JavaScript is disabled in your browser. Please enable JavaScript to view this website.
AB213654

Anti-PBR antibody [EPR5384] - BSA and Azide free

Be the first to review this product! Submit a review

|

(9 Publications)

Rabbit Recombinant Monoclonal PBR antibody. Carrier free. Suitable for IHC-P, IP, WB, ICC/IF, IHC-Fr, Flow Cyt (Intra) and reacts with Mouse, Human samples. Cited in 9 publications.

View Alternative Names

BZRP, MBR, TSPO, Translocator protein, Mitochondrial benzodiazepine receptor, PKBS, Peripheral-type benzodiazepine receptor, PBR

18 Images
Immunohistochemistry (Formalin/PFA-fixed paraffin-embedded sections) - Anti-PBR antibody [EPR5384] - BSA and Azide free (AB213654)
  • IHC-P

Lab

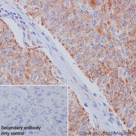
Immunohistochemistry (Formalin/PFA-fixed paraffin-embedded sections) - Anti-PBR antibody [EPR5384] - BSA and Azide free (AB213654)

This data was developed using ab109497, the same antibody clone in a different buffer formulation.

Immunohistochemical analysis of formalin fixed paraffin embedded human adrenal gland labelling PBR with ab109497 at a concentration of 0.05µg/ml. The immunostaining was performed on a Ventana DISCOVERY ULTRA (Roche Tissue Diagnostics) instrument with a OptiView DAB IHC Detection Kit. Heat mediated antigen retrieval was performed with DISCOVERY cell conditioning solution (CC1) 100°C, pH8.5 for 32mins.

ab109497 anti-PBR antibody [EPR5384] was incubated for 16mins at 37°C. Sections were counterstained with Hematoxylin II. Image inset shows absence of staining in secondary antibody only control.

Customers are encouraged to optimise antigen retrieval conditions, antibody concentration, incubation times and temperature for best results in their own IHC assay workflow (automated and manual)

Immunocytochemistry/ Immunofluorescence - Anti-PBR antibody [EPR5384] - BSA and Azide free (AB213654)
  • ICC/IF

Lab

Immunocytochemistry/ Immunofluorescence - Anti-PBR antibody [EPR5384] - BSA and Azide free (AB213654)

ab109497 staining PBR in HeLa. The cells were fixed with 100% methanol (5min), permeabilized with 0.1% Triton X-100 for 5 minutes and then blocked with 1% BSA/10% normal goat serum/0.3M glycine in 0.1% PBS-Tween for 1h. The cells were then incubated with ab109497 at 1μg/ml and ab195889 at 1/250 dilution (shown in pseudocolour red) overnight at +4°C, followed by a further incubation at room temperature for 1h with a goat secondary antibody to Rabbit IgG (Alexa Fluor® 488) (ab150081) at 2 μg/ml (shown in green). Nuclear DNA was labelled in blue with DAPI.

Image was taken with a confocal microscope (Leica-Microsystems, TCS SP8).

This data was developed using the same antibody clone in a different buffer formulation containing PBS, BSA, glycerol, and sodium azide (ab109497).

Immunocytochemistry/ Immunofluorescence - Anti-PBR antibody [EPR5384] - BSA and Azide free (AB213654)
  • ICC/IF

Lab

Immunocytochemistry/ Immunofluorescence - Anti-PBR antibody [EPR5384] - BSA and Azide free (AB213654)

Immunocytochemistry/Immunofluorescence analysis of U87-MG cells labelling PBR with purified ab109497 at 1/100. Cells were fixed with 4% paraformaldehyde and permeabilized with 0.1% Triton X-100. ab150077, an Alexa Fluor® 488-conjugated goat anti-rabbit IgG (1/500) was used as the secondary antibody. DAPI (blue) was used as the nuclear counterstain. ab7291, a mouse anti-tubulin (1/1000) and ab150120, an Alexa Fluor® 594-conjugated goat anti-mouse IgG (1/500) were also used.

Control 1 : primary antibody (1/100) and secondary antibody, ab150120, an Alexa Fluor® 594-conjugated goat anti-mouse IgG (1/500).

Control 2 : ab7291 (1/1000) and secondary antibody, ab150077, an Alexa Fluor® 488-conjugated goat anti-rabbit IgG (1/500).

This data was developed using the same antibody clone in a different buffer formulation containing PBS, BSA, glycerol, and sodium azide (ab109497).

Immunocytochemistry/ Immunofluorescence - Anti-PBR antibody [EPR5384] - BSA and Azide free (AB213654)
  • ICC/IF

Lab

Immunocytochemistry/ Immunofluorescence - Anti-PBR antibody [EPR5384] - BSA and Azide free (AB213654)

ab109497 staining PBR in wild-type HAP1 cells (top panel) and PBR knockout HAP1 cells (bottom panel). The cells were fixed with 100% methanol (5min), permeabilized with 0.1% Triton X-100 for 5 minutes and then blocked with 1% BSA/10% normal goat serum/0.3M glycine in 0.1% PBS-Tween for 1h. The cells were then incubated with ab109497 at 1μg/ml and ab195889 at 1/250 dilution (shown in pseudocolour red) overnight at +4°C, followed by a further incubation at room temperature for 1h with a goat secondary antibody to Rabbit IgG (Alexa Fluor® 488) (ab150081) at 2 μg/ml (shown in green). Nuclear DNA was labelled in blue with DAPI.

Image was taken with a confocal microscope (Leica-Microsystems, TCS SP8).

This data was developed using the same antibody clone in a different buffer formulation containing PBS, BSA, glycerol, and sodium azide (ab109497).

Flow Cytometry (Intracellular) - Anti-PBR antibody [EPR5384] - BSA and Azide free (AB213654)
  • Flow Cyt (Intra)

Unknown

Flow Cytometry (Intracellular) - Anti-PBR antibody [EPR5384] - BSA and Azide free (AB213654)

Overlay histogram showing HepG2 cells stained with unpurified ab109497 (red line). The cells were fixed with 4% paraformaldehyde (10 min) and then permeabilized with 0.1% PBS-Tween for 20 min. The cells were then incubated in 1x PBS / 10% normal goat serum / 0.3M glycine to block non-specific protein-protein interactions. The cells were then incubated with the antibody (unpurified ab109497, 1/50 dilution) for 30 min at 22°C. The secondary antibody used was DyLight® 488 goat anti-rabbit IgG (H+L) (ab96899) at 1/500 dilution for 30 min at 22°C. Isotype control antibody (black line) was rabbit IgG (monoclonal) (1μg/1x106 cells) used under the same conditions. Acquisition of >5,000 events was performed.

This data was developed using the same antibody clone in a different buffer formulation containing PBS, BSA, glycerol, and sodium azide (ab109497).

Immunohistochemistry (Formalin/PFA-fixed paraffin-embedded sections) - Anti-PBR antibody [EPR5384] - BSA and Azide free (AB213654)
  • IHC-P

Lab

Immunohistochemistry (Formalin/PFA-fixed paraffin-embedded sections) - Anti-PBR antibody [EPR5384] - BSA and Azide free (AB213654)

Immunohistochemistry (Formalin/PFA-fixed paraffin-embedded sections) analysis of human bladder carcinoma tissue labelling PBR with purified ab109497 at 1/100. Heat mediated antigen retrieval was performed using Tris/EDTA buffer pH 9. ab97051, a HRP-conjugated goat anti-rabbit IgG (H+L) was used as the secondary antibody (1/500). Negative control using PBS instead of primary antibody. Counterstained with hematoxylin.

This data was developed using the same antibody clone in a different buffer formulation containing PBS, BSA, glycerol, and sodium azide (ab109497).

Flow Cytometry (Intracellular) - Anti-PBR antibody [EPR5384] - BSA and Azide free (AB213654)
  • Flow Cyt (Intra)

Lab

Flow Cytometry (Intracellular) - Anti-PBR antibody [EPR5384] - BSA and Azide free (AB213654)

Intracellular Flow Cytometry analysis of U87-MG cells labelling PBR with purified ab109497 at 1/150 (red). Cells were fixed with 2% paraformaldehyde. A FITC-conjugated goat anti-rabbit IgG (1/150) was used as the secondary antibody. Black - Isotype control, rabbit monoclonal IgG. Blue - Unlabelled control, cells without incubation with primary and secondary antibodies.

This data was developed using the same antibody clone in a different buffer formulation containing PBS, BSA, glycerol, and sodium azide (ab109497).

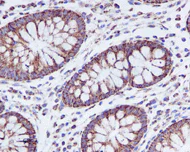
Immunohistochemistry (Formalin/PFA-fixed paraffin-embedded sections) - Anti-PBR antibody [EPR5384] - BSA and Azide free (AB213654)
  • IHC-P

Unknown

Immunohistochemistry (Formalin/PFA-fixed paraffin-embedded sections) - Anti-PBR antibody [EPR5384] - BSA and Azide free (AB213654)

Immunohistochemistry (Formalin/PFA-fixed paraffin-embedded sections) analysis of human colon tissue labelling PBR with unpurified ab109497 at a dilution of 1/100.

This data was developed using the same antibody clone in a different buffer formulation containing PBS, BSA, glycerol, and sodium azide (ab109497).

Perform heat mediated antigen retrieval before commencing with IHC staining protocol.

Immunoprecipitation - Anti-PBR antibody [EPR5384] - BSA and Azide free (AB213654)
  • IP

Lab

Immunoprecipitation - Anti-PBR antibody [EPR5384] - BSA and Azide free (AB213654)

ab109497 (purified) at 1/60 immunoprecipitating PBR in A431 whole cell lysate.

Lane 1 (input) : A431 whole cell lysate (10μg)

Lane 2 (+) : ab109497 + A431 whole cell lysate (10μg).

Lane 3 (-) : Rabbit monoclonal IgG (ab172730) instead of ab109497 in A431 whole cell lysate.

For western blotting, VeriBlot for IP Detection Reagent (HRP) (ab131366), was used for detection at 1/1500 dilution.

Blocking buffer and concentration : 5% NFDM/TBST.

Diluting buffer and concentration : 5% NFDM /TBST.

This data was developed using the same antibody clone in a different buffer formulation containing PBS, BSA, glycerol, and sodium azide (ab109497).

All lanes:

Immunoprecipitation - Anti-PBR antibody [EPR5384] (<a href='/en-us/products/primary-antibodies/pbr-antibody-epr5384-ab109497'>ab109497</a>)

Predicted band size: 19 kDa

Observed band size: 19 kDa

false

Immunoprecipitation - Anti-PBR antibody [EPR5384] - BSA and Azide free (AB213654)
  • IP

Lab

Immunoprecipitation - Anti-PBR antibody [EPR5384] - BSA and Azide free (AB213654)

ab109497 (purified) at 1/60 immunoprecipitating PBR in U87-MG whole cell lysate.

Lane 1 (input) : U87-MG whole cell lysate (10μg)

Lane 2 (+) : ab109497 + U87-MG whole cell lysate (10μg).

Lane 3 (-) : Rabbit monoclonal IgG (ab172730) instead of ab109497 in U87-MG whole cell lysate.

For western blotting, VeriBlot for IP Detection Reagent (HRP) (ab131366), was used for detection at 1/1500 dilution.

Blocking buffer and concentration : 5% NFDM/TBST.

Diluting buffer and concentration : 5% NFDM /TBST.

This data was developed using the same antibody clone in a different buffer formulation containing PBS, BSA, glycerol, and sodium azide (ab109497).

All lanes:

Immunoprecipitation - Anti-PBR antibody [EPR5384] (<a href='/en-us/products/primary-antibodies/pbr-antibody-epr5384-ab109497'>ab109497</a>)

Predicted band size: 19 kDa

Observed band size: 19 kDa

false

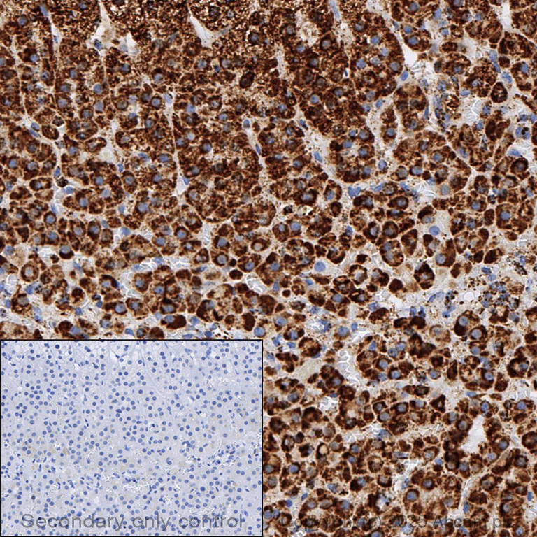
Immunohistochemistry (Formalin/PFA-fixed paraffin-embedded sections) - Anti-PBR antibody [EPR5384] - BSA and Azide free (AB213654)
  • IHC-P

Lab

Immunohistochemistry (Formalin/PFA-fixed paraffin-embedded sections) - Anti-PBR antibody [EPR5384] - BSA and Azide free (AB213654)

Immunohistochemistry (formalin/PFA-fixed paraffin-embedded sections) analysis of mouse hypothalamus tissue labelling PBR with ab109497 at 1/1000 dilution (1.03 mg/ml). Heat mediated antigen retrieval was performed using Tris/EDTA buffer, pH 9.0 (ab93684). A goat anti-rabbit IgG (H+L) (HRP) was used as the secondary antibody (concentration : ready to use). A secondary-antibody-only control was also performed. Counterstained with hematoxylin.

Positive staining was observed on ependymal cells and endothelial cells in mouse hypothalamus.

This data was developed using the same antibody clone in a different buffer formulation containing PBS, BSA, glycerol, and sodium azide (ab109497).

Immunohistochemistry (Frozen sections) - Anti-PBR antibody [EPR5384] - BSA and Azide free (AB213654)
  • IHC-Fr

Unknown

Immunohistochemistry (Frozen sections) - Anti-PBR antibody [EPR5384] - BSA and Azide free (AB213654)

Immunohistochemistry (Frozen sections) analysis of mouse kidney tissue sections labeling PBR with Purified ab109497 at 1/250 (3.8 μg/ml).Heat mediated antigen retrieval using sodium citrate buffer (10mM citrate pH 6.0 + 0.05% Tween-20). Goat anti rabbit IgG (Alexa Fluor® 488, ab150077) was used as the secondary antibody. Negative control : PBS instead of the primary antibody. DAPI was used as a counterstain.

This data was developed using the same antibody clone in a different buffer formulation containing PBS, BSA, glycerol, and sodium azide (ab109497).

Immunohistochemistry (Frozen sections) - Anti-PBR antibody [EPR5384] - BSA and Azide free (AB213654)
  • IHC-Fr

Unknown

Immunohistochemistry (Frozen sections) - Anti-PBR antibody [EPR5384] - BSA and Azide free (AB213654)

Immunohistochemistry (Frozen sections) analysis of mouse adrenal gland tissue sections labeling PBR with Purified ab109497 at 1/250 (3.8 μg/ml).Heat mediated antigen retrieval using sodium citrate buffer (10mM citrate pH 6.0 + 0.05% Tween-20). Goat anti rabbit IgG (Alexa Fluor® 488, ab150077) was used as the secondary antibody. Negative control : PBS instead of the primary antibody. DAPI was used as a counterstain.

This data was developed using the same antibody clone in a different buffer formulation containing PBS, BSA, glycerol, and sodium azide (ab109497).

Immunocytochemistry/ Immunofluorescence - Anti-PBR antibody [EPR5384] - BSA and Azide free (AB213654)
  • ICC/IF

PubMed

Immunocytochemistry/ Immunofluorescence - Anti-PBR antibody [EPR5384] - BSA and Azide free (AB213654)

TSPO (PBR) expression is localized to the mitochondria

(A) Panel shows confocal images of TSPO (red), VDAC1 (green) and nuclear counterstain (blue) in MA-10 Leydig cells. (B) Negative control panel. Colocalization of TSPO to the mitochondrial protein VDAC1 validates the specific localization of TSPO. Scale bar 20 µm.

Cells were fixed with 4% formaldehyde and permeabilized using 0.1% Triton X-100. Cells were then blocked using 5% normal goat serum and incubated with ab109497 at 1/200 dilution.

Note : TSPO and PBR are alternative names for the same target.

This data was developed using the same antibody clone in a different buffer formulation containing PBS, BSA, glycerol, and sodium azide (ab109497).

Morohaku, K. et al Send to PLoS One. 2013 Sep 5;8(9):e74509. doi: 10.1371/journal.pone.0074509. eCollection 2013 Reproduced under the Creative Commons license http://creativecommons.org/licenses/by/4.0/

Immunohistochemistry (Formalin/PFA-fixed paraffin-embedded sections) - Anti-PBR antibody [EPR5384] - BSA and Azide free (AB213654)
  • IHC-P

PubMed

Immunohistochemistry (Formalin/PFA-fixed paraffin-embedded sections) - Anti-PBR antibody [EPR5384] - BSA and Azide free (AB213654)

TSPO (PBR) expression was abolished in global KO mice without pathological changes

TSPO expression in different tissues from WT and KO mice was detected by western blotting (A) and IHC (B). Scale Bars, 100μm.

4% PFA-fixed tissue sections were blocked with 5% goat serum and incubated overnight at 4°C with ab109497 at 1/1500 dilution. DAB staining.

Note : TSPO and PBR are alternative names for the same target.

(Adapted from Figure 3 of Wang et al)

This data was developed using the same antibody clone in a different buffer formulation containing PBS, BSA, glycerol, and sodium azide (ab109497).

Perform heat mediated antigen retrieval before commencing with IHC staining protocol.

Wang, H. et al PLoS One. 2016 Dec 1;11(12):e0167307. doi: 10.1371/journal.pone.0167307. eCollection 2016 Reproduced under the Creative Commons license http://creativecommons.org/licenses/by/4.0/

Western blot - Anti-PBR antibody [EPR5384] - BSA and Azide free (AB213654)
  • WB

Lab

Western blot - Anti-PBR antibody [EPR5384] - BSA and Azide free (AB213654)

This data was developed using the same antibody clone in a different buffer formulation (ab109497).

Lanes 1- 2 : Merged signal (red and green). Green - ab109497 observed at 17 kDa. Red - Anti-GAPDH antibody [6C5] - Loading Control (ab8245) observed at 37 kDa.

ab109497 was shown to react with PBR in wild-type HCT116 cells in western blot. Loss of signal was observed when knockout cell line ab266878 (knockout cell lysate ab257067) was used. Wild-type HCT116 and TSPO knockout HCT116 cell lysates were subjected to SDS-PAGE. Membrane was blocked for 1 hour at room temperature in 0.1% TBST with 3% non-fat dried milk. ab109497 and Anti-GAPDH antibody [6C5] - Loading Control (ab8245) overnight at 4°C at a 1 in 1000 dilution and a 1 in 20000 dilution respectively. Blots were developed with Goat anti-Rabbit IgG H&L (IRDye®800CW) preadsorbed (ab216773) and Goat anti-Mouse IgG H&L (IRDye®680RD) preadsorbed (ab216776) secondary antibodies at 1 in 20000 dilution for 1 hour at room temperature before imaging.

All lanes:

Western blot - Anti-PBR antibody [EPR5384] (<a href='/en-us/products/primary-antibodies/pbr-antibody-epr5384-ab109497'>ab109497</a>) at 1/1000 dilution

Lane 1:

Wild-type HCT116 cell lysate at 20 µg

Lane 2:

Western blot - Human TSPO (PBR) knockout HCT116 cell lysate (<a href='/en-us/products/cell-lysates/human-tspo-pbr-knockout-hct116-cell-lysate-ab257067'>ab257067</a>) at 20 µg

Predicted band size: 19 kDa

Observed band size: 17 kDa

false

Western blot - Anti-PBR antibody [EPR5384] - BSA and Azide free (AB213654)
  • WB

Lab

Western blot - Anti-PBR antibody [EPR5384] - BSA and Azide free (AB213654)

This data was produced with ab109497, the same antibody in a diffrent forulation with BSA and Azide.

Lanes 1 - 4 : Merged signal (red and green). Green - ab109497 observed at 15 kDa. Red - loading control, ab8245, observed at 37 kDa.

ab109497 was shown to specifically react with PBR in wild type HAP1 cells. No band was observed when PBR knockout samples were used. Wild-type and PBR knockout samples were subjected to SDS-PAGE. ab109497 and ab8245 (loading control to GAPDH) were diluted at 1/10000 and 1/10000 dilution respectively and incubated overnight at 4C. Blots were developed with Goat anti-Rabbit IgG H&L (IRDye® 800CW) preadsorbed (ab216773) and Goat anti-Mouse IgG H&L (IRDye® 680RD) preadsorbed (ab216776) secondary antibodies at 1/10000 dilution for 1 hour at room temperature before imaging.

All lanes:

Western blot - Anti-PBR antibody [EPR5384] (<a href='/en-us/products/primary-antibodies/pbr-antibody-epr5384-ab109497'>ab109497</a>) at 1/10000 dilution

Lane 1:

Wild-type HAP1 cell lysate at 20 µg

Lane 2:

PBR knockout HAP1 cell lysate at 20 µg

Lane 3:

HEK293 cell lysate at 20 µg

Lane 4:

A431 cell lysate at 20 µg

Predicted band size: 19 kDa

false

Western blot - Anti-PBR antibody [EPR5384] - BSA and Azide free (AB213654)
  • WB

Lab

Western blot - Anti-PBR antibody [EPR5384] - BSA and Azide free (AB213654)

This data was developed using the same antibody clone in a different buffer formulation (ab109497).

Lanes 1- 2 : Merged signal (red and green). Green - ab109497 observed at 15 kDa. Red - Anti-GAPDH antibody [6C5] - Loading Control (ab8245) observed at 37 kDa.

ab109497 was shown to react with PBR in wild-type HeLa cells in western blot. Loss of signal was observed when knockout cell line ab264942 (knockout cell lysate ab257066) was used. Wild-type HeLa and TSPO knockout HeLa cell lysates were subjected to SDS-PAGE. Membrane was blocked for 1 hour at room temperature in 0.1% TBST with 3% non-fat dried milk. ab109497 and Anti-GAPDH antibody [6C5] - Loading Control (ab8245) overnight at 4°C at a 1 in 1000 dilution and a 1 in 20000 dilution respectively. Blots were developed with Goat anti-Rabbit IgG H&L (IRDye®800CW) preadsorbed (ab216773) and Goat anti-Mouse IgG H&L (IRDye®680RD) preadsorbed (ab216776) secondary antibodies at 1 in 20000 dilution for 1 hour at room temperature before imaging.

All lanes:

Western blot - Anti-PBR antibody [EPR5384] (<a href='/en-us/products/primary-antibodies/pbr-antibody-epr5384-ab109497'>ab109497</a>) at 1/1000 dilution

Lane 1:

Wild-type HeLa cell lysate at 20 µg

Lane 2:

Western blot - Human TSPO (PBR) knockout HeLa cell lysate (<a href='/en-us/products/cell-lysates/human-tspo-pbr-knockout-hela-cell-lysate-ab257066'>ab257066</a>) at 20 µg

Predicted band size: 19 kDa

Observed band size: 17 kDa

false

Key facts

Host species

Rabbit

Clonality

Monoclonal

Clone number

EPR5384

Isotype

IgG

Carrier free

Yes

Reacts with

Mouse, Human

Applications

IP, IHC-Fr, WB, ICC/IF, IHC-P, Flow Cyt (Intra)

applications

Immunogen

The exact immunogen used to generate this antibody is proprietary information.

Specificity

IHC results on rat tissues (such as liver and kidney) showed weak cytoplasmic and nuclear staining. However, other customer feedback suggests that this antibody works well in rat. Due to the inconclusive nature of these results, we do not currently guarantee this antibody in rat. Please contact our Scientific support team for more information.

Reactivity data

{ "title": "Reactivity Data", "filters": { "stats": ["", "Species", "Dilution Info", "Notes"], "tabs": { "all-applications": {"fullname" : "All Applications", "shortname": "All Applications"}, "IHCP" : {"fullname" : "Immunohistochemistry (Formalin/PFA-fixed paraffin-embedded sections)", "shortname":"IHC-P"}, "IP" : {"fullname" : "Immunoprecipitation", "shortname":"IP"}, "WB" : {"fullname" : "Western blot", "shortname":"WB"}, "ICCIF" : {"fullname" : "Immunocytochemistry/ Immunofluorescence", "shortname":"ICC/IF"}, "IHCFr" : {"fullname" : "Immunohistochemistry (Frozen sections)", "shortname":"IHC-Fr"}, "FlowCytIntra" : {"fullname" : "Flow Cytometry (Intracellular)", "shortname":"Flow Cyt (Intra)"} }, "product-promise": { "all": "all", "testedAndGuaranteed": "tested", "guaranteed": "expected", "predicted": "predicted", "notRecommended": "not-recommended" } }, "values": { "Human": { "IHCP-species-checked": "guaranteed", "IHCP-species-dilution-info": "", "IHCP-species-notes": "", "IP-species-checked": "testedAndGuaranteed", "IP-species-dilution-info": "", "IP-species-notes": "<p></p>", "WB-species-checked": "testedAndGuaranteed", "WB-species-dilution-info": "", "WB-species-notes": "<p></p>", "ICCIF-species-checked": "testedAndGuaranteed", "ICCIF-species-dilution-info": "", "ICCIF-species-notes": "<p></p>", "IHCFr-species-checked": "guaranteed", "IHCFr-species-dilution-info": "", "IHCFr-species-notes": "", "FlowCytIntra-species-checked": "testedAndGuaranteed", "FlowCytIntra-species-dilution-info": "", "FlowCytIntra-species-notes": "<p><a href='/en-us/products/primary-antibodies/rabbit-igg-monoclonal-epr25a-isotype-control-low-endotoxin-azide-free-ab199376'>ab199376</a> - Rabbit monoclonal IgG, is suitable for use as an isotype control with this antibody.</p>" }, "Mouse": { "IHCP-species-checked": "testedAndGuaranteed", "IHCP-species-dilution-info": "", "IHCP-species-notes": "<p></p>", "IP-species-checked": "guaranteed", "IP-species-dilution-info": "", "IP-species-notes": "", "WB-species-checked": "guaranteed", "WB-species-dilution-info": "", "WB-species-notes": "", "ICCIF-species-checked": "guaranteed", "ICCIF-species-dilution-info": "", "ICCIF-species-notes": "", "IHCFr-species-checked": "testedAndGuaranteed", "IHCFr-species-dilution-info": "", "IHCFr-species-notes": "<p>Heat mediated antigen retrieval using sodium citrate buffer (10mM citrate pH 6.0 + 0.05% Tween-20).</p>", "FlowCytIntra-species-checked": "guaranteed", "FlowCytIntra-species-dilution-info": "", "FlowCytIntra-species-notes": "" } } }

Product details

ab213654 is the carrier-free version of ab109497.

Patented technology
Our RabMAb® technology is a patented hybridoma-based technology for making rabbit monoclonal antibodies. For details on our patents, please refer to RabMAb® patents.

What are the advantages of a recombinant monoclonal antibody?
This product is a recombinant monoclonal antibody, which offers several advantages including:

  • - High batch-to-batch consistency and reproducibility
  • - Improved sensitivity and specificity
  • - Long-term security of supply
  • - Animal-free batch production

For more information, read more on recombinant antibodies.

Species reactivity
Rat: We have preliminary internal testing data to indicate this antibody may not react with this species.
Please contact us for more information.

Conjugation ready
Our carrier-free antibodies are typically supplied in a PBS-only formulation, purified and free of BSA, sodium azide and glycerol. This conjugation-ready format is designed for use with fluorochromes, metal isotopes, oligonucleotides, and enzymes, which makes them ideal for antibody labelling, functional and cell-based assays, flow-based assays (e.g. mass cytometry) and Multiplex Imaging applications.

Use our conjugation kits for antibody conjugates that are ready-to-use in as little as 20 minutes with 1 minute hands-on-time and 100% antibody recovery: available for fluorescent dyes, HRP, biotin and gold.

Compatibility
This product is compatible with the Maxpar® Antibody Labeling Kit from Fluidigm, without the need for antibody preparation. Maxpar® is a trademark of Fluidigm Canada Inc.

Properties and storage information

Form
Liquid
Purification technique
Affinity purification Protein A
Storage buffer
pH: 7.2 - 7.4 Constituents: PBS
Shipped at conditions
Blue Ice
Appropriate short-term storage conditions
+4°C
Appropriate long-term storage conditions
+4°C
Storage information
Do Not Freeze

Supplementary information

This supplementary information is collated from multiple sources and compiled automatically.

PBR also known as the Peripheral Benzodiazepine Receptor is a protein predominantly found in the outer mitochondrial membrane. It has alternate names like Translocator Protein (TSPO) and the mass of this protein is approximately 18 kDa. PBR is expressed in various tissues but shows high levels in steroidogenic tissues like adrenal glands as well as in the brain heart liver and kidneys. The abundant presence in these tissues highlights its importance in a variety of physiological functions.
Biological function summary

PBR interacts with cholesterol for the synthesis of steroid hormones making it important for steroidogenesis. PBR is a part of the Mitochondrial Permeability Transition Pore complex (MPTP) involved in regulating the transport of molecules across the mitochondrial membrane. Through its association with the MPTP PBR plays a significant role in mitochondrial functions such as apoptosis and energy metabolism. The interaction with other molecules also includes the binding with benzodiazepines impacting processes like immune response and cell proliferation.

Pathways

PBR plays a role in the steroid biosynthesis and apoptosis pathways. It interfaces with the StAR (Steroidogenic Acute Regulatory) protein to facilitate cholesterol transport into mitochondria the initial step in steroid hormone production. PBR is also involved in pathways that regulate apoptosis and mitochondrial function linking it to different cellular processes through interactions with proteins like VDAC (Voltage-Dependent Anion Channel).

PBR has relevance to conditions such as neurodegenerative diseases and cancer. PBR expression changes in disorders like Alzheimer's disease where it might reflect mitochondrial dysfunctions. It has also been associated with certain cancers where aberrant PBR activity might contribute to altered cell proliferation and apoptosis. Proteins like caspases are involved in the apoptotic pathways connected with PBR highlighting its involvement in disease processes.

Product protocols

For this product, it's our understanding that no specific protocols are required. You can visit:

Target data

Can bind protoporphyrin IX and may play a role in the transport of porphyrins and heme (By similarity). Promotes the transport of cholesterol across mitochondrial membranes and may play a role in lipid metabolism (PubMed : 24814875), but its precise physiological role is controversial. It is apparently not required for steroid hormone biosynthesis. Was initially identified as peripheral-type benzodiazepine receptor; can also bind isoquinoline carboxamides (PubMed : 1847678).
See full target information TSPO

Publications (9)

Recent publications for all applications. Explore the full list and refine your search

Brain structure & function 221:1279-90 PubMed25601153

2015

Acute neuroinflammation in a clinically relevant focal cortical ischemic stroke model in rat: longitudinal positron emission tomography and immunofluorescent tracking.

Applications

Unspecified application

Species

Unspecified reactive species

Miklós Tóth,Philip Little,Fabian Arnberg,Jenny Häggkvist,Jan Mulder,Christer Halldin,Balázs Gulyás,Staffan Holmin

Nature communications 5:5452 PubMed25406832

2014

Positron emission tomography and functional characterization of a complete PBR/TSPO knockout.

Applications

Unspecified application

Species

Unspecified reactive species

Richard B Banati,Ryan J Middleton,Ronald Chan,Claire R Hatty,Winnie Wai-Ying Kam,Candice Quin,Manuel B Graeber,Arvind Parmar,David Zahra,Paul Callaghan,Sandra Fok,Nicholas R Howell,Marie Gregoire,Alexander Szabo,Tien Pham,Emma Davis,Guo-Jun Liu

The Journal of biological chemistry 289:27444-54 PubMed24936060

2014

Peripheral benzodiazepine receptor/translocator protein global knock-out mice are viable with no effects on steroid hormone biosynthesis.

Applications

Unspecified application

Species

Unspecified reactive species

Lan N Tu,Kanako Morohaku,Pulak R Manna,Susanne H Pelton,W Ronald Butler,Douglas M Stocco,Vimal Selvaraj

Adipocyte 3:215-20 PubMed25068089

2014

Regulation of S100B in white adipose tissue by obesity in mice.

Applications

Unspecified application

Species

Unspecified reactive species

Laura B Buckman,Emily K Anderson-Baucum,Alyssa H Hasty,Kate Lj Ellacott

The Journal of neuroscience : the official journal of the Society for Neuroscience 34:3793-806 PubMed24599476

2014

Macroglia-microglia interactions via TSPO signaling regulates microglial activation in the mouse retina.

Applications

Unspecified application

Species

Unspecified reactive species

Minhua Wang,Xu Wang,Lian Zhao,Wenxin Ma,Ignacio R Rodriguez,Robert N Fariss,Wai T Wong

Journal of neuroinflammation 11:3 PubMed24397957

2014

Translocator protein (18 kDa) (TSPO) is expressed in reactive retinal microglia and modulates microglial inflammation and phagocytosis.

Applications

Unspecified application

Species

Unspecified reactive species

Marcus Karlstetter,Caroline Nothdurfter,Alexander Aslanidis,Katharina Moeller,Felicitas Horn,Rebecca Scholz,Harald Neumann,Bernhard H F Weber,Rainer Rupprecht,Thomas Langmann

PloS one 8:e79980 PubMed24260329

2013

Translocator protein 18 kDa (TSPO) is regulated in white and brown adipose tissue by obesity.

Applications

Unspecified application

Species

Unspecified reactive species

Misty M Thompson,H Charles Manning,Kate L J Ellacott

PloS one 8:e74509 PubMed24040265

2013

Developmental expression of translocator protein/peripheral benzodiazepine receptor in reproductive tissues.

Applications

Unspecified application

Species

Unspecified reactive species

Kanako Morohaku,Newton S Phuong,Vimal Selvaraj

Cell death and differentiation 20:686-97 PubMed23348567

2013

IF1 limits the apoptotic-signalling cascade by preventing mitochondrial remodelling.

Applications

Unspecified application

Species

Unspecified reactive species

D Faccenda,C H Tan,A Seraphim,M R Duchen,M Campanella
View all publications

Product promise

We are committed to supporting your work with high-quality reagents, and we're here for you every step of the way. In the unlikely event that one of our products does not perform as expected, you're protected by our Product Promise.
For full details, please see our Terms & Conditions

Please note: All products are 'FOR RESEARCH USE ONLY. NOT FOR USE IN DIAGNOSTIC OR THERAPEUTIC PROCEDURES'.

For licensing inquiries, please contact partnerships@abcam.com