JavaScript is disabled in your browser. Please enable JavaScript to view this website.
AB24402

Anti-Paxillin (phospho S126) antibody

Be the first to review this product! Submit a review

|

(3 Publications)

Rabbit Polyclonal Paxillin phospho S126 antibody. Suitable for IHC-P, WB, ICC/IF and reacts with Human, Mouse samples. Cited in 3 publications. Immunogen corresponding to Synthetic Peptide within Human Paxillin phospho S126.

View Alternative Names

Paxillin, PXN

4 Images
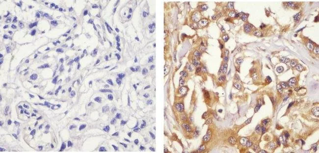
Immunohistochemistry (Formalin/PFA-fixed paraffin-embedded sections) - Anti-Paxillin (phospho S126) antibody (AB24402)
  • IHC-P

Supplier Data

Immunohistochemistry (Formalin/PFA-fixed paraffin-embedded sections) - Anti-Paxillin (phospho S126) antibody (AB24402)

Immunohistochemical analysis of human breast carcinoma labeling Paxillin (phospho S126) with ab24402 at 1/20 dilution (right) compared to a negative control without primary antibody (left).

To expose target proteins, antigen retrieval was performed using 10mM sodium citrate (pH 6.0), microwaved for 8-15 min. Following antigen retrieval, tissues were blocked in 3% H2O2-methanol for 15 min at room temperature, washed with ddH2O and PBS, and then probed with ab24402 diluted in 3% BSA-PBS at a dilution of 1/20 overnight at 4°C in a humidified chamber. Tissues were washed extensively in PBST and detection was performed using an HRP-conjugated secondary antibody followed by colorimetric detection using a DAB kit. Tissues were counterstained with hematoxylin and dehydrated with ethanol and xylene to prep for mounting

Immunocytochemistry/ Immunofluorescence - Anti-Paxillin (phospho S126) antibody (AB24402)
  • ICC/IF

Supplier Data

Immunocytochemistry/ Immunofluorescence - Anti-Paxillin (phospho S126) antibody (AB24402)

Immunofluorescence analysis of 70% confluent log phase NIH/3T3 cells treated with 0.5 ug of PDGF for 10 minutes. The cells were fixed with 4% paraformaldehyde for 10 minutes, permeabilized with 0.1% Triton™ X-100 for 10 minutes, and blocked with 1% BSA for 1 hour at room temperature. Labeling Paxillin (phospho S126) with ab24402 at 1/250 dilution in 0.1% BSA and incubated for 3 hours at room temperature. Followed by Goat anti-Rabbit IgG (H+L) Superclonal™ Secondary Antibody, Alexa Fluor® 488 conjugate at a dilution of 1/2000 for 45 minutes at room temperature (Panel a : green). Nuclei (Panel b : blue) were stained with SlowFade® Gold Antifade Mountant with DAPI. F-actin (Panel c : red) was stained with Rhodamine Phalloidin at 1/300 dilution. Panel d is a merged image showing punctuated nuclear localization. Panel e is untreated cell with no signal. Panel f is a no primary antibody control. The images were captured at 60X magnification.

Western blot - Anti-Paxillin (phospho S126) antibody (AB24402)
  • WB

Supplier Data

Western blot - Anti-Paxillin (phospho S126) antibody (AB24402)

The membrane was probed with the relevant primary and secondary Antibody following blocking with 5 % skimmed milk. Chemiluminescent detection was performed using Pierce™ ECL Western Blotting Substrate

All lanes:

Western blot - Anti-Paxillin (phospho S126) antibody (ab24402) at 1/1000 dilution

Lane 1:

A549 (Human lung carcinoma cell line) whole cell lysate at 30 µg

Lane 2:

A549 whole cell lysate treated with 0.1 ug/mL of HGF treatment for 10 minutes at 30 µg

Lane 3:

HepG2 (Human liver hepatocellular carcinoma cell line) whole cell lysate at 30 µg

Lane 4:

HepG2 whole cell lysate with 0.1 ug/mL of HGF treatment for 10 minutes at 30 µg

Secondary

All lanes:

Goat Anti-Rabbit IgG (H+L) Secondary Antibody, HRP conjugate at 1/1000 dilution

Predicted band size: 65 kDa

Observed band size: 68 kDa

false

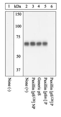
Western blot - Anti-Paxillin (phospho S126) antibody (AB24402)
  • WB

Unknown

Western blot - Anti-Paxillin (phospho S126) antibody (AB24402)

Lysates were resolved on a 10% polyacrylamide gel and transferred to PVDF. The membrane was blocked with a 5% milk-TBST buffer for one hour at room temperature, and then incubated with the Paxillin [pS126] antibody for two hours at room temperature in a 1% milk-TBST buffer, following its prior incubation with or without peptides. Following incubation with goat F(ab’)2 anti-rabbit IgG HRP conjugate and bands were detected using the Pierce SuperSignal method. The data show that only the phosphopeptide corresponding to Paxillin [pS 126 ] blocks the antibody signal, thereby demonstrating the specificity of the antibody. No competition was seen following incubation with paxillin phosphopeptides to S130, S178, S380, S455, or S479 (not shown). The antibody was also shown to be specific using 293 cells transfected with wild-type EGFP-tagged human paxillin treated with EGF (not shown).

All lanes:

Western blot - Anti-Paxillin (phospho S126) antibody (ab24402) at 1/1000 dilution

Lane 1:

Lysate from untreated RAW 264.7 cells

Lane 2:

Lysate from RAW 264.7 cells treated with 1 µg/mL LPS for 60 minutes

Lane 3:

Lysate from RAW 264.7 cells treated with 1 µg/mL LPS for 60 minutes with non-phosphorylated peptide corresponding to the immunogen

Lane 4:

Lysate from RAW 264.7 cells treated with 1 µg/mL LPS for 60 minutes with generic phosphoserine-containing peptide

Lane 5:

Lysate from RAW 264.7 cells treated with 1 µg/mL LPS for 60 minutes with phosphopeptide corresponding to Paxillin [pS<sup>91</sup> ]

Lane 6:

Lysate from RAW 264.7 cells treated with 1 µg/mL LPS for 60 minutes with phosphopeptide immunogen

Secondary

All lanes:

Goat F(ab)<sub>2</sub> anti-rabbit IgG HRP conjugate.

Predicted band size: 65 kDa

Observed band size: 68 kDa

false

Key facts

Host species

Rabbit

Clonality

Polyclonal

Isotype

IgG

Carrier free

No

Reacts with

Mouse, Human

Applications

WB, ICC/IF, IHC-P

applications

Immunogen

Synthetic Peptide within Human Paxillin phospho S126. The exact immunogen used to generate this antibody is proprietary information.

P49023

Reactivity data

{ "title": "Reactivity Data", "filters": { "stats": ["", "Species", "Dilution Info", "Notes"], "tabs": { "all-applications": {"fullname" : "All Applications", "shortname": "All Applications"}, "IHCP" : {"fullname" : "Immunohistochemistry (Formalin/PFA-fixed paraffin-embedded sections)", "shortname":"IHC-P"}, "WB" : {"fullname" : "Western blot", "shortname":"WB"}, "ICCIF" : {"fullname" : "Immunocytochemistry/ Immunofluorescence", "shortname":"ICC/IF"} }, "product-promise": { "all": "all", "testedAndGuaranteed": "tested", "guaranteed": "expected", "predicted": "predicted", "notRecommended": "not-recommended" } }, "values": { "Human": { "IHCP-species-checked": "testedAndGuaranteed", "IHCP-species-dilution-info": "1/20", "IHCP-species-notes": "<p></p> Perform heat-mediated antigen retrieval with citrate buffer pH 6 before commencing with IHC staining protocol.", "WB-species-checked": "testedAndGuaranteed", "WB-species-dilution-info": "1/1000", "WB-species-notes": "<p></p>", "ICCIF-species-checked": "guaranteed", "ICCIF-species-dilution-info": "", "ICCIF-species-notes": "" }, "Mouse": { "IHCP-species-checked": "guaranteed", "IHCP-species-dilution-info": "", "IHCP-species-notes": "", "WB-species-checked": "guaranteed", "WB-species-dilution-info": "", "WB-species-notes": "", "ICCIF-species-checked": "testedAndGuaranteed", "ICCIF-species-dilution-info": "1/250", "ICCIF-species-notes": "<p></p>" }, "Chicken": { "IHCP-species-checked": "predicted", "IHCP-species-dilution-info": "", "IHCP-species-notes": "", "WB-species-checked": "predicted", "WB-species-dilution-info": "", "WB-species-notes": "", "ICCIF-species-checked": "predicted", "ICCIF-species-dilution-info": "", "ICCIF-species-notes": "" } } }

Properties and storage information

Form
Liquid
Purification technique
Affinity purification Immunogen
Purification notes
Purified from rabbit serum by sequential epitope-specific chromatography. The antibody has been negatively preadsorbed using a non-phosphopeptide corresponding to the site of phosphorylation to remove antibody that is reactive with non-phosphorylated paxillin. The final product is generated by affinity chromatography using a paxillin-derived peptide that is phosphorylated at serine 126.
Storage buffer
pH: 7.3 Preservative: 0.05% Sodium azide Constituents: PBS, 50% Glycerol (glycerin, glycerine), 0.1% BSA
Shipped at conditions
Blue Ice
Appropriate short-term storage duration
1-2 weeks
Appropriate short-term storage conditions
+4°C
Appropriate long-term storage conditions
-20°C
Aliquoting information
Upon delivery aliquot

Supplementary information

This supplementary information is collated from multiple sources and compiled automatically.

Paxillin also known as PXN is a cytoskeletal protein involved in the assembly of focal adhesions. It has a molecular weight of approximately 68 kDa. You will find Paxillin expressed widely in various tissues including the liver colon and lung. Paxillin plays a part in cell motility by interacting with other focal adhesion proteins. It plays a significant mechanical role by serving as a docking site for structural and signaling molecules.
Biological function summary

Paxillin serves key functions in cellular processes such as migration proliferation and survival. It interacts with different proteins including vinculin and talin forming part of a complex at the focal adhesion sites. The phosphorylation state of Paxillin can modulate its interactions and in this way influence the assembly of signaling complexes that control dynamic cellular processes.

Pathways

Paxillin participates in the integrin signaling and MAPK pathways. It operates by linking integrin receptors to the actin cytoskeleton facilitating signal transduction. Paxillin phosphorylation is an important regulatory mechanism within these pathways. In particular its interaction with focal adhesion kinase (FAK) and Src family kinases signifies its role in transmitting signals from the extracellular matrix to the cellular interior which impacts cell behavior and response.

Paxillin has links with osteosarcoma and lung cancer. Deregulation of Paxillin expression or its phosphorylation state contributes to oncogenic transformation and tumor progression. In cancer Paxillin associates with altered activity of proteins such as Src and FAK exacerbating disease states. This relationship highlights Paxillin's potential as a biomarker and therapeutic target in treating related malignancies.

Product protocols

For this product, it's our understanding that no specific protocols are required. You can visit:

Target data

Cytoskeletal protein involved in actin-membrane attachment at sites of cell adhesion to the extracellular matrix (focal adhesion). Recruits other proteins such as TRIM15 to focal adhesion.
See full target information Paxillin phospho S126

Publications (3)

Recent publications for all applications. Explore the full list and refine your search

Heliyon 9:e16683 PubMed37292259

2023

Arctigenin hinders the invasion and metastasis of cervical cancer cells via the FAK/paxillin pathway.

Applications

Unspecified application

Species

Unspecified reactive species

Dan Liao,Yanyan Liu,Cuifen Li,Bin He,Guanghui Zhou,Yejia Cui,Haohai Huang

International journal of molecular medicine 49: PubMed35266010

2022

Potential mechanisms of osteoprotegerin-induced damage to osteoclast adhesion structures via P2X7R-mediated MAPK signaling.

Applications

Unspecified application

Species

Unspecified reactive species

Yonggang Ma,Xueni Shi,Hongyan Zhao,Ruilong Song,Hui Zou,Jiaqiao Zhu,Zongping Liu

Journal of cell science 123:2725-32 PubMed20647370

2010

Manipulating signal delivery - plasma-membrane ERK activation in aPKC-dependent migration.

Applications

WB

Species

Rat

Katrina Boeckeler,Carine Rosse,Michael Howell,Peter J Parker
View all publications

Product promise

We are committed to supporting your work with high-quality reagents, and we're here for you every step of the way. In the unlikely event that one of our products does not perform as expected, you're protected by our Product Promise.
For full details, please see our Terms & Conditions

Please note: All products are 'FOR RESEARCH USE ONLY. NOT FOR USE IN DIAGNOSTIC OR THERAPEUTIC PROCEDURES'.

For licensing inquiries, please contact partnerships@abcam.com