JavaScript is disabled in your browser. Please enable JavaScript to view this website.
AB242318

Anti-PBRM1/BAF180 antibody [CL0331]

Be the first to review this product! Submit a review

|

(1 Publication)

Mouse Monoclonal PBRM1/BAF180 antibody. Suitable for IHC-P, WB and reacts with Human samples. Cited in 1 publication. Immunogen corresponding to Recombinant Fragment Protein within Human PBRM1 aa 100-250.

View Alternative Names

BAF180, PB1, PBRM1, Protein polybromo-1, hPB1, BRG1-associated factor 180, Polybromo-1D

5 Images
Immunohistochemistry (Formalin/PFA-fixed paraffin-embedded sections) - Anti-PBRM1/BAF180 antibody [CL0331] (AB242318)
  • IHC-P

Supplier Data

Immunohistochemistry (Formalin/PFA-fixed paraffin-embedded sections) - Anti-PBRM1/BAF180 antibody [CL0331] (AB242318)

Negative Control :

Paraffin-embedded human skeletal muscle tissue stained for PBRM1/BAF180 using ab242318 at 1/50 dilution in immunohistochemical analysis.

Immunohistochemistry (Formalin/PFA-fixed paraffin-embedded sections) - Anti-PBRM1/BAF180 antibody [CL0331] (AB242318)
  • IHC-P

Supplier Data

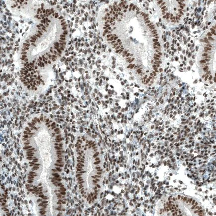
Immunohistochemistry (Formalin/PFA-fixed paraffin-embedded sections) - Anti-PBRM1/BAF180 antibody [CL0331] (AB242318)

Paraffin-embedded human endometrium tissue stained for PBRM1/BAF180 using ab242318 at 1/50 dilution in immunohistochemical analysis.

Immunohistochemistry (Formalin/PFA-fixed paraffin-embedded sections) - Anti-PBRM1/BAF180 antibody [CL0331] (AB242318)
  • IHC-P

Supplier Data

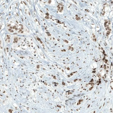
Immunohistochemistry (Formalin/PFA-fixed paraffin-embedded sections) - Anti-PBRM1/BAF180 antibody [CL0331] (AB242318)

Paraffin-embedded human kidney cancer tissue stained for PBRM1/BAF180 using ab242318 at 1/50 dilution in immunohistochemical analysis.

Immunohistochemistry (Formalin/PFA-fixed paraffin-embedded sections) - Anti-PBRM1/BAF180 antibody [CL0331] (AB242318)
  • IHC-P

Supplier Data

Immunohistochemistry (Formalin/PFA-fixed paraffin-embedded sections) - Anti-PBRM1/BAF180 antibody [CL0331] (AB242318)

Paraffin-embedded human breast cancer tissue stained for PBRM1/BAF180 using ab242318 at 1/50 dilution in immunohistochemical analysis.

Western blot - Anti-PBRM1/BAF180 antibody [CL0331] (AB242318)
  • WB

Supplier Data

Western blot - Anti-PBRM1/BAF180 antibody [CL0331] (AB242318)

All lanes:

Western blot - Anti-PBRM1/BAF180 antibody [CL0331] (ab242318) at 1 µg/mL

Lane 1:

RT-4 cells transfected with control siRNA

Lane 2:

RT-4 cells transfected with target specific siRNA probe

Predicted band size: 193 kDa

false

Key facts

Host species

Mouse

Clonality

Monoclonal

Clone number

CL0331

Isotype

IgG1

Carrier free

No

Reacts with

Human

Applications

WB, IHC-P

applications

Immunogen

Recombinant Fragment Protein within Human PBRM1 aa 100-250. The exact immunogen used to generate this antibody is proprietary information.

Q86U86

Reactivity data

{ "title": "Reactivity Data", "filters": { "stats": ["", "Species", "Dilution Info", "Notes"], "tabs": { "all-applications": {"fullname" : "All Applications", "shortname": "All Applications"}, "IHCP" : {"fullname" : "Immunohistochemistry (Formalin/PFA-fixed paraffin-embedded sections)", "shortname":"IHC-P"}, "WB" : {"fullname" : "Western blot", "shortname":"WB"} }, "product-promise": { "all": "all", "testedAndGuaranteed": "tested", "guaranteed": "expected", "predicted": "predicted", "notRecommended": "not-recommended" } }, "values": { "Human": { "IHCP-species-checked": "testedAndGuaranteed", "IHCP-species-dilution-info": "1/50 - 1/200", "IHCP-species-notes": "<p></p> Perform heat-mediated antigen retrieval with citrate buffer pH 6 before commencing with IHC staining protocol.", "WB-species-checked": "testedAndGuaranteed", "WB-species-dilution-info": "1 µg/mL", "WB-species-notes": "<p></p>" } } }

Properties and storage information

Form
Liquid
Purification technique
Affinity purification Protein A
Storage buffer
pH: 7.2 Preservative: 0.02% Sodium azide Constituents: PBS, 40% Glycerol (glycerin, glycerine)
Shipped at conditions
Blue Ice
Appropriate short-term storage duration
1-2 weeks
Appropriate short-term storage conditions
+4°C
Appropriate long-term storage conditions
-20°C
Aliquoting information
Upon delivery aliquot
Storage information
Avoid freeze / thaw cycle

Supplementary information

This supplementary information is collated from multiple sources and compiled automatically.

PBRM1 also known as BAF180 is an important component of the SWI/SNF chromatin remodeling complex. It has a molecular weight of approximately 187 kDa. Within the cell PBRM1 is expressed in various tissues but shows higher expression in kidney and breast tissues. Its role involves binding to acetylated histones which influences chromatin structure and gene expression regulation.
Biological function summary

The PBRM1/BAF180 protein functions as part of the SWI/SNF complex which includes the catalytic subunit BRG1 or BRM. This complex is important for altering chromatin architecture which regulates access of transcriptional machinery to DNA. It plays a significant role in the control of cell growth and differentiation processes. The structural integrity of PBRM1 is necessary for the functionality of the SWI/SNF complex.

Pathways

PBRM1/BAF180 is an important player in pathways involving chromatin remodeling and transcriptional regulation. It is implicated in the WNT signaling pathway interacting with proteins such as β-catenin to influence gene transcription. It also partakes in the p53 pathway where it contributes to the regulation of cell cycle and apoptosis by modulating p53 activity.

Mutations in PBRM1 are frequently observed in renal cell carcinoma. Its disruption affects chromatin remodeling which disrupts normal gene expression contributing to cancer progression. PBRM1 also relates to breast cancer where alterations can promote tumor formation. In these contexts the interaction of PBRM1 with other proteins like VHL in renal carcinoma helps elucidate its role in tumor suppression and development.

Product protocols

For this product, it's our understanding that no specific protocols are required. You can visit:

Target data

Involved in transcriptional activation and repression of select genes by chromatin remodeling (alteration of DNA-nucleosome topology). Required for the stability of the SWI/SNF chromatin remodeling complex SWI/SNF-B (PBAF). Acts as a negative regulator of cell proliferation.
See full target information PBRM1

Publications (1)

Recent publications for all applications. Explore the full list and refine your search

Cell proliferation 55:e13190 PubMed35102634

2022

Functional differentiation and scalable production of renal proximal tubular epithelial cells from human pluripotent stem cells in a dynamic culture system.

Applications

Unspecified application

Species

Unspecified reactive species

Thao Thi Thanh Ngo,Bella Rossbach,Isabelle Sébastien,Julia C Neubauer,Andreas Kurtz,Krithika Hariharan
View all publications

Product promise

We are committed to supporting your work with high-quality reagents, and we're here for you every step of the way. In the unlikely event that one of our products does not perform as expected, you're protected by our Product Promise.
For full details, please see our Terms & Conditions

Please note: All products are 'FOR RESEARCH USE ONLY. NOT FOR USE IN DIAGNOSTIC OR THERAPEUTIC PROCEDURES'.

For licensing inquiries, please contact partnerships@abcam.com