JavaScript is disabled in your browser. Please enable JavaScript to view this website.
AB75987

Anti-PBK/SPK antibody [EP2520Y]

Be the first to review this product! Submit a review

|

(10 Publications)

Rabbit Recombinant Monoclonal PBK/SPK antibody. Suitable for IHC-P, IP, WB and reacts with Human samples. Cited in 10 publications.

View Alternative Names

TOPK, PBK, Lymphokine-activated killer T-cell-originated protein kinase, Cancer/testis antigen 84, MAPKK-like protein kinase, Nori-3, PDZ-binding kinase, Spermatogenesis-related protein kinase, T-LAK cell-originated protein kinase, CT84, SPK

3 Images
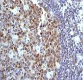
Immunohistochemistry (Formalin/PFA-fixed paraffin-embedded sections) - Anti-PBK/SPK antibody [EP2520Y] (AB75987)
  • IHC-P

Supplier Data

Immunohistochemistry (Formalin/PFA-fixed paraffin-embedded sections) - Anti-PBK/SPK antibody [EP2520Y] (AB75987)

Immunohistochemical analysis of paraffin-embedded human tonsil using ab75987 at 1/100 dilution. Antigen retrieval was heat mediated with citrate buffer pH 6 before commencing with IHC staining protocol.

Western blot - Anti-PBK/SPK antibody [EP2520Y] (AB75987)
  • WB

Lab

Western blot - Anti-PBK/SPK antibody [EP2520Y] (AB75987)

Lane 1 : Wild-type HAP1 cell lysate (20 μg)
Lane 2 : PBK knockout HAP1 cell lysate (20 μg)
Lane 3 : HeLa cell lysate (20 μg)
Lane 4 : Human tonsil tissue lysate (20 μg)
Lanes 1 - 4 : Merged signal (red and green). Green - ab75987 observed at 40 kDa. Red - loading control, ab7291, observed at 52 kDa.

ab75987 was shown to recognize PBK when PBK knockout samples were used, along with additional cross-reactive bands. Wild-type and PBK knockout samples were subjected to SDS-PAGE. ab75987 diluted to 1/100,000 and ab7291 (loading control to alpha Tubulin) diluted to 1/10,000 and incubated overnight at 4°C. Blots were developed with Goat anti-Rabbit IgG H&L (IRDye® 800CW) preadsorbed (ab216773) and Goat anti-Mouse IgG H&L (IRDye® 680RD) preadsorbed (ab216776) secondary antibodies at 1/10,000 dilution for 1 hour at room temperature before imaging.

All lanes:

Western blot - Anti-PBK/SPK antibody [EP2520Y] (ab75987)

Predicted band size: 36 kDa

false

Western blot - Anti-PBK/SPK antibody [EP2520Y] (AB75987)
  • WB

Lab

Western blot - Anti-PBK/SPK antibody [EP2520Y] (AB75987)

Lanes 1- 2 : Merged signal (red and green). Green - ab75987 observed at 40 kDa. Red - Anti-alpha Tubulin antibody [DM1A] - Loading Control (ab7291) observed at 50 kDa.

ab75987 was shown to react with PBK/SPK in wild-type HEK-293T cells in western blot. Loss of signal was observed when knockout cell line ab266827 (knockout cell lysate ab257575) was used. Wild-type HEK-293T and PBK knockout HEK-293T cell lysates were subjected to SDS-PAGE. ab75987 and Anti-alpha Tubulin antibody [DM1A] - Loading Control (ab7291) overnight at 4°C at a 1 in 100000 dilution and a 1 in 20000 dilution respectively. Blots were developed with Goat anti-Rabbit IgG H&L (IRDye®800CW) preadsorbed (ab216773) and Goat anti-Mouse IgG H&L (IRDye®680RD) preadsorbed (ab216776) secondary antibodies at 1 in 20000 dilution for 1 hour at room temperature before imaging.

All lanes:

Western blot - Anti-PBK/SPK antibody [EP2520Y] (ab75987) at 1/100000 dilution

Lane 1:

Wild-type HEK-293T cell lysate at 20 µg

Lane 2:

PBK knockout HEK-293T cell lysate at 20 µg

Lane 2:

Western blot - Human PBK (SPK) knockout HEK-293T cell line (<a href='/en-us/products/cell-lines/human-pbk-spk-knockout-hek-293t-cell-line-ab266827'>ab266827</a>)

Predicted band size: 27 kDa,36 kDa

Observed band size: 40 kDa

false

  • Carrier free

    Anti-PBK/SPK antibody [EP2520Y] - BSA and Azide free

Key facts

Host species

Rabbit

Clonality

Monoclonal

Clone number

EP2520Y

Isotype

IgG

Carrier free

No

Reacts with

Human

Applications

IP, IHC-P, WB

applications

Immunogen

The exact immunogen used to generate this antibody is proprietary information.

Reactivity data

{ "title": "Reactivity Data", "filters": { "stats": ["", "Species", "Dilution Info", "Notes"], "tabs": { "all-applications": {"fullname" : "All Applications", "shortname": "All Applications"}, "IHCP" : {"fullname" : "Immunohistochemistry (Formalin/PFA-fixed paraffin-embedded sections)", "shortname":"IHC-P"}, "ICCIF" : {"fullname" : "Immunocytochemistry/ Immunofluorescence", "shortname":"ICC/IF"}, "IP" : {"fullname" : "Immunoprecipitation", "shortname":"IP"}, "FlowCyt" : {"fullname" : "Flow Cytometry", "shortname":"Flow Cyt"}, "WB" : {"fullname" : "Western blot", "shortname":"WB"} }, "product-promise": { "all": "all", "testedAndGuaranteed": "tested", "guaranteed": "expected", "predicted": "predicted", "notRecommended": "not-recommended" } }, "values": { "Human": { "IHCP-species-checked": "testedAndGuaranteed", "IHCP-species-dilution-info": "1/100 - 1/250", "IHCP-species-notes": "<p>Antigen retrieval is recommended.</p>", "ICCIF-species-checked": "notRecommended", "ICCIF-species-dilution-info": "1/100 - 1/250", "ICCIF-species-notes": "<p></p>", "IP-species-checked": "guaranteed", "IP-species-dilution-info": "1/30", "IP-species-notes": "<p></p>", "FlowCyt-species-checked": "notRecommended", "FlowCyt-species-dilution-info": "1/1000", "FlowCyt-species-notes": "<p><a href='/en-us/products/primary-antibodies/rabbit-igg-monoclonal-epr25a-isotype-control-ab172730'>ab172730</a> - Rabbit monoclonal IgG, is suitable for use as an isotype control with this antibody.</p>", "WB-species-checked": "testedAndGuaranteed", "WB-species-dilution-info": "1/100000 - 1/500000", "WB-species-notes": "<p></p>" } } }

Product details

Species reactivity
Mouse, Rat: We have preliminary internal testing data to indicate this antibody may not react with these species.
Please contact us for more information.

Patented technology
Our RabMAb® technology is a patented hybridoma-based technology for making rabbit monoclonal antibodies. For details on our patents, please refer to RabMAb® patents.

What are the advantages of a recombinant monoclonal antibody?
This product is a recombinant monoclonal antibody, which offers several advantages including:

  • - High batch-to-batch consistency and reproducibility
  • - Improved sensitivity and specificity
  • - Long-term security of supply
  • - Animal-free batch production

For more information, read more on recombinant antibodies.

Properties and storage information

Form
Liquid
Purification technique
Affinity purification Protein A
Storage buffer
pH: 7.2 - 7.4 Preservative: 0.05% Sodium azide Constituents: 50% Tissue culture supernatant, 40% Glycerol (glycerin, glycerine), 9.85% Tris glycine, 0.1% BSA
Shipped at conditions
Blue Ice
Appropriate short-term storage conditions
+4°C
Appropriate long-term storage conditions
-20°C
Storage information
Stable for 12 months at -20°C

Supplementary information

This supplementary information is collated from multiple sources and compiled automatically.

PBK/SPK also known as PDZ-binding kinase or Cdc2-related kinase is a serine/threonine protein kinase with an approximate molecular weight of 47 kDa. This protein is involved in cell division playing an important role in mitotic processes. PBK/SPK is expressed in various tissues including significant levels in testis and placenta often in proliferating cell types. It also exhibits higher expression in cancerous tissues suggesting a role in tumorigenesis.
Biological function summary

PBK/SPK facilitates cell cycle progression and cellular proliferation. This protein is not typically part of larger complexes but it partners with other molecules during cell division to ensure proper mitotic spindle formation and chromosome segregation. Its expression levels increase during the G2/M phase of the cell cycle indicating its involvement in cell cycle regulation. In cancer it often shows overexpression contributing to unregulated proliferation of cancer cells.

Pathways

PBK/SPK is associated with critical cell division pathways such as the MAPK signaling pathway. This involvement impacts cellular responses to growth signals and stress. PBK can phosphorylate and interact with proteins like p38 MAPK which further modulates signal transduction related to cellular growth and survival. Through these pathways PBK/SPK helps manage the balance between cell division and apoptosis particularly under stress conditions.

PBK/SPK has strong correlations with cancer especially glioblastoma and cervical cancer. Overexpression of PBK often links to poor prognosis in these conditions. In cancerous settings PBK interacts with proteins such as p53 and c-Myc influencing tumor progression and resistance to therapy. PBK can modulate oncogenic pathways providing a potential target for therapeutic intervention in tumor proliferation and survival.

Product protocols

For this product, it's our understanding that no specific protocols are required. You can visit:

Target data

Phosphorylates MAP kinase p38. Seems to be active only in mitosis. May also play a role in the activation of lymphoid cells. When phosphorylated, forms a complex with TP53, leading to TP53 destabilization and attenuation of G2/M checkpoint during doxorubicin-induced DNA damage.
See full target information PBK

Publications (10)

Recent publications for all applications. Explore the full list and refine your search

American journal of translational research 15:799-816 PubMed36915736

2023

Identification of potential biomarkers in cancer testis antigens for glioblastoma.

Applications

Unspecified application

Species

Unspecified reactive species

Feng Li,Chang Liu,Weixia Nong,Lina Lin,Yingying Ge,Bin Luo,Shaowen Xiao,Qingmei Zhang,Xiaoxun Xie

Journal of cellular physiology 236:2767-2781 PubMed33184870

2020

PBK promotes aggressive phenotypes of cervical cancer through ERK/c-Myc signaling pathway.

Applications

Unspecified application

Species

Unspecified reactive species

Hanlin Ma,Fang Han,Xiaohui Yan,Gonghua Qi,Yingwei Li,Rongrong Li,Shi Yan,Cunzhong Yuan,Kun Song,Beihua Kong

International journal of molecular medicine 46:1923-1937 PubMed32901866

2020

TOPK inhibition accelerates oxidative stress‑induced granulosa cell apoptosis via the p53/SIRT1 axis.

Applications

Unspecified application

Species

Unspecified reactive species

Jung-Hwan Park,Sang-Ah Park,Young-Ju Lee,Na-Rae Joo,Jongdae Shin,Sang-Muk Oh

Translational oncology 13:287-294 PubMed31874375

2019

PDZ-Binding Kinase-Dependent Transcriptional Regulation of CCNB2 Promotes Tumorigenesis and Radio-Resistance in Glioblastoma.

Applications

Unspecified application

Species

Unspecified reactive species

Ping Mao,Gang Bao,Yi-Chang Wang,Chang-Wang Du,Xiao Yu,Xiao-Ye Guo,Rui-Chun Li,Mao-De Wang

Frontiers in oncology 9:1147 PubMed31781484

2019

Clinical and Expression Significance of AKT1 by Co-expression Network Analysis in Endometrial Cancer.

Applications

Unspecified application

Species

Unspecified reactive species

Xiao Huo,Hengzi Sun,Qian Liu,Xiangwen Ma,Peng Peng,Mei Yu,Ying Zhang,Dongyan Cao,Keng Shen

Breast cancer research and treatment 175:567-578 PubMed30937657

2019

4-Hydroxytamoxifen enhances sensitivity of estrogen receptor α-positive breast cancer to docetaxel in an estrogen and ZNF423 SNP-dependent fashion.

Applications

Unspecified application

Species

Unspecified reactive species

Gen Wang,Sisi Qin,Jacqueline Zayas,James N Ingle,Mohan Liu,Richard M Weinshilboum,Kunwei Shen,Liewei Wang

Cell death & disease 10:166 PubMed30778048

2019

PBK, targeted by EVI1, promotes metastasis and confers cisplatin resistance through inducing autophagy in high-grade serous ovarian carcinoma.

Applications

Unspecified application

Species

Unspecified reactive species

Hanlin Ma,Yingwei Li,Xiangxiang Wang,Huan Wu,Gonghua Qi,Rongrong Li,Ning Yang,Min Gao,Shi Yan,Cunzhong Yuan,Beihua Kong

Cancer cell international 15:27 PubMed25745361

2015

PBK/TOPK mediates geranylgeranylation signaling for breast cancer cell proliferation.

Applications

Unspecified application

Species

Human

Xiaoyan Dou,Jing Wei,Aiqin Sun,Genbao Shao,Chandra Childress,Wannian Yang,Qiong Lin

Human pathology 46:217-24 PubMed25466965

2014

PBK/TOPK expression correlates with mutant p53 and affects patients' prognosis and cell proliferation and viability in lung adenocarcinoma.

Applications

Unspecified application

Species

Unspecified reactive species

Bin Lei,Wenjuan Qi,Yunfei Zhao,Yumei Li,Shuguang Liu,Xiaoyan Xu,Chen Zhi,Liyan Wan,Hong Shen

Journal of proteome research 11:4847-62 PubMed22889411

2012

Proteomics strategy to identify substrates of LNX, a PDZ domain-containing E3 ubiquitin ligase.

Applications

Unspecified application

Species

Unspecified reactive species

Zhengguang Guo,Eli Song,Sucan Ma,Xiaorong Wang,Shijuan Gao,Chen Shao,Siqi Hu,Lulu Jia,Rui Tian,Tao Xu,Youhe Gao
View all publications

Product promise

We are committed to supporting your work with high-quality reagents, and we're here for you every step of the way. In the unlikely event that one of our products does not perform as expected, you're protected by our Product Promise.
For full details, please see our Terms & Conditions

Please note: All products are 'FOR RESEARCH USE ONLY. NOT FOR USE IN DIAGNOSTIC OR THERAPEUTIC PROCEDURES'.

For licensing inquiries, please contact partnerships@abcam.com