JavaScript is disabled in your browser. Please enable JavaScript to view this website.
AB243876

Anti-PBRM1/BAF180 antibody [BL-39-2C3]

Be the first to review this product! Submit a review

|

(3 Publications)

Rabbit Recombinant Monoclonal PBRM1/BAF180 antibody. Suitable for IHC-P, ICC, IP, WB, Flow Cyt and reacts with Human, Mouse samples. Cited in 3 publications. Immunogen corresponding to Recombinant Fragment Protein within Human PBRM1 aa 1-300.

View Alternative Names

BAF180, PB1, PBRM1, Protein polybromo-1, hPB1, BRG1-associated factor 180, Polybromo-1D

8 Images
Flow Cytometry - Anti-PBRM1/BAF180 antibody [BL-39-2C3] (AB243876)
  • Flow Cyt

Supplier Data

Flow Cytometry - Anti-PBRM1/BAF180 antibody [BL-39-2C3] (AB243876)

Flow cytometry overlay histogram of 4% formaldehyde fixed Jurkat cells permeabilized with 90% methanol labeling human PBRM1 with ab243876 at 1 µl per 1 x 10^6 cells. (shaded) compared with a Isotype control (unshaded). Secondary antibody details : Goat Anti-Rabbit IgG H&L (DyLight® 488) (ab96883).

Immunohistochemistry (Formalin/PFA-fixed paraffin-embedded sections) - Anti-PBRM1/BAF180 antibody [BL-39-2C3] (AB243876)
  • IHC-P

Supplier Data

Immunohistochemistry (Formalin/PFA-fixed paraffin-embedded sections) - Anti-PBRM1/BAF180 antibody [BL-39-2C3] (AB243876)

Formalin-fixed, paraffin-embedded human Breast tissue stained for PBRM1/BAF180 using ab243876 in immunohistochemical analysis. A HRP-conjugated goat anti-rabbit IgG was used as the secondary. Opal™ staining and DAPI counterstain.

Immunohistochemistry (Formalin/PFA-fixed paraffin-embedded sections) - Anti-PBRM1/BAF180 antibody [BL-39-2C3] (AB243876)
  • IHC-P

Supplier Data

Immunohistochemistry (Formalin/PFA-fixed paraffin-embedded sections) - Anti-PBRM1/BAF180 antibody [BL-39-2C3] (AB243876)

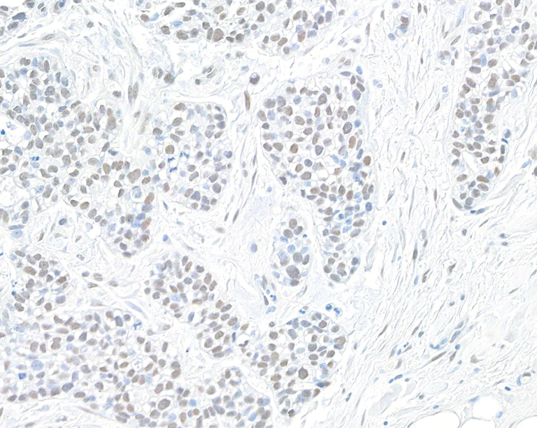
Immunohistochemical analysis of Formalin-Fixed Paraffin-Embedded human breast carcinoma labeling human PBRM1 with ab243876, followed by a HRP-conjugated goat anti-rabbit IgG as secondary. Substrate : DAB. Nuclear staining on breast carcinoma is observed. Counter stained with hematoxylin. Epitope retrieval with citrate buffer pH 6.0 for 20 minutes is recommended.

Immunocytochemistry - Anti-PBRM1/BAF180 antibody [BL-39-2C3] (AB243876)
  • ICC

Supplier Data

Immunocytochemistry - Anti-PBRM1/BAF180 antibody [BL-39-2C3] (AB243876)

Immunocytochemical analysis of Formalin-Fixed Paraffin-Embedded MCF7 cells labeling human PBRM1 with ab243876 followed by a HRP-conjugated goat anti-rabbit IgG as secondary. Substrate : DAB. Nuclear staining on MCF7 cells is observed. Counter stained with hematoxylin. Epitope retrieval with citrate buffer pH 6.0 for 20 minutes is recommended.

Immunoprecipitation - Anti-PBRM1/BAF180 antibody [BL-39-2C3] (AB243876)
  • IP

Supplier Data

Immunoprecipitation - Anti-PBRM1/BAF180 antibody [BL-39-2C3] (AB243876)

PBRM1/BAF180 was immunoprecipitated from 1 mg HEK-293T whole cell lysate with ab243876 at 20 μl per reaction Western blot was performed on the immunoprecipitate using ab243876 at 1/1000 dilution. Lysates prepared using NETN lysis buffer.

Detection : Chemiluminesence

Lane 1 : ab243876 IP in HEK-293T whole cell lysate.

Lane 2 : Contol IgG in HEK-293T whole cell lysate.

All lanes:

Immunoprecipitation - Anti-PBRM1/BAF180 antibody [BL-39-2C3] (ab243876)

Predicted band size: 193 kDa

false

Exposure time: 10s

Western blot - Anti-PBRM1/BAF180 antibody [BL-39-2C3] (AB243876)
  • WB

Supplier Data

Western blot - Anti-PBRM1/BAF180 antibody [BL-39-2C3] (AB243876)

Detection : Chemiluminescence

All lanes:

Western blot - Anti-PBRM1/BAF180 antibody [BL-39-2C3] (ab243876) at 1/1000 dilution

Lane 1:

HeLa (Human epithelial cell line from cervix adenocarcinoma) whole cell lysate at 50 µg

Lane 2:

HEK-293T (Human epithelial cell line from embryonic kidney transformed with large T antigen) whole cell lysate at 50 µg

Lane 3:

MCF7 (Human breast adenocarcinoma cell line) whole cell lysate at 50 µg

Lane 4:

HepG2 (Human liver hepatocellular carcinoma cell line) whole cell lysate at 50 µg

Lane 5:

A549 (Human lung carcinoma cell line) whole cell lysate at 50 µg

Lane 6:

SW620 at 50 µg

Lane 7:

SK-MEL-28 at 50 µg

Lane 8:

Jurkat (Human T cell leukemia cell line from peripheral blood) whole cell lysate at 50 µg

Secondary

All lanes:

HRP-conjugated goat anti-rabbit IgG

Predicted band size: 193 kDa

false

Exposure time: 10s

Western blot - Anti-PBRM1/BAF180 antibody [BL-39-2C3] (AB243876)
  • WB

Supplier Data

Western blot - Anti-PBRM1/BAF180 antibody [BL-39-2C3] (AB243876)

All lanes:

Western blot - Anti-PBRM1/BAF180 antibody [BL-39-2C3] (ab243876) at 1/1000 dilution

Lane 1:

BW5147.3 whole cell lysate at 50 µg

Lane 2:

EL4 whole cell lysate at 50 µg

Lane 3:

mIMCD-3 whole cell lysate at 50 µg

Lane 4:

RenCa whole cell lysate at 50 µg

Lane 5:

NIH 3T3 whole cell lysate at 50 µg

Lane 6:

TCMK-1 whole cell lysate at 50 µg

Lane 7:

C2C12 whole cell lysate at 50 µg

Lane 8:

A20 whole cell lysate at 50 µg

Lane 9:

Ba/F3 whole cell lysate at 50 µg

Lane 10:

CH27 whole cell lysate at 50 µg

Secondary

All lanes:

Western blot - Goat Anti-Rabbit IgG H&L (HRP) (<a href='/en-us/products/secondary-antibodies/goat-rabbit-igg-h-l-hrp-ab97051'>ab97051</a>)

Predicted band size: 187 kDa

Observed band size: 200 kDa

true

Exposure time: 30s

Western blot - Anti-PBRM1/BAF180 antibody [BL-39-2C3] (AB243876)
  • WB

Supplier Data

Western blot - Anti-PBRM1/BAF180 antibody [BL-39-2C3] (AB243876)

Lane 1:

Western blot - Anti-PBRM1/BAF180 antibody [BL-39-2C3] (ab243876) at 1/10 dilution

Lane 2:

Western blot - Anti-PBRM1/BAF180 antibody [BL-39-2C3] (ab243876) at 1/50 dilution

Lane 3:

Western blot - Anti-PBRM1/BAF180 antibody [BL-39-2C3] (ab243876) at 1/250 dilution

All lanes:

NIH 3T3 whole cell lysate at 0.08 mg/mL

Predicted band size: 187 kDa

Observed band size: 200 kDa

true

  • Unconjugated

    Anti-PBRM1/BAF180 antibody [BL-39-2C3] - BSA free

Key facts

Host species

Rabbit

Clonality

Monoclonal

Clone number

BL-39-2C3

Isotype

IgG

Carrier free

No

Reacts with

Mouse, Human

Applications

ICC, IP, Flow Cyt, IHC-P, WB

applications

Immunogen

Recombinant Fragment Protein within Human PBRM1 aa 1-300. The exact immunogen used to generate this antibody is proprietary information.

Q86U86

Reactivity data

{ "title": "Reactivity Data", "filters": { "stats": ["", "Species", "Dilution Info", "Notes"], "tabs": { "all-applications": {"fullname" : "All Applications", "shortname": "All Applications"}, "IHCP" : {"fullname" : "Immunohistochemistry (Formalin/PFA-fixed paraffin-embedded sections)", "shortname":"IHC-P"}, "ICC" : {"fullname" : "Immunocytochemistry", "shortname":"ICC"}, "IP" : {"fullname" : "Immunoprecipitation", "shortname":"IP"}, "WB" : {"fullname" : "Western blot", "shortname":"WB"}, "FlowCyt" : {"fullname" : "Flow Cytometry", "shortname":"Flow Cyt"} }, "product-promise": { "all": "all", "testedAndGuaranteed": "tested", "guaranteed": "expected", "predicted": "predicted", "notRecommended": "not-recommended" } }, "values": { "Human": { "IHCP-species-checked": "testedAndGuaranteed", "IHCP-species-dilution-info": "1/100 - 1/500", "IHCP-species-notes": "<p></p> Perform heat-mediated antigen retrieval with citrate buffer pH 6 before commencing with IHC staining protocol.", "ICC-species-checked": "testedAndGuaranteed", "ICC-species-dilution-info": "1/100 - 1/500", "ICC-species-notes": "<p></p>", "IP-species-checked": "testedAndGuaranteed", "IP-species-dilution-info": "", "IP-species-notes": "<p>Use 20μl/mg lysate.</p>", "WB-species-checked": "testedAndGuaranteed", "WB-species-dilution-info": "1/1000", "WB-species-notes": "<p></p>", "FlowCyt-species-checked": "testedAndGuaranteed", "FlowCyt-species-dilution-info": "1 µL for 10^6 Cells", "FlowCyt-species-notes": "<p></p>" }, "Mouse": { "IHCP-species-checked": "guaranteed", "IHCP-species-dilution-info": "", "IHCP-species-notes": "", "ICC-species-checked": "guaranteed", "ICC-species-dilution-info": "", "ICC-species-notes": "", "IP-species-checked": "guaranteed", "IP-species-dilution-info": "", "IP-species-notes": "", "WB-species-checked": "testedAndGuaranteed", "WB-species-dilution-info": "1/1000", "WB-species-notes": "<p></p>", "FlowCyt-species-checked": "guaranteed", "FlowCyt-species-dilution-info": "", "FlowCyt-species-notes": "" } } }

Product details

This product is sold under License from Bethyl Laboratories, Inc.

Properties and storage information

Form
Liquid
Purification notes
Recombinant antibody was purified from cell culture supernatant.
Storage buffer
pH: 7.8 - 8.6 Preservative: 0.09% Sodium azide Constituents: 98% Borate buffered saline, 0.1% BSA
Shipped at conditions
Blue Ice
Appropriate short-term storage duration
1-2 weeks
Appropriate short-term storage conditions
+4°C
Appropriate long-term storage conditions
-20°C
Aliquoting information
Upon delivery aliquot
Storage information
Avoid freeze / thaw cycle

Supplementary information

This supplementary information is collated from multiple sources and compiled automatically.

PBRM1 also known as BAF180 is an important component of the SWI/SNF chromatin remodeling complex. It has a molecular weight of approximately 187 kDa. Within the cell PBRM1 is expressed in various tissues but shows higher expression in kidney and breast tissues. Its role involves binding to acetylated histones which influences chromatin structure and gene expression regulation.
Biological function summary

The PBRM1/BAF180 protein functions as part of the SWI/SNF complex which includes the catalytic subunit BRG1 or BRM. This complex is important for altering chromatin architecture which regulates access of transcriptional machinery to DNA. It plays a significant role in the control of cell growth and differentiation processes. The structural integrity of PBRM1 is necessary for the functionality of the SWI/SNF complex.

Pathways

PBRM1/BAF180 is an important player in pathways involving chromatin remodeling and transcriptional regulation. It is implicated in the WNT signaling pathway interacting with proteins such as β-catenin to influence gene transcription. It also partakes in the p53 pathway where it contributes to the regulation of cell cycle and apoptosis by modulating p53 activity.

Mutations in PBRM1 are frequently observed in renal cell carcinoma. Its disruption affects chromatin remodeling which disrupts normal gene expression contributing to cancer progression. PBRM1 also relates to breast cancer where alterations can promote tumor formation. In these contexts the interaction of PBRM1 with other proteins like VHL in renal carcinoma helps elucidate its role in tumor suppression and development.

Product protocols

For this product, it's our understanding that no specific protocols are required. You can visit:

Target data

Involved in transcriptional activation and repression of select genes by chromatin remodeling (alteration of DNA-nucleosome topology). Required for the stability of the SWI/SNF chromatin remodeling complex SWI/SNF-B (PBAF). Acts as a negative regulator of cell proliferation.
See full target information PBRM1

Publications (3)

Recent publications for all applications. Explore the full list and refine your search

iScience 28:113046 PubMed40717771

2025

Malaria-derived hemozoin skews dendritic cell responses to bacterial infections by reducing interferon gene-transcription by SWI/SNF-NuRD.

Applications

Unspecified application

Species

Unspecified reactive species

Gintare Lasaviciute,Kanwal Tariq,Anaswara Sugathan,Jaclyn Quin,Mareike Polenkowski,Ioana Bujila,Oleksii Skorokhod,Marita Troye-Blomberg,Eva Sverremark-Ekström,Ann-Kristin Östlund Farrants

The Journal of biological chemistry 300:107146 PubMed38460939

2024

Cancer-associated polybromo-1 bromodomain 4 missense variants variably impact bromodomain ligand binding and cell growth suppression.

Applications

Unspecified application

Species

Unspecified reactive species

Karina L Bursch,Christopher J Goetz,Guanming Jiao,Raymundo Nuñez,Michael D Olp,Alisha Dhiman,Mallika Khurana,Michael T Zimmermann,Raul A Urrutia,Emily C Dykhuizen,Brian C Smith

Molecular therapy. Nucleic acids 27:133-146 PubMed34976433

2022

SMC1A regulated by KIAA1429 in m6A-independent manner promotes EMT progress in breast cancer.

Applications

Unspecified application

Species

Unspecified reactive species

Xu Zhang,Xin-Yuan Dai,Jia-Yi Qian,Feng Xu,Zhang-Wei Wang,Tian Xia,Xu-Jie Zhou,Xiao-Xia Li,Liang Shi,Ji-Fu Wei,Qiang Ding
View all publications

Product promise

We are committed to supporting your work with high-quality reagents, and we're here for you every step of the way. In the unlikely event that one of our products does not perform as expected, you're protected by our Product Promise.
For full details, please see our Terms & Conditions

Please note: All products are 'FOR RESEARCH USE ONLY. NOT FOR USE IN DIAGNOSTIC OR THERAPEUTIC PROCEDURES'.

For licensing inquiries, please contact partnerships@abcam.com