgG (Alexa Fluorr® 488, ab150077) secondary antibody was used at 1/2000. Isotype control - Rabbit monoclonal IgG (Black). Unlabeled control - Cell without incubation with primary antibody and secondary antibody (Blue).

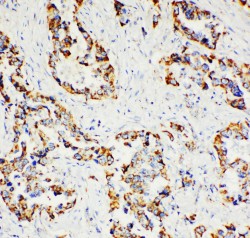
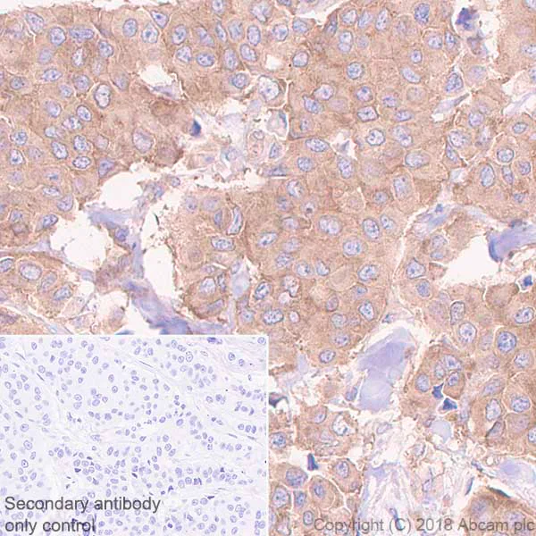
Immunohistochemistry (Formalin/PFA-fixed paraffin-embedded sections) - Anti-Paxillin antibody [E228] (AB32115)
  • IHC-P

Unknown

Immunohistochemistry (Formalin/PFA-fixed paraffin-embedded sections) - Anti-Paxillin antibody [E228] (AB32115)

Immunohistochemistry (Formalin/PFA-fixed paraffin-embedded sections) analysis of Human breast carcinoma tissue sections labeling Paxillin with Purified ab32115 at 1 : 50 dilution (2.34 µg/ml). Heat mediated antigen retrieval was performed using ab93684 (Tris/EDTA buffer, pH 9.0). ImmunoHistoProbe one step HRP Polymer (ready to use)was used. Negative control : PBS instead of the primary antibody. Hematoxylin was used as a counterstain.

Immunoprecipitation - Anti-Paxillin antibody [E228] (AB32115)
  • IP

Unknown

Immunoprecipitation - Anti-Paxillin antibody [E228] (AB32115)

ab32115 (purified) at 1 : 20 dilution (0.5μg) immunoprecipitating Paxillin in HEK-293 whole cell lysate.
Lane 1 (input) : HEK-293 (Human embryonic kidney epithelial cell) whole cell lysate 10μg
Lane 2 (+) : ab32115 & HEK-293 whole cell lysate
Lane 3 (-) : Rabbit monoclonal IgG (ab172730) instead of ab32115 in HEK-293 whole cell lysate
For western blotting, VeriBlot for IP Detection Reagent (HRP) (ab131366) was used for detection at 1 : 1000 dilution.
Blocking and diluting buffer : 5% NFDM/TBST.

All lanes:

Immunoprecipitation - Anti-Paxillin antibody [E228] (ab32115)

Predicted band size: 65 kDa

false

ELISA - Anti-Paxillin antibody [E228] (AB32115)
  • ELISA

Unknown

ELISA - Anti-Paxillin antibody [E228] (AB32115)

Direct ELISA antigen dose-response curve using ab32115 at 0-1000 ng/mL. Antigen (human Paxillin phospho Y31 peptide/ unmodified peptide) concentration of 1000 ng/mL. An alkaline phosphatase-conjugated goat anti-rabbit IgG (H+L) (1/2500) was used as the secondary antibody.

Western blot - Anti-Paxillin antibody [E228] (AB32115)
  • WB

Unknown

Western blot - Anti-Paxillin antibody [E228] (AB32115)

Based on the immunogen sequence blast, this antibody recognizes alpha, beta and gamma isoforms. The molecular weight observed is consistent with what has been described in the literature PMID : 9712867 and 20388733

All lanes:

Western blot - Anti-Paxillin antibody [E228] (ab32115) at 1/1000 dilution

Lane 1:

HEK-293 (Human embryonic kidney) whole cell lysates at 15 µg

Lane 2:

NIH/3T3 (Mouse embryonic fibroblast) whole cell lysates at 15 µg

Lane 3:

C2C12 (Mouse myoblasts myoblast) whole cell lysates at 15 µg

Lane 4:

Rat-1 (Rat embryonic fibroblast) whole cell lysates at 15 µg

Secondary

All lanes:

Western blot - Goat Anti-Rabbit IgG H&L (HRP) (<a href='/en-us/products/secondary-antibodies/goat-rabbit-igg-h-l-hrp-ab97051'>ab97051</a>)

Predicted band size: 65 kDa

Observed band size: 60 kDa,64 kDa

false

Western blot - Anti-Paxillin antibody [E228] (AB32115)
  • WB

Lab

Western blot - Anti-Paxillin antibody [E228] (AB32115)

Lanes 1 - 4 : Merged signal (red and green). Green - ab32115 observed at 65 kDa. Red - loading control, ab8245, observed at 37 kDa.

ab32115 was shown to specifically react with PXN in wild-type A-431 cells as signal was lost in PXN knockout cell line ab261892 (knockout cell lysate ab261701). Wild-type and PXN knockout samples were subjected to SDS-PAGE. The membrane was blocked with 3% milk. ab32115 and ab8245 (Mouse anti GAPDH loading control) were incubated overnight at 4°C at 1/10000 dilution and 1/20000 dilution respectively. Blots were developed with Goat anti-Rabbit IgG H&L (IRDye® 800CW) preabsorbed ab216773 and Goat anti-Mouse IgG H&L (IRDye® 680RD) preabsorbed ab216776 secondary antibodies at 1/20000 dilution for 1 hour at room temperature before imaging.

All lanes:

Western blot - Anti-Paxillin antibody [E228] (ab32115) at 1/10000 dilution

Lane 1:

Wild-type A431 whole cell lysate at 20 µg

Lane 2:

PXN knockout A431 whole cell lysate at 20 µg

Lane 2:

Western blot - Human PXN (Paxillin) knockout A-431 cell line (<a href='/en-us/products/cell-lines/human-pxn-paxillin-knockout-a-431-cell-line-ab261892'>ab261892</a>)

Lane 3:

U-87 MG whole cell lysate at 20 µg

Lane 4:

PC-3 whole cell lysate at 20 µg

Predicted band size: 65 kDa

Observed band size: 65 kDa

false

Exposure time: 10s

Western blot - Anti-Paxillin antibody [E228] (AB32115)
  • WB

Lab

Western blot - Anti-Paxillin antibody [E228] (AB32115)

Blocking and diluting buffer and concentration : 5% NFDM/TBST.

All lanes:

Western blot - Anti-Paxillin antibody [E228] (ab32115) at 1/1000 dilution

Lane 1:

HeLa (Human cervix adenocarcinoma epithelial cell) whole cell lysates at 15 µg

Lane 2:

HEK-293 (human embryonic kidney) whole cell lysates at 15 µg

Secondary

All lanes:

Western blot - Goat Anti-Rabbit IgG H&L (HRP) (<a href='/en-us/products/secondary-antibodies/goat-rabbit-igg-h-l-hrp-ab97051'>ab97051</a>) at 1/20000 dilution

Predicted band size: 65 kDa

Observed band size: 64 kDa

false

Exposure time: 3min

Western blot - Anti-Paxillin antibody [E228] (AB32115)
  • WB

Unknown

Western blot - Anti-Paxillin antibody [E228] (AB32115)

All lanes:

Western blot - Anti-Paxillin antibody [E228] (ab32115) at 1/10000 dilution

Lane 1:

untreated NIH 3T3 cell lysate

Lane 2:

PDGF treated NIH 3T3 cell lysate

Predicted band size: 65 kDa

Observed band size: 64 kDa

false

Dot Blot - Anti-Paxillin antibody [E228] (AB32115)
  • Dot

Unknown

Dot Blot - Anti-Paxillin antibody [E228] (AB32115)

Dot blot analysis of Paxillin (pY31) peptide (Lane 1) and Paxillin non-phospho peptide (Lane 2) labelling Paxillin with ab32115 at a dilution of 1/1000. ab97051 (Peroxidase conjugated goat anti-rabbit IgG (H+L)) was used as the secondary antibody at a dilution of 1/100000.

Blocking and dilution buffer : 5% NFDM/TBST.

Exposure time : 3 minutes.

Key facts

Host species

Rabbit

Clonality

Monoclonal

Clone number

E228

Isotype

IgG

Carrier free

No

Reacts with

Mouse, Rat, Human

Applications

Dot, ICC/IF, IHC-P, Flow Cyt (Intra), IP, WB, ELISA

applications

Immunogen

The exact immunogen used to generate this antibody is proprietary information.

Reactivity data

{ "title": "Reactivity Data", "filters": { "stats": ["", "Species", "Dilution Info", "Notes"], "tabs": { "all-applications": {"fullname" : "All Applications", "shortname": "All Applications"}, "IP" : {"fullname" : "Immunoprecipitation", "shortname":"IP"}, "ELISA" : {"fullname" : "ELISA", "shortname":"ELISA"}, "Dot" : {"fullname" : "Dot Blot", "shortname":"Dot"}, "WB" : {"fullname" : "Western blot", "shortname":"WB"}, "ICCIF" : {"fullname" : "Immunocytochemistry/ Immunofluorescence", "shortname":"ICC/IF"}, "FlowCytIntra" : {"fullname" : "Flow Cytometry (Intracellular)", "shortname":"Flow Cyt (Intra)"}, "IHCP" : {"fullname" : "Immunohistochemistry (Formalin/PFA-fixed paraffin-embedded sections)", "shortname":"IHC-P"} }, "product-promise": { "all": "all", "testedAndGuaranteed": "tested", "guaranteed": "expected", "predicted": "predicted", "notRecommended": "not-recommended" } }, "values": { "Human": { "IP-species-checked": "testedAndGuaranteed", "IP-species-dilution-info": "1/20", "IP-species-notes": "<p>For unpurified use at 1/100</p>", "ELISA-species-checked": "guaranteed", "ELISA-species-dilution-info": "", "ELISA-species-notes": "", "Dot-species-checked": "guaranteed", "Dot-species-dilution-info": "", "Dot-species-notes": "", "WB-species-checked": "testedAndGuaranteed", "WB-species-dilution-info": "1/10000", "WB-species-notes": "<p></p>", "ICCIF-species-checked": "testedAndGuaranteed", "ICCIF-species-dilution-info": "1/100", "ICCIF-species-notes": "<p>For unpurified use at 1/250</p>", "FlowCytIntra-species-checked": "testedAndGuaranteed", "FlowCytIntra-species-dilution-info": "1/20", "FlowCytIntra-species-notes": "<p></p>", "IHCP-species-checked": "testedAndGuaranteed", "IHCP-species-dilution-info": "1/50", "IHCP-species-notes": "<p>For unpurified use at 1/100 - 1/250</p>" }, "Mouse": { "IP-species-checked": "guaranteed", "IP-species-dilution-info": "", "IP-species-notes": "", "ELISA-species-checked": "guaranteed", "ELISA-species-dilution-info": "", "ELISA-species-notes": "", "Dot-species-checked": "guaranteed", "Dot-species-dilution-info": "", "Dot-species-notes": "", "WB-species-checked": "testedAndGuaranteed", "WB-species-dilution-info": "1/10000", "WB-species-notes": "<p></p>", "ICCIF-species-checked": "guaranteed", "ICCIF-species-dilution-info": "", "ICCIF-species-notes": "", "FlowCytIntra-species-checked": "guaranteed", "FlowCytIntra-species-dilution-info": "", "FlowCytIntra-species-notes": "", "IHCP-species-checked": "notRecommended", "IHCP-species-dilution-info": "", "IHCP-species-notes": "<p></p>" }, "Rat": { "IP-species-checked": "guaranteed", "IP-species-dilution-info": "", "IP-species-notes": "", "ELISA-species-checked": "guaranteed", "ELISA-species-dilution-info": "", "ELISA-species-notes": "", "Dot-species-checked": "guaranteed", "Dot-species-dilution-info": "", "Dot-species-notes": "", "WB-species-checked": "testedAndGuaranteed", "WB-species-dilution-info": "1/10000", "WB-species-notes": "<p></p>", "ICCIF-species-checked": "guaranteed", "ICCIF-species-dilution-info": "", "ICCIF-species-notes": "", "FlowCytIntra-species-checked": "guaranteed", "FlowCytIntra-species-dilution-info": "", "FlowCytIntra-species-notes": "", "IHCP-species-checked": "notRecommended", "IHCP-species-dilution-info": "", "IHCP-species-notes": "<p></p>" }, "Synthetic peptide - Human": { "IP-species-checked": "notRecommended", "IP-species-dilution-info": "", "IP-species-notes": "", "ELISA-species-checked": "testedAndGuaranteed", "ELISA-species-dilution-info": "", "ELISA-species-notes": "<p></p>", "Dot-species-checked": "testedAndGuaranteed", "Dot-species-dilution-info": "1/1000", "Dot-species-notes": "<p></p>", "WB-species-checked": "notRecommended", "WB-species-dilution-info": "", "WB-species-notes": "", "ICCIF-species-checked": "notRecommended", "ICCIF-species-dilution-info": "", "ICCIF-species-notes": "", "FlowCytIntra-species-checked": "notRecommended", "FlowCytIntra-species-dilution-info": "", "FlowCytIntra-species-notes": "", "IHCP-species-checked": "notRecommended", "IHCP-species-dilution-info": "", "IHCP-species-notes": "" } } }

Product details

Patented technology
Our RabMAb® technology is a patented hybridoma-based technology for making rabbit monoclonal antibodies. For details on our patents, please refer to RabMAb® patents.

What are the advantages of a recombinant monoclonal antibody?
This product is a recombinant monoclonal antibody, which offers several advantages including:

  • - High batch-to-batch consistency and reproducibility
  • - Improved sensitivity and specificity
  • - Long-term security of supply
  • - Animal-free batch production

For more information, read more on recombinant antibodies.

Properties and storage information

Form
Liquid
Purification technique
Affinity purification Protein A
Storage buffer
pH: 7.2 - 7.4 Preservative: 0.01% Sodium azide Constituents: PBS, 40% Glycerol (glycerin, glycerine), 0.05% BSA
Shipped at conditions
Blue Ice
Appropriate short-term storage conditions
+4°C
Appropriate long-term storage conditions
-20°C
Aliquoting information
Upon delivery aliquot
Storage information
Avoid freeze / thaw cycle

Supplementary information

This supplementary information is collated from multiple sources and compiled automatically.

Paxillin also known as PXN is a cytoskeletal protein involved in the assembly of focal adhesions. It has a molecular weight of approximately 68 kDa. You will find Paxillin expressed widely in various tissues including the liver colon and lung. Paxillin plays a part in cell motility by interacting with other focal adhesion proteins. It plays a significant mechanical role by serving as a docking site for structural and signaling molecules.
Biological function summary

Paxillin serves key functions in cellular processes such as migration proliferation and survival. It interacts with different proteins including vinculin and talin forming part of a complex at the focal adhesion sites. The phosphorylation state of Paxillin can modulate its interactions and in this way influence the assembly of signaling complexes that control dynamic cellular processes.

Pathways

Paxillin participates in the integrin signaling and MAPK pathways. It operates by linking integrin receptors to the actin cytoskeleton facilitating signal transduction. Paxillin phosphorylation is an important regulatory mechanism within these pathways. In particular its interaction with focal adhesion kinase (FAK) and Src family kinases signifies its role in transmitting signals from the extracellular matrix to the cellular interior which impacts cell behavior and response.

Paxillin has links with osteosarcoma and lung cancer. Deregulation of Paxillin expression or its phosphorylation state contributes to oncogenic transformation and tumor progression. In cancer Paxillin associates with altered activity of proteins such as Src and FAK exacerbating disease states. This relationship highlights Paxillin's potential as a biomarker and therapeutic target in treating related malignancies.

Product protocols

For this product, it's our understanding that no specific protocols are required. You can visit:

Target data

Cytoskeletal protein involved in actin-membrane attachment at sites of cell adhesion to the extracellular matrix (focal adhesion). Recruits other proteins such as TRIM15 to focal adhesion.
See full target information Paxillin

Publications (31)

Recent publications for all applications. Explore the full list and refine your search

Translational cancer research 13:6347-6363 PubMed39697757

2024

gene expression in melanoma tissues and its effects on the malignant biological functions of melanoma cells.

Applications

Unspecified application

Species

Unspecified reactive species

Jiaojiao Qu,Xianfeng Cheng,Mingyan Liu,Qiang Zhang

Respiratory research 25:426 PubMed39633451

2024

Loss of PTPN21 disrupted mitochondrial metabolic homeostasis and aggravated experimental pulmonary fibrosis.

Applications

Unspecified application

Species

Unspecified reactive species

Hui Lian,Kai Xu,Airu Chang,Yaxuan Wang,Shuaichen Ma,Lianhui Cheng,Wenyu Zhao,Cong Xia,Lan Wang,Guoying Yu

Nature communications 15:6509 PubMed39095354

2024

CLASP-mediated competitive binding in protein condensates directs microtubule growth.

Applications

Unspecified application

Species

Unspecified reactive species

Xuanyan Jia,Leishu Lin,Siqi Guo,Lulu Zhou,Gaowei Jin,Jiayuan Dong,Jinman Xiao,Xingqiao Xie,Yiming Li,Sicong He,Zhiyi Wei,Cong Yu

Experimental cell research 441:114155 PubMed39002689

2024

Ascites microenvironment conditions the peritoneal pre-metastatic niche to promote the implantation of ovarian tumor spheroids: Involvement of fibrinogen/fibrin and αV and α5β1 integrins.

Applications

Unspecified application

Species

Unspecified reactive species

Carine Laurent-Issartel,Alexandra Landras,Rémy Agniel,Florence Giffard,Cécile Blanc-Fournier,Elisabete Da Silva Cruz,Chahrazed Habes,Johanne Leroy-Dudal,Franck Carreiras,Sabrina Kellouche

Communications biology 7:577 PubMed38755434

2024

Fibroblasts' secretome from calcified and non-calcified dermis in Pseudoxanthoma elasticum differently contributes to elastin calcification.

Applications

Unspecified application

Species

Unspecified reactive species

Francesco Demetrio Lofaro,Sonia Costa,Maria Luisa Simone,Daniela Quaglino,Federica Boraldi

International journal of molecular sciences 24: PubMed37958964

2023

Fyn-Mediated Paxillin Tyrosine 31 Phosphorylation Regulates Migration and Invasion of Breast Cancer Cells.

Applications

Unspecified application

Species

Unspecified reactive species

Ying Zhang,Huanyu Zheng,Ming Xu,Noriko Maeda,Ryouichi Tsunedomi,Hiroko Kishi,Hiroaki Nagano,Sei Kobayashi

Journal of biomedical science 30:80 PubMed37726723

2023

LncRNA SLCO4A1-AS1 suppresses lung cancer progression by sequestering the TOX4-NTSR1 signaling axis.

Applications

Unspecified application

Species

Unspecified reactive species

Yi-Ling Chen,Yi-Nan Liu,Yen-Ting Lin,Meng-Feng Tsai,Shang-Gin Wu,Tzu-Hua Chang,Chia-Lang Hsu,Huey-Dong Wu,Jin-Yuan Shih

Frontiers in cell and developmental biology 11:1199069 PubMed37427378

2023

Usher syndrome proteins ADGRV1 (USH2C) and CIB2 (USH1J) interact and share a common interactome containing TRiC/CCT-BBS chaperonins.

Applications

Unspecified application

Species

Unspecified reactive species

Joshua Linnert,Barbara Knapp,Baran E Güler,Karsten Boldt,Marius Ueffing,Uwe Wolfrum

Hepatology communications 7: PubMed37314767

2023

TATA-box-binding protein promotes hepatocellular carcinoma metastasis through epithelial-mesenchymal transition.

Applications

Unspecified application

Species

Unspecified reactive species

Jiayi Cao,Suzhen Yang,Tingting Luo,Rui Yang,Hanlong Zhu,Tianming Zhao,Kang Jiang,Bing Xu,Yingchun Wang,Fulin Chen

Nature immunology 24:1173-1187 PubMed37291385

2023

Defining blood-induced microglia functions in neurodegeneration through multiomic profiling.

Applications

Unspecified application

Species

Unspecified reactive species

Andrew S Mendiola,Zhaoqi Yan,Karuna Dixit,Jeffrey R Johnson,Mehdi Bouhaddou,Anke Meyer-Franke,Min-Gyoung Shin,Yu Yong,Ayushi Agrawal,Eilidh MacDonald,Gayathri Muthukumar,Clairice Pearce,Nikhita Arun,Belinda Cabriga,Rosa Meza-Acevedo,Maria Del Pilar S Alzamora,Scott S Zamvil,Alexander R Pico,Jae Kyu Ryu,Nevan J Krogan,Katerina Akassoglou
View all publications

Product promise

We are committed to supporting your work with high-quality reagents, and we're here for you every step of the way. In the unlikely event that one of our products does not perform as expected, you're protected by our Product Promise.
For full details, please see our Terms & Conditions

Please note: All products are 'FOR RESEARCH USE ONLY. NOT FOR USE IN DIAGNOSTIC OR THERAPEUTIC PROCEDURES'.

For licensing inquiries, please contact partnerships@abcam.com