JavaScript is disabled in your browser. Please enable JavaScript to view this website.
AB216652

Anti-Paxillin antibody [Y113] - BSA and Azide free

  • BOND RX™ Validated
  • RabMAb
  • Recombinant
  • KO Validated
  • What is this?

Be the first to review this product! Submit a review

|

(14 Publications)

Knockout Tested Rabbit Recombinant Monoclonal Paxillin antibody. Carrier free. Suitable for IP, WB, IHC-P, ICC/IF, Flow Cyt (Intra) and reacts with Human, Mouse samples. Cited in 14 publications.

View Alternative Names

Paxillin, PXN

11 Images
Immunohistochemistry (Formalin/PFA-fixed paraffin-embedded sections) - Anti-Paxillin antibody [Y113] - BSA and Azide free (AB216652)
  • IHC-P

Supplier Data

Immunohistochemistry (Formalin/PFA-fixed paraffin-embedded sections) - Anti-Paxillin antibody [Y113] - BSA and Azide free (AB216652)

Immunohistochemistry analysis of paraffin-embedded human cerebrum tissue sections labelling Paxillin with ab32084 at 1/1200 dilution. The section was incubated with ab32084 for 30 mins at room temperature. Rabbit specific IHC polymer detection kit HRP/DAB (ab209101) was used as the secondary antibody. Sections were counterstained with Hematoxylin. Antigen retrieval was heat mediated antigen retrieval with Citrate buffer (pH 6.0, epitope retrieval solution 1) for 20 mins.
Positive staining on human cerebrum tissue. The immunostaining was performed on a Leica Biosystems BOND® RX instrument.
This data was developed using ab32084, the same antibody clone in a different buffer formulation.

Flow Cytometry (Intracellular) - Anti-Paxillin antibody [Y113] - BSA and Azide free (AB216652)
  • Flow Cyt (Intra)

Unknown

Flow Cytometry (Intracellular) - Anti-Paxillin antibody [Y113] - BSA and Azide free (AB216652)

Intracellular Flow Cytometry analysis of HeLa (human cervix adenocarcinoma) cells labeling with purified ab32084 at 1/100 dilution (10ug/ml) (Red). Cells were fixed with 4% paraformaldehyde and permeabilised with 90% methanol. A Goat anti rabbit IgG (Alexa Fluor® 488) (ab150077) (1/2000 dilution) was used as the secondary antibody. Rabbit monoclonal IgG (Black) (ab172730) was used as a isotype control.Cell without incubation with primary antibody and secondary antibody (Blue) were used as unlabeled control.

This data was developed using the same antibody clone in a different buffer formulation containing PBS, BSA, glycerol, and sodium azide (ab32084).

Immunocytochemistry/ Immunofluorescence - Anti-Paxillin antibody [Y113] - BSA and Azide free (AB216652)
  • ICC/IF

Supplier Data

Immunocytochemistry/ Immunofluorescence - Anti-Paxillin antibody [Y113] - BSA and Azide free (AB216652)

This data was developed using ab32084, the same antibody clone in a different buffer formulation.
Immunocytochemistry analysis of HeLa (Human cervix adenocarcinoma epithelial cell) cells labeling Paxillin with purified ab32084 at 1/50 dilution (2.88 μg/mL). Cells were fixed in 4% Paraformaldehyde and permeabilized with 0.1% tritonX-100. Cells were counterstained with ab195889 Anti-alpha Tubulin antibody [DM1A] - Microtubule Marker (Alexa Fluor® 594) 1/200 (2.5 μg/mL). Goat anti rabbit IgG (Alexa Fluor® 488, ab150077) was used as the secondary antibody at 1/1000 (2 μg/mL) dilution. DAPI (blue) was used as nuclear counterstain. PBS instead of the primary antibody was used as the secondary antibody only control.

Immunohistochemistry (Formalin/PFA-fixed paraffin-embedded sections) - Anti-Paxillin antibody [Y113] - BSA and Azide free (AB216652)
  • IHC-P

Supplier Data

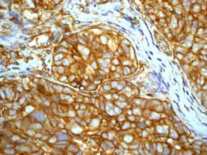
Immunohistochemistry (Formalin/PFA-fixed paraffin-embedded sections) - Anti-Paxillin antibody [Y113] - BSA and Azide free (AB216652)

Immunohistochemistry analysis of paraffin-embedded human breast carcinoma tissue sections labelling Paxillin with ab32084 at 1/1200 dilution. The section was incubated with ab32084 for 30 mins at room temperature. Rabbit specific IHC polymer detection kit HRP/DAB (ab209101) was used as the secondary antibody. Sections were counterstained with Hematoxylin. Antigen retrieval was heat mediated antigen retrieval with Citrate buffer (pH 6.0, epitope retrieval solution 1) for 20 mins.
Positive staining on human breast carcinoma tissue. The immunostaining was performed on a Leica Biosystems BOND® RX instrument.
This data was developed using ab32084, the same antibody clone in a different buffer formulation.

Western blot - Anti-Paxillin antibody [Y113] - BSA and Azide free (AB216652)
  • WB

Lab

Western blot - Anti-Paxillin antibody [Y113] - BSA and Azide free (AB216652)

Anti-PXN antibody [Y113] (ab32084) staining at 1/1000 dilution, shown in green; Mouse anti-GAPDH antibody [6C5] (ab8245) loading control staining at 1/20000 dilution, shown in red. In Western blot, ab32084 was shown to bind specifically to PXN. A band was observed at 70 kDa in wild-type A431 cell lysates with no signal observed at this size in PXN knockout cell line ab261892 (knockout cell lysate ab261701). To generate this image, wild-type and PXN knockout A431 cell lysates were analysed. First, samples were run on an SDS-PAGE gel then transferred onto a nitrocellulose membrane. Membranes were blocked in 3 % milk in TBS-0.1 % Tween$®$ 20 (TBS-T) before incubation with primary antibodies overnight at 4 °C. Blots were washed four times in TBS-T, incubated with secondary antibodies for 1 h at room temperature, washed again four times then imaged. Secondary antibodies used were Goat anti-Rabbit IgG H&L 800CW and Goat anti-Mouse IgG H&L 680RD at 1/20000 dilution

All lanes:

Western blot - Anti-Paxillin antibody [Y113] (<a href='/en-us/products/primary-antibodies/paxillin-antibody-y113-ab32084'>ab32084</a>) at 1/1000 dilution

Lane 2:

Western blot - Human PXN (Paxillin) knockout A-431 cell lysate (<a href='/en-us/products/cell-lysates/human-pxn-paxillin-knockout-a-431-cell-lysate-ab261701'>ab261701</a>)

Lane 2:

Western blot - Human PXN (Paxillin) knockout A-431 cell line (<a href='/en-us/products/cell-lines/human-pxn-paxillin-knockout-a-431-cell-line-ab261892'>ab261892</a>)

Predicted band size: 65 kDa

Observed band size: 70 kDa

false

Immunohistochemistry (Formalin/PFA-fixed paraffin-embedded sections) - Anti-Paxillin antibody [Y113] - BSA and Azide free (AB216652)
  • IHC-P

Unknown

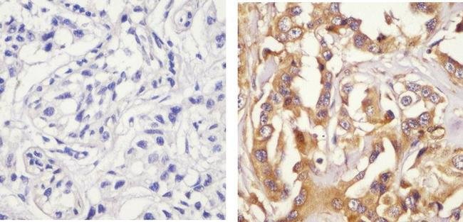
Immunohistochemistry (Formalin/PFA-fixed paraffin-embedded sections) - Anti-Paxillin antibody [Y113] - BSA and Azide free (AB216652)

ab32084 (Unpurified format) showing positive staining in Ovarian carcinoma tissue.

This data was developed using the same antibody clone in a different buffer formulation containing PBS, BSA, glycerol, and sodium azide (ab32084).

Perform heat mediated antigen retrieval with citrate buffer pH 6 before commencing with IHC staining protocol.

Immunohistochemistry (Formalin/PFA-fixed paraffin-embedded sections) - Anti-Paxillin antibody [Y113] - BSA and Azide free (AB216652)
  • IHC-P

Unknown

Immunohistochemistry (Formalin/PFA-fixed paraffin-embedded sections) - Anti-Paxillin antibody [Y113] - BSA and Azide free (AB216652)

ab32084 (Unpurified format) showing positive staining in Normal ovary tissue.

This data was developed using the same antibody clone in a different buffer formulation containing PBS, BSA, glycerol, and sodium azide (ab32084).

Perform heat mediated antigen retrieval with citrate buffer pH 6 before commencing with IHC staining protocol.

Immunohistochemistry (Formalin/PFA-fixed paraffin-embedded sections) - Anti-Paxillin antibody [Y113] - BSA and Azide free (AB216652)
  • IHC-P

Unknown

Immunohistochemistry (Formalin/PFA-fixed paraffin-embedded sections) - Anti-Paxillin antibody [Y113] - BSA and Azide free (AB216652)

ab32084 (Unpurified format) showing positive staining in Transitional cell carcinoma of kidney tissue.

This data was developed using the same antibody clone in a different buffer formulation containing PBS, BSA, glycerol, and sodium azide (ab32084).

Perform heat mediated antigen retrieval with citrate buffer pH 6 before commencing with IHC staining protocol.

Immunoprecipitation - Anti-Paxillin antibody [Y113] - BSA and Azide free (AB216652)
  • IP

Lab

Immunoprecipitation - Anti-Paxillin antibody [Y113] - BSA and Azide free (AB216652)

This data was developed using ab32084, the same antibody clone in a different buffer formulation.
Purified ab32084 at 1/20 dilution (0.7μg) immunoprecipitating Paxillin in HeLa whole cell lysate.
Lane 1 (input) : HeLa (Human cervix adenocarcinoma epithelial cell) whole cell lysate 10μg.
Lane 2 (+) : ab32084 + HeLa whole cell lysate.
Lane 3 (-) : Rabbit monoclonal IgG (ab172730) instead of ab32084 in HeLa whole cell lysate.
VeriBlot for IP Detection Reagent (HRP) (ab131366) (1/1000 dilution) was used for Western blotting.
Blocking Buffer and concentration : 5% NFDM/TBST.
Diluting buffer and concentration : 5% NFDM/TBST.

All lanes:

Immunoprecipitation - Anti-Paxillin antibody [Y113] (<a href='/en-us/products/primary-antibodies/paxillin-antibody-y113-ab32084'>ab32084</a>)

Predicted band size: 65 kDa

Observed band size: 68 kDa

false

Western blot - Anti-Paxillin antibody [Y113] - BSA and Azide free (AB216652)
  • WB

Unknown

Western blot - Anti-Paxillin antibody [Y113] - BSA and Azide free (AB216652)

All lanes:

Western blot - Anti-Paxillin antibody [Y113] (<a href='/en-us/products/primary-antibodies/paxillin-antibody-y113-ab32084'>ab32084</a>) at 1/1000 dilution

Lane 1:

HeLa (Human cervix adenocarcinoma epithelial cell) whole cell lysate

Lane 2:

RAW 264.7 (Mouse Abelson murine leukemia virus-induced tumor macrophage) whole cell lysate

Lane 3:

Mouse heart lysate

Secondary

All lanes:

Western blot - Goat Anti-Rabbit IgG H&L (HRP) (<a href='/en-us/products/secondary-antibodies/goat-rabbit-igg-h-l-hrp-ab97051'>ab97051</a>) at 1/20000 dilution

Predicted band size: 65 kDa

false

OI-RD Scanning - Anti-Paxillin antibody [Y113] - BSA and Azide free (AB216652)
  • OI-RD Scanning

Unknown

OI-RD Scanning - Anti-Paxillin antibody [Y113] - BSA and Azide free (AB216652)

We have systematically measured KD (the equilibrium dissociation constant between the antibody and its antigen), of more than 840 recombinant antibodies to assess not only their individual KD values but also to see the average affinity of antibody. Based on the comparison with published literature values for mouse monoclonal antibodies, Recombinant antibodies appear to be on average 1-2 order of magnitude higher affinity.

Key facts

Host species

Rabbit

Clonality

Monoclonal

Clone number

Y113

Isotype

IgG

Carrier free

Yes

Reacts with

Mouse, Human

Applications

IP, ICC/IF, IHC-P, WB, Flow Cyt (Intra)

applications

Immunogen

The exact immunogen used to generate this antibody is proprietary information.

Specificity

This antibody recognises Paxillin alpha, beta and gamma isoforms.

Reactivity data

{ "title": "Reactivity Data", "filters": { "stats": ["", "Species", "Dilution Info", "Notes"], "tabs": { "all-applications": {"fullname" : "All Applications", "shortname": "All Applications"}, "IP" : {"fullname" : "Immunoprecipitation", "shortname":"IP"}, "WB" : {"fullname" : "Western blot", "shortname":"WB"}, "IHCP" : {"fullname" : "Immunohistochemistry (Formalin/PFA-fixed paraffin-embedded sections)", "shortname":"IHC-P"}, "ICCIF" : {"fullname" : "Immunocytochemistry/ Immunofluorescence", "shortname":"ICC/IF"}, "FlowCytIntra" : {"fullname" : "Flow Cytometry (Intracellular)", "shortname":"Flow Cyt (Intra)"} }, "product-promise": { "all": "all", "testedAndGuaranteed": "tested", "guaranteed": "expected", "predicted": "predicted", "notRecommended": "not-recommended" } }, "values": { "Human": { "IP-species-checked": "testedAndGuaranteed", "IP-species-dilution-info": "", "IP-species-notes": "<p></p>", "WB-species-checked": "testedAndGuaranteed", "WB-species-dilution-info": "", "WB-species-notes": "<p></p>", "IHCP-species-checked": "testedAndGuaranteed", "IHCP-species-dilution-info": "", "IHCP-species-notes": "<p></p>", "ICCIF-species-checked": "testedAndGuaranteed", "ICCIF-species-dilution-info": "", "ICCIF-species-notes": "<p></p>", "FlowCytIntra-species-checked": "testedAndGuaranteed", "FlowCytIntra-species-dilution-info": "", "FlowCytIntra-species-notes": "<p></p>" }, "Mouse": { "IP-species-checked": "guaranteed", "IP-species-dilution-info": "", "IP-species-notes": "", "WB-species-checked": "testedAndGuaranteed", "WB-species-dilution-info": "", "WB-species-notes": "<p></p>", "IHCP-species-checked": "guaranteed", "IHCP-species-dilution-info": "", "IHCP-species-notes": "", "ICCIF-species-checked": "guaranteed", "ICCIF-species-dilution-info": "", "ICCIF-species-notes": "", "FlowCytIntra-species-checked": "guaranteed", "FlowCytIntra-species-dilution-info": "", "FlowCytIntra-species-notes": "" }, "Dog": { "IP-species-checked": "predicted", "IP-species-dilution-info": "", "IP-species-notes": "", "WB-species-checked": "predicted", "WB-species-dilution-info": "", "WB-species-notes": "", "IHCP-species-checked": "predicted", "IHCP-species-dilution-info": "", "IHCP-species-notes": "", "ICCIF-species-checked": "predicted", "ICCIF-species-dilution-info": "", "ICCIF-species-notes": "", "FlowCytIntra-species-checked": "predicted", "FlowCytIntra-species-dilution-info": "", "FlowCytIntra-species-notes": "" } } }

Product details

ab216652 is the carrier-free version of ab32084.

Patented technology
Our RabMAb® technology is a patented hybridoma-based technology for making rabbit monoclonal antibodies. For details on our patents, please refer to RabMAb® patents.

What are the advantages of a recombinant monoclonal antibody?
This product is a recombinant monoclonal antibody, which offers several advantages including:

  • - High batch-to-batch consistency and reproducibility
  • - Improved sensitivity and specificity
  • - Long-term security of supply
  • - Animal-free batch production

For more information, read more on recombinant antibodies.

Conjugation ready
Our carrier-free antibodies are typically supplied in a PBS-only formulation, purified and free of BSA, sodium azide and glycerol. This conjugation-ready format is designed for use with fluorochromes, metal isotopes, oligonucleotides, and enzymes, which makes them ideal for antibody labelling, functional and cell-based assays, flow-based assays (e.g. mass cytometry) and Multiplex Imaging applications.

Use our conjugation kits for antibody conjugates that are ready-to-use in as little as 20 minutes with 1 minute hands-on-time and 100% antibody recovery: available for fluorescent dyes, HRP, biotin and gold.

Compatibility
This product is compatible with the Maxpar® Antibody Labeling Kit from Fluidigm, without the need for antibody preparation. Maxpar® is a trademark of Fluidigm Canada Inc.

Properties and storage information

Form
Liquid
Purification technique
Affinity purification Protein A
Storage buffer
pH: 7.2 - 7.4 Constituents: PBS
Shipped at conditions
Blue Ice
Appropriate short-term storage conditions
+4°C
Appropriate long-term storage conditions
+4°C
Storage information
Do Not Freeze

Supplementary information

This supplementary information is collated from multiple sources and compiled automatically.

Paxillin also known as PXN is a cytoskeletal protein involved in the assembly of focal adhesions. It has a molecular weight of approximately 68 kDa. You will find Paxillin expressed widely in various tissues including the liver colon and lung. Paxillin plays a part in cell motility by interacting with other focal adhesion proteins. It plays a significant mechanical role by serving as a docking site for structural and signaling molecules.
Biological function summary

Paxillin serves key functions in cellular processes such as migration proliferation and survival. It interacts with different proteins including vinculin and talin forming part of a complex at the focal adhesion sites. The phosphorylation state of Paxillin can modulate its interactions and in this way influence the assembly of signaling complexes that control dynamic cellular processes.

Pathways

Paxillin participates in the integrin signaling and MAPK pathways. It operates by linking integrin receptors to the actin cytoskeleton facilitating signal transduction. Paxillin phosphorylation is an important regulatory mechanism within these pathways. In particular its interaction with focal adhesion kinase (FAK) and Src family kinases signifies its role in transmitting signals from the extracellular matrix to the cellular interior which impacts cell behavior and response.

Paxillin has links with osteosarcoma and lung cancer. Deregulation of Paxillin expression or its phosphorylation state contributes to oncogenic transformation and tumor progression. In cancer Paxillin associates with altered activity of proteins such as Src and FAK exacerbating disease states. This relationship highlights Paxillin's potential as a biomarker and therapeutic target in treating related malignancies.

Product protocols

For this product, it's our understanding that no specific protocols are required. You can visit:

Target data

Cytoskeletal protein involved in actin-membrane attachment at sites of cell adhesion to the extracellular matrix (focal adhesion). Recruits other proteins such as TRIM15 to focal adhesion.
See full target information Paxillin

Publications (14)

Recent publications for all applications. Explore the full list and refine your search

Cell reports 33:108253 PubMed33053339

2020

PAI-1-Dependent Inactivation of SMAD4-Modulated Junction and Adhesion Complex in Obese Endometrial Cancer.

Applications

Unspecified application

Species

Unspecified reactive species

Li-Ling Lin,Edward R Kost,Chun-Lin Lin,Philip Valente,Chiou-Miin Wang,Mikhail G Kolonin,Alexes C Daquinag,Xi Tan,Nicholas Lucio,Chia-Nung Hung,Chen-Pin Wang,Nameer B Kirma,Tim H-M Huang

The Journal of biological chemistry 291:19425-36 PubMed27466370

2016

Cardiac-restricted Overexpression of TRAF3 Interacting Protein 2 (TRAF3IP2) Results in Spontaneous Development of Myocardial Hypertrophy, Fibrosis, and Dysfunction.

Applications

Unspecified application

Species

Unspecified reactive species

Manjunath Yariswamy,Tadashi Yoshida,Anthony J Valente,Hemanth Kumar Kandikattu,Siva S V P Sakamuri,Jalahalli M Siddesha,Sergiy Sukhanov,Zubaida Saifudeen,Lixin Ma,Ulrich Siebenlist,Jason D Gardner,Bysani Chandrasekar

International journal of cancer 138:1207-19 PubMed26414794

2015

CXCL12/CXCR4 activation by cancer-associated fibroblasts promotes integrin β1 clustering and invasiveness in gastric cancer.

Applications

ICC/IF

Species

Human

Daisuke Izumi,Takatsugu Ishimoto,Keisuke Miyake,Hidetaka Sugihara,Kojiro Eto,Hiroshi Sawayama,Tadahito Yasuda,Yuki Kiyozumi,Takayoshi Kaida,Junji Kurashige,Yu Imamura,Yukiharu Hiyoshi,Masaaki Iwatsuki,Shiro Iwagami,Yoshifumi Baba,Yasuo Sakamoto,Yuji Miyamoto,Naoya Yoshida,Masayuki Watanabe,Hiroshi Takamori,Norie Araki,Patrick Tan,Hideo Baba

PloS one 9:e102424 PubMed25014042

2014

Cation type specific cell remodeling regulates attachment strength.

Applications

ICC/IF

Species

Mouse

Alexander Fuhrmann,Julie Li,Shu Chien,Adam J Engler

Journal of translational medicine 11:277 PubMed24180516

2013

Abnormal expression of paxillin correlates with tumor progression and poor survival in patients with gastric cancer.

Applications

IHC-P

Species

Human

Dong-liang Chen,Zhi-qiang Wang,Chao Ren,Zhao-lei Zeng,De-shen Wang,Hui-yan Luo,Feng Wang,Miao-zhen Qiu,Long Bai,Dong-sheng Zhang,Feng-hua Wang,Yu-hong Li,Rui-hua Xu

The Journal of biological chemistry 288:35126-37 PubMed24165131

2013

MT-LOOP-dependent localization of membrane type I matrix metalloproteinase (MT1-MMP) to the cell adhesion complexes promotes cancer cell invasion.

Applications

ICC/IF

Species

Human

Anna M Woskowicz,Sarah A Weaver,Yasuyuki Shitomi,Noriko Ito,Yoshifumi Itoh

Journal of cell science 126:3746-55 PubMed23750011

2013

Plectin-containing, centrally localized focal adhesions exert traction forces in primary lung epithelial cells.

Applications

Unspecified application

Species

Human

Jessica L Eisenberg,Kristin G Beaumont,Desire Takawira,Susan B Hopkinson,Milan Mrksich,G R Scott Budinger,Jonathan C R Jones

American journal of respiratory cell and molecular biology 49:731-40 PubMed23590307

2013

Laminin-332 and α3β1 integrin-supported migration of bronchial epithelial cells is modulated by fibronectin.

Applications

Unspecified application

Species

Human papillomavirus

Kristina Kligys,Yvonne Wu,Kevin J Hamill,Katherine T Lewandowski,Susan B Hopkinson,G R Scott Budinger,Jonathan C R Jones

European journal of cell biology 91:171-9 PubMed22284833

2012

Formation of atypical podosomes in extravillous trophoblasts regulates extracellular matrix degradation.

Applications

ICC/IF

Species

Unspecified reactive species

Anand Patel,Philip R Dash

The Journal of cell biology 196:223-32 PubMed22270917

2012

FAK promotes recruitment of talin to nascent adhesions to control cell motility.

Applications

ICC/IF, WB, WB, ICC/IF

Species

Mouse, Mouse, Human, Human

Christine Lawson,Ssang-Taek Lim,Sean Uryu,Xiao Lei Chen,David A Calderwood,David D Schlaepfer
View all publications

Product promise

We are committed to supporting your work with high-quality reagents, and we're here for you every step of the way. In the unlikely event that one of our products does not perform as expected, you're protected by our Product Promise.
For full details, please see our Terms & Conditions

Please note: All products are 'FOR RESEARCH USE ONLY. NOT FOR USE IN DIAGNOSTIC OR THERAPEUTIC PROCEDURES'.

For licensing inquiries, please contact partnerships@abcam.com