JavaScript is disabled in your browser. Please enable JavaScript to view this website.
AB235947

Anti-PBLD antibody

Be the first to review this product! Submit a review

|

(2 Publications)

Rabbit Polyclonal PBLD antibody. Suitable for WB, IHC-P and reacts with Mouse, Human samples. Cited in 2 publications. Immunogen corresponding to Recombinant Fragment Protein within Human PBLD aa 1 to C-terminus.

View Alternative Names

MAWBP, PBLD, Phenazine biosynthesis-like domain-containing protein, MAWD-binding protein, Unknown protein 32 from 2D-page of liver tissue, MAWDBP

2 Images
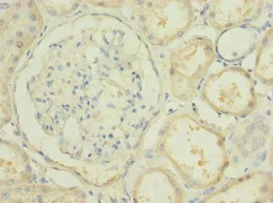
Immunohistochemistry (Formalin/PFA-fixed paraffin-embedded sections) - Anti-PBLD antibody (AB235947)
  • IHC-P

Supplier Data

Immunohistochemistry (Formalin/PFA-fixed paraffin-embedded sections) - Anti-PBLD antibody (AB235947)

Paraffin-embedded human kidney tissue stained for PBLD using ab235947 at 1/100 dilution in immunohistochemical analysis.

Western blot - Anti-PBLD antibody (AB235947)
  • WB

Supplier Data

Western blot - Anti-PBLD antibody (AB235947)

All lanes:

Western blot - Anti-PBLD antibody (ab235947) at 1/500 dilution

Lane 1:

Mouse liver tissue lysate

Lane 2:

Mouse kidney tissue lysate

Secondary

All lanes:

Goat polyclonal to Rabbit IgG at 1/10000 dilution

Predicted band size: 32 kDa

false

Key facts

Host species

Rabbit

Clonality

Polyclonal

Isotype

IgG

Carrier free

No

Reacts with

Mouse, Human

Applications

WB, IHC-P

applications

Immunogen

Recombinant Fragment Protein within Human PBLD aa 1 to C-terminus. The exact immunogen used to generate this antibody is proprietary information.

P30039

Reactivity data

{ "title": "Reactivity Data", "filters": { "stats": ["", "Species", "Dilution Info", "Notes"], "tabs": { "all-applications": {"fullname" : "All Applications", "shortname": "All Applications"}, "WB" : {"fullname" : "Western blot", "shortname":"WB"}, "IHCP" : {"fullname" : "Immunohistochemistry (Formalin/PFA-fixed paraffin-embedded sections)", "shortname":"IHC-P"} }, "product-promise": { "all": "all", "testedAndGuaranteed": "tested", "guaranteed": "expected", "predicted": "predicted", "notRecommended": "not-recommended" } }, "values": { "Human": { "WB-species-checked": "guaranteed", "WB-species-dilution-info": "", "WB-species-notes": "", "IHCP-species-checked": "testedAndGuaranteed", "IHCP-species-dilution-info": "1/20 - 1/200", "IHCP-species-notes": "<p></p>" }, "Mouse": { "WB-species-checked": "testedAndGuaranteed", "WB-species-dilution-info": "1/500 - 1/2000", "WB-species-notes": "<p></p>", "IHCP-species-checked": "guaranteed", "IHCP-species-dilution-info": "", "IHCP-species-notes": "" }, "Orangutan": { "WB-species-checked": "predicted", "WB-species-dilution-info": "", "WB-species-notes": "", "IHCP-species-checked": "predicted", "IHCP-species-dilution-info": "", "IHCP-species-notes": "" } } }

Properties and storage information

Form
Liquid
Purification technique
Affinity purification Protein G
Purification notes
Purity >95%.
Storage buffer
pH: 7.4 Preservative: 0.03% Proclin 300 Constituents: PBS, 50% Glycerol (glycerin, glycerine)
Shipped at conditions
Blue Ice
Appropriate short-term storage duration
1-2 weeks
Appropriate short-term storage conditions
+4°C
Appropriate long-term storage conditions
-20°C
Aliquoting information
Upon delivery aliquot
Storage information
Avoid freeze / thaw cycle

Supplementary information

This supplementary information is collated from multiple sources and compiled automatically.

PBLD also known as Phenazine Biosynthesis-Like Protein Domain is a protein with an approximate mass of 40 kDa. It is expressed in various tissues including the liver and kidney. PBLD possesses structural domains that resemble those found in the phenazine biosynthesis family suggesting its involvement in redox processes. Researchers have yet to fully clarify its mechanical role but its conserved domains hint at significant enzymatic functions in cellular metabolism.
Biological function summary

The role of PBLD appears linked to modulation of oxidative stress responses and metabolic processes. PBLD is part of larger protein complexes that regulate intracellular metabolic pathways. Its involvement in these complexes enables it to impact cellular balance in response to environmental or cellular stresses. This function suggests a protective role in maintaining cellular homeostasis and potentially implicates PBLD in detoxification processes within the cell.

Pathways

PBLD participates in metabolic and oxidative stress response pathways specifically the glutathione metabolism and the pentose phosphate pathway. It interacts with other proteins involved in these processes such as NADPH-producing enzymes and components of the oxidative defense system. These interactions allow PBLD to contribute to cellular redox balance and metabolic flux connecting it to essential cellular functions.

PBLD has shown associations with liver disorders and certain metabolic syndromes. For example altered expression of PBLD may relate to hepatic steatosis in conjunction with proteins such as CYP450 enzymes affecting liver metabolism. It also exhibits potential connections to metabolic syndrome where it might influence pathways involving insulin resistance and lipid metabolism indicating its broader role in metabolic health conditions.

Product protocols

For this product, it's our understanding that no specific protocols are required. You can visit:

Publications (2)

Recent publications for all applications. Explore the full list and refine your search

Journal of translational medicine 19:469 PubMed34798872

2021

Overexpression of E3 ubiquitin ligase Cbl attenuates endothelial dysfunction in diabetes mellitus by inhibiting the JAK2/STAT4 signaling and Runx3-mediated H3K4me3.

Applications

Unspecified application

Species

Unspecified reactive species

Qingsong Jin,Liangyan Lin,Tiantian Zhao,Xiaoyan Yao,Yaqin Teng,Dongdong Zhang,Yongjun Jin,Meizi Yang

Cell cycle (Georgetown, Tex.) 19:3277-3288 PubMed33121324

2020

Long noncoding RNA MEG3 suppresses cell proliferation, migration and invasion, induces apoptosis and paclitaxel-resistance via miR-4513/PBLD axis in breast cancer cells.

Applications

Unspecified application

Species

Unspecified reactive species

Mingzhi Zhu,Fang Wang,Hailong Mi,Lin Li,Jing Wang,Mingli Han,Yuanting Gu
View all publications

Product promise

We are committed to supporting your work with high-quality reagents, and we're here for you every step of the way. In the unlikely event that one of our products does not perform as expected, you're protected by our Product Promise.
For full details, please see our Terms & Conditions

Please note: All products are 'FOR RESEARCH USE ONLY. NOT FOR USE IN DIAGNOSTIC OR THERAPEUTIC PROCEDURES'.

For licensing inquiries, please contact partnerships@abcam.com