JavaScript is disabled in your browser. Please enable JavaScript to view this website.
AB305224

Anti-PBRM1/BAF180 antibody [EPR25199-139] - BSA and Azide free

Be the first to review this product! Submit a review

|

(0 Publication)

Rabbit Recombinant Monoclonal PBRM1/BAF180 antibody. Carrier free. Suitable for WB, IP and reacts with Human samples.

View Alternative Names

BAF180, PB1, PBRM1, Protein polybromo-1, hPB1, BRG1-associated factor 180, Polybromo-1D

3 Images
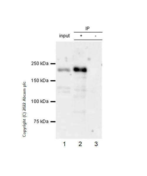
Immunoprecipitation - Anti-PBRM1/BAF180 antibody [EPR25199-139] - BSA and Azide free (AB305224)
  • IP

Supplier Data

Immunoprecipitation - Anti-PBRM1/BAF180 antibody [EPR25199-139] - BSA and Azide free (AB305224)

This data was developed using ab305223, the same antibody clone in a different buffer formulation. PBRM1/BAF180 was immunoprecipitated from 0.35 mg HAP1 (human chronic myelogenous leukemia near-haploid cell), whole cell lysate 10 µg with ab305223 at 1/30 dilution (2μg in 0.35mg lysates). Western blot was performed on the immunoprecipitate using ab305223 at 1/1000 dilution. VeriBlot for IP secondary antibody(HRP)(ab131366) was used at 1/5000 dilution. Lane 1 : HAP1 (human chronic myelogenous leukemia near-haploid cell), whole cell lysate 10 µg Lane 2 : ab305223 IP in HAP1 whole cell lysate Lane 3 : Rabbit monoclonal IgG (ab172730) instead of ab305223 in HAP1 whole cell lysate Blocking and dilution buffer and concentration : 5% NFDM/TBST. Exposure time : 102 seconds

All lanes:

Immunoprecipitation - Anti-PBRM1/BAF180 antibody [EPR25199-139] (<a href='/en-us/products/primary-antibodies/pbrm1-baf180-antibody-epr25199-139-ab305223'>ab305223</a>) at 1/30 dilution

All lanes:

HAP1 (human chronic myelogenous leukemia near-haploid cell)

Secondary

All lanes:

Immunoprecipitation - VeriBlot for IP Detection Reagent (HRP) (<a href='/en-us/products/reagents/veriblot-for-ip-detection-reagent-hrp-ab131366'>ab131366</a>) at 1/5000 dilution

Observed band size: 205 kDa

false

Exposure time: 102s

Western blot - Anti-PBRM1/BAF180 antibody [EPR25199-139] - BSA and Azide free (AB305224)
  • WB

Supplier Data

Western blot - Anti-PBRM1/BAF180 antibody [EPR25199-139] - BSA and Azide free (AB305224)

This data was developed using ab305223, the same antibody clone in a different buffer formulation. Blocking and diluting buffer and concentration : Intercept® (TBS) Blocking Buffer diluted with an equal volume of 0.1% TBS The identity of the bands between 30 kDa and 200 kDa are unknown. The samples were run on a Bis-Tris gel. Performed under reducing conditions. False colour image of Western blot : Anti-PBRM1/BAF180 antibody (ab305223) staining at 1/1000 dilution, shown in green; Mouse anti-GAPDH antibody [6C5] (ab8245) loading control staining at 1/20000 dilution, shown in red. In Western blot, ab305223 was shown to bind specifically to PBRM1/BAF180. A band was observed at 205 kDa in wild-type HAP1 cell lysates whereas no signal observed at this size in PBRM1/BAF180 knockout cell line. To generate this image, wild-type and PBRM1/BAF180 knockout HAP1 cell lysates were analyzed. First, samples were run on an SDS-PAGE gel then transferred onto an immobilon-FL PVDF membrane. Membranes were blocked in in Intercept® (TBS) Blocking Buffer diluted with an equal volume of 0.1% TBS before incubation with primary antibodies overnight at 4 °C. Blots were washed four times in TBS-T, incubated with secondary antibodies for 1 h at room temperature, washed again four times then imaged. Secondary antibodies used were Goat anti-Rabbit IgG H&L (IRDye® 800CW) preabsorbed (ab216773) and Goat anti-Mouse IgG H&L (IRDye® 680RD) preabsorbed (ab216776) at 1/20000 dilution.

All lanes:

Western blot - Anti-PBRM1/BAF180 antibody [EPR25199-139] (<a href='/en-us/products/primary-antibodies/pbrm1-baf180-antibody-epr25199-139-ab305223'>ab305223</a>) at 1/1000 dilution

Lane 1:

Wild-type HAP1 (human chronic myelogenous leukemia near-haploid cell) whole cell lysate

Lane 2:

PBRM1/BAF180 knockout HAP1 whole cell lysate

Secondary

Lanes 1 - 2:

Western blot - Goat anti-Rabbit IgG H&L (IRDye® 800CW) preadsorbed (<a href='/en-us/products/secondary-antibodies/goat-rabbit-igg-h-l-irdye-800cw-preadsorbed-ab216773'>ab216773</a>) at 1/20000 dilution

Lanes 1 - 2:

Western blot - Goat anti-Mouse IgG H&L (IRDye® 680RD) preadsorbed (<a href='/en-us/products/secondary-antibodies/goat-mouse-igg-h-l-irdye-680rd-preadsorbed-ab216776'>ab216776</a>) at 1/20000 dilution

Observed band size: 205 kDa

false

Western blot - Anti-PBRM1/BAF180 antibody [EPR25199-139] - BSA and Azide free (AB305224)
  • WB

Supplier Data

Western blot - Anti-PBRM1/BAF180 antibody [EPR25199-139] - BSA and Azide free (AB305224)

This data was developed using ab305223, the same antibody clone in a different buffer formulation. Blocking and diluting buffer and concentration : 5% NFDM/TBST The identity of the bands between 30 kDa and 200 kDa are unknown. Exposure time : 158 seconds

All lanes:

Western blot - Anti-PBRM1/BAF180 antibody [EPR25199-139] (<a href='/en-us/products/primary-antibodies/pbrm1-baf180-antibody-epr25199-139-ab305223'>ab305223</a>) at 1/1000 dilution

Lane 1:

Hela (human cervical adenocarcinoma epithelial cell), whole cell lysate at 20 µg

Lane 2:

HEK-293T (human embryonic kidney epithelial cell), whole cell lysate at 20 µg

Secondary

All lanes:

Western blot - Goat Anti-Rabbit IgG H&L (HRP) (<a href='/en-us/products/secondary-antibodies/goat-rabbit-igg-h-l-hrp-ab97051'>ab97051</a>) at 1/50000 dilution

Observed band size: 205 kDa

false

Exposure time: 158s

Key facts

Host species

Rabbit

Clonality

Monoclonal

Clone number

EPR25199-139

Isotype

IgG

Carrier free

Yes

Reacts with

Human

Applications

WB, IP

applications

Immunogen

The exact immunogen used to generate this antibody is proprietary information.

Reactivity data

{ "title": "Reactivity Data", "filters": { "stats": ["", "Species", "Dilution Info", "Notes"], "tabs": { "all-applications": {"fullname" : "All Applications", "shortname": "All Applications"}, "WB" : {"fullname" : "Western blot", "shortname":"WB"}, "IHCP" : {"fullname" : "Immunohistochemistry (Formalin/PFA-fixed paraffin-embedded sections)", "shortname":"IHC-P"}, "ICCIF" : {"fullname" : "Immunocytochemistry/ Immunofluorescence", "shortname":"ICC/IF"}, "FlowCytIntra" : {"fullname" : "Flow Cytometry (Intracellular)", "shortname":"Flow Cyt (Intra)"}, "IP" : {"fullname" : "Immunoprecipitation", "shortname":"IP"}, "ChIP" : {"fullname" : "ChIP", "shortname":"ChIP"} }, "product-promise": { "all": "all", "testedAndGuaranteed": "tested", "guaranteed": "expected", "predicted": "predicted", "notRecommended": "not-recommended" } }, "values": { "Human": { "WB-species-checked": "testedAndGuaranteed", "WB-species-dilution-info": "", "WB-species-notes": "<p></p>", "IHCP-species-checked": "notRecommended", "IHCP-species-dilution-info": "", "IHCP-species-notes": "<p></p>", "ICCIF-species-checked": "notRecommended", "ICCIF-species-dilution-info": "", "ICCIF-species-notes": "<p></p>", "FlowCytIntra-species-checked": "notRecommended", "FlowCytIntra-species-dilution-info": "", "FlowCytIntra-species-notes": "<p></p>", "IP-species-checked": "testedAndGuaranteed", "IP-species-dilution-info": "", "IP-species-notes": "<p></p>", "ChIP-species-checked": "notRecommended", "ChIP-species-dilution-info": "", "ChIP-species-notes": "<p></p>" }, "Mouse": { "WB-species-checked": "notRecommended", "WB-species-dilution-info": "", "WB-species-notes": "<p></p>", "IHCP-species-checked": "notRecommended", "IHCP-species-dilution-info": "", "IHCP-species-notes": "<p></p>", "ICCIF-species-checked": "notRecommended", "ICCIF-species-dilution-info": "", "ICCIF-species-notes": "<p></p>", "FlowCytIntra-species-checked": "notRecommended", "FlowCytIntra-species-dilution-info": "", "FlowCytIntra-species-notes": "<p></p>", "IP-species-checked": "notRecommended", "IP-species-dilution-info": "", "IP-species-notes": "<p></p>", "ChIP-species-checked": "notRecommended", "ChIP-species-dilution-info": "", "ChIP-species-notes": "" }, "Rat": { "WB-species-checked": "notRecommended", "WB-species-dilution-info": "", "WB-species-notes": "<p></p>", "IHCP-species-checked": "notRecommended", "IHCP-species-dilution-info": "", "IHCP-species-notes": "<p></p>", "ICCIF-species-checked": "notRecommended", "ICCIF-species-dilution-info": "", "ICCIF-species-notes": "", "FlowCytIntra-species-checked": "notRecommended", "FlowCytIntra-species-dilution-info": "", "FlowCytIntra-species-notes": "", "IP-species-checked": "notRecommended", "IP-species-dilution-info": "", "IP-species-notes": "", "ChIP-species-checked": "notRecommended", "ChIP-species-dilution-info": "", "ChIP-species-notes": "" } } }

Product details

Patented technology
Our RabMAb® technology is a patented hybridoma-based technology for making rabbit monoclonal antibodies. For details on our patents, please refer to RabMAb® patents.

Conjugation ready
Our carrier-free antibodies are typically supplied in a PBS-only formulation, purified and free of BSA, sodium azide and glycerol. This conjugation-ready format is designed for use with fluorochromes, metal isotopes, oligonucleotides, and enzymes, which makes them ideal for antibody labelling, functional and cell-based assays, flow-based assays (e.g. mass cytometry) and Multiplex Imaging applications.

Use our conjugation kits for antibody conjugates that are ready-to-use in as little as 20 minutes with 1 minute hands-on-time and 100% antibody recovery: available for fluorescent dyes, HRP, biotin and gold.

Compatibility
This product is compatible with the Maxpar® Antibody Labeling Kit from Fluidigm, without the need for antibody preparation. Maxpar® is a trademark of Fluidigm Canada Inc.

What are the advantages of a recombinant monoclonal antibody?
This product is a recombinant monoclonal antibody, which offers several advantages including:

  • - High batch-to-batch consistency and reproducibility
  • - Improved sensitivity and specificity
  • - Long-term security of supply
  • - Animal-free batch production

For more information, read more on recombinant antibodies.

Properties and storage information

Form
Liquid
Purification technique
Affinity purification Protein A
Storage buffer
pH: 7.2 - 7.4 Constituents: PBS
Shipped at conditions
Blue Ice
Appropriate short-term storage conditions
+4°C
Appropriate long-term storage conditions
+4°C

Supplementary information

This supplementary information is collated from multiple sources and compiled automatically.

PBRM1 also known as BAF180 is an important component of the SWI/SNF chromatin remodeling complex. It has a molecular weight of approximately 187 kDa. Within the cell PBRM1 is expressed in various tissues but shows higher expression in kidney and breast tissues. Its role involves binding to acetylated histones which influences chromatin structure and gene expression regulation.
Biological function summary

The PBRM1/BAF180 protein functions as part of the SWI/SNF complex which includes the catalytic subunit BRG1 or BRM. This complex is important for altering chromatin architecture which regulates access of transcriptional machinery to DNA. It plays a significant role in the control of cell growth and differentiation processes. The structural integrity of PBRM1 is necessary for the functionality of the SWI/SNF complex.

Pathways

PBRM1/BAF180 is an important player in pathways involving chromatin remodeling and transcriptional regulation. It is implicated in the WNT signaling pathway interacting with proteins such as β-catenin to influence gene transcription. It also partakes in the p53 pathway where it contributes to the regulation of cell cycle and apoptosis by modulating p53 activity.

Mutations in PBRM1 are frequently observed in renal cell carcinoma. Its disruption affects chromatin remodeling which disrupts normal gene expression contributing to cancer progression. PBRM1 also relates to breast cancer where alterations can promote tumor formation. In these contexts the interaction of PBRM1 with other proteins like VHL in renal carcinoma helps elucidate its role in tumor suppression and development.

Product protocols

For this product, it's our understanding that no specific protocols are required. You can visit:

Target data

Involved in transcriptional activation and repression of select genes by chromatin remodeling (alteration of DNA-nucleosome topology). Required for the stability of the SWI/SNF chromatin remodeling complex SWI/SNF-B (PBAF). Acts as a negative regulator of cell proliferation.
See full target information PBRM1

Product promise

We are committed to supporting your work with high-quality reagents, and we're here for you every step of the way. In the unlikely event that one of our products does not perform as expected, you're protected by our Product Promise.
For full details, please see our Terms & Conditions

Please note: All products are 'FOR RESEARCH USE ONLY. NOT FOR USE IN DIAGNOSTIC OR THERAPEUTIC PROCEDURES'.

For licensing inquiries, please contact partnerships@abcam.com