JavaScript is disabled in your browser. Please enable JavaScript to view this website.
AB280216

Anti-PBK/SPK antibody [31/PBK] - BSA and Azide free

Be the first to review this product! Submit a review

|

(0 Publication)

Mouse Recombinant Monoclonal PBK/SPK antibody. Carrier free. Suitable for IHC-P, WB, Flow Cyt (Intra) and reacts with Mouse, Rat, Human samples.

View Alternative Names

TOPK, PBK, Lymphokine-activated killer T-cell-originated protein kinase, Cancer/testis antigen 84, MAPKK-like protein kinase, Nori-3, PDZ-binding kinase, Spermatogenesis-related protein kinase, T-LAK cell-originated protein kinase, CT84, SPK

7 Images
Immunohistochemistry (Formalin/PFA-fixed paraffin-embedded sections) - Anti-PBK/SPK antibody [31/PBK] - BSA and Azide free (AB280216)
  • IHC-P

Supplier Data

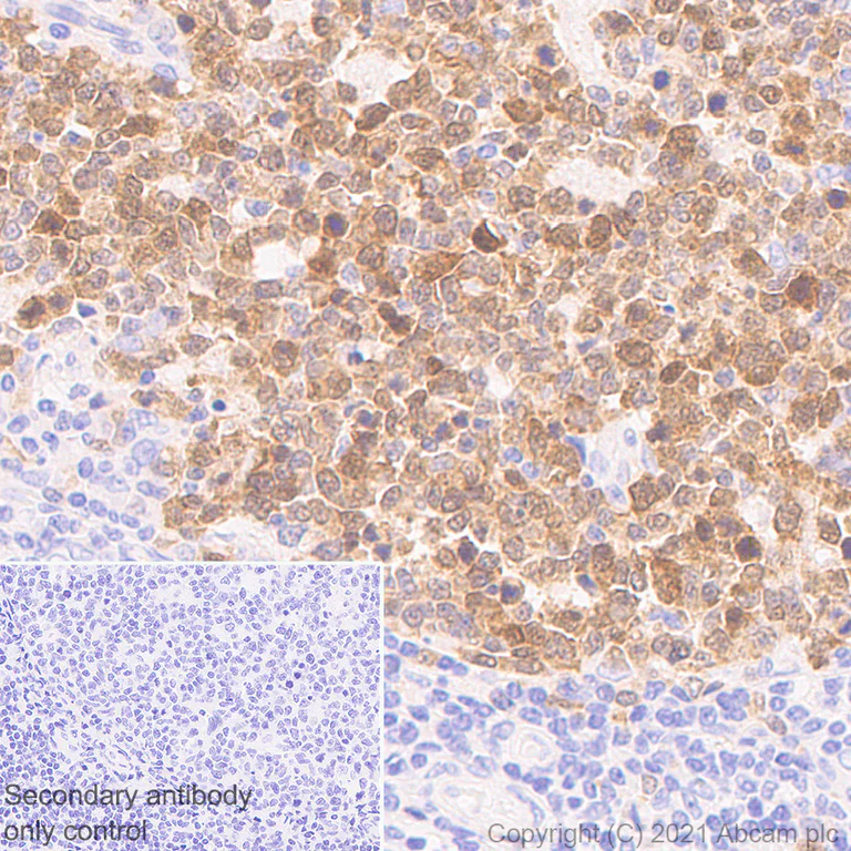
Immunohistochemistry (Formalin/PFA-fixed paraffin-embedded sections) - Anti-PBK/SPK antibody [31/PBK] - BSA and Azide free (AB280216)

This image was produced using ab280209, the same clone in a different formulation.

Immunohistochemical analysis of paraffin-embedded human tonsil tissue labeling PBK/PSK with ab280209 at 1/500 (1.946 μg/ml) dilution followed by ready to use LeicaDS9800 (Bond® Polymer Refine Detection).

Positive staining in germinal center of human tonsil.

The section was incubated with ab280209 for 30 mins at room temperature. The immunostaining was performed on a Leica Biosystems BOND® RX instrument. Counterstained with Hematoxylin.

Secondary antibody only control : Secondary antibody is ready to use LeicaDS9800 (Bond® Polymer Refine Detection).

Heat mediated antigen retrieval with Citrate buffer (pH 6.0, epitope retrieval solution 1) for 20 mins.

Flow Cytometry (Intracellular) - Anti-PBK/SPK antibody [31/PBK] - BSA and Azide free (AB280216)
  • Flow Cyt (Intra)

Supplier Data

Flow Cytometry (Intracellular) - Anti-PBK/SPK antibody [31/PBK] - BSA and Azide free (AB280216)

This image was produced using ab280209, the same clone in a different formulation.

Flow cytometric analysis of 4% paraformaldehyde fixed 90% methanol permeabilized HeLa (Human cervix adenocarcinoma epithelial cell) cells labelling PBK/SPK with ab280209 at 1/1000 dilution (0.1 μg) (red) compared with a mouse monoclonal IgG isotype control (black) and an unlabelled control (cells without incubation with primary antibody and secondary antibody) (Blue).

A Goat anti mouse IgG (Alexa Fluor® 488, ab150113) at 1/2000 dilution was used as the secondary antibody.

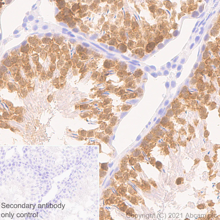
Immunohistochemistry (Formalin/PFA-fixed paraffin-embedded sections) - Anti-PBK/SPK antibody [31/PBK] - BSA and Azide free (AB280216)
  • IHC-P

Supplier Data

Immunohistochemistry (Formalin/PFA-fixed paraffin-embedded sections) - Anti-PBK/SPK antibody [31/PBK] - BSA and Azide free (AB280216)

This image was produced using ab280209, the same clone in a different formulation.

Immunohistochemical analysis of paraffin-embedded rat testis tissue labeling PBK/PSK with ab280209 at 1/500 (1.946 μg/ml) dilution followed by ready to use LeicaDS9800 (Bond® Polymer Refine Detection).

Positive staining in rat testis.

The section was incubated with ab280209 for 30 mins at room temperature. The immunostaining was performed on a Leica Biosystems BOND® RX instrument. Counterstained with Hematoxylin.

Secondary antibody only control : Secondary antibody is ready to use LeicaDS9800 (Bond® Polymer Refine Detection).

Heat mediated antigen retrieval with Citrate buffer (pH 6.0, epitope retrieval solution 1) for 20 mins.

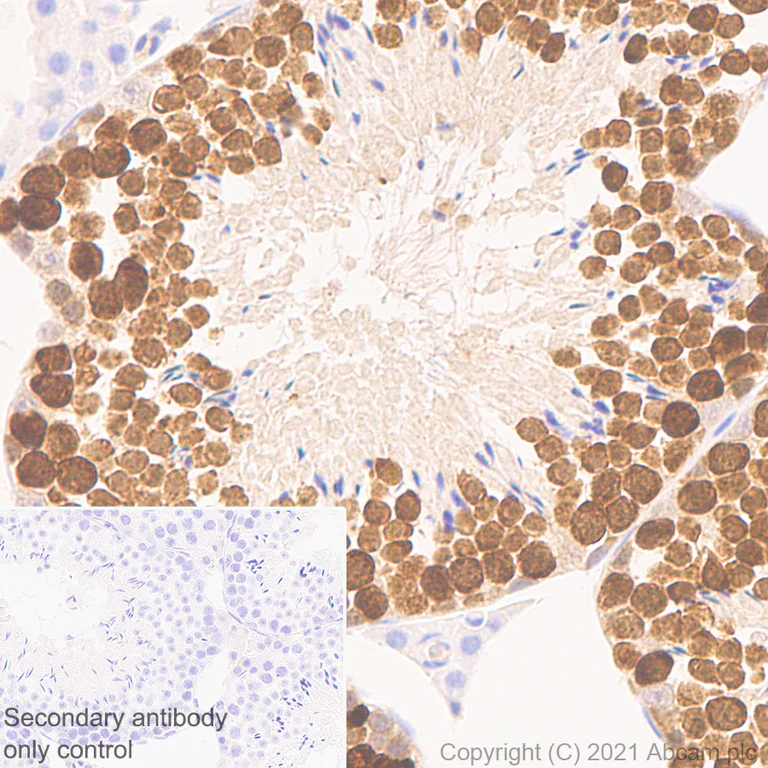
Immunohistochemistry (Formalin/PFA-fixed paraffin-embedded sections) - Anti-PBK/SPK antibody [31/PBK] - BSA and Azide free (AB280216)
  • IHC-P

Supplier Data

Immunohistochemistry (Formalin/PFA-fixed paraffin-embedded sections) - Anti-PBK/SPK antibody [31/PBK] - BSA and Azide free (AB280216)

This image was produced using ab280209, the same clone in a different formulation.

Immunohistochemical analysis of paraffin-embedded mouse testis tissue labeling PBK/PSK with ab280209 at 1/500 (1.946 μg/ml) dilution followed by ready to use LeicaDS9800 (Bond® Polymer Refine Detection).

Positive staining in mouse testis.

The section was incubated with ab280209 for 30 mins at room temperature. The immunostaining was performed on a Leica Biosystems BOND® RX instrument. Counterstained with Hematoxylin.

Secondary antibody only control : Secondary antibody is ready to use LeicaDS9800 (Bond® Polymer Refine Detection).

Heat mediated antigen retrieval with Citrate buffer (pH 6.0, epitope retrieval solution 1) for 20 mins.

Western blot - Anti-PBK/SPK antibody [31/PBK] - BSA and Azide free (AB280216)
  • WB

Supplier Data

Western blot - Anti-PBK/SPK antibody [31/PBK] - BSA and Azide free (AB280216)

This image was produced using ab280209, the same clone in a different formulation.

Negative control : Human heart, mouse brain (PMID : 27898655).

The expression profile/ molecular weight observed is consistent with what has been described in the literature (PMID : 23547718).

Blocking/Dilution buffer : 5% NFDM/TBST.

All lanes:

Western blot - Anti-PBK/SPK antibody [31/PBK] (<a href='/en-us/products/primary-antibodies/pbk-spk-antibody-31-pbk-ab280209'>ab280209</a>) at 1/1000 dilution

Lane 1:

Human testis tissue lysate at 20 µg

Lane 2:

Human heart tissue lysate at 20 µg

Lane 3:

Mouse testis tissue lysate at 20 µg

Lane 4:

Mouse brain tissue lysate at 20 µg

Secondary

All lanes:

Peroxidase-Conjugated Goat anti-Mouse IgG (H+L) at 1/10000 dilution

Predicted band size: 36 kDa

false

Western blot - Anti-PBK/SPK antibody [31/PBK] - BSA and Azide free (AB280216)
  • WB

Supplier Data

Western blot - Anti-PBK/SPK antibody [31/PBK] - BSA and Azide free (AB280216)

This image was produced using ab280209, the same clone in a different formulation.

The expression profile/ molecular weight observed is consistent with what has been described in the literature (PMID : 23547718).

Exposure time : lane 1 : 37 secs; lane 2-7 : 15 secs.

Blocking/Dilution buffer : 5% NFDM/TBST.

All lanes:

Western blot - Anti-PBK/SPK antibody [31/PBK] (<a href='/en-us/products/primary-antibodies/pbk-spk-antibody-31-pbk-ab280209'>ab280209</a>) at 1/1000 dilution

Lane 1:

HepG2 (human hepatocellular carcinoma epithelial cell), whole cell lysate at 20 µg

Lane 2:

HeLa (human epithelial cell line from cervix adenocarcinoma), whole cell lysate at 20 µg

Lane 3:

U-87 MG (human glioblastoma-astrocytoma epithelial cell), whole cell lysate at 20 µg

Lane 4:

RAW264.7 (mouse Abelson murine leukemia virus-induced tumor macrophage), whole cell lysate at 20 µg

Lane 5:

C6 (rat glial tumor glial cell), whole cell lysate at 20 µg

Lane 6:

PC-12 (rat adrenal gland pheochromocytoma), whole cell lysate at 20 µg

Lane 7:

Rat testis tissue lysate at 20 µg

Secondary

All lanes:

Peroxidase-Conjugated Goat anti-Mouse IgG (H+L) at 1/10000 dilution

Predicted band size: 36 kDa

false

Western blot - Anti-PBK/SPK antibody [31/PBK] - BSA and Azide free (AB280216)
  • WB

Supplier Data

Western blot - Anti-PBK/SPK antibody [31/PBK] - BSA and Azide free (AB280216)

This image was produced using ab280209, the same clone in a different formulation.

Lanes 1 - 4 : Merged signal (red and green). Green - ab280209 observed at 36 kDa. Red - loading control ab52901(Rabbit monoclonal [EP1331Y] to beta Tubulin) observed at 52 kDa.

Lanes 1-2 : ab280209 Anti-PBK antibody was shown to react with in HEK-293T cells in Western blot. Loss of signal was observed when PBK knockout sample was used. Wild-type and PBK knockout samples were subjected to SDS-PAGE.

ab280209 and Anti-beta Tubulin antibody [EP1331Y] (ab52901) were incubated at 4° overnight at 1 in 1000 dilution and 1 in 20000 dilution respectively. Blots were developed with Goat anti-Rabbit IgG H&L (IRDye® 680CW) (ab216777) and Goat anti-Mouse IgG H&L (IRDye® 800RD) (ab216772) secondary antibodies at 1 in 10000 dilution for 1 hour at room temperature before imaging.

Blocking/Dilution buffer : Intercept® (TBS) Blocking Buffer diluted with an equal volume of 0.1% TBS.

All lanes:

Western blot - Anti-PBK/SPK antibody [31/PBK] (<a href='/en-us/products/primary-antibodies/pbk-spk-antibody-31-pbk-ab280209'>ab280209</a>) at 1/1000 dilution

Lane 1:

Wild-type HEK-293T (human embryonic kidney epithelial cell), whole cell lysate at 20 µg

Lane 2:

PBK knockout HEK-293T (human embryonic kidney epithelial cell), whole cell lysate at 20 µg

Lane 3:

HeLa (human epithelial cell line from cervix adenocarcinoma), whole cell lysate at 20 µg

Lane 4:

U-87 MG (human glioblastoma-astrocytoma epithelial cell), whole cell lysate at 20 µg

Secondary

All lanes:

Goat Anti-Mouse IgG H&L (IRDye® 800CW) (<a href='/en-us/products/secondary-antibodies/goat-mouse-igg-h-l-irdye-800cw-preadsorbed-ab216772'>ab216772</a>) and Goat Anti-Rabbit IgG H&L (IRDye® 680RD) (<a href='/en-us/products/secondary-antibodies/goat-rabbit-igg-h-l-irdye-680rd-preadsorbed-ab216777'>ab216777</a>) at 1/10000 dilution

Predicted band size: 36 kDa

false

Key facts

Host species

Mouse

Clonality

Monoclonal

Clone number

31/PBK

Isotype

IgG2b

Carrier free

Yes

Reacts with

Mouse, Rat, Human

Applications

IHC-P, WB, Flow Cyt (Intra)

applications

Immunogen

The exact immunogen used to generate this antibody is proprietary information.

Reactivity data

{ "title": "Reactivity Data", "filters": { "stats": ["", "Species", "Dilution Info", "Notes"], "tabs": { "all-applications": {"fullname" : "All Applications", "shortname": "All Applications"}, "IHCP" : {"fullname" : "Immunohistochemistry (Formalin/PFA-fixed paraffin-embedded sections)", "shortname":"IHC-P"}, "WB" : {"fullname" : "Western blot", "shortname":"WB"}, "FlowCytIntra" : {"fullname" : "Flow Cytometry (Intracellular)", "shortname":"Flow Cyt (Intra)"}, "ICCIF" : {"fullname" : "Immunocytochemistry/ Immunofluorescence", "shortname":"ICC/IF"} }, "product-promise": { "all": "all", "testedAndGuaranteed": "tested", "guaranteed": "expected", "predicted": "predicted", "notRecommended": "not-recommended" } }, "values": { "Human": { "IHCP-species-checked": "testedAndGuaranteed", "IHCP-species-dilution-info": "", "IHCP-species-notes": "<p></p>", "WB-species-checked": "testedAndGuaranteed", "WB-species-dilution-info": "", "WB-species-notes": "<p></p>", "FlowCytIntra-species-checked": "testedAndGuaranteed", "FlowCytIntra-species-dilution-info": "", "FlowCytIntra-species-notes": "<p></p>", "ICCIF-species-checked": "notRecommended", "ICCIF-species-dilution-info": "", "ICCIF-species-notes": "<p></p>" }, "Mouse": { "IHCP-species-checked": "testedAndGuaranteed", "IHCP-species-dilution-info": "", "IHCP-species-notes": "<p></p>", "WB-species-checked": "testedAndGuaranteed", "WB-species-dilution-info": "", "WB-species-notes": "<p></p>", "FlowCytIntra-species-checked": "guaranteed", "FlowCytIntra-species-dilution-info": "", "FlowCytIntra-species-notes": "", "ICCIF-species-checked": "notRecommended", "ICCIF-species-dilution-info": "", "ICCIF-species-notes": "<p></p>" }, "Rat": { "IHCP-species-checked": "testedAndGuaranteed", "IHCP-species-dilution-info": "", "IHCP-species-notes": "<p></p>", "WB-species-checked": "testedAndGuaranteed", "WB-species-dilution-info": "", "WB-species-notes": "<p></p>", "FlowCytIntra-species-checked": "guaranteed", "FlowCytIntra-species-dilution-info": "", "FlowCytIntra-species-notes": "", "ICCIF-species-checked": "notRecommended", "ICCIF-species-dilution-info": "", "ICCIF-species-notes": "" } } }

Product details

ab280216 is the carrier-free version of ab280209.

What are the advantages of a recombinant monoclonal antibody?
This product is a recombinant monoclonal antibody, which offers several advantages including:

  • - High batch-to-batch consistency and reproducibility
  • - Improved sensitivity and specificity
  • - Long-term security of supply
  • - Animal-free batch production

For more information, read more on recombinant antibodies.

Want a custom formulation?
This antibody clone is manufactured by Abcam. If you require a custom buffer formulation or conjugation for your experiments, please contact orders@abcam.com

Conjugation ready
Our carrier-free antibodies are typically supplied in a PBS-only formulation, purified and free of BSA, sodium azide and glycerol. This conjugation-ready format is designed for use with fluorochromes, metal isotopes, oligonucleotides, and enzymes, which makes them ideal for antibody labelling, functional and cell-based assays, flow-based assays (e.g. mass cytometry) and Multiplex Imaging applications.

Use our conjugation kits for antibody conjugates that are ready-to-use in as little as 20 minutes with 1 minute hands-on-time and 100% antibody recovery: available for fluorescent dyes, HRP, biotin and gold.

Compatibility
This product is compatible with the Maxpar® Antibody Labeling Kit from Fluidigm, without the need for antibody preparation. Maxpar® is a trademark of Fluidigm Canada Inc.

Properties and storage information

Form
Liquid
Purification technique
Affinity purification Protein A
Storage buffer
Constituents: PBS
Shipped at conditions
Blue Ice
Appropriate short-term storage conditions
+4°C
Appropriate long-term storage conditions
+4°C
Storage information
Do Not Freeze

Supplementary information

This supplementary information is collated from multiple sources and compiled automatically.

PBK/SPK also known as PDZ-binding kinase or Cdc2-related kinase is a serine/threonine protein kinase with an approximate molecular weight of 47 kDa. This protein is involved in cell division playing an important role in mitotic processes. PBK/SPK is expressed in various tissues including significant levels in testis and placenta often in proliferating cell types. It also exhibits higher expression in cancerous tissues suggesting a role in tumorigenesis.
Biological function summary

PBK/SPK facilitates cell cycle progression and cellular proliferation. This protein is not typically part of larger complexes but it partners with other molecules during cell division to ensure proper mitotic spindle formation and chromosome segregation. Its expression levels increase during the G2/M phase of the cell cycle indicating its involvement in cell cycle regulation. In cancer it often shows overexpression contributing to unregulated proliferation of cancer cells.

Pathways

PBK/SPK is associated with critical cell division pathways such as the MAPK signaling pathway. This involvement impacts cellular responses to growth signals and stress. PBK can phosphorylate and interact with proteins like p38 MAPK which further modulates signal transduction related to cellular growth and survival. Through these pathways PBK/SPK helps manage the balance between cell division and apoptosis particularly under stress conditions.

PBK/SPK has strong correlations with cancer especially glioblastoma and cervical cancer. Overexpression of PBK often links to poor prognosis in these conditions. In cancerous settings PBK interacts with proteins such as p53 and c-Myc influencing tumor progression and resistance to therapy. PBK can modulate oncogenic pathways providing a potential target for therapeutic intervention in tumor proliferation and survival.

Product protocols

For this product, it's our understanding that no specific protocols are required. You can visit:

Target data

Phosphorylates MAP kinase p38. Seems to be active only in mitosis. May also play a role in the activation of lymphoid cells. When phosphorylated, forms a complex with TP53, leading to TP53 destabilization and attenuation of G2/M checkpoint during doxorubicin-induced DNA damage.
See full target information PBK

Product promise

We are committed to supporting your work with high-quality reagents, and we're here for you every step of the way. In the unlikely event that one of our products does not perform as expected, you're protected by our Product Promise.
For full details, please see our Terms & Conditions

Please note: All products are 'FOR RESEARCH USE ONLY. NOT FOR USE IN DIAGNOSTIC OR THERAPEUTIC PROCEDURES'.

For licensing inquiries, please contact partnerships@abcam.com