JavaScript is disabled in your browser. Please enable JavaScript to view this website.
AB236911

Anti-PBX1/PRL antibody

4

(2 Reviews)

|

(1 Publication)

Rabbit Polyclonal PBX1/PRL antibody. Suitable for IHC-P, ICC/IF and reacts with Human samples. Cited in 1 publication. Immunogen corresponding to Recombinant Fragment Protein within Human PBX1 aa 300 to C-terminus.

View Alternative Names

PRL, PBX1, Pre-B-cell leukemia transcription factor 1, Homeobox protein PBX1, Homeobox protein PRL

2 Images
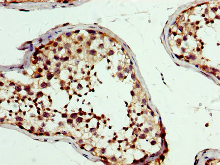
Immunohistochemistry (Formalin/PFA-fixed paraffin-embedded sections) - Anti-PBX1/PRL antibody (AB236911)
  • IHC-P

Supplier Data

Immunohistochemistry (Formalin/PFA-fixed paraffin-embedded sections) - Anti-PBX1/PRL antibody (AB236911)

Paraffin-embedded human testis tissue stained for PBX1/PRL using ab236911 at 1/300 dilution in immunohistochemical analysis.

After dewaxing and hydration, antigen retrieval was mediated by high pressure in a citrate buffer (pH 6.0). Section was blocked with 10% normal goat serum 30 minutes at RT. Then primary antibody (1% BSA) was incubated at 4°C overnight. The primary is detected by a biotinylated secondary antibody and visualized using an HRP conjugated SP system.

Immunocytochemistry/ Immunofluorescence - Anti-PBX1/PRL antibody (AB236911)
  • ICC/IF

Supplier Data

Immunocytochemistry/ Immunofluorescence - Anti-PBX1/PRL antibody (AB236911)

HeLa (human epithelial cell line from cervix adenocarcinoma) cells stained for PBX1/PRL (green) using ab236911 at 1/100 dilution in ICC/IF. Secondary antibody is Alexa Fluor® 488-conjugated Goat Anti-Rabbit IgG (H+L). The nuclear counter stain is DAPI (blue).

The cells were fixed in 4% formaldehyde, permeabilized using 0.2% Triton X-100 and blocked in 10% normal Goat Serum. The cells were then incubated with the antibody overnight at 4°C.

Key facts

Host species

Rabbit

Clonality

Polyclonal

Isotype

IgG

Carrier free

No

Reacts with

Human

Applications

ICC/IF, IHC-P

applications

Immunogen

Recombinant Fragment Protein within Human PBX1 aa 300 to C-terminus. The exact immunogen used to generate this antibody is proprietary information.

P40424

Reactivity data

{ "title": "Reactivity Data", "filters": { "stats": ["", "Species", "Dilution Info", "Notes"], "tabs": { "all-applications": {"fullname" : "All Applications", "shortname": "All Applications"}, "IHCP" : {"fullname" : "Immunohistochemistry (Formalin/PFA-fixed paraffin-embedded sections)", "shortname":"IHC-P"}, "ICCIF" : {"fullname" : "Immunocytochemistry/ Immunofluorescence", "shortname":"ICC/IF"} }, "product-promise": { "all": "all", "testedAndGuaranteed": "tested", "guaranteed": "expected", "predicted": "predicted", "notRecommended": "not-recommended" } }, "values": { "Human": { "IHCP-species-checked": "testedAndGuaranteed", "IHCP-species-dilution-info": "1/200 - 1/500", "IHCP-species-notes": "<p></p>", "ICCIF-species-checked": "testedAndGuaranteed", "ICCIF-species-dilution-info": "1/50 - 1/200", "ICCIF-species-notes": "<p></p>" }, "Mouse": { "IHCP-species-checked": "predicted", "IHCP-species-dilution-info": "", "IHCP-species-notes": "", "ICCIF-species-checked": "predicted", "ICCIF-species-dilution-info": "", "ICCIF-species-notes": "" } } }

Properties and storage information

Form
Liquid
Purification technique
Affinity purification Protein G
Purification notes
Purity >95%
Storage buffer
pH: 7.4 Preservative: 0.03% Proclin 300 Constituents: PBS, 50% Glycerol (glycerin, glycerine)
Shipped at conditions
Blue Ice
Appropriate short-term storage duration
1-2 weeks
Appropriate short-term storage conditions
+4°C
Appropriate long-term storage conditions
-20°C
Aliquoting information
Upon delivery aliquot
Storage information
Avoid freeze / thaw cycle

Supplementary information

This supplementary information is collated from multiple sources and compiled automatically.

PBX1 also known as Pre-B-cell leukemia homeobox 1 is a transcription factor with a molecular mass of approximately 47 kDa. This protein belongs to the TALE family of homeodomain proteins and plays an essential role in gene regulation. PBX1 is widely expressed in many tissues including the pancreas bone marrow and certain regions of the central nervous system. It acts mainly as a DNA-binding protein that regulates the transcription of other genes by forming heterodimers with other proteins.
Biological function summary

PBX1 influences several developmental processes in vertebrates. It frequently partners with HOX proteins to form transcriptional complexes impacting the expression of genes involved in developmental pathways. These complexes assist in cellular differentiation proliferation and morphogenetic patterning. Through these roles PBX1 affects organogenesis maintaining tissue-specific gene expression and ensuring proper development of various tissues.

Pathways

PBX1 plays a part in critical developmental and signaling pathways such as the Wnt signaling pathway and the insulin signaling pathway. Within these pathways PBX1 interacts with proteins like HOXA9 and MEIS1 to regulate gene expression patterns that contribute to cellular function and intercellular communication. These interactions demonstrate the integrative role of PBX1 across single-pathway analysis impacting gene activity and cellular outcomes.

PBX1 links to the pathogenesis of acute lymphoblastic leukemia (ALL) and type 2 diabetes. In leukemia chromosomal translocations involving PBX1 and E2A (TCF3-PBX1 fusion) lead to altered cell cycle regulation and malignant transformation in hematopoietic cells. Furthermore aberrant expression of PBX1 impacts insulin signaling connecting it with the development of insulin resistance in type 2 diabetes. These interactions emphasize PBX1's importance in disease mechanisms revealing potential therapeutic targets for intervention.

Product protocols

For this product, it's our understanding that no specific protocols are required. You can visit:

Target data

Transcription factor which binds the DNA sequence 5'-TGATTGAT-3' as part of a heterodimer with HOX proteins such as HOXA1, HOXA5, HOXB7 and HOXB8 (PubMed : 9191052). Binds to the DNA sequence 5'-TGATTGAC-3' in complex with a nuclear factor which is not a class I HOX protein (PubMed : 9191052). Has also been shown to bind the DNA sequence 5'-ATCAATCAA-3' cooperatively with HOXA5, HOXB7, HOXB8, HOXC8 and HOXD4 (PubMed : 7791786, PubMed : 8327485). Acts as a transcriptional activator of PF4 in complex with MEIS1 (PubMed : 12609849). Also activates transcription of SOX3 in complex with MEIS1 by binding to the 5'-TGATTGAC-3' consensus sequence (By similarity). In natural killer cells, binds to the NFIL3 promoter and acts as a transcriptional activator of NFIL3, promoting natural killer cell development (By similarity). Plays a role in the cAMP-dependent regulation of CYP17A1 gene expression via its cAMP-regulatory sequence (CRS1) (By similarity). Probably in complex with MEIS2, involved in transcriptional regulation by KLF4 (PubMed : 21746878). Acts as a transcriptional activator of NKX2-5 and a transcriptional repressor of CDKN2B (By similarity). Together with NKX2-5, required for spleen development through a mechanism that involves CDKN2B repression (By similarity).. Isoform PBX1b. As part of a PDX1 : PBX1b : MEIS2B complex in pancreatic acinar cells, is involved in the transcriptional activation of the ELA1 enhancer; the complex binds to the enhancer B element and cooperates with the transcription factor 1 complex (PTF1) bound to the enhancer A element.
See full target information PBX1

Publications (1)

Recent publications for all applications. Explore the full list and refine your search

Experimental and therapeutic medicine 24:614 PubMed36160886

2022

TMEM14A aggravates the progression of human ovarian cancer cells by enhancing the activity of glycolysis.

Applications

Unspecified application

Species

Unspecified reactive species

Qingmei Zhang,Xiaohong Wang,Xuan Zhang,Jingfen Zhan,Binbin Zhang,Jin Jia,Jie Chen
View all publications

Product promise

We are committed to supporting your work with high-quality reagents, and we're here for you every step of the way. In the unlikely event that one of our products does not perform as expected, you're protected by our Product Promise.
For full details, please see our Terms & Conditions

Please note: All products are 'FOR RESEARCH USE ONLY. NOT FOR USE IN DIAGNOSTIC OR THERAPEUTIC PROCEDURES'.

For licensing inquiries, please contact partnerships@abcam.com