JavaScript is disabled in your browser. Please enable JavaScript to view this website.
AB239756

Anti-PBK/SPK antibody [EPR21982] - BSA and Azide free

Be the first to review this product! Submit a review

|

(1 Publication)

Rabbit Recombinant Monoclonal PBK/SPK antibody. Carrier free. Suitable for IP, WB, Flow Cyt (Intra), IHC-P and reacts with Human, Rat samples. Cited in 1 publication.

View Alternative Names

TOPK, PBK, Lymphokine-activated killer T-cell-originated protein kinase, Cancer/testis antigen 84, MAPKK-like protein kinase, Nori-3, PDZ-binding kinase, Spermatogenesis-related protein kinase, T-LAK cell-originated protein kinase, CT84, SPK

9 Images
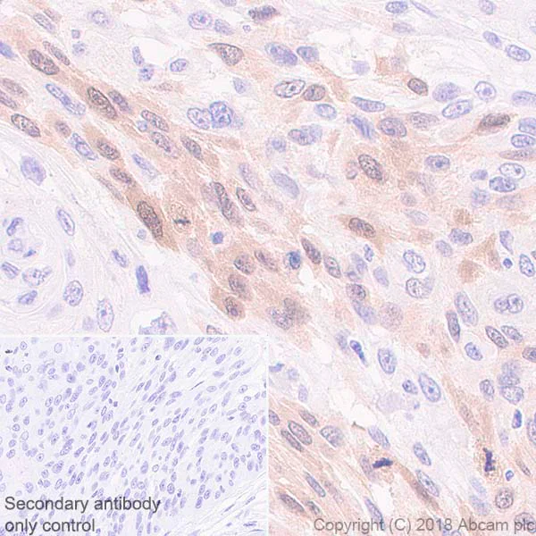
Immunohistochemistry (Formalin/PFA-fixed paraffin-embedded sections) - Anti-PBK/SPK antibody [EPR21982] - BSA and Azide free (AB239756)
  • IHC-P

Supplier Data

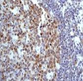
Immunohistochemistry (Formalin/PFA-fixed paraffin-embedded sections) - Anti-PBK/SPK antibody [EPR21982] - BSA and Azide free (AB239756)

Immunohistochemical analysis of paraffin-embedded human esophagus cancer tissue labeling PBK/SPK with ab236871 at 1/2000 dilution, followed by Goat Anti-Rabbit IgG H&L (HRP) Ready to use. Positive staining in human esophagus cancer (PMID : 27919968) is observed. Counterstained with hematoxylin.

Secondary antibody only control : Used PBS instead of primary antibody, secondary antibody is Goat Anti-Rabbit IgG H&L (HRP) Ready to use.

Heat mediated antigen retrieval using ab93684 (Tris/EDTA buffer, pH 9.0).

This data was developed using the same antibody clone in a different buffer formulation containing PBS, BSA, glycerol, and sodium azide (ab236871).

Flow Cytometry (Intracellular) - Anti-PBK/SPK antibody [EPR21982] - BSA and Azide free (AB239756)
  • Flow Cyt (Intra)

Unknown

Flow Cytometry (Intracellular) - Anti-PBK/SPK antibody [EPR21982] - BSA and Azide free (AB239756)

Intracellular flow cytometric analysis of 4% paraformaldehyde-fixed, 90% methanol-permeabilized HepG2 (human liver hepatocellular carcinoma cell line) cell line labeling PBK/SPK with ab236871 at 1/50 dilution (red) compared with a Rabbit IgG, monoclonal [EPR25A] - Isotype Control (ab172730) (black) and an unlabeled control (cells without incubation with primary antibody and secondary antibody) (blue). Goat Anti-Rabbit IgG H&L (Alexa Fluor® 488) (ab150077) at 1/2000 dilution was used as the secondary antibody.

This data was developed using the same antibody clone in a different buffer formulation containing PBS, BSA, glycerol, and sodium azide (ab236871).

Immunohistochemistry (Formalin/PFA-fixed paraffin-embedded sections) - Anti-PBK/SPK antibody [EPR21982] - BSA and Azide free (AB239756)
  • IHC-P

Supplier Data

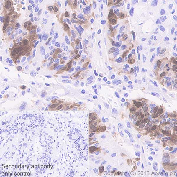
Immunohistochemistry (Formalin/PFA-fixed paraffin-embedded sections) - Anti-PBK/SPK antibody [EPR21982] - BSA and Azide free (AB239756)

Immunohistochemical analysis of paraffin-embedded human gastric cancer tissue labeling PBK/SPK with ab236871 at 1/2000 dilution, followed by Goat Anti-Rabbit IgG H&L (HRP) Ready to use. Positive staining in human gastric cancer (PMID : 26894977; PMID : 27898655) is observed. Counterstained with hematoxylin.

Secondary antibody only control : Used PBS instead of primary antibody, secondary antibody is Goat Anti-Rabbit IgG H&L (HRP) Ready to use.

Heat mediated antigen retrieval using ab93684 (Tris/EDTA buffer, pH 9.0).

This data was developed using the same antibody clone in a different buffer formulation containing PBS, BSA, glycerol, and sodium azide (ab236871).

Flow Cytometry (Intracellular) - Anti-PBK/SPK antibody [EPR21982] - BSA and Azide free (AB239756)
  • Flow Cyt (Intra)

Supplier Data

Flow Cytometry (Intracellular) - Anti-PBK/SPK antibody [EPR21982] - BSA and Azide free (AB239756)

Intracellular flow cytometric analysis of 4% paraformaldehyde-fixed, 90% methanol-permeabilized HeLa (human epithelial cell line from cervix adenocarcinoma) cell line labeling PBK/SPK with ab236871 at 1/50 dilution (red) compared with a Rabbit IgG, monoclonal [EPR25A] - Isotype Control (ab172730) (black) and an unlabeled control (cells without incubation with primary antibody and secondary antibody) (blue). Goat Anti-Rabbit IgG H&L (Alexa Fluor® 488) (ab150077) at 1/2000 dilution was used as the secondary antibody.

This data was developed using the same antibody clone in a different buffer formulation containing PBS, BSA, glycerol, and sodium azide (ab236871).

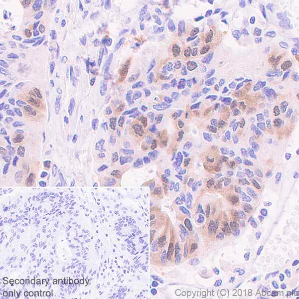
Immunohistochemistry (Formalin/PFA-fixed paraffin-embedded sections) - Anti-PBK/SPK antibody [EPR21982] - BSA and Azide free (AB239756)
  • IHC-P

Supplier Data

Immunohistochemistry (Formalin/PFA-fixed paraffin-embedded sections) - Anti-PBK/SPK antibody [EPR21982] - BSA and Azide free (AB239756)

Immunohistochemical analysis of paraffin-embedded human testis tissue labeling PBK with ab236871 at 1/2000 dilution, followed by Goat Anti-Rabbit IgG H&L (HRP) Ready to use. Positive staining in human esophagus cancer (PMID : 27919968). Counter stained with hematoxylin.

Secondary antibody only control : Used PBS instead of primary antibody, secondary antibody is Goat Anti-Rabbit IgG H&L (HRP) Ready to use.

This data was developed using the same antibody clone in a different buffer formulation containing PBS, BSA, glycerol, and sodium azide (ab236871).

Immunoprecipitation - Anti-PBK/SPK antibody [EPR21982] - BSA and Azide free (AB239756)
  • IP

Supplier Data

Immunoprecipitation - Anti-PBK/SPK antibody [EPR21982] - BSA and Azide free (AB239756)

PBK/SPK was immunoprecipitated from 0.35 mg of HeLa (human epithelial cell line from cervix adenocarcinoma) whole cell lysate with ab236871 at 1/30 dilution. Western blot was performed from the immunoprecipitate using ab184276 at 1/1000 dilution. VeriBlot for IP Detection Reagent (HRP) (ab131366), was used for detection at 1/5000 dilution.

Lane 1 : HeLa whole cell lysate 10 μg (Input).

Lane 2 : ab231871 IP in HeLa whole cell lysate.

Lane 3 : Rabbit monoclonal IgG (ab172730) instead of ab231871 in HeLa whole cell lysate.

Blocking and dilution buffer and concentration : 5% NFDM/TBST.

Exposure time : 30 seconds.

This data was developed using the same antibody clone in a different buffer formulation containing PBS, BSA, glycerol, and sodium azide (ab236871).

All lanes:

Immunoprecipitation - Anti-PBK/SPK antibody [EPR21982] (<a href='/en-us/products/primary-antibodies/pbk-spk-antibody-epr21982-ab236871'>ab236871</a>)

Predicted band size: 36 kDa,50 kDa

Observed band size: 36 kDa,46 kDa,50 kDa

false

Western blot - Anti-PBK/SPK antibody [EPR21982] - BSA and Azide free (AB239756)
  • WB

Lab

Western blot - Anti-PBK/SPK antibody [EPR21982] - BSA and Azide free (AB239756)

This data was developed using the same antibody clone in a different buffer formulation containing PBS, BSA, glycerol, and sodium azide (ab236871).

Lanes 1- 2 : Merged signal (red and green). Green - ab236871 observed at 40 kDa. Red - Anti-alpha Tubulin antibody [DM1A] - Loading Control (ab7291) observed at 50 kDa.

ab236871 was shown to react with PBK/SPK in wild-type HEK-293T cells in western blot. Loss of signal was observed when knockout cell line ab266827 (knockout cell lysate ab257575) was used. Wild-type HEK-293T and PBK knockout HEK-293T cell lysates were subjected to SDS-PAGE. ab236871 and Anti-alpha Tubulin antibody [DM1A] - Loading Control (ab7291) overnight at 4°C at a 1 in 1000 dilution and a 1 in 20000 dilution respectively. Blots were developed with Goat anti-Rabbit IgG H&L (IRDye®800CW) preadsorbed (ab216773) and Goat anti-Mouse IgG H&L (IRDye®680RD) preadsorbed (ab216776) secondary antibodies at 1 in 20000 dilution for 1 hour at room temperature before imaging.

All lanes:

Western blot - Anti-PBK/SPK antibody [EPR21982] (<a href='/en-us/products/primary-antibodies/pbk-spk-antibody-epr21982-ab236871'>ab236871</a>) at 1/1000 dilution

Lane 1:

Wild-type HEK-293T cell lysate at 20 µg

Lane 2:

PBK knockout HEK-293T cell lysate at 20 µg

Lane 2:

Western blot - Human PBK (SPK) knockout HEK-293T cell line (<a href='/en-us/products/cell-lines/human-pbk-spk-knockout-hek-293t-cell-line-ab266827'>ab266827</a>)

Predicted band size: 36 kDa

Observed band size: 40 kDa

false

Western blot - Anti-PBK/SPK antibody [EPR21982] - BSA and Azide free (AB239756)
  • WB

Supplier Data

Western blot - Anti-PBK/SPK antibody [EPR21982] - BSA and Azide free (AB239756)

Blocking/Dilution buffer : 5% NFDM/TBST.

The molecular weight observed is consistent with what has been described in the literature (PMID : 23547718; PMID : 25909225).

ab236871 was shown to specifically react with PBK/SPK in wild-type HAP1 cells as signal was lost in PBK/SPK knockout cells. Wild-type and PBK/SPK knockout samples were subjected to SDS-PAGE. ab236871 and ab181602 (Rabbit anti-GAPDH loading control) were incubated 1 hour at room temperature at 1/1000 dilution and 1/200,000 dilution respectively. Blots were developed with Goat Anti-Rabbit IgG, (H+L), Peroxidase conjugated (ab97051) secondary antibody at 1/100,000 dilution for 1 hour at room temperature before imaging.

This data was developed using the same antibody clone in a different buffer formulation containing PBS, BSA, glycerol and sodium azide (ab236871).

All lanes:

Western blot - Anti-PBK/SPK antibody [EPR21982] (<a href='/en-us/products/primary-antibodies/pbk-spk-antibody-epr21982-ab236871'>ab236871</a>) at 1/1000 dilution

Lane 1:

Wild-type HAP1 cell lysate at 20 µg

Lane 2:

PBK/SPK knockout HAP1 cell lysate at 20 µg

Lane 3:

HeLa (human epithelial cell line from cervix adenocarcinoma) whole cell lysate at 20 µg

Lane 4:

HepG2 (human liver hepatocellular carcinoma cell line) whole cell lysate at 20 µg

Secondary

All lanes:

Western blot - Goat Anti-Rabbit IgG H&L (HRP) (<a href='/en-us/products/secondary-antibodies/goat-rabbit-igg-h-l-hrp-ab97051'>ab97051</a>) at 1/100000 dilution

Predicted band size: 36 kDa

Observed band size: 38 kDa

false

Exposure time: 15s

Western blot - Anti-PBK/SPK antibody [EPR21982] - BSA and Azide free (AB239756)
  • WB

Supplier Data

Western blot - Anti-PBK/SPK antibody [EPR21982] - BSA and Azide free (AB239756)

Exposure time : Lanes 1-3 : 26 seconds; Lane 4 : 8 seconds; Lanes 5-6 : 70 seconds.

Blocking/Dilution buffer : 5% NFDM/TBST.

The molecular weight observed is consistent with what has been described in the literature (PMID : 23547718; PMID : 25909225).

This data was developed using the same antibody clone in a different buffer formulation containing PBS, BSA, glycerol, and sodium azide (ab236871).

All lanes:

Western blot - Anti-PBK/SPK antibody [EPR21982] (<a href='/en-us/products/primary-antibodies/pbk-spk-antibody-epr21982-ab236871'>ab236871</a>) at 1/1000 dilution

Lane 1:

SW480 (human colorectal adenocarcinoma cell line) whole cell lysate at 20 µg

Lane 2:

A431 (human epidermoid carcinoma cell line) whole cell lysate at 20 µg

Lane 3:

U-87 MG (human glioblastoma-astrocytoma epithelial cell line) whole cell lysate at 20 µg

Lane 4:

Rat testis lysate at 20 µg

Lane 5:

C6 (rat glial tumor cell line) whole cell lysate at 10 µg

Lane 6:

PC-12 (rat adrenal gland pheochromocytoma cell line) whole cell lysate at 10 µg

Secondary

All lanes:

Western blot - Goat Anti-Rabbit IgG H&L (HRP) (<a href='/en-us/products/secondary-antibodies/goat-rabbit-igg-h-l-hrp-ab97051'>ab97051</a>) at 1/100000 dilution

Predicted band size: 36 kDa

Observed band size: 38 kDa

false

Key facts

Host species

Rabbit

Clonality

Monoclonal

Clone number

EPR21982

Isotype

IgG

Carrier free

Yes

Reacts with

Rat, Human

Applications

IP, Flow Cyt (Intra), IHC-P, WB

applications

Immunogen

The exact immunogen used to generate this antibody is proprietary information.

Specificity

IHC is recommended for human only.

Reactivity data

{ "title": "Reactivity Data", "filters": { "stats": ["", "Species", "Dilution Info", "Notes"], "tabs": { "all-applications": {"fullname" : "All Applications", "shortname": "All Applications"}, "IP" : {"fullname" : "Immunoprecipitation", "shortname":"IP"}, "WB" : {"fullname" : "Western blot", "shortname":"WB"}, "FlowCytIntra" : {"fullname" : "Flow Cytometry (Intracellular)", "shortname":"Flow Cyt (Intra)"}, "IHCP" : {"fullname" : "Immunohistochemistry (Formalin/PFA-fixed paraffin-embedded sections)", "shortname":"IHC-P"} }, "product-promise": { "all": "all", "testedAndGuaranteed": "tested", "guaranteed": "expected", "predicted": "predicted", "notRecommended": "not-recommended" } }, "values": { "Human": { "IP-species-checked": "testedAndGuaranteed", "IP-species-dilution-info": "", "IP-species-notes": "<p></p>", "WB-species-checked": "testedAndGuaranteed", "WB-species-dilution-info": "", "WB-species-notes": "<p></p>", "FlowCytIntra-species-checked": "testedAndGuaranteed", "FlowCytIntra-species-dilution-info": "", "FlowCytIntra-species-notes": "<p></p>", "IHCP-species-checked": "testedAndGuaranteed", "IHCP-species-dilution-info": "", "IHCP-species-notes": "<p>IHC is recommended for human only.</p>" }, "Rat": { "IP-species-checked": "guaranteed", "IP-species-dilution-info": "", "IP-species-notes": "", "WB-species-checked": "testedAndGuaranteed", "WB-species-dilution-info": "", "WB-species-notes": "<p></p>", "FlowCytIntra-species-checked": "guaranteed", "FlowCytIntra-species-dilution-info": "", "FlowCytIntra-species-notes": "", "IHCP-species-checked": "guaranteed", "IHCP-species-dilution-info": "", "IHCP-species-notes": "" } } }

Product details

ab239756 is the carrier-free version of ab236871.

Patented technology
Our RabMAb® technology is a patented hybridoma-based technology for making rabbit monoclonal antibodies. For details on our patents, please refer to RabMAb® patents.

What are the advantages of a recombinant monoclonal antibody?
This product is a recombinant monoclonal antibody, which offers several advantages including:

  • - High batch-to-batch consistency and reproducibility
  • - Improved sensitivity and specificity
  • - Long-term security of supply
  • - Animal-free batch production

For more information, read more on recombinant antibodies.

Conjugation ready
Our carrier-free antibodies are typically supplied in a PBS-only formulation, purified and free of BSA, sodium azide and glycerol. This conjugation-ready format is designed for use with fluorochromes, metal isotopes, oligonucleotides, and enzymes, which makes them ideal for antibody labelling, functional and cell-based assays, flow-based assays (e.g. mass cytometry) and Multiplex Imaging applications.

Use our conjugation kits for antibody conjugates that are ready-to-use in as little as 20 minutes with 1 minute hands-on-time and 100% antibody recovery: available for fluorescent dyes, HRP, biotin and gold.

Compatibility
This product is compatible with the Maxpar® Antibody Labeling Kit from Fluidigm, without the need for antibody preparation. Maxpar® is a trademark of Fluidigm Canada Inc.

Properties and storage information

Form
Liquid
Purification technique
Affinity purification Protein A
Storage buffer
pH: 7.2 - 7.4 Constituents: PBS
Shipped at conditions
Blue Ice
Appropriate short-term storage conditions
+4°C
Appropriate long-term storage conditions
+4°C
Storage information
Do Not Freeze

Supplementary information

This supplementary information is collated from multiple sources and compiled automatically.

PBK/SPK also known as PDZ-binding kinase or Cdc2-related kinase is a serine/threonine protein kinase with an approximate molecular weight of 47 kDa. This protein is involved in cell division playing an important role in mitotic processes. PBK/SPK is expressed in various tissues including significant levels in testis and placenta often in proliferating cell types. It also exhibits higher expression in cancerous tissues suggesting a role in tumorigenesis.
Biological function summary

PBK/SPK facilitates cell cycle progression and cellular proliferation. This protein is not typically part of larger complexes but it partners with other molecules during cell division to ensure proper mitotic spindle formation and chromosome segregation. Its expression levels increase during the G2/M phase of the cell cycle indicating its involvement in cell cycle regulation. In cancer it often shows overexpression contributing to unregulated proliferation of cancer cells.

Pathways

PBK/SPK is associated with critical cell division pathways such as the MAPK signaling pathway. This involvement impacts cellular responses to growth signals and stress. PBK can phosphorylate and interact with proteins like p38 MAPK which further modulates signal transduction related to cellular growth and survival. Through these pathways PBK/SPK helps manage the balance between cell division and apoptosis particularly under stress conditions.

PBK/SPK has strong correlations with cancer especially glioblastoma and cervical cancer. Overexpression of PBK often links to poor prognosis in these conditions. In cancerous settings PBK interacts with proteins such as p53 and c-Myc influencing tumor progression and resistance to therapy. PBK can modulate oncogenic pathways providing a potential target for therapeutic intervention in tumor proliferation and survival.

Product protocols

For this product, it's our understanding that no specific protocols are required. You can visit:

Target data

Phosphorylates MAP kinase p38. Seems to be active only in mitosis. May also play a role in the activation of lymphoid cells. When phosphorylated, forms a complex with TP53, leading to TP53 destabilization and attenuation of G2/M checkpoint during doxorubicin-induced DNA damage.
See full target information PBK

Publications (1)

Recent publications for all applications. Explore the full list and refine your search

Frontiers in medicine 12:1614012 PubMed40959429

2025

A mitochondrial ferroptosis-related gene signature predicts prognosis and immune landscape in colon cancer.

Applications

Unspecified application

Species

Unspecified reactive species

Hou Wang
View all publications

Product promise

We are committed to supporting your work with high-quality reagents, and we're here for you every step of the way. In the unlikely event that one of our products does not perform as expected, you're protected by our Product Promise.
For full details, please see our Terms & Conditions

Please note: All products are 'FOR RESEARCH USE ONLY. NOT FOR USE IN DIAGNOSTIC OR THERAPEUTIC PROCEDURES'.

For licensing inquiries, please contact partnerships@abcam.com