JavaScript is disabled in your browser. Please enable JavaScript to view this website.
AB250790

Anti-PBK/SPK (phospho T9) antibody [EPR2475(N)] - BSA and Azide free

Be the first to review this product! Submit a review

|

(2 Publications)

Rabbit Recombinant Monoclonal PBK/SPK phospho T9 antibody. Carrier free. Suitable for WB, Flow Cyt (Intra), IHC-P and reacts with Human, Rat samples. Cited in 2 publications.

View Alternative Names

TOPK, PBK, Lymphokine-activated killer T-cell-originated protein kinase, Cancer/testis antigen 84, MAPKK-like protein kinase, Nori-3, PDZ-binding kinase, Spermatogenesis-related protein kinase, T-LAK cell-originated protein kinase, CT84, SPK

5 Images
Immunohistochemistry (Formalin/PFA-fixed paraffin-embedded sections) - Anti-PBK/SPK (phospho T9) antibody [EPR2475(N)] - BSA and Azide free (AB250790)
  • IHC-P

Supplier Data

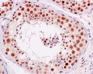
Immunohistochemistry (Formalin/PFA-fixed paraffin-embedded sections) - Anti-PBK/SPK (phospho T9) antibody [EPR2475(N)] - BSA and Azide free (AB250790)

Immunohistochemical analysis of paraffin-embedded human testis tissue labeling PBK/SPK (phospho T9) with ab184953 at 1/100 dilution followed by prediluted HRP Polymer for Rabbit IgG. Counter stained with Hematoxylin.

Perform heat mediated antigen retrieval with EDTA buffer pH 9 before commencing with IHC staining protocol.

This data was developed using the same antibody clone in a different buffer formulation containing PBS, BSA, glycerol, and sodium azide (ab184953).

Flow Cytometry (Intracellular) - Anti-PBK/SPK (phospho T9) antibody [EPR2475(N)] - BSA and Azide free (AB250790)
  • Flow Cyt (Intra)

Lab

Flow Cytometry (Intracellular) - Anti-PBK/SPK (phospho T9) antibody [EPR2475(N)] - BSA and Azide free (AB250790)

Intracellular flow cytometric analysis of4% paraformaldehyde-fixed, 90% methanol-permeabilised HeLa (Human cervix adenocarcinoma epithelial cell) treated with 0.1μg/mL Nocodazole for 24h (Red) / Untreated control (Green) cells labeling PBK/SPK (phospho T9) with ab184953 at 1/800 dilution compared with a Isotype control Rabbit monoclonal IgG (ab172730) (Black) and an unlabelled control (cells without incubation with primary antibody and secondary antibody) (Blue). Goat anti rabbit IgG (Alexa Fluor® 488, ab150077), at 1/2000 dilution was used as the secondary antibody. Higher expression in part of Nocodazole treated samples (mitotic cell induction) which is consistent with cell cycle Flow Cytometry data.

This data was developed using the same antibody clone in a different buffer formulation containing PBS, BSA, glycerol, and sodium azide (ab184953).

Flow Cytometry (Intracellular) - Anti-PBK/SPK (phospho T9) antibody [EPR2475(N)] - BSA and Azide free (AB250790)
  • Flow Cyt (Intra)

Lab

Flow Cytometry (Intracellular) - Anti-PBK/SPK (phospho T9) antibody [EPR2475(N)] - BSA and Azide free (AB250790)

Intracellular flow cytometric analysis of 4% paraformaldehyde fixed HeLa (Human cervix adenocarcinoma epithelial cell) cells labeling PBK/SPK (phospho T9) with ab184953 at 1/800 dilution (Right) compared with a Rabbit monoclonal IgG Isotype control (ab172730) (Left). Cells permeabilised with 90% methanol. Goat anti rabbit IgG (Alexa Fluor® 488, ab150077), at 1/2000 dilution was used as the secondary antibody. Highest expression at M phase.

This data was developed using the same antibody clone in a different buffer formulation containing PBS, BSA, glycerol, and sodium azide (ab184953).

Immunohistochemistry (Formalin/PFA-fixed paraffin-embedded sections) - Anti-PBK/SPK (phospho T9) antibody [EPR2475(N)] - BSA and Azide free (AB250790)
  • IHC-P

Supplier Data

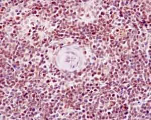
Immunohistochemistry (Formalin/PFA-fixed paraffin-embedded sections) - Anti-PBK/SPK (phospho T9) antibody [EPR2475(N)] - BSA and Azide free (AB250790)

Immunohistochemical analysis of paraffin-embedded rat spleen tissue labeling PBK/SPK (phospho T9) with ab184953 at 1/100 dilution followed by prediluted HRP Polymer for Rabbit IgG. Counter stained with Hematoxylin

Perform heat mediated antigen retrieval with EDTA buffer pH 9 before commencing with IHC staining protocol.

This data was developed using the same antibody clone in a different buffer formulation containing PBS, BSA, glycerol, and sodium azide (ab184953).

Western blot - Anti-PBK/SPK (phospho T9) antibody [EPR2475(N)] - BSA and Azide free (AB250790)
  • WB

Supplier Data

Western blot - Anti-PBK/SPK (phospho T9) antibody [EPR2475(N)] - BSA and Azide free (AB250790)

This data was developed using the same antibody clone in a different buffer formulation containing PBS, BSA, glycerol, and sodium azide (ab184953).

All lanes:

Western blot - Anti-PBK/SPK (phospho T9) antibody [EPR2475(N)] (<a href='/en-us/products/primary-antibodies/pbk-spk-phospho-t9-antibody-epr2475n-ab184953'>ab184953</a>) at 1/5000 dilution

Lane 1:

HeLa cell lysate treated with Nocodazole at 10 µg

Lane 2:

HeLa cell lysate untreated at 10 µg

Secondary

All lanes:

Goat Anti-Rabbit IgG, (H+L), Peroxidase conjugate at 1/1000 dilution

Predicted band size: 36 kDa

Observed band size: 40 kDa

false

  • Unconjugated

    Anti-PBK/SPK (phospho T9) antibody [EPR2475(N)]

Key facts

Host species

Rabbit

Clonality

Monoclonal

Clone number

EPR2475(N)

Isotype

IgG

Carrier free

Yes

Reacts with

Rat, Human

Applications

WB, Flow Cyt (Intra), IHC-P

applications

Immunogen

The exact immunogen used to generate this antibody is proprietary information.

Reactivity data

{ "title": "Reactivity Data", "filters": { "stats": ["", "Species", "Dilution Info", "Notes"], "tabs": { "all-applications": {"fullname" : "All Applications", "shortname": "All Applications"}, "WB" : {"fullname" : "Western blot", "shortname":"WB"}, "FlowCytIntra" : {"fullname" : "Flow Cytometry (Intracellular)", "shortname":"Flow Cyt (Intra)"}, "IHCP" : {"fullname" : "Immunohistochemistry (Formalin/PFA-fixed paraffin-embedded sections)", "shortname":"IHC-P"} }, "product-promise": { "all": "all", "testedAndGuaranteed": "tested", "guaranteed": "expected", "predicted": "predicted", "notRecommended": "not-recommended" } }, "values": { "Human": { "WB-species-checked": "testedAndGuaranteed", "WB-species-dilution-info": "", "WB-species-notes": "<p></p>", "FlowCytIntra-species-checked": "testedAndGuaranteed", "FlowCytIntra-species-dilution-info": "", "FlowCytIntra-species-notes": "<p></p>", "IHCP-species-checked": "guaranteed", "IHCP-species-dilution-info": "", "IHCP-species-notes": "" }, "Mouse": { "WB-species-checked": "predicted", "WB-species-dilution-info": "", "WB-species-notes": "", "FlowCytIntra-species-checked": "predicted", "FlowCytIntra-species-dilution-info": "", "FlowCytIntra-species-notes": "", "IHCP-species-checked": "predicted", "IHCP-species-dilution-info": "", "IHCP-species-notes": "" }, "Rat": { "WB-species-checked": "guaranteed", "WB-species-dilution-info": "", "WB-species-notes": "", "FlowCytIntra-species-checked": "guaranteed", "FlowCytIntra-species-dilution-info": "", "FlowCytIntra-species-notes": "", "IHCP-species-checked": "testedAndGuaranteed", "IHCP-species-dilution-info": "", "IHCP-species-notes": "<p></p>" } } }

Product details

ab250790 is the carrier-free version of ab184953.

Patented technology
Our RabMAb® technology is a patented hybridoma-based technology for making rabbit monoclonal antibodies. For details on our patents, please refer to RabMAb® patents.

What are the advantages of a recombinant monoclonal antibody?
This product is a recombinant monoclonal antibody, which offers several advantages including:

  • - High batch-to-batch consistency and reproducibility
  • - Improved sensitivity and specificity
  • - Long-term security of supply
  • - Animal-free batch production

For more information, read more on recombinant antibodies.

Conjugation ready
Our carrier-free antibodies are typically supplied in a PBS-only formulation, purified and free of BSA, sodium azide and glycerol. This conjugation-ready format is designed for use with fluorochromes, metal isotopes, oligonucleotides, and enzymes, which makes them ideal for antibody labelling, functional and cell-based assays, flow-based assays (e.g. mass cytometry) and Multiplex Imaging applications.

Use our conjugation kits for antibody conjugates that are ready-to-use in as little as 20 minutes with 1 minute hands-on-time and 100% antibody recovery: available for fluorescent dyes, HRP, biotin and gold.

Compatibility
This product is compatible with the Maxpar® Antibody Labeling Kit from Fluidigm, without the need for antibody preparation. Maxpar® is a trademark of Fluidigm Canada Inc.

Properties and storage information

Form
Liquid
Purification technique
Affinity purification Protein A
Storage buffer
pH: 7.2 - 7.4 Constituents: PBS
Shipped at conditions
Blue Ice
Appropriate short-term storage conditions
+4°C
Appropriate long-term storage conditions
+4°C
Storage information
Do Not Freeze

Supplementary information

This supplementary information is collated from multiple sources and compiled automatically.

PBK/SPK also known as PDZ-binding kinase or Cdc2-related kinase is a serine/threonine protein kinase with an approximate molecular weight of 47 kDa. This protein is involved in cell division playing an important role in mitotic processes. PBK/SPK is expressed in various tissues including significant levels in testis and placenta often in proliferating cell types. It also exhibits higher expression in cancerous tissues suggesting a role in tumorigenesis.
Biological function summary

PBK/SPK facilitates cell cycle progression and cellular proliferation. This protein is not typically part of larger complexes but it partners with other molecules during cell division to ensure proper mitotic spindle formation and chromosome segregation. Its expression levels increase during the G2/M phase of the cell cycle indicating its involvement in cell cycle regulation. In cancer it often shows overexpression contributing to unregulated proliferation of cancer cells.

Pathways

PBK/SPK is associated with critical cell division pathways such as the MAPK signaling pathway. This involvement impacts cellular responses to growth signals and stress. PBK can phosphorylate and interact with proteins like p38 MAPK which further modulates signal transduction related to cellular growth and survival. Through these pathways PBK/SPK helps manage the balance between cell division and apoptosis particularly under stress conditions.

PBK/SPK has strong correlations with cancer especially glioblastoma and cervical cancer. Overexpression of PBK often links to poor prognosis in these conditions. In cancerous settings PBK interacts with proteins such as p53 and c-Myc influencing tumor progression and resistance to therapy. PBK can modulate oncogenic pathways providing a potential target for therapeutic intervention in tumor proliferation and survival.

Product protocols

For this product, it's our understanding that no specific protocols are required. You can visit:

Target data

Phosphorylates MAP kinase p38. Seems to be active only in mitosis. May also play a role in the activation of lymphoid cells. When phosphorylated, forms a complex with TP53, leading to TP53 destabilization and attenuation of G2/M checkpoint during doxorubicin-induced DNA damage.
See full target information PBK phospho T9

Publications (2)

Recent publications for all applications. Explore the full list and refine your search

Evidence-based complementary and alternative medicine : eCAM 2021:5523726 PubMed34422071

2021

Effect of Warm Acupuncture Combined with Bone Marrow Mesenchymal Stem Cells Transplantation on Cartilage Tissue in Rabbit Knee Osteoarthritis.

Applications

Unspecified application

Species

Unspecified reactive species

Jun-Wei Liu,Yong-Li Wu,Wei Wei,Yan-Ling Zhang,Di Liu,Xiao-Xiu Ma,Chun Li,Yu-Yuan Ma

BMC cancer 19:1264 PubMed31888532

2019

TOPK promotes metastasis of esophageal squamous cell carcinoma by activating the Src/GSK3β/STAT3 signaling pathway via γ-catenin.

Applications

Unspecified application

Species

Unspecified reactive species

Yanan Jiang,Jing Zhang,Jimin Zhao,Zhenzhen Li,Hanyong Chen,Yan Qiao,Xinhuan Chen,Kangdong Liu,Ziming Dong
View all publications

Product promise

We are committed to supporting your work with high-quality reagents, and we're here for you every step of the way. In the unlikely event that one of our products does not perform as expected, you're protected by our Product Promise.
For full details, please see our Terms & Conditions

Please note: All products are 'FOR RESEARCH USE ONLY. NOT FOR USE IN DIAGNOSTIC OR THERAPEUTIC PROCEDURES'.

For licensing inquiries, please contact partnerships@abcam.com