JavaScript is disabled in your browser. Please enable JavaScript to view this website.
AB238950

Anti-Paxillin antibody [E228] - BSA and Azide free

Be the first to review this product! Submit a review

|

(1 Publication)

Rabbit Recombinant Monoclonal Paxillin antibody. Carrier free. Suitable for IP, ELISA, Dot, WB, ICC/IF, Flow Cyt (Intra), IHC-P and reacts with Human, Mouse, Rat, Synthetic peptide - Human samples. Cited in 1 publication.

View Alternative Names

Paxillin, PXN

9 Images
Immunocytochemistry/ Immunofluorescence - Anti-Paxillin antibody [E228] - BSA and Azide free (AB238950)
  • ICC/IF

PubMed

Immunocytochemistry/ Immunofluorescence - Anti-Paxillin antibody [E228] - BSA and Azide free (AB238950)

Immunofluorescence analysis of HeLa cells, staining Paxillin with ab32115.

Cells on the right were treated with MGAT1 shRNA. Cells were fixed with 2% paraformaldehyde, permeabilized using 0.2% Triton-X-100 and blocked by 5% BSA for 1 hour. Cells were incubated with primary antibody (1/400) overnight at 4°C. A FITC-conjugated donkey anti-rabbit IgG (1/500) was used as the secondary antibody.

This data was developed using the same antibody clone in a different buffer formulation containing PBS, BSA, glycerol, and sodium azide (ab32115).

Image from Beheshti Zavareh R et al. PLoS One. 2012;7(9):e43721. doi: 10.1371/journal.pone.0043721. Epub 2012 Sep 5. Fig 3.; doi:10.1371/journal.pone.0043721; September 5 2012 PLoS ONE 7(9): e43721.

Immunocytochemistry/ Immunofluorescence - Anti-Paxillin antibody [E228] - BSA and Azide free (AB238950)
  • ICC/IF

Unknown

Immunocytochemistry/ Immunofluorescence - Anti-Paxillin antibody [E228] - BSA and Azide free (AB238950)

Immunocytochemistry/ Immunofluorescence analysis of HeLa (Human cervix adenocarcinoma epithelial cell) cells labeling Paxillin with Purified ab32115 at 1 : 100 dilution (1.2 µg/ml). Cells were fixed in 4% Paraformaldehyde and permeabilized with 0.1% tritonX-100. Cells were counterstained with ab195889 Anti-alpha Tubulin antibody [DM1A] - Microtubule Marker (Alexa Fluor® 594) 1 : 200 (2.5 µg/ml). Goat anti rabbit IgG (Alexa Fluor® 488, ab150077) was used as the secondary antibody at 1 : 1000 (2 µg/ml) dilution. DAPI nuclear counterstain. PBS instead of the primary antibody was used as the secondary antibody only control.

This data was developed using the same antibody clone in a different buffer formulation containing PBS, BSA, glycerol, and sodium azide (ab32115).

Flow Cytometry (Intracellular) - Anti-Paxillin antibody [E228] - BSA and Azide free (AB238950)
  • Flow Cyt (Intra)

Unknown

Flow Cytometry (Intracellular) - Anti-Paxillin antibody [E228] - BSA and Azide free (AB238950)

Intracellular Flow Cytometry analysis of HeLa (Human cervix adenocarcinoma epithelial cell) cells labeling Paxillin with Purified ab32115 at 1/20 dilution (10 μg/ml) (red). Cells were fixed with 4% Paraformaldehyde. A Goat anti rabbit IgG (Alexa Fluor® 488, ab150077) secondary antibody was used at 1/2000. Isotype control - Rabbit monoclonal IgG (Black). Unlabeled control - Cell without incubation with primary antibody and secondary antibody (Blue).

This data was developed using the same antibody clone in a different buffer formulation containing PBS, BSA, glycerol, and sodium azide (ab32115).

Immunocytochemistry/ Immunofluorescence - Anti-Paxillin antibody [E228] - BSA and Azide free (AB238950)
  • ICC/IF

Supplier Data

Immunocytochemistry/ Immunofluorescence - Anti-Paxillin antibody [E228] - BSA and Azide free (AB238950)

Immunocytochemistry/ Immunofluorescence analysis of HeLa (Human epithelial cell line from cervix adenocarcinoma) cells labeling Paxillin with ab32115 at 1/100 (1 μg/ml). Cells were fixed with 4% paraformaldehyde and permeabilized with 0.1% Triton X-100. ab150077, an Alexa Fluor® 488-conjugated goat anti-rabbit IgG (1/1000, 2 μg/ml) was used as the secondary antibody. The cells were counterstained with ab195889, anti-alpha Tubulin antibody [DM1A] - Microtubule Marker (Alexa Fluor® 594) at 1/200, 2.5 μg/ml. Nuclei counterstained with DAPI (blue).

Confocal image showing membranous staining on HeLa cells.

This data was developed using the same antibody clone in a different buffer formulation containing PBS, BSA, glycerol, and sodium azide (ab32115).

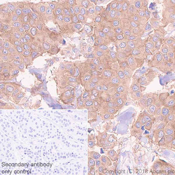
Immunohistochemistry (Formalin/PFA-fixed paraffin-embedded sections) - Anti-Paxillin antibody [E228] - BSA and Azide free (AB238950)
  • IHC-P

Unknown

Immunohistochemistry (Formalin/PFA-fixed paraffin-embedded sections) - Anti-Paxillin antibody [E228] - BSA and Azide free (AB238950)

Immunohistochemistry (Formalin/PFA-fixed paraffin-embedded sections) analysis of Human breast carcinoma tissue sections labeling Paxillin with Purified ab32115 at 1 : 50 dilution (2.34 µg/ml). Heat mediated antigen retrieval was performed using ab93684 (Tris/EDTA buffer, pH 9.0). ImmunoHistoProbe one step HRP Polymer (ready to use)was used. Negative control : PBS instead of the primary antibody. Hematoxylin was used as a counterstain.This data was developed using the same antibody clone in a different buffer formulation containing PBS, BSA, glycerol, and sodium azide (ab32115).

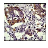
Immunohistochemistry (Formalin/PFA-fixed paraffin-embedded sections) - Anti-Paxillin antibody [E228] - BSA and Azide free (AB238950)
  • IHC-P

Unknown

Immunohistochemistry (Formalin/PFA-fixed paraffin-embedded sections) - Anti-Paxillin antibody [E228] - BSA and Azide free (AB238950)

Immunohistochemical analysis of Paxillin expression in paraffin-embedded human colon carcinoma using 1/100 ab32115.

This data was developed using the same antibody clone in a different buffer formulation containing PBS, BSA, glycerol, and sodium azide (ab32115).

ELISA - Anti-Paxillin antibody [E228] - BSA and Azide free (AB238950)
  • ELISA

Unknown

ELISA - Anti-Paxillin antibody [E228] - BSA and Azide free (AB238950)

Direct ELISA antigen dose-response curve using ab32115 at 0-1000 ng/mL. Antigen (human Paxillin phospho Y31 peptide/ unmodified peptide) concentration of 1000 ng/mL. An alkaline phosphatase-conjugated goat anti-rabbit IgG (H+L) (1/2500) was used as the secondary antibody.

This data was developed using the same antibody clone in a different buffer formulation containing PBS, BSA, glycerol, and sodium azide (ab32115).

Immunoprecipitation - Anti-Paxillin antibody [E228] - BSA and Azide free (AB238950)
  • IP

Unknown

Immunoprecipitation - Anti-Paxillin antibody [E228] - BSA and Azide free (AB238950)

ab32115 (purified) at 1 : 20 dilution (0.5μg) immunoprecipitating Paxillin in HEK-293 whole cell lysate.
Lane 1 (input) : HEK-293 (Human embryonic kidney epithelial cell) whole cell lysate 10μg
Lane 2 (+) : ab32115 & HEK-293 whole cell lysate
Lane 3 (-) : Rabbit monoclonal IgG (ab172730) instead of ab32115 in HEK-293 whole cell lysate
For western blotting, VeriBlot for IP Detection Reagent (HRP) (ab131366) was used for detection at 1 : 1000 dilution.
Blocking and diluting buffer : 5% NFDM/TBST.

This data was developed using the same antibody clone in a different buffer formulation containing PBS, BSA, glycerol, and sodium azide (ab32115).

All lanes:

Immunoprecipitation - Anti-Paxillin antibody [E228] (<a href='/en-us/products/primary-antibodies/paxillin-antibody-e228-ab32115'>ab32115</a>)

Predicted band size: 65 kDa

false

Dot Blot - Anti-Paxillin antibody [E228] - BSA and Azide free (AB238950)
  • Dot

Unknown

Dot Blot - Anti-Paxillin antibody [E228] - BSA and Azide free (AB238950)

Dot blot analysis of Paxillin (pY31) peptide (Lane 1) and Paxillin non-phospho peptide (Lane 2) labelling Paxillin with ab32115 at a dilution of 1/1000. ab97051 (Peroxidase conjugated goat anti-rabbit IgG (H+L)) was used as the secondary antibody at a dilution of 1/100000.

Blocking and dilution buffer : 5% NFDM/TBST.

Exposure time : 3 minutes.

This data was developed using the same antibody clone in a different buffer formulation containing PBS, BSA, glycerol, and sodium azide (ab32115).

Key facts

Host species

Rabbit

Clonality

Monoclonal

Clone number

E228

Isotype

IgG

Carrier free

Yes

Reacts with

Mouse, Rat, Human

Applications

IP, Flow Cyt (Intra), ELISA, WB, Dot, IHC-P, ICC/IF

applications

Immunogen

The exact immunogen used to generate this antibody is proprietary information.

Specificity

The mouse and rat recommendation is based on the WB results. We do not guarantee IHC-P for mouse and rat.

Reactivity data

{ "title": "Reactivity Data", "filters": { "stats": ["", "Species", "Dilution Info", "Notes"], "tabs": { "all-applications": {"fullname" : "All Applications", "shortname": "All Applications"}, "IP" : {"fullname" : "Immunoprecipitation", "shortname":"IP"}, "ELISA" : {"fullname" : "ELISA", "shortname":"ELISA"}, "Dot" : {"fullname" : "Dot Blot", "shortname":"Dot"}, "WB" : {"fullname" : "Western blot", "shortname":"WB"}, "ICCIF" : {"fullname" : "Immunocytochemistry/ Immunofluorescence", "shortname":"ICC/IF"}, "FlowCytIntra" : {"fullname" : "Flow Cytometry (Intracellular)", "shortname":"Flow Cyt (Intra)"}, "IHCP" : {"fullname" : "Immunohistochemistry (Formalin/PFA-fixed paraffin-embedded sections)", "shortname":"IHC-P"} }, "product-promise": { "all": "all", "testedAndGuaranteed": "tested", "guaranteed": "expected", "predicted": "predicted", "notRecommended": "not-recommended" } }, "values": { "Human": { "IP-species-checked": "testedAndGuaranteed", "IP-species-dilution-info": "", "IP-species-notes": "<p></p>", "ELISA-species-checked": "guaranteed", "ELISA-species-dilution-info": "", "ELISA-species-notes": "", "Dot-species-checked": "guaranteed", "Dot-species-dilution-info": "", "Dot-species-notes": "", "WB-species-checked": "testedAndGuaranteed", "WB-species-dilution-info": "", "WB-species-notes": "<p></p>", "ICCIF-species-checked": "testedAndGuaranteed", "ICCIF-species-dilution-info": "", "ICCIF-species-notes": "<p></p>", "FlowCytIntra-species-checked": "testedAndGuaranteed", "FlowCytIntra-species-dilution-info": "", "FlowCytIntra-species-notes": "<p></p>", "IHCP-species-checked": "testedAndGuaranteed", "IHCP-species-dilution-info": "", "IHCP-species-notes": "<p></p>" }, "Mouse": { "IP-species-checked": "guaranteed", "IP-species-dilution-info": "", "IP-species-notes": "", "ELISA-species-checked": "guaranteed", "ELISA-species-dilution-info": "", "ELISA-species-notes": "", "Dot-species-checked": "guaranteed", "Dot-species-dilution-info": "", "Dot-species-notes": "", "WB-species-checked": "testedAndGuaranteed", "WB-species-dilution-info": "", "WB-species-notes": "<p></p>", "ICCIF-species-checked": "guaranteed", "ICCIF-species-dilution-info": "", "ICCIF-species-notes": "", "FlowCytIntra-species-checked": "guaranteed", "FlowCytIntra-species-dilution-info": "", "FlowCytIntra-species-notes": "", "IHCP-species-checked": "guaranteed", "IHCP-species-dilution-info": "", "IHCP-species-notes": "" }, "Rat": { "IP-species-checked": "guaranteed", "IP-species-dilution-info": "", "IP-species-notes": "", "ELISA-species-checked": "guaranteed", "ELISA-species-dilution-info": "", "ELISA-species-notes": "", "Dot-species-checked": "guaranteed", "Dot-species-dilution-info": "", "Dot-species-notes": "", "WB-species-checked": "testedAndGuaranteed", "WB-species-dilution-info": "", "WB-species-notes": "<p></p>", "ICCIF-species-checked": "guaranteed", "ICCIF-species-dilution-info": "", "ICCIF-species-notes": "", "FlowCytIntra-species-checked": "guaranteed", "FlowCytIntra-species-dilution-info": "", "FlowCytIntra-species-notes": "", "IHCP-species-checked": "guaranteed", "IHCP-species-dilution-info": "", "IHCP-species-notes": "" }, "Synthetic peptide - Human": { "IP-species-checked": "notRecommended", "IP-species-dilution-info": "", "IP-species-notes": "", "ELISA-species-checked": "testedAndGuaranteed", "ELISA-species-dilution-info": "", "ELISA-species-notes": "<p></p>", "Dot-species-checked": "testedAndGuaranteed", "Dot-species-dilution-info": "", "Dot-species-notes": "<p></p>", "WB-species-checked": "notRecommended", "WB-species-dilution-info": "", "WB-species-notes": "", "ICCIF-species-checked": "notRecommended", "ICCIF-species-dilution-info": "", "ICCIF-species-notes": "", "FlowCytIntra-species-checked": "notRecommended", "FlowCytIntra-species-dilution-info": "", "FlowCytIntra-species-notes": "", "IHCP-species-checked": "notRecommended", "IHCP-species-dilution-info": "", "IHCP-species-notes": "" } } }

Product details

ab238950 is the carrier-free version of ab32115.

Patented technology
Our RabMAb® technology is a patented hybridoma-based technology for making rabbit monoclonal antibodies. For details on our patents, please refer to RabMAb® patents.

What are the advantages of a recombinant monoclonal antibody?
This product is a recombinant monoclonal antibody, which offers several advantages including:

  • - High batch-to-batch consistency and reproducibility
  • - Improved sensitivity and specificity
  • - Long-term security of supply
  • - Animal-free batch production

For more information, read more on recombinant antibodies.

Conjugation ready
Our carrier-free antibodies are typically supplied in a PBS-only formulation, purified and free of BSA, sodium azide and glycerol. This conjugation-ready format is designed for use with fluorochromes, metal isotopes, oligonucleotides, and enzymes, which makes them ideal for antibody labelling, functional and cell-based assays, flow-based assays (e.g. mass cytometry) and Multiplex Imaging applications.

Use our conjugation kits for antibody conjugates that are ready-to-use in as little as 20 minutes with 1 minute hands-on-time and 100% antibody recovery: available for fluorescent dyes, HRP, biotin and gold.

Compatibility
This product is compatible with the Maxpar® Antibody Labeling Kit from Fluidigm, without the need for antibody preparation. Maxpar® is a trademark of Fluidigm Canada Inc.

Properties and storage information

Form
Liquid
Purification technique
Affinity purification Protein A
Storage buffer
pH: 7.2 - 7.4 Constituents: PBS
Shipped at conditions
Blue Ice
Appropriate short-term storage conditions
+4°C
Appropriate long-term storage conditions
+4°C
Storage information
Do Not Freeze

Supplementary information

This supplementary information is collated from multiple sources and compiled automatically.

Paxillin also known as PXN is a cytoskeletal protein involved in the assembly of focal adhesions. It has a molecular weight of approximately 68 kDa. You will find Paxillin expressed widely in various tissues including the liver colon and lung. Paxillin plays a part in cell motility by interacting with other focal adhesion proteins. It plays a significant mechanical role by serving as a docking site for structural and signaling molecules.
Biological function summary

Paxillin serves key functions in cellular processes such as migration proliferation and survival. It interacts with different proteins including vinculin and talin forming part of a complex at the focal adhesion sites. The phosphorylation state of Paxillin can modulate its interactions and in this way influence the assembly of signaling complexes that control dynamic cellular processes.

Pathways

Paxillin participates in the integrin signaling and MAPK pathways. It operates by linking integrin receptors to the actin cytoskeleton facilitating signal transduction. Paxillin phosphorylation is an important regulatory mechanism within these pathways. In particular its interaction with focal adhesion kinase (FAK) and Src family kinases signifies its role in transmitting signals from the extracellular matrix to the cellular interior which impacts cell behavior and response.

Paxillin has links with osteosarcoma and lung cancer. Deregulation of Paxillin expression or its phosphorylation state contributes to oncogenic transformation and tumor progression. In cancer Paxillin associates with altered activity of proteins such as Src and FAK exacerbating disease states. This relationship highlights Paxillin's potential as a biomarker and therapeutic target in treating related malignancies.

Product protocols

For this product, it's our understanding that no specific protocols are required. You can visit:

Target data

Cytoskeletal protein involved in actin-membrane attachment at sites of cell adhesion to the extracellular matrix (focal adhesion). Recruits other proteins such as TRIM15 to focal adhesion.
See full target information Paxillin

Publications (1)

Recent publications for all applications. Explore the full list and refine your search

Cell cycle (Georgetown, Tex.) 20:1935-1952 PubMed34424812

2021

Up-regulation of miR-663a inhibits the cancer stem cell-like properties of glioma via repressing the KDM2A-mediated TGF-β/SMAD signaling pathway.

Applications

Unspecified application

Species

Unspecified reactive species

Lei Wang,Bojuan Lang,Youdong Zhou,Jinyang Ma,Keqi Hu
View all publications

Product promise

We are committed to supporting your work with high-quality reagents, and we're here for you every step of the way. In the unlikely event that one of our products does not perform as expected, you're protected by our Product Promise.
For full details, please see our Terms & Conditions

Please note: All products are 'FOR RESEARCH USE ONLY. NOT FOR USE IN DIAGNOSTIC OR THERAPEUTIC PROCEDURES'.

For licensing inquiries, please contact partnerships@abcam.com